JavaScript is disabled in your browser. Please enable JavaScript to view this website.
AB128006

Anti-TMEPAI antibody

Be the first to review this product! Submit a review

|

(2 Publications)

Rabbit Polyclonal TMEPAI antibody. Suitable for IHC-P, ELISA, WB, ICC/IF and reacts with Human samples. Cited in 2 publications. Immunogen corresponding to Synthetic Peptide within Human PMEPA1.

View Alternative Names

STAG1, TMEPAI, PMEPA1, Protein TMEPAI, Prostate transmembrane protein androgen induced 1, Solid tumor-associated 1 protein, Transmembrane prostate androgen-induced protein

3 Images
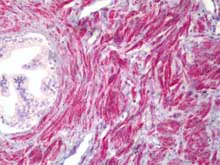
Immunohistochemistry (Formalin/PFA-fixed paraffin-embedded sections) - Anti-TMEPAI antibody (AB128006)
  • IHC-P

Unknown

Immunohistochemistry (Formalin/PFA-fixed paraffin-embedded sections) - Anti-TMEPAI antibody (AB128006)

ab128006, at a concentration of 10 µg/ml, staining TMEPAI in paraffin-embedded Human Prostate, Smooth Muscle tissue by Immunohistochemistry.

Immunocytochemistry/ Immunofluorescence - Anti-TMEPAI antibody (AB128006)
  • ICC/IF

Unknown

Immunocytochemistry/ Immunofluorescence - Anti-TMEPAI antibody (AB128006)

ab128006, at a dilution of 1/100, staining TMEPAI in HuvEc cells by Immunofluorescence. The picture on the right is treated with the synthesized peptide.

Western blot - Anti-TMEPAI antibody (AB128006)
  • WB

Unknown

Western blot - Anti-TMEPAI antibody (AB128006)

All lanes:

Western blot - Anti-TMEPAI antibody (ab128006) at 1/100 dilution

Lane 1:

HT29 cell extract

Lane 2:

HT29 cell extract with synthesized peptide

Predicted band size: 32 kDa

false

Key facts

Host species

Rabbit

Clonality

Polyclonal

Isotype

IgG

Carrier free

No

Reacts with

Human

Applications

WB, ICC/IF, ELISA, IHC-P

applications

Immunogen

Synthetic Peptide within Human PMEPA1. The exact immunogen used to generate this antibody is proprietary information.

Q969W9

Reactivity data

{ "title": "Reactivity Data", "filters": { "stats": ["", "Species", "Dilution Info", "Notes"], "tabs": { "all-applications": {"fullname" : "All Applications", "shortname": "All Applications"}, "IHCP" : {"fullname" : "Immunohistochemistry (Formalin/PFA-fixed paraffin-embedded sections)", "shortname":"IHC-P"}, "ELISA" : {"fullname" : "ELISA", "shortname":"ELISA"}, "WB" : {"fullname" : "Western blot", "shortname":"WB"}, "ICCIF" : {"fullname" : "Immunocytochemistry/ Immunofluorescence", "shortname":"ICC/IF"} }, "product-promise": { "all": "all", "testedAndGuaranteed": "tested", "guaranteed": "expected", "predicted": "predicted", "notRecommended": "not-recommended" } }, "values": { "Human": { "IHCP-species-checked": "testedAndGuaranteed", "IHCP-species-dilution-info": "10 µg/mL", "IHCP-species-notes": "<p></p> Perform heat-mediated antigen retrieval with citrate buffer pH 6 before commencing with IHC staining protocol.", "ELISA-species-checked": "guaranteed", "ELISA-species-dilution-info": "", "ELISA-species-notes": "<p></p>", "WB-species-checked": "testedAndGuaranteed", "WB-species-dilution-info": "1/500 - 1/1000", "WB-species-notes": "<p></p>", "ICCIF-species-checked": "testedAndGuaranteed", "ICCIF-species-dilution-info": "1/100 - 1/500", "ICCIF-species-notes": "<p></p>" } } }

Properties and storage information

Form
Liquid
Purification technique
Affinity purification Immunogen
Storage buffer
pH: 7.4 Preservative: 0.02% Sodium azide Constituents: PBS, 50% Glycerol (glycerin, glycerine), 0.88% Sodium chloride
Shipped at conditions
Blue Ice
Appropriate short-term storage duration
1-2 weeks
Appropriate short-term storage conditions
+4°C
Appropriate long-term storage conditions
-20°C
Aliquoting information
Upon delivery aliquot

Supplementary information

This supplementary information is collated from multiple sources and compiled automatically.

