JavaScript is disabled in your browser. Please enable JavaScript to view this website.
AB325957

Anti-TMEM175 antibody [EPR29579-563] - BSA and Azide free

Be the first to review this product! Submit a review

|

(0 Publication)

Rabbit Recombinant Monoclonal TMEM175 antibody. Carrier free. Suitable for IHC-Fr, IHC-P, WB and reacts with Mouse, Rat samples.

View Alternative Names

Endosomal/lysosomal proton channel TMEM175, Potassium channel TMEM175, Transmembrane protein 175, Endosomal/lysosomal proton channel TMEM175, Potassium channel TMEM175, Transmembrane protein 175, mTMEM175

15 Images
Immunohistochemistry (Frozen sections) - Anti-TMEM175 antibody [EPR29579-563] - BSA and Azide free (AB325957)
  • IHC-Fr

Supplier Data

Immunohistochemistry (Frozen sections) - Anti-TMEM175 antibody [EPR29579-563] - BSA and Azide free (AB325957)

This data was developed using ab323710, the same antibody clone in a different buffer formulation.

Immunohistochemical analysis of 4% PFA-fixed 0.2% Triton X-100 permeabilized frozen Mouse skeletal muscle (perfused fixed) tissue labeling TMEM175 with ab323710 at 1/50 (9.96 ug/ml) dilution followed by ab150081 Goat Anti-Rabbit IgG H&L (Alexa Fluor® 488) preadsorbed at 1/1000 2 ug/mL dilution (Green).

Low expression : confocal image showing no staining on mouse skeletal muscle. The nuclear counterstain was DAPI (Blue). The section was incubated with ab323710 for 60 mins at room temperature. The section was then mounted using Fluoromount®.The immunostaining was performed on a Leica Biosystems BOND® RX instrument. Image was taken with a confocal microscope (Leica-Microsystems TCS SP8).

Secondary antibody control : Secondary antibody is ab150081 Goat Anti-Rabbit IgG H&L (Alexa Fluor® 488) preadsorbed at 1/1000 2 ug/mL dilution.

Heat mediated antigen retrieval using sodium citrate buffer (10mM citrate pH 6.0 + 0.05% Tween-20)

Immunohistochemistry (Frozen sections) - Anti-TMEM175 antibody [EPR29579-563] - BSA and Azide free (AB325957)
  • IHC-Fr

Supplier Data

Immunohistochemistry (Frozen sections) - Anti-TMEM175 antibody [EPR29579-563] - BSA and Azide free (AB325957)

This data was developed using ab323710, the same antibody clone in a different buffer formulation.

Immunohistochemical analysis of 4% PFA-fixed 0.2% Triton X-100 permeabilized frozen Mouse testis (perfused fixed) tissue labeling TMEM175 with ab323710 at 1/50 (9.96 ug/ml) dilution followed by ab150081 Goat Anti-Rabbit IgG H&L (Alexa Fluor® 488) preadsorbed at 1/1000 2 ug/mL dilution (Green).

Confocal image showing positive staining on mouse testis. The nuclear counterstain was DAPI (Blue). The section was incubated with ab323710 for 60 mins at room temperature. The section was then mounted using Fluoromount®.The immunostaining was performed on a Leica Biosystems BOND® RX instrument. Image was taken with a confocal microscope (Leica-Microsystems TCS SP8).

Secondary antibody control : Secondary antibody is ab150081 Goat Anti-Rabbit IgG H&L (Alexa Fluor® 488) preadsorbed at 1/1000 2 ug/mL dilution.

Heat mediated antigen retrieval using sodium citrate buffer (10mM citrate pH 6.0 + 0.05% Tween-20)

Immunohistochemistry (Frozen sections) - Anti-TMEM175 antibody [EPR29579-563] - BSA and Azide free (AB325957)
  • IHC-Fr

Supplier Data

Immunohistochemistry (Frozen sections) - Anti-TMEM175 antibody [EPR29579-563] - BSA and Azide free (AB325957)

This data was developed using ab323710, the same antibody clone in a different buffer formulation.

Immunohistochemical analysis of 4% PFA-fixed 0.2% Triton X-100 permeabilized frozen Rat skeletal muscle (perfused fixed) tissue labeling TMEM175 with ab323710 at 1/50 (9.96 ug/ml) dilution followed by ab150081 Goat Anti-Rabbit IgG H&L (Alexa Fluor® 488) preadsorbed at 1/1000 2 ug/mL dilution (Green).

