JavaScript is disabled in your browser. Please enable JavaScript to view this website.
AB250723

Anti-TMEM43 antibody [EPR15378(B)] - BSA and Azide free

Be the first to review this product! Submit a review

|

(0 Publication)

Rabbit Recombinant Monoclonal TMEM43 antibody. Carrier free. Suitable for WB, IHC-P and reacts with Human samples.

View Alternative Names

UNQ2564/PRO6244, TMEM43, Transmembrane protein 43, Protein LUMA

5 Images
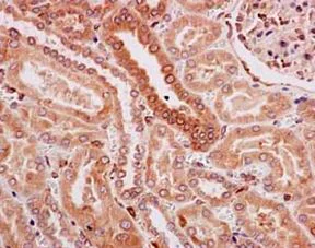
Immunohistochemistry (Formalin/PFA-fixed paraffin-embedded sections) - Anti-TMEM43 antibody [EPR15378(B)] - BSA and Azide free (AB250723)
  • IHC-P

Supplier Data

Immunohistochemistry (Formalin/PFA-fixed paraffin-embedded sections) - Anti-TMEM43 antibody [EPR15378(B)] - BSA and Azide free (AB250723)

This data was developed using ab184164, the same antibody clone in a different buffer formulation.

Immunohistochemical analysis of paraffin-embedded Human kidney tissue labeling TMEM43 with ab184164 at 1/500 dilution. The slide is counterstained with Hematoxylin.

Perform heat mediated antigen retrieval with EDTA buffer pH 9 before commencing with IHC staining protocol.

Immunohistochemistry (Formalin/PFA-fixed paraffin-embedded sections) - Anti-TMEM43 antibody [EPR15378(B)] - BSA and Azide free (AB250723)
  • IHC-P

Supplier Data

Immunohistochemistry (Formalin/PFA-fixed paraffin-embedded sections) - Anti-TMEM43 antibody [EPR15378(B)] - BSA and Azide free (AB250723)

This data was developed using ab184164, the same antibody clone in a different buffer formulation.

Immunohistochemical analysis of paraffin-embedded Human kidney tissue labeling TMEM43 with ab184164 at 1/500 dilution. The slide is counterstained with Hematoxylin.

Perform heat mediated antigen retrieval with EDTA buffer pH 9 before commencing with IHC staining protocol.

Western blot - Anti-TMEM43 antibody [EPR15378(B)] - BSA and Azide free (AB250723)
  • WB

Supplier Data

Western blot - Anti-TMEM43 antibody [EPR15378(B)] - BSA and Azide free (AB250723)

This data was developed using ab184164, the same antibody clone in a different buffer formulation.

All lanes:

Western blot - Anti-TMEM43 antibody [EPR15378(B)] (<a href='/en-us/products/primary-antibodies/tmem43-antibody-epr15378b-ab184164'>ab184164</a>) at 1/5000 dilution

Lane 1:

Human spleen tissue lysate at 20 µg

Lane 2:

Human placenta tissue lysate at 20 µg

Lane 3:

MDA-MB-435 cell lysate at 20 µg

Lane 4:

Jurkat cell lysate at 20 µg

Secondary

All lanes:

Goat Anti-Rabbit IgG, (H+L), Peroxidase conjugated at 1/1000 dilution

Predicted band size: 45 kDa

false

Western blot - Anti-TMEM43 antibody [EPR15378(B)] - BSA and Azide free (AB250723)
  • WB

Supplier Data

Western blot - Anti-TMEM43 antibody [EPR15378(B)] - BSA and Azide free (AB250723)

This data was developed using ab184164, the same antibody clone in a different buffer formulation.

