JavaScript is disabled in your browser. Please enable JavaScript to view this website.
AB272644

Anti-TMEM2 antibody

Be the first to review this product! Submit a review

|

(1 Publication)

Rabbit Polyclonal TMEM2 antibody. Suitable for IHC-P, WB, ICC/IF and reacts with Human samples. Cited in 1 publication. Immunogen corresponding to Recombinant Fragment Protein within Human CEMIP2 aa 1-100.

View Alternative Names

KIAA1412, TMEM2, CEMIP2, Cell surface hyaluronidase CEMIP2, Cell migration-inducing hyaluronidase 2, Transmembrane protein 2

6 Images
Immunohistochemistry (Formalin/PFA-fixed paraffin-embedded sections) - Anti-TMEM2 antibody (AB272644)
  • IHC-P

Unknown

Immunohistochemistry (Formalin/PFA-fixed paraffin-embedded sections) - Anti-TMEM2 antibody (AB272644)

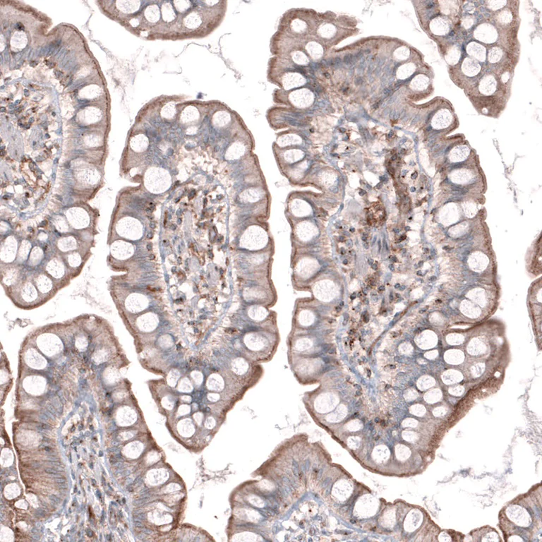
Paraffin-embedded formalin-fixed human small intestine tissue stained for TMEM2 using ab272644 at 1/50 dilution in immunohistochemical analysis.

Immunohistochemistry (Formalin/PFA-fixed paraffin-embedded sections) - Anti-TMEM2 antibody (AB272644)
  • IHC-P

Supplier Data

Immunohistochemistry (Formalin/PFA-fixed paraffin-embedded sections) - Anti-TMEM2 antibody (AB272644)

Paraffin-embedded formalin-fixed human Fallopian tube tissue stained for TMEM2 using ab272644 at 1/50 dilution in immunohistochemical analysis.

Western blot - Anti-TMEM2 antibody (AB272644)
  • WB

Unknown

Western blot - Anti-TMEM2 antibody (AB272644)

All lanes:

Western blot - Anti-TMEM2 antibody (ab272644) at 0.4 µg/mL

Lane 1:

A549 cells (Human lung carcinoma cell line)

Lane 2:

PC-3 cells (Human prostate adenocarcinoma cell line)

Predicted band size: 154 kDa

false

Immunohistochemistry (Formalin/PFA-fixed paraffin-embedded sections) - Anti-TMEM2 antibody (AB272644)
  • IHC-P

Unknown

Immunohistochemistry (Formalin/PFA-fixed paraffin-embedded sections) - Anti-TMEM2 antibody (AB272644)

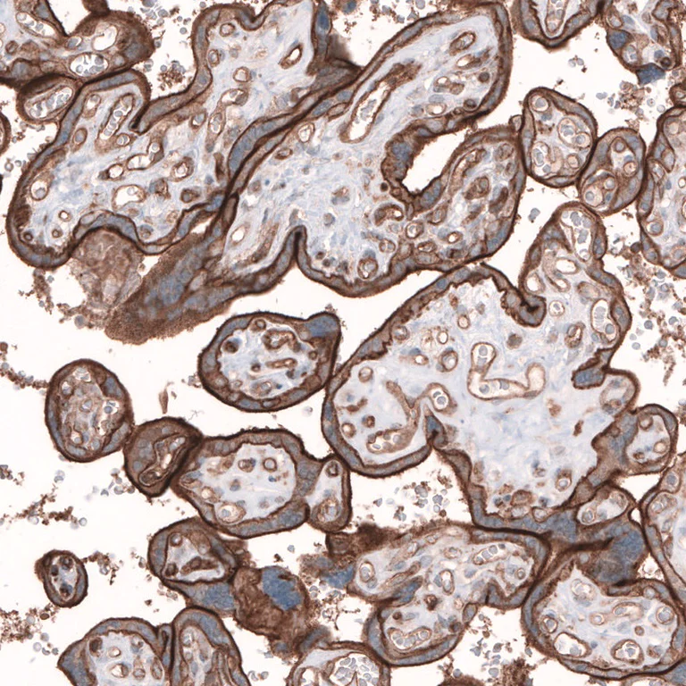
Paraffin-embedded formalin-fixed human placenta tissue stained for TMEM2 using ab272644 at 1/50 dilution in immunohistochemical analysis.

Immunohistochemistry (Formalin/PFA-fixed paraffin-embedded sections) - Anti-TMEM2 antibody (AB272644)
  • IHC-P

Unknown

Immunohistochemistry (Formalin/PFA-fixed paraffin-embedded sections) - Anti-TMEM2 antibody (AB272644)

Paraffin-embedded formalin-fixed human skeletal tissue stained for TMEM2 using ab272644 at 1/50 dilution in immunohistochemical analysis. Shows no expression as expected.

Immunocytochemistry/ Immunofluorescence - Anti-TMEM2 antibody (AB272644)
  • ICC/IF

Unknown

Immunocytochemistry/ Immunofluorescence - Anti-TMEM2 antibody (AB272644)

PFA fixed, Triton X-100 permeablized U-2 OS cells (human bone osteosarcoma epithelial cell line) labeling TMEM2 (green) using ab272644 at 2 ug/ml in ICC/IF analysis.

