JavaScript is disabled in your browser. Please enable JavaScript to view this website.
AB236858

Anti-TMEM192 antibody

Be the first to review this product! Submit a review

|

(1 Publication)

Rabbit Polyclonal TMEM192 antibody. Suitable for IP, WB, IHC-P, ICC/IF and reacts with Human samples. Cited in 1 publication. Immunogen corresponding to Recombinant Fragment Protein within Human TMEM192 aa 150 to C-terminus.

View Alternative Names

Transmembrane protein 192, TMEM192

5 Images
Immunocytochemistry/ Immunofluorescence - Anti-TMEM192 antibody (AB236858)
  • ICC/IF

Supplier Data

Immunocytochemistry/ Immunofluorescence - Anti-TMEM192 antibody (AB236858)

A549 (human lung carcinoma cell line) cells stained for TMEM192 (green) using ab236858 at 1/133 dilution in ICC/IF, followed by Alexa Fluor 488® conjugated Goat Anti-Rabbit IgG (H+L).

The cells were fixed in 4% formaldehyde, permeabilized tissue using 0.2% Triton X-100 and blocked in 10% normal Goat Serum. The cells were then incubated with the antibody overnight at 4°C

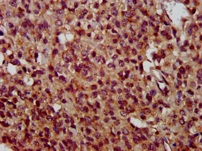
Immunohistochemistry (Formalin/PFA-fixed paraffin-embedded sections) - Anti-TMEM192 antibody (AB236858)
  • IHC-P

Supplier Data

Immunohistochemistry (Formalin/PFA-fixed paraffin-embedded sections) - Anti-TMEM192 antibody (AB236858)

Paraffin-embedded human adrenal gland tissue stained for TMEM192 using ab236858 at 1/400 dilution in immunohistochemical analysis.

After dewaxing and hydration, antigen retrieval was mediated by high pressure in a citrate buffer (pH 6.0). Section was blocked with 10% normal goat serum 30 minutes at RT. Then primary antibody (1% BSA) was incubated at 4°C overnight. The primary is detected by a biotinylated secondary antibody and visualized tissue using an HRP conjugated SP system.

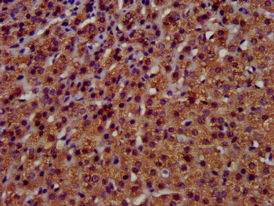
Immunohistochemistry (Formalin/PFA-fixed paraffin-embedded sections) - Anti-TMEM192 antibody (AB236858)
  • IHC-P

Supplier Data

Immunohistochemistry (Formalin/PFA-fixed paraffin-embedded sections) - Anti-TMEM192 antibody (AB236858)

Paraffin-embedded human glioma tissue stained for TMEM192 using ab236858 at 1/400 dilution in immunohistochemical analysis.

After dewaxing and hydration, antigen retrieval was mediated by high pressure in a citrate buffer (pH 6.0). Section was blocked with 10% normal goat serum 30 minutes at RT. Then primary antibody (1% BSA) was incubated at 4°C overnight. The primary is detected by a biotinylated secondary antibody and visualized tissue using an HRP conjugated SP system.

Immunoprecipitation - Anti-TMEM192 antibody (AB236858)
  • IP

Supplier Data

Immunoprecipitation - Anti-TMEM192 antibody (AB236858)

TMEM192 was immunoprecipitated from 0.5 mg Jurkat (human T cell leukemia cell line from peripheral blood) whole cell extract with ab236858 at 1/200 dilution.

Lane 1 : Control rabbit IgG IP in Jurkat whole cell lysate.

Lane 2 : ab236858 IP in Jurkat whole cell lysate.

Lane 3 : Jurkat whole cell lysate 10 μg (Input).

For western blotting, an HRP-conjugated Protein G antibody was used as the secondary antibody at 1/2000 dilution.

All lanes:

Immunoprecipitation - Anti-TMEM192 antibody (ab236858)

Predicted band size: 31 kDa

false

Western blot - Anti-TMEM192 antibody (AB236858)
  • WB

Supplier Data

Western blot - Anti-TMEM192 antibody (AB236858)

All lanes:

Western blot - Anti-TMEM192 antibody (ab236858) at 1/1000 dilution

All lanes:

HeLa (human epithelial cell line from cervix adenocarcinoma) whole cell lysate

Secondary

All lanes:

Goat polyclonal to rabbit IgG at 1/50000 dilution

Predicted band size: 31 kDa

false

Key facts

Host species

Rabbit

Clonality

Polyclonal

Isotype

IgG

Carrier free

No

Reacts with

Human

Applications

IHC-P, WB, ICC/IF, IP

applications

Immunogen

Recombinant Fragment Protein within Human TMEM192 aa 150 to C-terminus. The exact immunogen used to generate this antibody is proprietary information.

