JavaScript is disabled in your browser. Please enable JavaScript to view this website.
AB214462

Anti-TMPRSS2 antibody

Be the first to review this product! Submit a review

|

(12 Publications)

Rabbit Polyclonal TMPRSS2 antibody. Suitable for IHC-P, WB and reacts with Mouse, Human samples. Cited in 12 publications. Immunogen corresponding to Synthetic Peptide within Human TMPRSS2 aa 300-400 conjugated to Keyhole Limpet Haemocyanin.

View Alternative Names

PRSS10, TMPRSS2, Transmembrane protease serine 2, Serine protease 10

3 Images
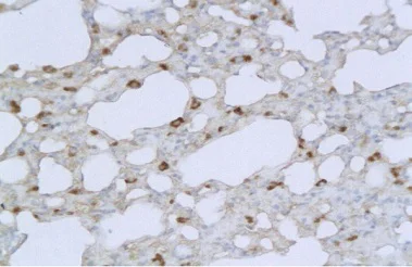
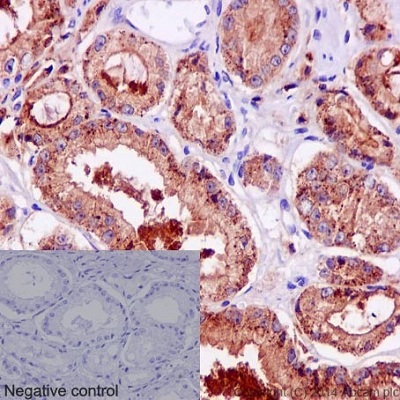
Immunohistochemistry (Formalin/PFA-fixed paraffin-embedded sections) - Anti-TMPRSS2 antibody (AB214462)
  • IHC-P

Supplier Data

Immunohistochemistry (Formalin/PFA-fixed paraffin-embedded sections) - Anti-TMPRSS2 antibody (AB214462)

Immunohistochemical analysis of formalin-fixed and paraffin-embedded mouse lung tissue labeling TMPRSS2 with ab214462 at 1/100 dilution, followed by conjugation to the secondary antibody and DAB staining.

Western blot - Anti-TMPRSS2 antibody (AB214462)
  • WB

Supplier Data

Western blot - Anti-TMPRSS2 antibody (AB214462)

All lanes:

Western blot - Anti-TMPRSS2 antibody (ab214462) at 1/300 dilution

All lanes:

Du145 cell lysate

Secondary

All lanes:

secondary antibody HRP-conjugated at 1/10000 dilution

Predicted band size: 54 kDa

true

Western blot - Anti-TMPRSS2 antibody (AB214462)
  • WB

Lab

Western blot - Anti-TMPRSS2 antibody (AB214462)

Lanes 1 - 6 : Merged signal (red and green). Green - ab214462 observed at 52 kDa. Red - loading control, mouse anti GAPDH observed at 37kDa.

ab214462 was shown to react with TMPRSS2 in western blot. Membranes were blocked in 3% milk in TBS-T (0.1% Tween®) before incubation with ab214462 and mouse anti GAPDH overnight at 4°C at a 1 in 500 dilution and a 1 in 20000 dilution respectively. Blots were incubated with Goat anti-Rabbit IgG H&L (IRDye® 800CW) preabsorbed (ab216773) and Goat anti-Mouse IgG H&L (IRDye® 680RD) preabsorbed (ab216776) secondary antibodies at 1 in 20000 dilution for 1 hour at room temperature before imaging.

All lanes:

Western blot - Anti-TMPRSS2 antibody (ab214462) at 1/500 dilution

Lane 1:

LnCaP cell lysate at 20 µg

Lane 2:

Human prostate tissue lysate at 20 µg

Lane 3:

Caco 2 cell lysate at 20 µg

Lane 4:

Human lung tissue lysate at 20 µg

Lane 5:

Human heart tissue lysate at 20 µg

Lane 6:

Human brain tissue lysate at 20 µg

Predicted band size: 54 kDa

Observed band size: 52 kDa

false

Key facts

Host species

Rabbit

Clonality

Polyclonal

Isotype

IgG

Carrier free

No

Reacts with

Mouse, Human

Applications

IHC-P, WB

applications

Immunogen

Synthetic Peptide within Human TMPRSS2 aa 300-400 conjugated to Keyhole Limpet Haemocyanin. The exact immunogen used to generate this antibody is proprietary information.