All lanes:

Western blot - Anti-TMEM43 antibody [EPR15378(B)] (<a href='/en-us/products/primary-antibodies/tmem43-antibody-epr15378b-ab184164'>ab184164</a>) at 1/20000 dilution

All lanes:

Caco-2 cell lysate at 10 µg

Secondary

All lanes:

Goat Anti-Rabbit IgG, (H+L), Peroxidase conjugated at 1/1000 dilution

Predicted band size: 45 kDa

false

Western blot - Anti-TMEM43 antibody [EPR15378(B)] - BSA and Azide free (AB250723)
  • WB

Lab

Western blot - Anti-TMEM43 antibody [EPR15378(B)] - BSA and Azide free (AB250723)

This data was developed using ab184164, the same antibody clone in a different buffer formulation. Blocking and diluting buffer : 5% NFDM/TBST

All lanes:

Western blot - Anti-TMEM43 antibody [EPR15378(B)] (<a href='/en-us/products/primary-antibodies/tmem43-antibody-epr15378b-ab184164'>ab184164</a>) at 1/5000 dilution

Lane 1:

Mouse brain tissue lysate at 20 µg

Lane 2:

Mouse heart tissue lysate at 20 µg

Lane 3:

Mouse kidney tissue lysate at 20 µg

Lane 4:

Mouse spleen tissue lysate at 20 µg

Lane 5:

Rat brain tissue lysate at 20 µg

Lane 6:

Rat heart tissue lysate at 20 µg

Lane 7:

Rat kidney tissue lysate at 20 µg

Lane 8:

Rat spleen tissue lysate at 20 µg

Lane 9:

C6 (rat glial tumor glial cell) whole cell lysate at 20 µg

Lane 10:

RAW264.7 (mouse Abelson murine leukemia virus-induced tumor macrophage) whole cell lysate at 20 µg

Lane 11:

PC-12 (rat adrenal gland pheochromocytoma) whole cell lysate at 20 µg

Lane 12:

NIH/3T3 (mouse embryonic fibroblast) whole cell lysate at 20 µg

Secondary

All lanes:

Western blot - Goat Anti-Rabbit IgG H&L (HRP) (<a href='/en-us/products/secondary-antibodies/goat-rabbit-igg-h-l-hrp-ab97051'>ab97051</a>) at 1/20000 dilution

Observed band size: 45 kDa

false

Exposure time: 180s

Key facts

Host species

Rabbit

Clonality

Monoclonal

Clone number

EPR15378(B)

Isotype

IgG

Carrier free

Yes

Reacts with

Mouse, Rat, Human

Applications

IHC-P, WB

applications

Immunogen

The exact immunogen used to generate this antibody is proprietary information.

Reactivity data

{ "title": "Reactivity Data", "filters": { "stats": ["", "Species", "Dilution Info", "Notes"], "tabs": { "all-applications": {"fullname" : "All Applications", "shortname": "All Applications"}, "WB" : {"fullname" : "Western blot", "shortname":"WB"}, "IHCP" : {"fullname" : "Immunohistochemistry (Formalin/PFA-fixed paraffin-embedded sections)", "shortname":"IHC-P"} }, "product-promise": { "all": "all", "testedAndGuaranteed": "tested", "guaranteed": "expected", "predicted": "predicted", "notRecommended": "not-recommended" } }, "values": { "Human": { "WB-species-checked": "testedAndGuaranteed", "WB-species-dilution-info": "", "WB-species-notes": "<p></p>", "IHCP-species-checked": "testedAndGuaranteed", "IHCP-species-dilution-info": "", "IHCP-species-notes": "<p></p>" }, "Mouse": { "WB-species-checked": "predicted", "WB-species-dilution-info": "", "WB-species-notes": "", "IHCP-species-checked": "predicted", "IHCP-species-dilution-info": "", "IHCP-species-notes": "" }, "Rat": { "WB-species-checked": "predicted", "WB-species-dilution-info": "", "WB-species-notes": "", "IHCP-species-checked": "predicted", "IHCP-species-dilution-info": "", "IHCP-species-notes": "" } } }

Product details

ab250723 is the carrier-free version of ab184164.

Patented technology
Our RabMAb® technology is a patented hybridoma-based technology for making rabbit monoclonal antibodies. For details on our patents, please refer to RabMAb® patents.

What are the advantages of a recombinant monoclonal antibody?
This product is a recombinant monoclonal antibody, which offers several advantages including:

  • - High batch-to-batch consistency and reproducibility
  • - Improved sensitivity and specificity
  • - Long-term security of supply
  • - Animal-free batch production

For more information, read more on recombinant antibodies.