Key facts

Host species

Rabbit

Clonality

Polyclonal

Isotype

IgG

Carrier free

No

Reacts with

Human

Applications

ICC/IF, IHC-P, WB

applications

Immunogen

Recombinant Fragment Protein within Human CEMIP2 aa 1-100. The exact immunogen used to generate this antibody is proprietary information.

Q9UHN6

Reactivity data

{ "title": "Reactivity Data", "filters": { "stats": ["", "Species", "Dilution Info", "Notes"], "tabs": { "all-applications": {"fullname" : "All Applications", "shortname": "All Applications"}, "IHCP" : {"fullname" : "Immunohistochemistry (Formalin/PFA-fixed paraffin-embedded sections)", "shortname":"IHC-P"}, "WB" : {"fullname" : "Western blot", "shortname":"WB"}, "ICCIF" : {"fullname" : "Immunocytochemistry/ Immunofluorescence", "shortname":"ICC/IF"} }, "product-promise": { "all": "all", "testedAndGuaranteed": "tested", "guaranteed": "expected", "predicted": "predicted", "notRecommended": "not-recommended" } }, "values": { "Human": { "IHCP-species-checked": "testedAndGuaranteed", "IHCP-species-dilution-info": "1/50 - 1/200", "IHCP-species-notes": "<p></p> Perform heat-mediated antigen retrieval with citrate buffer pH 6 before commencing with IHC staining protocol.", "WB-species-checked": "testedAndGuaranteed", "WB-species-dilution-info": "0.04-0.4 µg/mL", "WB-species-notes": "<p></p>", "ICCIF-species-checked": "testedAndGuaranteed", "ICCIF-species-dilution-info": "0.25-2 µg/mL", "ICCIF-species-notes": "<p></p>" } } }

Properties and storage information

Form
Liquid
Purification technique
Affinity purification Immunogen
Storage buffer
pH: 7.2 Preservative: 0.02% Sodium azide Constituents: PBS, 40% Glycerol (glycerin, glycerine)
Shipped at conditions
Blue Ice
Appropriate short-term storage duration
1-2 weeks
Appropriate short-term storage conditions
+4°C
Appropriate long-term storage conditions
-20°C
Aliquoting information
Upon delivery aliquot
Storage information
Avoid freeze / thaw cycle

Supplementary information

This supplementary information is collated from multiple sources and compiled automatically.

TMEM2 also known as Transmembrane Protein 2 is a protein involved in the hydrolysis of hyaluronan a component of the extracellular matrix. TMEM2 is a single-pass type II transmembrane protein with a molecular mass of approximately 150 kDa. It is expressed in various tissues with heightened expression in the heart skeletal muscle and connective tissues. Researchers have noted its importance in the remodeling of the matrix during developmental processes and tissue repair.
Biological function summary

The protein TMEM2 plays a role in hyaluronan turnover which affects processes like cell motility and proliferation. It is not part of a larger protein complex but its activity influences the availability of hyaluronan fragments that interact with other cell surface receptors. This interaction can influence cellular responses such as inflammation and tissue modeling.

Pathways

TMEM2 is significant in the matrix degradation pathway impacting cellular and tissue development signaling. It is related to the extracellular matrix organization pathway where its function in hyaluronan degradation directly affects other matrix proteins. This interaction is often seen with proteins such as CD44 and RHAMM which are known to bind hyaluronan fragments and mediate further signaling.

TMEM2 mutations or dysfunctions have links to cardiovascular diseases and certain cancers. Its role in hyaluronan turnover has implications in pathological processes like tumor metastasis given that altered extracellular matrix can affect cancer cell mobility. The protein interacts with CD44 a receptor involved in tumor progression and metastasis highlighting its potential importance in oncological research. Understanding TMEM2 and its pathways could provide insights into therapeutic targets for treating cancer and cardiovascular conditions.

Product protocols

For this product, it's our understanding that no specific protocols are required. You can visit:

Target data

Cell surface hyaluronidase that mediates the initial cleavage of extracellular high-molecular-weight hyaluronan into intermediate-size hyaluronan of approximately 10-5 kDa fragments (PubMed : 37527776). Very specific to hyaluronan; not able to cleave chondroitin sulfate or dermatan sulfate. Has an essential function in systemic hyaluronan catabolism and turnover and regulates cell adhesion and migration via hyaluronan degradation at focal adhesion sites (By similarity). Acts as a regulator of angiogenesis and heart morphogenesis by mediating degradation of extracellular hyaluronan, thereby regulating VEGF signaling (By similarity).
See full target information CEMIP2

Publications (1)

Recent publications for all applications. Explore the full list and refine your search

Heliyon 9:e16559 PubMed37292284

2023

TMEM2 induces epithelial-mesenchymal transition and promotes resistance to temozolomide in GBM cells.

Applications

Unspecified application

Species

Unspecified reactive species

Lun Gao,Shiao Tong,Junhui Liu,Jiayang Cai,Zhang Ye,Long Zhou,Ping Song,Zhiyang Li,Pan Lei,Hangyu Wei,Qiuwei Hua,Daofeng Tian,Qiang Cai
View all publications

Product promise

We are committed to supporting your work with high-quality reagents, and we're here for you every step of the way. In the unlikely event that one of our products does not perform as expected, you're protected by our Product Promise.
For full details, please see our Terms & Conditions

Please note: All products are 'FOR RESEARCH USE ONLY. NOT FOR USE IN DIAGNOSTIC OR THERAPEUTIC PROCEDURES'.

For licensing inquiries, please contact partnerships@abcam.com