O15393

Reactivity data

{ "title": "Reactivity Data", "filters": { "stats": ["", "Species", "Dilution Info", "Notes"], "tabs": { "all-applications": {"fullname" : "All Applications", "shortname": "All Applications"}, "IHCP" : {"fullname" : "Immunohistochemistry (Formalin/PFA-fixed paraffin-embedded sections)", "shortname":"IHC-P"}, "WB" : {"fullname" : "Western blot", "shortname":"WB"} }, "product-promise": { "all": "all", "testedAndGuaranteed": "tested", "guaranteed": "expected", "predicted": "predicted", "notRecommended": "not-recommended" } }, "values": { "Human": { "IHCP-species-checked": "guaranteed", "IHCP-species-dilution-info": "", "IHCP-species-notes": "", "WB-species-checked": "testedAndGuaranteed", "WB-species-dilution-info": "1/100 - 1/1000", "WB-species-notes": "<p></p>" }, "Mouse": { "IHCP-species-checked": "testedAndGuaranteed", "IHCP-species-dilution-info": "1/100 - 1/500", "IHCP-species-notes": "<p></p> Perform heat-mediated antigen retrieval with citrate buffer pH 6 before commencing with IHC staining protocol.", "WB-species-checked": "guaranteed", "WB-species-dilution-info": "", "WB-species-notes": "" }, "Rat": { "IHCP-species-checked": "predicted", "IHCP-species-dilution-info": "", "IHCP-species-notes": "", "WB-species-checked": "predicted", "WB-species-dilution-info": "", "WB-species-notes": "" } } }

Properties and storage information

Form
Liquid
Purification technique
Affinity purification Protein A
Storage buffer
pH: 7.4 Preservative: 0.02% Proclin 300 Constituents: 50% Glycerol (glycerin, glycerine), 48.98% TBS, 1X, 1% BSA
Shipped at conditions
Blue Ice
Appropriate short-term storage duration
1-2 weeks
Appropriate short-term storage conditions
+4°C
Appropriate long-term storage conditions
-20°C
Aliquoting information
Upon delivery aliquot
Storage information
Avoid freeze / thaw cycle

Product protocols

For this product, it's our understanding that no specific protocols are required. You can visit:

Target data

Plasma membrane-anchored serine protease that cleaves at arginine residues (PubMed : 32703818, PubMed : 35676539, PubMed : 37990007, PubMed : 38964328). Participates in proteolytic cascades of relevance for the normal physiologic function of the prostate (PubMed : 25122198). Androgen-induced TMPRSS2 activates several substrates that include pro-hepatocyte growth factor/HGF, the protease activated receptor-2/F2RL1 or matriptase/ST14 leading to extracellular matrix disruption and metastasis of prostate cancer cells (PubMed : 15537383, PubMed : 25122198, PubMed : 26018085). In addition, activates trigeminal neurons and contribute to both spontaneous pain and mechanical allodynia (By similarity).. (Microbial infection) Facilitates human coronaviruses SARS-CoV and SARS-CoV-2 infections via two independent mechanisms, proteolytic cleavage of ACE2 receptor which promotes viral uptake, and cleavage of coronavirus spike glycoproteins which activates the glycoprotein for host cell entry (PubMed : 24227843, PubMed : 32142651, PubMed : 32404436, PubMed : 33051876, PubMed : 34159616, PubMed : 35676539, PubMed : 37990007). The cleavage of SARS-COV2 spike glycoprotein occurs between the S2 and S2' site (PubMed : 32703818). Upon SARS-CoV-2 infection, increases syncytia formation by accelerating the fusion process (PubMed : 33051876, PubMed : 34159616, PubMed : 35676539). Proteolytically cleaves and activates the spike glycoproteins of human coronavirus 229E (HCoV-229E) and human coronavirus EMC (HCoV-EMC) and the fusion glycoproteins F0 of Sendai virus (SeV), human metapneumovirus (HMPV), human parainfluenza 1, 2, 3, 4a and 4b viruses (HPIV). Essential for spread and pathogenesis of influenza A virus (strains H1N1, H3N2 and H7N9); involved in proteolytic cleavage and activation of hemagglutinin (HA) protein which is essential for viral infectivity.. (Microbial infection) Receptor for human coronavirus HKU1-CoV, acts synergistically with disialoside glycans to facilitate the entry of the virus. After binding to cell-surface disialoside glycans, the viral S protein interacts with the inactive form of TMPRSS2 and inhibits its protease activity.
See full target information TMPRSS2

Publications (12)

Recent publications for all applications. Explore the full list and refine your search

International journal of molecular sciences 26: PubMed40724833

2025

Soybean Trypsin Inhibitor Possesses Potency Against SARS-CoV-2 Infection by Blocking the Host Cell Surface Receptors ACE2, TMPRSS2, and CD147.

