JavaScript is disabled in your browser. Please enable JavaScript to view this website.
AB121362

Anti-TMEM25 antibody

Be the first to review this product! Submit a review

|

(2 Publications)

Rabbit Polyclonal TMEM25 antibody. Suitable for IHC-P, WB, ICC/IF and reacts with Human samples. Cited in 2 publications. Immunogen corresponding to Recombinant Fragment Protein within Human TMEM25 aa 250 to C-terminus.

View Alternative Names

UNQ2531/PRO6030, TMEM25, Transmembrane protein 25

6 Images
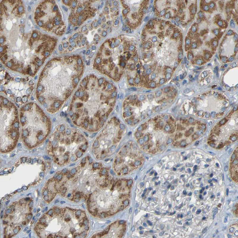
Immunohistochemistry (Formalin/PFA-fixed paraffin-embedded sections) - Anti-TMEM25 antibody (AB121362)
  • IHC-P

Supplier Data

Immunohistochemistry (Formalin/PFA-fixed paraffin-embedded sections) - Anti-TMEM25 antibody (AB121362)

Immunohistochemical analysis of human kidney tissue labelled for TMEM25 using ab121362 at a dilution of 1/50. Positive cytoplasmic staining in human tubule cells.

Immunohistochemistry (Formalin/PFA-fixed paraffin-embedded sections) - Anti-TMEM25 antibody (AB121362)
  • IHC-P

Supplier Data

Immunohistochemistry (Formalin/PFA-fixed paraffin-embedded sections) - Anti-TMEM25 antibody (AB121362)

Immunohistochemical analysis of human cerebellum tissue labelled for TMEM25 using ab121362 at a dilution of 1/50. Positive cytoplasmic staining in granular layer cells.

Immunocytochemistry/ Immunofluorescence - Anti-TMEM25 antibody (AB121362)
  • ICC/IF

Unknown

Immunocytochemistry/ Immunofluorescence - Anti-TMEM25 antibody (AB121362)

Immunofluorescent staining of human cell line A-431 shows positivity in vesicles.

Immunohistochemistry (Formalin/PFA-fixed paraffin-embedded sections) - Anti-TMEM25 antibody (AB121362)
  • IHC-P

Supplier Data

Immunohistochemistry (Formalin/PFA-fixed paraffin-embedded sections) - Anti-TMEM25 antibody (AB121362)

Immunohistochemical analysis of human prostate tissue labelled for TMEM25 using ab121362 at a dilution of 1/50. Positive cytoplasmic and membranous staining in human glandular cells.

Immunohistochemistry (Formalin/PFA-fixed paraffin-embedded sections) - Anti-TMEM25 antibody (AB121362)
  • IHC-P

Supplier Data

Immunohistochemistry (Formalin/PFA-fixed paraffin-embedded sections) - Anti-TMEM25 antibody (AB121362)

Immunohistochemical analysis of human duodenum tissue labelled for TMEM25 using ab121362 at a dilution of 1/50. Positive cytoplasmic staining in glandular cells.

Western blot - Anti-TMEM25 antibody (AB121362)
  • WB

Unknown

Western blot - Anti-TMEM25 antibody (AB121362)

All lanes:

Western blot - Anti-TMEM25 antibody (ab121362) at 1/250 dilution

Lane 1:

RT-4 lysate

Lane 2:

U-251 MG lysate

Lane 3:

Human Plasma lysate

Lane 4:

Liver lysate

Lane 5:

Tonsil lysate

Predicted band size: 39 kDa

false

Key facts

Host species

Rabbit

Clonality

Polyclonal

Isotype

IgG

Carrier free

No

Reacts with

Human

Applications

ICC/IF, IHC-P, WB

applications

Immunogen

Recombinant Fragment Protein within Human TMEM25 aa 250 to C-terminus. The exact immunogen used to generate this antibody is proprietary information.

