JavaScript is disabled in your browser. Please enable JavaScript to view this website.
AB236854

Anti-TMEM53 antibody

Be the first to review this product! Submit a review

|

(1 Publication)

Rabbit Polyclonal TMEM53 antibody. Suitable for WB, IHC-P, ICC/IF and reacts with Mouse, Human samples. Cited in 1 publication. Immunogen corresponding to Recombinant Fragment Protein within Human TMEM53 aa 1-200.

View Alternative Names

NET4, TMEM53, Transmembrane protein 53, Nuclear envelope transmembrane protein 4

3 Images
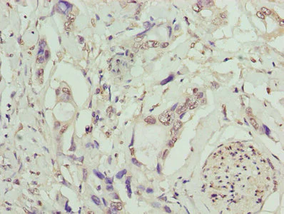
Immunohistochemistry (Formalin/PFA-fixed paraffin-embedded sections) - Anti-TMEM53 antibody (AB236854)
  • IHC-P

Supplier Data

Immunohistochemistry (Formalin/PFA-fixed paraffin-embedded sections) - Anti-TMEM53 antibody (AB236854)

Paraffin-embedded human pancreatic cancer tissue stained for TMEM53 using ab236854 at 1/100 dilution in immunohistochemical analysis.

Immunocytochemistry/ Immunofluorescence - Anti-TMEM53 antibody (AB236854)
  • ICC/IF

Supplier Data

Immunocytochemistry/ Immunofluorescence - Anti-TMEM53 antibody (AB236854)

A549 (human lung carcinoma cell line) cells stained for TMEM53 (green) using ab236854 at 1/100 dilution in ICC/IF, followed by Alexa Fluor 488® conjugated Goat Anti-Rabbit IgG (H+L).

Western blot - Anti-TMEM53 antibody (AB236854)
  • WB

Supplier Data

Western blot - Anti-TMEM53 antibody (AB236854)

All lanes:

Western blot - Anti-TMEM53 antibody (ab236854) at 1/500 dilution

All lanes:

Mouse brain lysate

Secondary

All lanes:

Goat polyclonal to rabbit at 1/10000 dilution

Predicted band size: 32 kDa

false

Key facts

Host species

Rabbit

Clonality

Polyclonal

Isotype

IgG

Carrier free

No

Reacts with

Mouse, Human

Applications

ICC/IF, IHC-P, WB

applications

Immunogen

Recombinant Fragment Protein within Human TMEM53 aa 1-200. The exact immunogen used to generate this antibody is proprietary information.

Q6P2H8

Reactivity data

{ "title": "Reactivity Data", "filters": { "stats": ["", "Species", "Dilution Info", "Notes"], "tabs": { "all-applications": {"fullname" : "All Applications", "shortname": "All Applications"}, "WB" : {"fullname" : "Western blot", "shortname":"WB"}, "IHCP" : {"fullname" : "Immunohistochemistry (Formalin/PFA-fixed paraffin-embedded sections)", "shortname":"IHC-P"}, "ICCIF" : {"fullname" : "Immunocytochemistry/ Immunofluorescence", "shortname":"ICC/IF"} }, "product-promise": { "all": "all", "testedAndGuaranteed": "tested", "guaranteed": "expected", "predicted": "predicted", "notRecommended": "not-recommended" } }, "values": { "Human": { "WB-species-checked": "guaranteed", "WB-species-dilution-info": "", "WB-species-notes": "", "IHCP-species-checked": "testedAndGuaranteed", "IHCP-species-dilution-info": "1/20 - 1/200", "IHCP-species-notes": "<p></p>", "ICCIF-species-checked": "testedAndGuaranteed", "ICCIF-species-dilution-info": "1/50 - 1/200", "ICCIF-species-notes": "<p></p>" }, "Mouse": { "WB-species-checked": "testedAndGuaranteed", "WB-species-dilution-info": "1/500 - 1/2000", "WB-species-notes": "<p></p>", "IHCP-species-checked": "guaranteed", "IHCP-species-dilution-info": "", "IHCP-species-notes": "", "ICCIF-species-checked": "guaranteed", "ICCIF-species-dilution-info": "", "ICCIF-species-notes": "" } } }

Properties and storage information

Form
Liquid
Purification technique
Affinity purification Protein G
Purification notes
Purity >95%.
Storage buffer
pH: 7.4 Preservative: 0.03% Proclin 300 Constituents: PBS, 50% Glycerol (glycerin, glycerine)
Shipped at conditions
Blue Ice
Appropriate short-term storage duration
1-2 weeks
Appropriate short-term storage conditions
+4°C
Appropriate long-term storage conditions
-20°C
Aliquoting information
Upon delivery aliquot
Storage information
Avoid freeze / thaw cycle

Supplementary information

This supplementary information is collated from multiple sources and compiled automatically.

TMEM53 also known as Transmembrane Protein 53 is a protein that functions primarily as a transmembrane protein. It is composed of 190 amino acids giving it a molecular weight of approximately 22 kDa. TMEM53 is expressed across various tissues but it shows notably high expression in the liver and kidney. Structurally it includes multiple transmembrane domains which suggest its role in cellular transport or signaling processes.
Biological function summary

TMEM53 contributes to maintaining cellular homeostasis and signaling. It has been implicated in various cellular pathways where it helps regulate ion transport across membranes. Though not part of any known complex TMEM53 interacts with components of the cell membrane influencing cellular responses to external stimuli. The protein's ubiquitous presence in body tissues highlights its broad functional roles.

Pathways

TMEM53 engages in signal transduction and ion transport pathways. One example is the calcium signaling pathway where it regulates intracellular calcium levels. The protein works alongside ion transporters like SLC8A1 also known as the sodium/calcium exchanger to modulate cellular ion balance. Its pathway involvement points to interactions with other transmembrane proteins that support cellular communication and nutrient exchange.

TMEM53 has been connected to hypertension and kidney disease. Research indicates that alterations in TMEM53 expression or function can influence blood pressure regulation. This connection seems related to its role in sodium transport pathways similar to the actions of proteins like ENaC the epithelial sodium channel. Additionally changes in TMEM53 activity can impact kidney function leading to chronic kidney disorders highlighting its relevance in renal health.

Product protocols

For this product, it's our understanding that no specific protocols are required. You can visit:

Target data

Ensures normal bone formation, through the negative regulation of bone morphogenetic protein (BMP) signaling in osteoblast lineage cells by blocking cytoplasm-nucleus translocation of phosphorylated SMAD1/5/9 proteins.
See full target information TMEM53

Publications (1)

Recent publications for all applications. Explore the full list and refine your search

Frontiers in immunology 14:1171308 PubMed37325657

2023

Involvement of CD40-CD40L and ICOS-ICOSL in the development of chronic rhinosinusitis by targeting eosinophils.

Applications

Unspecified application

Species

Unspecified reactive species

Aina Zhou,Chenxi Shi,Yuhui Fan,Yushuang Zheng,Jue Wang,Zhichen Liu,Huanxia Xie,Jisheng Liu,Qingqing Jiao
View all publications

Product promise

We are committed to supporting your work with high-quality reagents, and we're here for you every step of the way. In the unlikely event that one of our products does not perform as expected, you're protected by our Product Promise.
For full details, please see our Terms & Conditions

Please note: All products are 'FOR RESEARCH USE ONLY. NOT FOR USE IN DIAGNOSTIC OR THERAPEUTIC PROCEDURES'.

For licensing inquiries, please contact partnerships@abcam.com