Applications

Unspecified application

Species

Unspecified reactive species

Wen-Liang Wu,Jaung-Geng Lin,Wen-Ping Jiang,Hsi-Pin Hung,Atsushi Inose,Guan-Jhong Huang

Scientific reports 14:27023 PubMed39506016

2024

Effect of carbon black and silicon dioxide nanoparticle exposure on corona receptor ACE2 and TMPRSS2 expression in the ocular surface.

Applications

Unspecified application

Species

Unspecified reactive species

Xuemin Li,Xiangzhe Li,Boram Kang,Youngsub Eom,Dong Hyun Kim,Jong Suk Song

Stem cell research & therapy 15:316 PubMed39304926

2024

MSC-extracellular vesicle microRNAs target host cell-entry receptors in COVID-19: in silico modeling for in vivo validation.

Applications

Unspecified application

Species

Unspecified reactive species

Hajer A Al Saihati,Arigue A Dessouky,Rabab F Salim,Islam Elgohary,Mohamed El-Sherbiny,Fares E M Ali,Mahmoud M A Moustafa,Dalia Shaheen,Nicholas Robert Forsyth,Omnia A Badr,Nesrine Ebrahim

International journal of molecular sciences 25: PubMed38892254

2024

Anti-SARS-CoV-2 Viral Activity of Sweet Potato Trypsin Inhibitor via Downregulation of TMPRSS2 Activity and ACE2 Expression In Vitro and In Vivo.

Applications

Unspecified application

Species

Unspecified reactive species

Wen-Ping Jiang,Jeng-Shyan Deng,Chia-Chen Yu,Jaung-Geng Lin,Guan-Jhong Huang

International journal of molecular sciences 24: PubMed37894745

2023

Extracts and Their Constituents Suppress the Protein Expression of ACE2 and TMPRSS2 In Vivo and In Vitro.

Applications

Unspecified application

Species

Unspecified reactive species

Yu-Ru Chen,Wen-Ping Jiang,Jeng-Shyan Deng,Ya-Ni Chou,Yeh-Bin Wu,Hui-Ju Liang,Jaung-Geng Lin,Guan-Jhong Huang

BMC women's health 23:229 PubMed37142998

2023

Association between tissue stress reaction and ACE2/TMPRSS2 expression in endometria of reproductive aged women before and during Covid-19 pandemic.

Applications

Unspecified application

Species

Unspecified reactive species

Kanae Ogawa,Khaleque N Khan,Akemi Koshiba,Akira Fujishita,Go Horiguchi,Satoshi Teramukai,Kyoko Itoh,Sun-Wei Guo,Taisuke Mori

International journal of molecular sciences 23: PubMed36499094

2022

Reduces Expression of the SARS-CoV-2 Receptors ACE2 and TMPRSS2.

Applications

Unspecified application

Species

Unspecified reactive species

Te-Kai Sun,Wen-Chin Huang,Yu-Wen Sun,Jeng-Shyan Deng,Liang-Hsuan Chien,Ya-Ni Chou,Wen-Ping Jiang,Jaung-Geng Lin,Guan-Jhong Huang

International journal of molecular sciences 23: PubMed36077041

2022

Effects of Varying Glucose Concentrations on ACE2's Hypothalamic Expression and Its Potential Relation to COVID-19-Associated Neurological Dysfunction.

Applications

Unspecified application

Species

Unspecified reactive species

Ankita Srivastava,Bashair M Mussa

Biomedicine & pharmacotherapy = Biomedecine & pharmacotherapie 153:113434 PubMed36076488

2022

Study on the potential of Sanghuangporus sanghuang and its components as COVID-19 spike protein receptor binding domain inhibitors.

Applications

Unspecified application

Species

Unspecified reactive species

Liang-Hsuan Chien,Jeng-Shyan Deng,Wen-Ping Jiang,Chin-Chu Chen,Ya-Ni Chou,Jaung-Geng Lin,Guan-Jhong Huang

Scientific reports 12:1357 PubMed35079032

2022

Ozone exposure upregulates the expression of host susceptibility protein TMPRSS2 to SARS-CoV-2.

Applications

Unspecified application

Species

Unspecified reactive species

Thao Vo,Kshitiz Paudel,Ishita Choudhary,Sonika Patial,Yogesh Saini
View all publications

Product promise

We are committed to supporting your work with high-quality reagents, and we're here for you every step of the way. In the unlikely event that one of our products does not perform as expected, you're protected by our Product Promise.
For full details, please see our Terms & Conditions

Please note: All products are 'FOR RESEARCH USE ONLY. NOT FOR USE IN DIAGNOSTIC OR THERAPEUTIC PROCEDURES'.

For licensing inquiries, please contact partnerships@abcam.com