Low expression : confocal image showing no staining on rat skeletal muscle. The nuclear counterstain was DAPI (Blue). The section was incubated with ab323710 for 60 mins at room temperature. The section was then mounted using Fluoromount®.The immunostaining was performed on a Leica Biosystems BOND® RX instrument. Image was taken with a confocal microscope (Leica-Microsystems TCS SP8).

Secondary antibody control : Secondary antibody is ab150081 Goat Anti-Rabbit IgG H&L (Alexa Fluor® 488) preadsorbed at 1/1000 2 ug/mL dilution.

Heat mediated antigen retrieval using sodium citrate buffer (10mM citrate pH 6.0 + 0.05% Tween-20)

Immunohistochemistry (Frozen sections) - Anti-TMEM175 antibody [EPR29579-563] - BSA and Azide free (AB325957)
  • IHC-Fr

Supplier Data

Immunohistochemistry (Frozen sections) - Anti-TMEM175 antibody [EPR29579-563] - BSA and Azide free (AB325957)

This data was developed using ab323710, the same antibody clone in a different buffer formulation.

Immunohistochemical analysis of 4% PFA-fixed 0.2% Triton X-100 permeabilized frozen Rat testis (perfused fixed) tissue labeling TMEM175 with ab323710 at 1/50 (9.96 ug/ml) dilution followed by ab150081 Goat Anti-Rabbit IgG H&L (Alexa Fluor® 488) preadsorbed at 1/1000 2 ug/mL dilution (Green).

Confocal image showing positive staining on rat testis. The nuclear counterstain was DAPI (Blue). The section was incubated with ab323710 for 60 mins at room temperature. The section was then mounted using Fluoromount®.The immunostaining was performed on a Leica Biosystems BOND® RX instrument. Image was taken with a confocal microscope (Leica-Microsystems TCS SP8).

Secondary antibody control : Secondary antibody is ab150081 Goat Anti-Rabbit IgG H&L (Alexa Fluor® 488) preadsorbed at 1/1000 2 ug/mL dilution.

Heat mediated antigen retrieval using sodium citrate buffer (10mM citrate pH 6.0 + 0.05% Tween-20)

Immunohistochemistry (Formalin/PFA-fixed paraffin-embedded sections) - Anti-TMEM175 antibody [EPR29579-563] - BSA and Azide free (AB325957)
  • IHC-P

Supplier Data

Immunohistochemistry (Formalin/PFA-fixed paraffin-embedded sections) - Anti-TMEM175 antibody [EPR29579-563] - BSA and Azide free (AB325957)

This data was developed using ab323710, the same antibody clone in a different buffer formulation.

Immunohistochemical analysis of paraffin-embedded Rat skeletal muscle tissue labeling TMEM175 with ab323710 at 1/100 (5.0 ug/ml) dilution followed by a ready to use LeicaDS9800 (Bond™ Polymer Refine Detection).

Low expression : no staining on rat skeletal muscle. The section was incubated with ab320710 for 30 mins at room temperature.
The immunostaining was performed on a Leica Biosystems BOND® RX instrument

Counterstained with Hematoxylin.

Secondary antibody only control : Secondary antibody is a ready to use LeicaDS9800 (Bond™ Polymer Refine Detection).

Heat mediated antigen retrieval was performed with Tris-EDTA buffer (pH 9.0 Epitope Retrieval Solution2) for 20 mins

Immunohistochemistry (Formalin/PFA-fixed paraffin-embedded sections) - Anti-TMEM175 antibody [EPR29579-563] - BSA and Azide free (AB325957)
  • IHC-P

Supplier Data

Immunohistochemistry (Formalin/PFA-fixed paraffin-embedded sections) - Anti-TMEM175 antibody [EPR29579-563] - BSA and Azide free (AB325957)

This data was developed using ab323710, the same antibody clone in a different buffer formulation.

