JavaScript is disabled in your browser. Please enable JavaScript to view this website.
AB109131

Anti-TMPRSS2 antibody [EPR3862]

5

(3 Reviews)

|

(58 Publications)

Anti-TMPRSS2 antibody [EPR3862] (ab109131) is a rabbit monoclonal antibody detecting TMPRSS2 in Western Blot, IHC-P. Suitable for Human.

- KO validated for confirmed specificity
- Biophysical QC for unrivalled batch-batch consistency
- Over 40 publications

View Alternative Names

PRSS10, TMPRSS2, Transmembrane protease serine 2, Serine protease 10

4 Images
Immunohistochemistry (Formalin/PFA-fixed paraffin-embedded sections) - Anti-TMPRSS2 antibody [EPR3862] (AB109131)
  • IHC-P

Supplier Data

Immunohistochemistry (Formalin/PFA-fixed paraffin-embedded sections) - Anti-TMPRSS2 antibody [EPR3862] (AB109131)

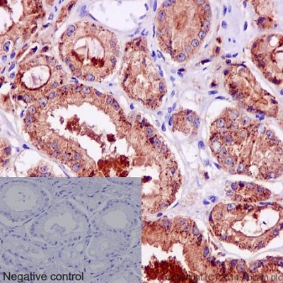
ab109131 staining TMPRSS2 in Human prostate adenocarcinoma tissue sections by Immunohistochemistry (IHC-P - paraformaldehyde-fixed, paraffin-embedded sections). Tissue was fixed and paraffin-embedded, antigen retrieval was by heat mediation in Tris/EDTA buffer pH9. Samples were incubated with primary antibody (1/1000). An undiluted HRP-conjugated mouse anti-rabbit IgG was used as the secondary antibody. Tissue counterstained with Hematoxylin. PBS was used in the negative control rather than the Primary antibody.

Immunohistochemistry (Formalin/PFA-fixed paraffin-embedded sections) - Anti-TMPRSS2 antibody [EPR3862] (AB109131)
  • IHC-P

Unknown

Immunohistochemistry (Formalin/PFA-fixed paraffin-embedded sections) - Anti-TMPRSS2 antibody [EPR3862] (AB109131)

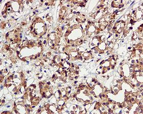
Immunohistochemical analysis of paraffin-embedded Human prostatic adenocarcinoma using ab109131, unpurified, at a dilution of 1/500.

Perform heat mediated antigen retrieval before commencing with IHC staining protocol.

Western blot - Anti-TMPRSS2 antibody [EPR3862] (AB109131)
  • WB

Lab

Western blot - Anti-TMPRSS2 antibody [EPR3862] (AB109131)

Blocking buffer and concentration : 5% NFDM/TBST
Diluting buffer and concentration : 5% NFDM /TBST

54kDa represents full-length TMPRSS2 and 25kDa is the cleaved form. The molecular weights observed are consistent with what have been described in the literature (PMID : 11245484).

All lanes:

Western blot - Anti-TMPRSS2 antibody [EPR3862] (ab109131) at 1/1000 dilution

All lanes:

LNCaP (Human prostate carcinoma epithelial cell) whole cell lysate at 20 µg

Secondary

All lanes:

Western blot - Goat Anti-Rabbit IgG H&L (HRP) (<a href='/en-us/products/secondary-antibodies/goat-rabbit-igg-h-l-hrp-ab97051'>ab97051</a>) at 1/20000 dilution

Predicted band size: 54 kDa

Observed band size: 25 kDa,54 kDa

false

Exposure time: 7s

Western blot - Anti-TMPRSS2 antibody [EPR3862] (AB109131)
  • WB

Lab

Western blot - Anti-TMPRSS2 antibody [EPR3862] (AB109131)

False colour image of Western blot : Anti-TMPRSS2 antibody [EPR3862] staining at 1/2000 dilution, shown in green; Mouse anti-GAPDH antibody [6C5] (ab8245) loading control staining at 1/20000 dilution, shown in red.

In Western blot, ab109131 was shown to bind specifically to TMPRSS2. A band was observed at 55, 25 kDa in wild-type LNCaP and at 25 kDa in Caco-2 cell lysates with no signal observed at this size in TMPRSS2 knockout LNCaP cell line ab273745 (knockout LNCaP cell lysate ab275499) and TMPRSS2 knockout Caco-2 cell line ab273737 (knockout Caco-2 cell lysate ab277340).