Q86YD3

Reactivity data

{ "title": "Reactivity Data", "filters": { "stats": ["", "Species", "Dilution Info", "Notes"], "tabs": { "all-applications": {"fullname" : "All Applications", "shortname": "All Applications"}, "IHCP" : {"fullname" : "Immunohistochemistry (Formalin/PFA-fixed paraffin-embedded sections)", "shortname":"IHC-P"}, "WB" : {"fullname" : "Western blot", "shortname":"WB"}, "ICCIF" : {"fullname" : "Immunocytochemistry/ Immunofluorescence", "shortname":"ICC/IF"} }, "product-promise": { "all": "all", "testedAndGuaranteed": "tested", "guaranteed": "expected", "predicted": "predicted", "notRecommended": "not-recommended" } }, "values": { "Human": { "IHCP-species-checked": "testedAndGuaranteed", "IHCP-species-dilution-info": "1/20 - 1/50", "IHCP-species-notes": "<p></p> Perform heat-mediated antigen retrieval with citrate buffer pH 6 before commencing with IHC staining protocol.", "WB-species-checked": "testedAndGuaranteed", "WB-species-dilution-info": "1/250 - 1/500", "WB-species-notes": "<p></p>", "ICCIF-species-checked": "testedAndGuaranteed", "ICCIF-species-dilution-info": "0.25-2 µg/mL", "ICCIF-species-notes": "<p></p>" } } }

Properties and storage information

Form
Liquid
Purification technique
Affinity purification Immunogen
Storage buffer
pH: 7.2 Preservative: 0.02% Sodium azide Constituents: PBS, 40% Glycerol (glycerin, glycerine)
Shipped at conditions
Blue Ice
Appropriate short-term storage conditions
+4°C
Appropriate long-term storage conditions
-20°C
Aliquoting information
Upon delivery aliquot
Storage information
Avoid freeze / thaw cycle

Supplementary information

This supplementary information is collated from multiple sources and compiled automatically.

TMEM25 also known as Transmembrane Protein 25 functions as a transmembrane signaling receptor. It has a mass of approximately 60 kilodaltons. Expression of TMEM25 is mainly in the central nervous system including brain tissues. Additionally TMEM25 localizes in the plasma membrane indicating its potential role in cell signaling and communication.
Biological function summary

The role of TMEM25 includes involvement in cell adhesion and signal transduction processes. It does not appear to be part of any known complex directly. However it likely interacts with other membrane proteins and receptors to transmit signals across the cell membrane. TMEM25 may affect neuronal development and synaptic functions due to its high expression in neural tissues.

Pathways

TMEM25 participates in neurodevelopmental signaling pathways. It interacts within the cell adhesion molecule signaling pathway influencing neural connections and integrity. TMEM25 shares functional context with proteins such as CAMs (cell adhesion molecules) which are important for maintaining neuronal networks. It also contributes to the signal transduction pathways that control neuronal plasticity and responsiveness.

Researchers associate TMEM25 with certain neurodevelopmental and neurodegenerative conditions. It links to autism spectrum disorders due to its role in signal transduction and cell adhesion in neurons. Additionally altered expression of TMEM25 may contribute to Alzheimer's disease where disruptions in cell signaling and synaptic integrity are common. In these contexts TMEM25 might connect with proteins like APP (amyloid precursor protein) which is implicated in Alzheimer's disease.

Product protocols

For this product, it's our understanding that no specific protocols are required. You can visit:

Target data

In neurons, modulates the degradation of NMDA receptor GRIN2B subunit. Plays a role in the regulation of neuronal excitability.
See full target information TMEM25

Publications (2)

Recent publications for all applications. Explore the full list and refine your search

Biomolecules 13: PubMed37627310

2023

Long-Term Culturing of FreeStyle 293-F Cells Affects Immunoglobulin G Glycome Composition.

Applications

Unspecified application

Species

Unspecified reactive species

Fran Lukšić,Anika Mijakovac,Goran Josipović,Vedrana Vičić Bočkor,Jasminka Krištić,Ana Cindrić,Martina Vinicki,Filip Rokić,Oliver Vugrek,Gordan Lauc,Vlatka Zoldoš

Biology open 6:723-731 PubMed28483980

2017

Endogenous AJAP1 associates with the cytoskeleton and attenuates angiogenesis in endothelial cells.

Applications

Unspecified application

Species

Unspecified reactive species

Katharina Hötte,Isabell Smyrek,Anna Starzinski-Powitz,Ernst H K Stelzer
View all publications

Product promise

We are committed to supporting your work with high-quality reagents, and we're here for you every step of the way. In the unlikely event that one of our products does not perform as expected, you're protected by our Product Promise.
For full details, please see our Terms & Conditions

Please note: All products are 'FOR RESEARCH USE ONLY. NOT FOR USE IN DIAGNOSTIC OR THERAPEUTIC PROCEDURES'.

For licensing inquiries, please contact partnerships@abcam.com