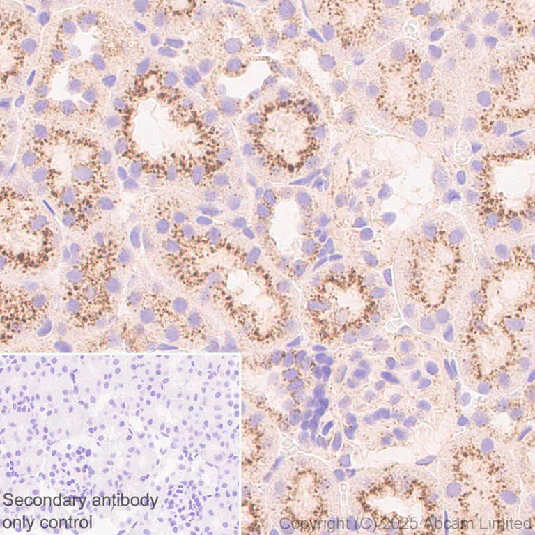
Immunohistochemical analysis of paraffin-embedded Rat kidney tissue labeling TMEM175 with ab323710 at 1/100 (5.0 ug/ml) dilution followed by a ready to use LeicaDS9800 (Bond™ Polymer Refine Detection).

Positive staining on rat kidney. The section was incubated with ab320710 for 30 mins at room temperature.
The immunostaining was performed on a Leica Biosystems BOND® RX instrument

Counterstained with Hematoxylin.

Secondary antibody only control : Secondary antibody is a ready to use LeicaDS9800 (Bond™ Polymer Refine Detection).

Heat mediated antigen retrieval was performed with Tris-EDTA buffer (pH 9.0 Epitope Retrieval Solution2) for 20 mins

Immunohistochemistry (Formalin/PFA-fixed paraffin-embedded sections) - Anti-TMEM175 antibody [EPR29579-563] - BSA and Azide free (AB325957)
  • IHC-P

Supplier Data

Immunohistochemistry (Formalin/PFA-fixed paraffin-embedded sections) - Anti-TMEM175 antibody [EPR29579-563] - BSA and Azide free (AB325957)

This data was developed using ab323710, the same antibody clone in a different buffer formulation.

Immunohistochemical analysis of paraffin-embedded Rat spleen tissue labeling TMEM175 with ab323710 at 1/100 (5.0 ug/ml) dilution followed by a ready to use LeicaDS9800 (Bond™ Polymer Refine Detection).

Positive staining on rat spleen. The section was incubated with ab320710 for 30 mins at room temperature.
The immunostaining was performed on a Leica Biosystems BOND® RX instrument

Counterstained with Hematoxylin.

Secondary antibody only control : Secondary antibody is a ready to use LeicaDS9800 (Bond™ Polymer Refine Detection).

Heat mediated antigen retrieval was performed with Tris-EDTA buffer (pH 9.0 Epitope Retrieval Solution2) for 20 mins

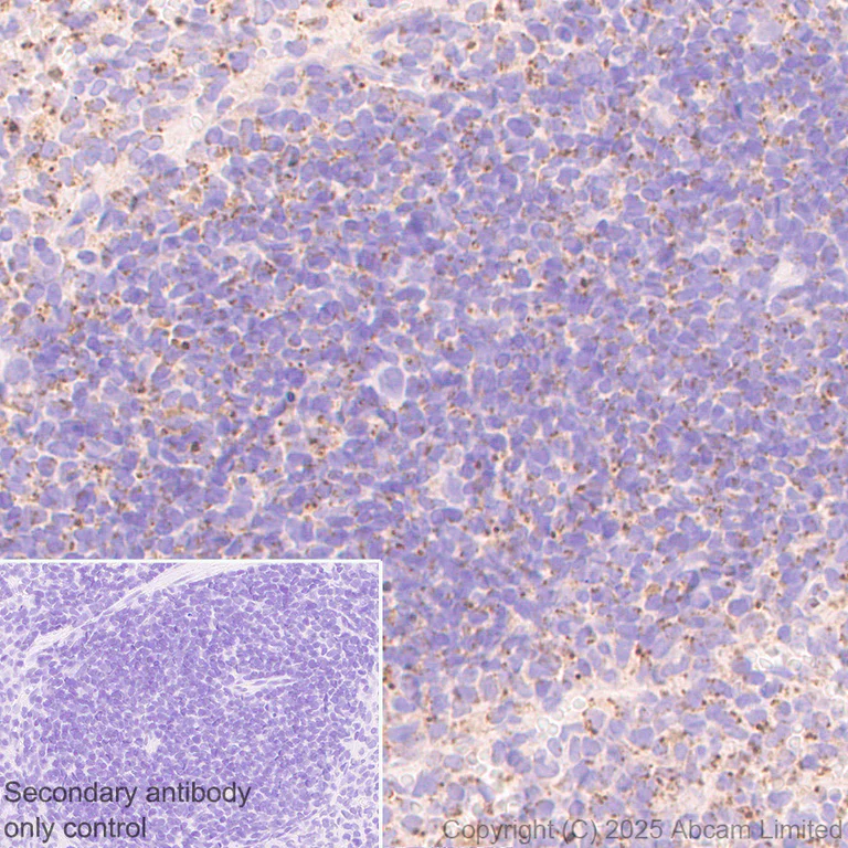
Immunohistochemistry (Formalin/PFA-fixed paraffin-embedded sections) - Anti-TMEM175 antibody [EPR29579-563] - BSA and Azide free (AB325957)
  • IHC-P