Conjugation ready
Our carrier-free antibodies are typically supplied in a PBS-only formulation, purified and free of BSA, sodium azide and glycerol. This conjugation-ready format is designed for use with fluorochromes, metal isotopes, oligonucleotides, and enzymes, which makes them ideal for antibody labelling, functional and cell-based assays, flow-based assays (e.g. mass cytometry) and Multiplex Imaging applications.

Use our conjugation kits for antibody conjugates that are ready-to-use in as little as 20 minutes with 1 minute hands-on-time and 100% antibody recovery: available for fluorescent dyes, HRP, biotin and gold.

Compatibility
This product is compatible with the Maxpar® Antibody Labeling Kit from Fluidigm, without the need for antibody preparation. Maxpar® is a trademark of Fluidigm Canada Inc.

Properties and storage information

Form
Liquid
Purification technique
Affinity purification Protein A
Storage buffer
pH: 7.2 - 7.4 Constituents: PBS
Shipped at conditions
Blue Ice
Appropriate short-term storage conditions
+4°C
Appropriate long-term storage conditions
+4°C
Storage information
Do Not Freeze

Supplementary information

This supplementary information is collated from multiple sources and compiled automatically.

TMEM43 also known as LUMA is a transmembrane protein with a mass of approximately 47 kDa. This protein localizes mainly to the nuclear envelope where it plays a structural role in maintaining nuclear integrity. It is widely expressed in various tissues especially in cardiac and skeletal muscle cells. Through its location and structure TMEM43 contributes to the physical and functional stability of the nuclear envelope interacting with other nuclear envelope components.
Biological function summary

Researchers recognize TMEM43 as an important player in the integrity of cellular architectures maintaining nuclear shape and mechanical stability. It forms part of a larger protein complex within the nuclear envelope referred to as the LINC (Linker of Nucleoskeleton and Cytoskeleton) complex. The interactions between TMEM43 and other LINC complex proteins contribute to its role in cellular mechanical transduction and nuclear-cytoskeletal coupling essential for cellular responses.

Pathways

TMEM43 plays a significant role in pathways related to nuclear-cytoskeletal interaction and mechanotransduction. It associates with the LINC complex proteins like Emerin and Lamin A/C facilitating the integration of signals from the cytoskeleton to the nucleus. This involvement places TMEM43 within the context of mechanosensitive pathways important for cellular responses to mechanical stimuli which are relevant in tissue development and homeostasis.

TMEM43 links closely to certain cardiac conditions and muscular disorders. Mutations in this protein are known to cause arrhythmogenic right ventricular cardiomyopathy (ARVC) a life-threatening heart disease characterized by fibro-fatty degeneration of the right ventricle. This connection also implicates proteins like Desmoplakin and Plakophilin-2 in ARVC as they form part of the complex that interacts with TMEM43. Additionally TMEM43's dysfunction may relate to muscular disorders where altered interactions with members of the nuclear envelope proteins contribute to muscle weakness and degeneration.

Product protocols

For this product, it's our understanding that no specific protocols are required. You can visit:

Target data

May have an important role in maintaining nuclear envelope structure by organizing protein complexes at the inner nuclear membrane. Required for retaining emerin at the inner nuclear membrane (By similarity). Plays a role in the modulation of innate immune signaling through the cGAS-STING pathway by interacting with RNF26 (PubMed : 32614325). In addition, functions as a critical signaling component in mediating NF-kappa-B activation by acting downstream of EGFR and upstream of CARD10 (PubMed : 27991920). Contributes to passive conductance current in cochlear glia-like supporting cells, mediated by gap junctions and necessary for hearing and speech discrimination (PubMed : 34050020).
See full target information TMEM43

Product promise

We are committed to supporting your work with high-quality reagents, and we're here for you every step of the way. In the unlikely event that one of our products does not perform as expected, you're protected by our Product Promise.
For full details, please see our Terms & Conditions

Please note: All products are 'FOR RESEARCH USE ONLY. NOT FOR USE IN DIAGNOSTIC OR THERAPEUTIC PROCEDURES'.

For licensing inquiries, please contact partnerships@abcam.com