JavaScript is disabled in your browser. Please enable JavaScript to view this website.
AB105417

Anti-TMEM59 antibody

Be the first to review this product! Submit a review

|

(2 Publications)

Rabbit Polyclonal TMEM59 antibody. Suitable for WB, IF, IHC-P and reacts with Human samples. Cited in 2 publications. Immunogen corresponding to Synthetic Peptide within Human TMEM59.

View Alternative Names

C1orf8, HSPC001, UNQ169/PRO195, TMEM59, Transmembrane protein 59, Liver membrane-bound protein

3 Images
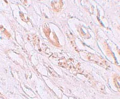
Immunohistochemistry paraffin embedded sections - Anti-TMEM59 antibody (AB105417)
  • IHC-P

Unknown

Immunohistochemistry paraffin embedded sections - Anti-TMEM59 antibody (AB105417)

Immunohistochemistry of TMEM59 in human kidney tissue with ab105417 at 2.5 µg/ml.

Immunofluorescence - Anti-TMEM59 antibody (AB105417)
  • IF

Unknown

Immunofluorescence - Anti-TMEM59 antibody (AB105417)

Immunofluorescence of TMEM59 in Human kidney tissue with ab105417 at 20 ug/mL.

Western blot - Anti-TMEM59 antibody (AB105417)
  • WB

Unknown

Western blot - Anti-TMEM59 antibody (AB105417)

All lanes:

Western blot - Anti-TMEM59 antibody (ab105417) at 1 µg/mL

Lane 1:

Human kidney tissue lysate at 15 µg

Lane 2:

Human kidney tissue lysate at 15 µg with blocking peptide

Predicted band size: 36 kDa

false

Key facts

Host species

Rabbit

Clonality

Polyclonal

Isotype

IgG

Carrier free

No

Reacts with

Human

Applications

IF, IHC-P, WB

applications

Immunogen

Synthetic Peptide within Human TMEM59. The exact immunogen used to generate this antibody is proprietary information.

Q9BXS4

Specificity

Multiple isoforms of TMEM59 are known to exist. This antibody is predicted to not cross-react with other TMEM family members.

Reactivity data

{ "title": "Reactivity Data", "filters": { "stats": ["", "Species", "Dilution Info", "Notes"], "tabs": { "all-applications": {"fullname" : "All Applications", "shortname": "All Applications"}, "WB" : {"fullname" : "Western blot", "shortname":"WB"}, "IF" : {"fullname" : "Immunofluorescence", "shortname":"IF"}, "IHCP" : {"fullname" : "Immunohistochemistry paraffin embedded sections", "shortname":"IHC-P"} }, "product-promise": { "all": "all", "testedAndGuaranteed": "tested", "guaranteed": "expected", "predicted": "predicted", "notRecommended": "not-recommended" } }, "values": { "Human": { "WB-species-checked": "testedAndGuaranteed", "WB-species-dilution-info": "1-2 µg/mL", "WB-species-notes": "<p></p>", "IF-species-checked": "testedAndGuaranteed", "IF-species-dilution-info": "", "IF-species-notes": "<p></p>", "IHCP-species-checked": "testedAndGuaranteed", "IHCP-species-dilution-info": "", "IHCP-species-notes": "<p></p>" } } }

Properties and storage information

Form
Liquid
Purification technique
Affinity purification Immunogen
Storage buffer
pH: 7.2 Preservative: 0.02% Sodium azide Constituents: PBS
Shipped at conditions
Blue Ice
Appropriate short-term storage conditions
+4°C
Appropriate long-term storage conditions
+4°C

Supplementary information

This supplementary information is collated from multiple sources and compiled automatically.

TMEM59 also known as Transmembrane Protein 59 plays a role in protein glycosylation and modulation of the cell surface expression of certain proteins. It has a molecular mass of approximately 39 kDa. TMEM59 is expressed in a variety of tissues including the brain lung and kidney where it localizes to the endoplasmic reticulum and Golgi apparatus. The protein's structure suggests membrane spanning properties that contribute to its function in cell regulation.
Biological function summary

TMEM59 contributes to proper neuronal function by modulating the cell surface expression of proteins involved in neuron-neuron communications. This regulation has implications for membrane protein function and synaptic stability. TMEM59 participates in certain bionetworks interacting with protein complexes that influence cell signaling pathways. Such interactions play significant roles in controlling protein trafficking and localization within cells impacting the cellular response to environmental signals.

Pathways

TMEM59 influences processes like the Wnt signaling pathway affecting cell fate decisions and embryonic development. It interacts with proteins such as β-catenin and affects their stability and function. TMEM59 also participates in the autophagy-dependent pathways modulating cellular mechanisms involved in the degradation of damaged proteins and organelles therefore maintaining cellular homeostasis.

TMEM59 has links to neurodegenerative diseases including Alzheimer's disease and schizophrenia. TMEM59's regulation of proteins like APP (Amyloid precursor protein) is significant. Disruptions in its function may contribute to aberrant protein aggregation commonly seen in Alzheimer's disease pathology. Additionally disruptions in TMEM59 expression or function could affect cognitive processes and synaptic connections related to schizophrenia as it influences the trafficking of receptor proteins important for synaptic signaling.

Product protocols

For this product, it's our understanding that no specific protocols are required. You can visit:

Target data

Acts as a regulator of autophagy in response to S.aureus infection by promoting activation of LC3 (MAP1LC3A, MAP1LC3B or MAP1LC3C). Acts by interacting with ATG16L1, leading to promote a functional complex between LC3 and ATG16L1 and promoting LC3 lipidation and subsequent activation of autophagy (PubMed : 23376921, PubMed : 27273576). Modulates the O-glycosylation and complex N-glycosylation steps occurring during the Golgi maturation of several proteins such as APP, BACE1, SEAP or PRNP (PubMed : 20427278). Inhibits APP transport to the cell surface and further shedding (PubMed : 20427278).
See full target information TMEM59

Publications (2)

Recent publications for all applications. Explore the full list and refine your search

International journal of genomics 2023:9942663 PubMed37719786

2023

An Analysis of the Gene Expression Associated with Lymph Node Metastasis in Colorectal Cancer.

Applications

Unspecified application

Species

Unspecified reactive species

Hongjie Yang,Jiafei Liu,Peishi Jiang,Peng Li,Yuanda Zhou,Zhichun Zhang,Qingsheng Zeng,Min Wang,Luciena Xiao Xiao,Xipeng Zhang,Yi Sun,Siwei Zhu

The Journal of neuroscience : the official journal of the Society for Neuroscience 42:2824-2834 PubMed35169020

2022

The ZIP3 Zinc Transporter Is Localized to Mossy Fiber Terminals and Is Required for Kainate-Induced Degeneration of CA3 Neurons.

Applications

Unspecified application

Species

Unspecified reactive species

Milos Bogdanovic,Hila Asraf,Noa Gottesman,Israel Sekler,Elias Aizenman,Michal Hershfinkel
View all publications

Product promise

We are committed to supporting your work with high-quality reagents, and we're here for you every step of the way. In the unlikely event that one of our products does not perform as expected, you're protected by our Product Promise.
For full details, please see our Terms & Conditions

Please note: All products are 'FOR RESEARCH USE ONLY. NOT FOR USE IN DIAGNOSTIC OR THERAPEUTIC PROCEDURES'.

For licensing inquiries, please contact partnerships@abcam.com