Supplier Data

Immunohistochemistry (Formalin/PFA-fixed paraffin-embedded sections) - Anti-TMEM175 antibody [EPR29579-563] - BSA and Azide free (AB325957)

This data was developed using ab323710, the same antibody clone in a different buffer formulation.

Immunohistochemical analysis of paraffin-embedded Rat testis tissue labeling TMEM175 with ab323710 at 1/100 (5.0 ug/ml) dilution followed by a ready to use LeicaDS9800 (Bond™ Polymer Refine Detection).

Positive staining on rat testis. The section was incubated with ab320710 for 30 mins at room temperature.
The immunostaining was performed on a Leica Biosystems BOND® RX instrument

Counterstained with Hematoxylin.

Secondary antibody only control : Secondary antibody is a ready to use LeicaDS9800 (Bond™ Polymer Refine Detection).

Heat mediated antigen retrieval was performed with Tris-EDTA buffer (pH 9.0 Epitope Retrieval Solution2) for 20 mins

Immunohistochemistry (Formalin/PFA-fixed paraffin-embedded sections) - Anti-TMEM175 antibody [EPR29579-563] - BSA and Azide free (AB325957)
  • IHC-P

Supplier Data

Immunohistochemistry (Formalin/PFA-fixed paraffin-embedded sections) - Anti-TMEM175 antibody [EPR29579-563] - BSA and Azide free (AB325957)

This data was developed using ab323710, the same antibody clone in a different buffer formulation.

Immunohistochemical analysis of paraffin-embedded Mouse skeletal muscle tissue labeling TMEM175 with ab323710 at 1/100 (5.0 ug/ml) dilution followed by a ready to use LeicaDS9800 (Bond™ Polymer Refine Detection).

Low expression : no staining on mouse skeletal muscle. The section was incubated with ab320710 for 30 mins at room temperature.
The immunostaining was performed on a Leica Biosystems BOND® RX instrument

Counterstained with Hematoxylin.

Secondary antibody only control : Secondary antibody is a ready to use LeicaDS9800 (Bond™ Polymer Refine Detection).

Heat mediated antigen retrieval was performed with Tris-EDTA buffer (pH 9.0 Epitope Retrieval Solution2) for 20 mins

Immunohistochemistry (Formalin/PFA-fixed paraffin-embedded sections) - Anti-TMEM175 antibody [EPR29579-563] - BSA and Azide free (AB325957)
  • IHC-P

Supplier Data

Immunohistochemistry (Formalin/PFA-fixed paraffin-embedded sections) - Anti-TMEM175 antibody [EPR29579-563] - BSA and Azide free (AB325957)

This data was developed using ab323710, the same antibody clone in a different buffer formulation.

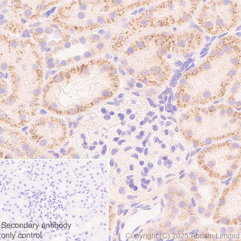
Immunohistochemical analysis of paraffin-embedded Mouse kidney tissue labeling TMEM175 with ab323710 at 1/100 (5.0 ug/ml) dilution followed by a ready to use LeicaDS9800 (Bond™ Polymer Refine Detection).