To generate this image, wild-type and TMPRSS2 knockout cell lysates were analysed. First, samples were run on an SDS-PAGE gel then transferred onto a nitrocellulose membrane. Membranes were blocked in 5 % milk in TBS-0.1 % Tween® 20 (TBS-T) before incubation with primary antibodies overnight at 4 °C. Blots were washed four times in TBS-T, incubated with secondary antibodies for 1 h at room temperature, washed again four times then imaged. Secondary antibodies used were Goat anti-Rabbit IgG H&L (IRDye® 800CW) preabsorbed (ab216773) and Goat anti-Mouse IgG H&L (IRDye® 680RD) preabsorbed (ab216776) at 1/20000 dilution.

All lanes:

Western blot - Anti-TMPRSS2 antibody [EPR3862] (ab109131) at 1/2000 dilution

Lane 1:

Wild-type LNCaP cell lysate at 20 µg

Lane 2:

TMPRSS2 knockout LNCaP cell lysate at 20 µg

Lane 2:

Western blot - Human TMPRSS2 knockout LNCaP cell line (<a href='/en-us/products/cell-lines/human-tmprss2-knockout-lncap-cell-line-ab273745'>ab273745</a>)

Lane 3:

Wild-type Caco-2 cell lysate at 20 µg

Lane 4:

TMPRSS2 knockout Caco-2 cell lysate at 20 µg

Lane 5:

PC-3 cell lysate at 20 µg

Lane 6:

DU 145 cell lysate at 20 µg

Lane 7:

Human Prostate cell lysate at 20 µg

Lane 8:

Human Colon cell lysate at 20 µg

Lane 9:

Human Lung cell lysate at 20 µg

Predicted band size: 54 kDa

Observed band size: 25 kDa,55 kDa

false

  • Carrier free

    Anti-TMPRSS2 antibody [EPR3862] - BSA and Azide free

Key facts

Host species

Rabbit

Clonality

Monoclonal

Clone number

EPR3862

Isotype

IgG

Carrier free

No

Reacts with

Human

Applications

WB, IHC-P

applications

Immunogen

The exact immunogen used to generate this antibody is proprietary information.

Reactivity data

{ "title": "Reactivity Data", "filters": { "stats": ["", "Species", "Dilution Info", "Notes"], "tabs": { "all-applications": {"fullname" : "All Applications", "shortname": "All Applications"}, "IHCP" : {"fullname" : "Immunohistochemistry (Formalin/PFA-fixed paraffin-embedded sections)", "shortname":"IHC-P"}, "WB" : {"fullname" : "Western blot", "shortname":"WB"}, "ICCIF" : {"fullname" : "Immunocytochemistry/ Immunofluorescence", "shortname":"ICC/IF"}, "FlowCyt" : {"fullname" : "Flow Cytometry", "shortname":"Flow Cyt"}, "ELISA" : {"fullname" : "ELISA", "shortname":"ELISA"} }, "product-promise": { "all": "all", "testedAndGuaranteed": "tested", "guaranteed": "expected", "predicted": "predicted", "notRecommended": "not-recommended" } }, "values": { "Human": { "IHCP-species-checked": "testedAndGuaranteed", "IHCP-species-dilution-info": "1/1000 - 1/2000", "IHCP-species-notes": "<p><strong>For unpurified use at 1/500 - 1/1000.</strong></p> Perform heat-mediated antigen retrieval before commencing with IHC staining protocol.", "WB-species-checked": "testedAndGuaranteed", "WB-species-dilution-info": "1/1000 - 1/5000", "WB-species-notes": "<p></p>", "ICCIF-species-checked": "notRecommended", "ICCIF-species-dilution-info": "", "ICCIF-species-notes": "<p></p>", "FlowCyt-species-checked": "notRecommended", "FlowCyt-species-dilution-info": "", "FlowCyt-species-notes": "<p></p>", "ELISA-species-checked": "notRecommended", "ELISA-species-dilution-info": "", "ELISA-species-notes": "<p></p>" } } }

Product details

What is this antibody validated in?
Anti-TMPRSS2 antibody [EPR3862] (ab109131) is a rabbit recombinant monoclonal antibody and is validated for use in Western Blot (WB), Immunohistochemistry (IHC-P) in Human samples.

What is the molecular weight of TMPRSS2?
Anti-TMPRSS2 [EPR3862] (ab109131) specifically detects a band for TMPRSS2 (UniProt: O15393) at a molecular weight of 54kDa.

Trusted by the scientific community
Anti-TMPRSS2 [EPR3862] (ab109131) was first used in a scientific publication in 2011 and has been cited over 40 times in peer-reviewed journals.

