JavaScript is disabled in your browser. Please enable JavaScript to view this website.
AB224516

Anti-TMEM205 antibody

Be the first to review this product! Submit a review

|

(1 Publication)

Rabbit Polyclonal TMEM205 antibody. Suitable for IHC-P, WB, ICC/IF and reacts with Human samples. Cited in 1 publication. Immunogen corresponding to Recombinant Fragment Protein within Human TMEM205 aa 100 to C-terminus.

View Alternative Names

UNQ501/PRO1018, TMEM205, Transmembrane protein 205

3 Images
Immunocytochemistry/ Immunofluorescence - Anti-TMEM205 antibody (AB224516)
  • ICC/IF

Supplier Data

Immunocytochemistry/ Immunofluorescence - Anti-TMEM205 antibody (AB224516)

PFA-fixed, Triton X-100 permeabilized MCF7 (human breast adenocarcinoma cell line) cells stained for TMEM205 (green) using ab224516 at 4 μg/ml in ICC/IF.

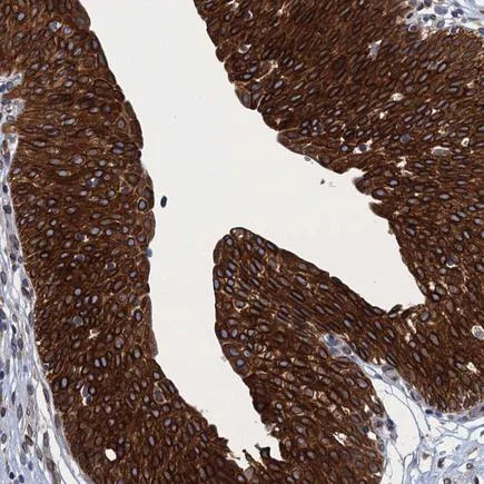
Immunohistochemistry (Formalin/PFA-fixed paraffin-embedded sections) - Anti-TMEM205 antibody (AB224516)
  • IHC-P

Supplier Data

Immunohistochemistry (Formalin/PFA-fixed paraffin-embedded sections) - Anti-TMEM205 antibody (AB224516)

Paraffin-embedded human urinary bladder tissue stained for TMEM205 using ab224516 at 1/1000 dilution in immunohistochemical analysis.

Western blot - Anti-TMEM205 antibody (AB224516)
  • WB

Supplier Data

Western blot - Anti-TMEM205 antibody (AB224516)

All lanes:

Western blot - Anti-TMEM205 antibody (ab224516) at 1/100 dilution

Lane 1:

RT4 (human urinary bladder cancer cell line) cell lysate

Lane 2:

U-251 MG sp (human brain glioma cell line) cell lysate

Lane 3:

Human plasma (IgG/HSA depleted)

Lane 4:

Human liver lysate

Lane 5:

Human tonsil lysate

Predicted band size: 21 kDa

true

Key facts

Host species

Rabbit

Clonality

Polyclonal

Isotype

IgG

Carrier free

No

Reacts with

Human

Applications

WB, ICC/IF, IHC-P

applications

Immunogen

Recombinant Fragment Protein within Human TMEM205 aa 100 to C-terminus. The exact immunogen used to generate this antibody is proprietary information.