Positive staining on mouse kidney. The section was incubated with ab320710 for 30 mins at room temperature.
The immunostaining was performed on a Leica Biosystems BOND® RX instrument

Counterstained with Hematoxylin.

Secondary antibody only control : Secondary antibody is a ready to use LeicaDS9800 (Bond™ Polymer Refine Detection).

Heat mediated antigen retrieval was performed with Tris-EDTA buffer (pH 9.0 Epitope Retrieval Solution2) for 20 mins

Immunohistochemistry (Formalin/PFA-fixed paraffin-embedded sections) - Anti-TMEM175 antibody [EPR29579-563] - BSA and Azide free (AB325957)
  • IHC-P

Supplier Data

Immunohistochemistry (Formalin/PFA-fixed paraffin-embedded sections) - Anti-TMEM175 antibody [EPR29579-563] - BSA and Azide free (AB325957)

This data was developed using ab323710, the same antibody clone in a different buffer formulation.

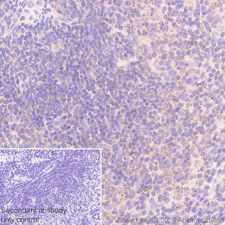
Immunohistochemical analysis of paraffin-embedded Mouse spleen tissue labeling TMEM175 with ab323710 at 1/100 (5.0 ug/ml) dilution followed by a ready to use LeicaDS9800 (Bond™ Polymer Refine Detection).

Positive staining on mouse spleen. The section was incubated with ab320710 for 30 mins at room temperature.
The immunostaining was performed on a Leica Biosystems BOND® RX instrument

Counterstained with Hematoxylin.

Secondary antibody only control : Secondary antibody is a ready to use LeicaDS9800 (Bond™ Polymer Refine Detection).

Heat mediated antigen retrieval was performed with Tris-EDTA buffer (pH 9.0 Epitope Retrieval Solution2) for 20 mins

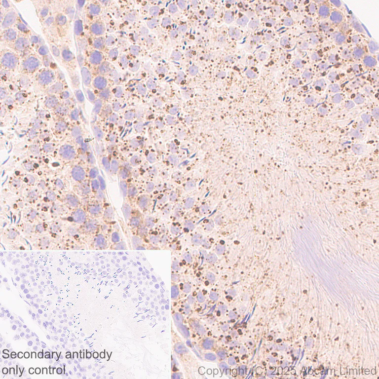
Immunohistochemistry (Formalin/PFA-fixed paraffin-embedded sections) - Anti-TMEM175 antibody [EPR29579-563] - BSA and Azide free (AB325957)
  • IHC-P

Supplier Data

Immunohistochemistry (Formalin/PFA-fixed paraffin-embedded sections) - Anti-TMEM175 antibody [EPR29579-563] - BSA and Azide free (AB325957)

This data was developed using ab323710, the same antibody clone in a different buffer formulation.

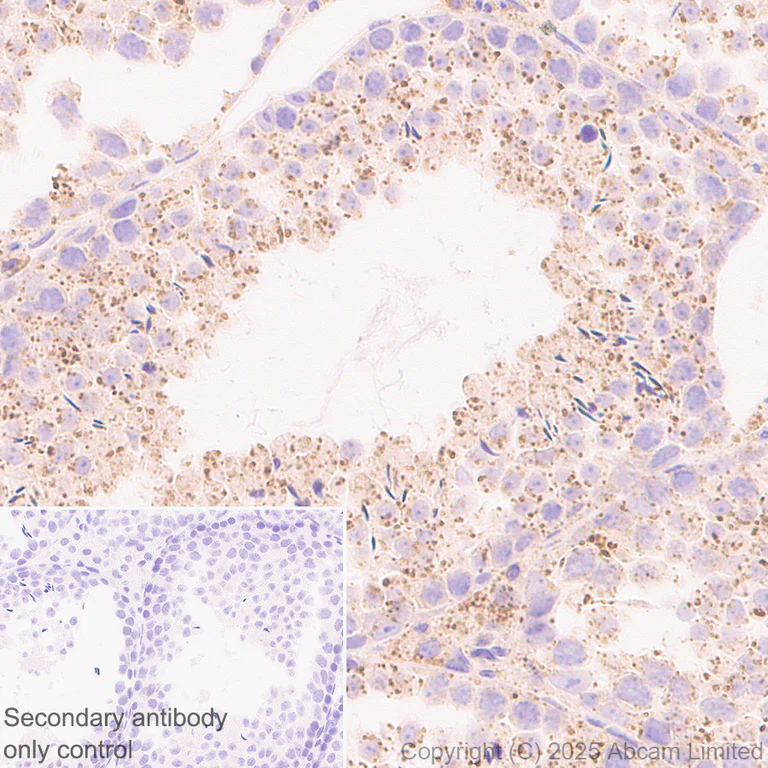
Immunohistochemical analysis of paraffin-embedded Mouse testis tissue labeling TMEM175 with ab323710 at 1/100 (5.0 ug/ml) dilution followed by a ready to use LeicaDS9800 (Bond™ Polymer Refine Detection).