TMEPAI also known as TMPRSS6-associated product containing transcript is a transmembrane protein. It has a molecular weight of approximately 26 kDa. TMEPAI is widely expressed in various tissues with particularly high expression in the lungs prostate and breast. It interacts with the cytoplasmic signaling proteins through its PY motifs modulating their activities directly. TMEPAI plays an important role in cellular pathways affecting cellular functions and interactions.
Biological function summary

This protein modulates signaling pathways and cell growth regulation. It is well known for its involvement in the TGF-beta (Transforming Growth Factor-beta) signaling pathway. TMEPAI acts as a negative regulator inhibiting TGF-beta's tumor-suppressive functions through interaction with Smad proteins. While it does not form part of a complex itself it significantly influences the functional dynamics of the TGF-beta pathway constituents impacting cellular proliferation and survival.

Pathways

TMEPAI exerts its functional significance primarily within the TGF-beta and PI3K/Akt signaling pathways. In the TGF-beta pathway TMEPAI modulates the signaling cascade by interacting with Smad2/3 and Smad4. The regulation of these proteins by TMEPAI suppresses TGF-beta-induced growth inhibition. In the PI3K/Akt pathway TMEPAI influences cell survival and proliferation indirectly through these interactions positioning it as an important modulator in these pathways.

TMEPAI has significant implications in cancer particularly in breast and prostate cancer. It facilitates cancer progression by overriding the tumor-suppressive effects of TGF-beta signaling. The interactions with Smad proteins like Smad2/3 highlight its role in oncogenic pathways. Moreover in prostate cancer the dysregulation of TMEPAI links with increased aggressive behavior of cancer cells exacerbating disease progression. Understanding these interactions provides insights into potential targets for therapeutic intervention in these diseases.

Product protocols

For this product, it's our understanding that no specific protocols are required. You can visit:

Target data

Functions as a negative regulator of TGF-beta signaling and thereby probably plays a role in cell proliferation, differentiation, apoptosis, motility, extracellular matrix production and immunosuppression. In the canonical TGF-beta pathway, ZFYVE9/SARA recruits the intracellular signal transducer and transcriptional modulators SMAD2 and SMAD3 to the TGF-beta receptor. Phosphorylated by the receptor, SMAD2 and SMAD3 then form a heteromeric complex with SMAD4 that translocates to the nucleus to regulate transcription. Through interaction with SMAD2 and SMAD3, LDLRAD4 may compete with ZFYVE9 and SMAD4 and prevent propagation of the intracellular signal (PubMed : 20129061, PubMed : 24627487). Also involved in down-regulation of the androgen receptor (AR), enhancing ubiquitination and proteasome-mediated degradation of AR, probably by recruiting NEDD4 (PubMed : 18703514).
See full target information PMEPA1

Publications (2)

Recent publications for all applications. Explore the full list and refine your search

FASEB journal : official publication of the Federation of American Societies for Experimental Biology 33:4365-4375 PubMed30557043

2018

Prostate transmembrane protein androgen induced 1 is induced by activation of osteoclasts and regulates bone resorption.

Applications

Unspecified application

Species

Unspecified reactive species

Xianghe Xu,Hirohito Hirata,Makoto Shiraki,Asana Kamohara,Kenichi Nishioka,Hiroshi Miyamoto,Toshio Kukita,Akiko Kukita

Gastroenterology 148:1427-37.e8 PubMed25736321

2015

Transforming Growth Factor β Signaling in Colorectal Cancer Cells With Microsatellite Instability Despite Biallelic Mutations in TGFBR2.

Applications

Unspecified application

Species

Unspecified reactive species

Noel F C C de Miranda,Maarten van Dinther,Brendy E W M van den Akker,Tom van Wezel,Peter ten Dijke,Hans Morreau
View all publications

Product promise

We are committed to supporting your work with high-quality reagents, and we're here for you every step of the way. In the unlikely event that one of our products does not perform as expected, you're protected by our Product Promise.
For full details, please see our Terms & Conditions

Please note: All products are 'FOR RESEARCH USE ONLY. NOT FOR USE IN DIAGNOSTIC OR THERAPEUTIC PROCEDURES'.

For licensing inquiries, please contact partnerships@abcam.com