Q6UW68

Reactivity data

{ "title": "Reactivity Data", "filters": { "stats": ["", "Species", "Dilution Info", "Notes"], "tabs": { "all-applications": {"fullname" : "All Applications", "shortname": "All Applications"}, "IHCP" : {"fullname" : "Immunohistochemistry (Formalin/PFA-fixed paraffin-embedded sections)", "shortname":"IHC-P"}, "WB" : {"fullname" : "Western blot", "shortname":"WB"}, "ICCIF" : {"fullname" : "Immunocytochemistry/ Immunofluorescence", "shortname":"ICC/IF"} }, "product-promise": { "all": "all", "testedAndGuaranteed": "tested", "guaranteed": "expected", "predicted": "predicted", "notRecommended": "not-recommended" } }, "values": { "Human": { "IHCP-species-checked": "testedAndGuaranteed", "IHCP-species-dilution-info": "1/1000 - 1/2500", "IHCP-species-notes": "<p></p> Perform heat-mediated antigen retrieval with citrate buffer pH 6 before commencing with IHC staining protocol.", "WB-species-checked": "testedAndGuaranteed", "WB-species-dilution-info": "0.04-0.4 µg/mL", "WB-species-notes": "<p></p>", "ICCIF-species-checked": "testedAndGuaranteed", "ICCIF-species-dilution-info": "0.25-2 µg/mL", "ICCIF-species-notes": "<p>Fixation/Permeabilization: PFA/Triton X-100.</p>" }, "Cow": { "IHCP-species-checked": "predicted", "IHCP-species-dilution-info": "", "IHCP-species-notes": "", "WB-species-checked": "predicted", "WB-species-dilution-info": "", "WB-species-notes": "", "ICCIF-species-checked": "predicted", "ICCIF-species-dilution-info": "", "ICCIF-species-notes": "" }, "Orangutan": { "IHCP-species-checked": "predicted", "IHCP-species-dilution-info": "", "IHCP-species-notes": "", "WB-species-checked": "predicted", "WB-species-dilution-info": "", "WB-species-notes": "", "ICCIF-species-checked": "predicted", "ICCIF-species-dilution-info": "", "ICCIF-species-notes": "" } } }

Properties and storage information

Form
Liquid
Purification technique
Affinity purification Immunogen
Storage buffer
pH: 7.2 Preservative: 0.02% Sodium azide Constituents: PBS, 40% Glycerol (glycerin, glycerine)
Shipped at conditions
Blue Ice
Appropriate short-term storage duration
1-2 weeks
Appropriate short-term storage conditions
+4°C
Appropriate long-term storage conditions
-20°C
Aliquoting information
Upon delivery aliquot
Storage information
Avoid freeze / thaw cycle

Supplementary information

This supplementary information is collated from multiple sources and compiled automatically.

TMEM205 also known as Transmembrane Protein 205 is an integral membrane protein involved in transportation processes across cellular membranes. It weighs approximately 26 kDa and primarily resides in the plasma membranes of cells. TMEM205 is expressed in a broad range of tissues with notable expression in the liver kidney lung and heart. This protein contributes to cellular processes by participating in the movement of various molecules across the cell envelope.
Biological function summary

It plays a role in cellular export mechanisms and likely intersects with the multidrug resistance (MDR) pathways. It does not form part of any larger protein complex but functions independently to modulate cellular response to different substances. Its presence associates with cellular export systems and impacts the ability of the cell to handle xenobiotics which are foreign chemical substances found within an organism.

Pathways

TMEM205 functions in the xenobiotic metabolism regulatory pathways and cellular stress response pathways. It interacts with proteins such as MDR1 (P-glycoprotein) and ABC transporters which are significant in drug resistance mechanisms. These interactions suggest its involvement in detoxification processes allowing cells to expel potentially harmful compounds and adapt to environmental changes.

TMEM205 has been connected to chemotherapy resistance in cancer notably influencing treatment outcomes. Its association with proteins like MDR1 contributes to this resistance by expelling chemotherapeutic agents from cells making treatment less effective. Additionally research indicates it may play a role in certain liver dysfunctions linking it to overall hepatic health and challenging the management of related disorders. Understanding TMEM205's function can aid in developing strategies to counteract drug resistance and support liver health.

Product protocols

For this product, it's our understanding that no specific protocols are required. You can visit:

Target data

In cancer cells, plays a role in resistance to the chemotherapeutic agent cisplatin.
See full target information TMEM205

Publications (1)

Recent publications for all applications. Explore the full list and refine your search

Cells 10: PubMed33671138

2021

Renal Proximal Tubule Cell Cannabinoid-1 Receptor Regulates Bone Remodeling and Mass via a Kidney-to-Bone Axis.

Applications

Unspecified application

Species

Unspecified reactive species

Saja Baraghithy,Yael Soae,Dekel Assaf,Liad Hinden,Shiran Udi,Adi Drori,Yankel Gabet,Joseph Tam
View all publications

Product promise

We are committed to supporting your work with high-quality reagents, and we're here for you every step of the way. In the unlikely event that one of our products does not perform as expected, you're protected by our Product Promise.
For full details, please see our Terms & Conditions

Please note: All products are 'FOR RESEARCH USE ONLY. NOT FOR USE IN DIAGNOSTIC OR THERAPEUTIC PROCEDURES'.

For licensing inquiries, please contact partnerships@abcam.com