Positive staining on mouse testis. The section was incubated with ab320710 for 30 mins at room temperature.
The immunostaining was performed on a Leica Biosystems BOND® RX instrument

Counterstained with Hematoxylin.

Secondary antibody only control : Secondary antibody is a ready to use LeicaDS9800 (Bond™ Polymer Refine Detection).

Heat mediated antigen retrieval was performed with Tris-EDTA buffer (pH 9.0 Epitope Retrieval Solution2) for 20 mins

Western blot - Anti-TMEM175 antibody [EPR29579-563] - BSA and Azide free (AB325957)
  • WB

Supplier Data

Western blot - Anti-TMEM175 antibody [EPR29579-563] - BSA and Azide free (AB325957)

This data was developed using ab323710, the same antibody clone in a different buffer formulation.

Blocking and diluting buffer and concentration : 5% NFDM/TBST.

Low expression : Skeletal muscle

The samples are unboiled.

This blot was developed using a high-sensitivity ECL substrate allowing for the detection of proteins in the mid-femtogram range.

The identity of the bands higher than 45 kDa is unknown.

In Western blot Anti-GAPDH antibody [EPR16891] - Loading Control (ab181602) staining at 1/200000 dilution.

All lanes:

Western blot - Anti-TMEM175 antibody [EPR29579-563] (<a href='/en-us/products/primary-antibodies/tmem175-antibody-epr29579-563-ab323710'>ab323710</a>) at 1/1000 dilution

Lane 1:

Mouse testis tissue lysate at 20 µg

Lane 2:

Mouse midbrain tissue lysate at 20 µg

Lane 3:

Mouse lung tissue lysate at 20 µg

Lane 4:

Mouse skeletal muscle tissue lysate at 20 µg

Lane 5:

Rat testis tissue lysate at 20 µg

Lane 6:

Rat midbrain tissue lysate at 20 µg

Lane 7:

Rat lung tissue lysate at 20 µg

Lane 8:

Rat skeletal muscle tissue lysate at 20 µg

Secondary

All lanes:

Western blot - Goat Anti-Rabbit IgG H&L (HRP) (<a href='/en-us/products/secondary-antibodies/goat-rabbit-igg-h-l-hrp-ab97051'>ab97051</a>) at 1/100000 dilution

Observed band size: 45 kDa,36 kDa

true

Exposure time: 125s

Western blot - Anti-TMEM175 antibody [EPR29579-563] - BSA and Azide free (AB325957)
  • WB

Supplier Data

Western blot - Anti-TMEM175 antibody [EPR29579-563] - BSA and Azide free (AB325957)

This data was developed using ab323710, the same antibody clone in a different buffer formulation.

Blocking and diluting buffer and concentration : 5% NFDM/TBST.

The samples are unboiled.

This blot was developed using a high-sensitivity ECL substrate allowing for the detection of proteins in the mid-femtogram range.

The identity of the bands higher than 45 kDa is unknown.

In Western blot Anti-GAPDH antibody [EPR16891] - Loading Control (ab181602) staining at 1/200000 dilution.