Q8IY95

Reactivity data

{ "title": "Reactivity Data", "filters": { "stats": ["", "Species", "Dilution Info", "Notes"], "tabs": { "all-applications": {"fullname" : "All Applications", "shortname": "All Applications"}, "IP" : {"fullname" : "Immunoprecipitation", "shortname":"IP"}, "WB" : {"fullname" : "Western blot", "shortname":"WB"}, "IHCP" : {"fullname" : "Immunohistochemistry (Formalin/PFA-fixed paraffin-embedded sections)", "shortname":"IHC-P"}, "ICCIF" : {"fullname" : "Immunocytochemistry/ Immunofluorescence", "shortname":"ICC/IF"} }, "product-promise": { "all": "all", "testedAndGuaranteed": "tested", "guaranteed": "expected", "predicted": "predicted", "notRecommended": "not-recommended" } }, "values": { "Human": { "IP-species-checked": "testedAndGuaranteed", "IP-species-dilution-info": "1/200 - 1/2000", "IP-species-notes": "<p></p>", "WB-species-checked": "testedAndGuaranteed", "WB-species-dilution-info": "1/1000 - 1/5000", "WB-species-notes": "<p></p>", "IHCP-species-checked": "testedAndGuaranteed", "IHCP-species-dilution-info": "1/20 - 1/200", "IHCP-species-notes": "<p></p>", "ICCIF-species-checked": "testedAndGuaranteed", "ICCIF-species-dilution-info": "1/50 - 1/500", "ICCIF-species-notes": "<p></p>" }, "Orangutan": { "IP-species-checked": "predicted", "IP-species-dilution-info": "", "IP-species-notes": "", "WB-species-checked": "predicted", "WB-species-dilution-info": "", "WB-species-notes": "", "IHCP-species-checked": "predicted", "IHCP-species-dilution-info": "", "IHCP-species-notes": "", "ICCIF-species-checked": "predicted", "ICCIF-species-dilution-info": "", "ICCIF-species-notes": "" } } }

Properties and storage information

Form
Liquid
Purification technique
Affinity purification Protein G
Purification notes
Purity >95%.
Storage buffer
pH: 7.4 Preservative: 0.03% Proclin 300 Constituents: PBS, 50% Glycerol (glycerin, glycerine)
Shipped at conditions
Blue Ice
Appropriate short-term storage duration
1-2 weeks
Appropriate short-term storage conditions
+4°C
Appropriate long-term storage conditions
-20°C
Aliquoting information
Upon delivery aliquot
Storage information
Avoid freeze / thaw cycle

Supplementary information

This supplementary information is collated from multiple sources and compiled automatically.

TMEM192 also known as Transmembrane Protein 192 has a molecular weight of approximately 25 kDa. It is a lysosomal membrane protein expressed in various tissues including the spleen and thymus. This protein predominantly localizes to the lysosomal compartment where it plays a role in maintaining lysosomal integrity. Researchers often study TMEM192 for its role in membrane stabilization and its interaction with other lysosomal proteins.
Biological function summary

TMEM192 participates in the regulation of lysosomal functions. It integrates into the lysosomal membrane and contributes to the stability and function of this organelle. While not commonly part of larger protein complexes it influences lysosomal enzymatic activities by stabilizing the lysosomal environment. Its role in regulating pH and transport processes within the lysosome directly affects how the cell processes cellular debris and macromolecules.

Pathways

TMEM192 interacts with cellular processes related to lysosomal biogenesis and autophagy. It functions closely with lysosomal-associated membrane protein 1 (LAMP1) within the lysosomal pathway which plays a critical role in the degradation and recycling of cellular components. The lysosomal pathway where TMEM192 operates is significant for maintaining cellular homeostasis by regulating autophagic activity and responding to nutrient availability.

Disruptions in TMEM192 function associate with lysosomal storage disorders. Altered expression or mutations in TMEM192 link to Niemann-Pick disease type C which involves the accumulation of lipids within lysosomes. LAMP1 a protein associated with TMEM192 also plays a part in this disease pathway contributing to understanding the mechanism of lysosomal dysregulation in Niemann-Pick and similar disorders.

Product protocols

For this product, it's our understanding that no specific protocols are required. You can visit:

Publications (1)

Recent publications for all applications. Explore the full list and refine your search

Experimental dermatology 31:1253-1263 PubMed35514241

2022

Silencing of Rab23 by siRNA inhibits ultraviolet B-induced melanogenesis via downregulation of PKA/CREB/MITF.

Applications

Unspecified application

Species

Unspecified reactive species

Xuanjin Wei,Min Huang,Yi Yang,Yali Liu,Sumin Chi,Chengxin Li
View all publications

Product promise

We are committed to supporting your work with high-quality reagents, and we're here for you every step of the way. In the unlikely event that one of our products does not perform as expected, you're protected by our Product Promise.
For full details, please see our Terms & Conditions

Please note: All products are 'FOR RESEARCH USE ONLY. NOT FOR USE IN DIAGNOSTIC OR THERAPEUTIC PROCEDURES'.

For licensing inquiries, please contact partnerships@abcam.com