All lanes:

Western blot - Anti-TMEM175 antibody [EPR29579-563] (<a href='/en-us/products/primary-antibodies/tmem175-antibody-epr29579-563-ab323710'>ab323710</a>) at 1/1000 dilution

Lane 1:

Neuro-2a (mouse neuroblastoma neuroblast) whole cell lysate at 20 µg

Lane 2:

MEF (mouse embryo fibroblast) whole cell lysate at 20 µg

Lane 3:

PC-12 (rat adrenal gland pheochromocytoma cell) whole cell lysate at 20 µg

Lane 4:

C6 (rat glial tumor glial cell) whole cell lysate at 20 µg

Secondary

All lanes:

Western blot - Goat Anti-Rabbit IgG H&L (HRP) (<a href='/en-us/products/secondary-antibodies/goat-rabbit-igg-h-l-hrp-ab97051'>ab97051</a>) at 1/100000 dilution

Observed band size: 45 kDa,36 kDa

true

Exposure time: 92s

Western blot - Anti-TMEM175 antibody [EPR29579-563] - BSA and Azide free (AB325957)
  • WB

Supplier Data

Western blot - Anti-TMEM175 antibody [EPR29579-563] - BSA and Azide free (AB325957)

This data was developed using ab323710, the same antibody clone in a different buffer formulation.

Blocking and diluting buffer and concentration : 5% NFDM/TBST.

The samples are unboiled.

This blot was developed using a high-sensitivity ECL substrate allowing for the detection of proteins in the mid-femtogram range.

In Western blot Anti-GAPDH antibody [EPR16891] - Loading Control (ab181602) staining at 1/200000 dilution.

All lanes:

Western blot - Anti-TMEM175 antibody [EPR29579-563] (<a href='/en-us/products/primary-antibodies/tmem175-antibody-epr29579-563-ab323710'>ab323710</a>) at 1/1000 dilution

Lane 1:

NIH/3T3 (mouse embryonic fibroblast) transfected with scrambled siRNA control whole cell lysate at 20 µg

Lane 2:

NIH/3T3 transfected with siRNA specifically targeting mouse TMEM175 whole cell lysate at 20 µg

Secondary

All lanes:

Western blot - Goat Anti-Rabbit IgG H&L (HRP) (<a href='/en-us/products/secondary-antibodies/goat-rabbit-igg-h-l-hrp-ab97051'>ab97051</a>) at 1/100000 dilution

Observed band size: 45 kDa,36 kDa

true

Exposure time: 125s

Key facts

Host species

Rabbit

Clonality

Monoclonal

Clone number

EPR29579-563

Isotype

IgG

Carrier free

Yes

Reacts with

Mouse, Rat

Applications

IHC-P, WB, IHC-Fr

applications

Immunogen

The exact immunogen used to generate this antibody is proprietary information.

Specificity

Unsuitable for IHC‑Fr in fresh frozen tissue.

Reactivity data

{ "title": "Reactivity Data", "filters": { "stats": ["", "Species", "Dilution Info", "Notes"], "tabs": { "all-applications": {"fullname" : "All Applications", "shortname": "All Applications"}, "IHCFr" : {"fullname" : "Immunohistochemistry (Frozen sections)", "shortname":"IHC-Fr"}, "IHCP" : {"fullname" : "Immunohistochemistry (Formalin/PFA-fixed paraffin-embedded sections)", "shortname":"IHC-P"}, "WB" : {"fullname" : "Western blot", "shortname":"WB"}, "ICCIF" : {"fullname" : "Immunocytochemistry/ Immunofluorescence", "shortname":"ICC/IF"} }, "product-promise": { "all": "all", "testedAndGuaranteed": "tested", "guaranteed": "expected", "predicted": "predicted", "notRecommended": "not-recommended" } }, "values": { "Human": { "IHCFr-species-checked": "notRecommended", "IHCFr-species-dilution-info": "", "IHCFr-species-notes": "", "IHCP-species-checked": "notRecommended", "IHCP-species-dilution-info": "", "IHCP-species-notes": "", "WB-species-checked": "notRecommended", "WB-species-dilution-info": "", "WB-species-notes": "<p></p>", "ICCIF-species-checked": "notRecommended", "ICCIF-species-dilution-info": "", "ICCIF-species-notes": "<p></p>" }, "Mouse": { "IHCFr-species-checked": "testedAndGuaranteed", "IHCFr-species-dilution-info": "", "IHCFr-species-notes": "<p></p>", "IHCP-species-checked": "testedAndGuaranteed", "IHCP-species-dilution-info": "", "IHCP-species-notes": "<p></p> Perform heat-mediated antigen retrieval with Tris/EDTA buffer pH 9.0 before commencing with IHC staining protocol.", "WB-species-checked": "testedAndGuaranteed", "WB-species-dilution-info": "", "WB-species-notes": "<p></p>", "ICCIF-species-checked": "notRecommended", "ICCIF-species-dilution-info": "", "ICCIF-species-notes": "<p></p>" }, "Rat": { "IHCFr-species-checked": "testedAndGuaranteed", "IHCFr-species-dilution-info": "", "IHCFr-species-notes": "<p></p>", "IHCP-species-checked": "testedAndGuaranteed", "IHCP-species-dilution-info": "", "IHCP-species-notes": "<p></p> Perform heat-mediated antigen retrieval with Tris/EDTA buffer pH 9.0 before commencing with IHC staining protocol.", "WB-species-checked": "testedAndGuaranteed", "WB-species-dilution-info": "", "WB-species-notes": "<p></p>", "ICCIF-species-checked": "notRecommended", "ICCIF-species-dilution-info": "", "ICCIF-species-notes": "<p></p>" } } }

Product details

ab325957 is the carrier-free version of ab323710

Patented technology
Our RabMAb® technology is a patented hybridoma-based technology for making rabbit monoclonal antibodies. For details on our patents, please refer to RabMAb® patents.

What are the advantages of a recombinant monoclonal antibody?
This product is a recombinant monoclonal antibody, which offers several advantages including:

  • - High batch-to-batch consistency and reproducibility
  • - Improved sensitivity and specificity
  • - Long-term security of supply
  • - Animal-free batch production

For more information, read more on recombinant antibodies.

Conjugation ready
Our carrier-free antibodies are typically supplied in a PBS-only formulation, purified and free of BSA, sodium azide and glycerol. This conjugation-ready format is designed for use with fluorochromes, metal isotopes, oligonucleotides, and enzymes, which makes them ideal for antibody labelling, functional and cell-based assays, flow-based assays (e.g. mass cytometry) and Multiplex Imaging applications.

Use our conjugation kits for antibody conjugates that are ready-to-use in as little as 20 minutes with 1 minute hands-on-time and 100% antibody recovery: available for fluorescent dyes, HRP, biotin and gold.

Compatibility
This product is compatible with the Maxpar® Antibody Labeling Kit from Fluidigm, without the need for antibody preparation. Maxpar® is a trademark of Fluidigm Canada Inc.

Properties and storage information

Form
Liquid
Purification technique
Affinity purification Protein A
Storage buffer
pH: 7.2 - 7.4 Constituents: PBS
Shipped at conditions
Blue Ice
Appropriate short-term storage conditions
+4°C
Appropriate long-term storage conditions
+4°C
Storage information
Do Not Freeze

Product protocols

For this product, it's our understanding that no specific protocols are required. You can visit:

Target data

Proton-activated proton channel that catalyzes proton efflux from endosomes and lysosomes to maintain a steady-state pH (By similarity). Activated at low pH (under pH 4.6) by luminal side protons : selectively mediates lysosomal proton release from lysosomes, eliciting a proton leak that balances V-ATPase activity to maintain pH homeostasis (By similarity). Regulation of lumenal pH stability is required for autophagosome-lysosome fusion (By similarity). Also acts as a potassium channel at higher pH, regulating potassium conductance in endosomes and lysosomes (By similarity). Constitutes the pore-forming subunit of the lysoK(GF) complex, a complex activated by extracellular growth factors (By similarity). The lysoK(GF) complex is composed of TMEM175 and AKT (AKT1, AKT2 or AKT3), a major target of growth factor receptors : in the complex, TMEM175 channel is opened by conformational changes by AKT, leading to its activation (By similarity). The lysoK(GF) complex is required to protect neurons against stress-induced damage (Probable) (PubMed : 32799888).
See full target information Tmem175

Additional targets

Tmem175

Product promise

We are committed to supporting your work with high-quality reagents, and we're here for you every step of the way. In the unlikely event that one of our products does not perform as expected, you're protected by our Product Promise.
For full details, please see our Terms & Conditions

Please note: All products are 'FOR RESEARCH USE ONLY. NOT FOR USE IN DIAGNOSTIC OR THERAPEUTIC PROCEDURES'.

For licensing inquiries, please contact partnerships@abcam.com