Trial sizes available!
Test your antibody or perform pre-screening before committing to a larger quantity. Sold in 10µl. Discover our selection of trial-size antibodies.

Specificity confirmed
The specificity of Anti-TMPRSS2 antibody [EPR3862] (ab109131) has been confirmed by Western blot testing in TMPRSS2 Knockout CACO-2 cell line, ab273745.

Other related products
We have a range of other formats of antibody clone [EPR3862] also available for your convenience: ab109131, Carrier free - ab242384

Patented technology
Our RabMAb® technology is a patented hybridoma-based technology for making rabbit monoclonal antibodies. For details on our patents, please refer to RabMAb® patents.

What are the advantages of a recombinant monoclonal antibody?
This product is a recombinant monoclonal antibody, which offers several advantages including:

  • - High batch-to-batch consistency and reproducibility
  • - Improved sensitivity and specificity
  • - Long-term security of supply
  • - Animal-free batch production

For more information, read more on recombinant antibodies.

Properties and storage information

Form
Liquid
Purification technique
Affinity purification Protein A
Storage buffer
pH: 7.2 - 7.4 Preservative: 0.01% Sodium azide Constituents: PBS, 40% Glycerol (glycerin, glycerine), 0.05% BSA
Shipped at conditions
Blue Ice
Appropriate short-term storage conditions
+4°C
Appropriate long-term storage conditions
-20°C
Storage information
Stable for 12 months at -20°C

Product protocols

For this product, it's our understanding that no specific protocols are required. You can visit:

Target data

Plasma membrane-anchored serine protease that cleaves at arginine residues (PubMed : 32703818, PubMed : 35676539, PubMed : 37990007, PubMed : 38964328). Participates in proteolytic cascades of relevance for the normal physiologic function of the prostate (PubMed : 25122198). Androgen-induced TMPRSS2 activates several substrates that include pro-hepatocyte growth factor/HGF, the protease activated receptor-2/F2RL1 or matriptase/ST14 leading to extracellular matrix disruption and metastasis of prostate cancer cells (PubMed : 15537383, PubMed : 25122198, PubMed : 26018085). In addition, activates trigeminal neurons and contribute to both spontaneous pain and mechanical allodynia (By similarity).. (Microbial infection) Facilitates human coronaviruses SARS-CoV and SARS-CoV-2 infections via two independent mechanisms, proteolytic cleavage of ACE2 receptor which promotes viral uptake, and cleavage of coronavirus spike glycoproteins which activates the glycoprotein for host cell entry (PubMed : 24227843, PubMed : 32142651, PubMed : 32404436, PubMed : 33051876, PubMed : 34159616, PubMed : 35676539, PubMed : 37990007). The cleavage of SARS-COV2 spike glycoprotein occurs between the S2 and S2' site (PubMed : 32703818). Upon SARS-CoV-2 infection, increases syncytia formation by accelerating the fusion process (PubMed : 33051876, PubMed : 34159616, PubMed : 35676539). Proteolytically cleaves and activates the spike glycoproteins of human coronavirus 229E (HCoV-229E) and human coronavirus EMC (HCoV-EMC) and the fusion glycoproteins F0 of Sendai virus (SeV), human metapneumovirus (HMPV), human parainfluenza 1, 2, 3, 4a and 4b viruses (HPIV). Essential for spread and pathogenesis of influenza A virus (strains H1N1, H3N2 and H7N9); involved in proteolytic cleavage and activation of hemagglutinin (HA) protein which is essential for viral infectivity.. (Microbial infection) Receptor for human coronavirus HKU1-CoV, acts synergistically with disialoside glycans to facilitate the entry of the virus. After binding to cell-surface disialoside glycans, the viral S protein interacts with the inactive form of TMPRSS2 and inhibits its protease activity.
See full target information TMPRSS2

Publications (58)

Recent publications for all applications. Explore the full list and refine your search

mBio 16:e0038525 PubMed40833112

2025

DAZAP2 functions as a pan-coronavirus restriction factor by inhibiting viral entry and genomic replication.

Applications

Unspecified application

Species

Unspecified reactive species

Fei Feng,Jiannan Chen,Rong Li,Yunkai Zhu,Yanlong Ma,Ziqiao Wang,Yuyan Wang,Zhichao Gao,Lulu Yang,Yin Yu,Yanfeng Liu,Yingjie Sun,Ying Liao,Xinxin Huang,Qisheng Zhang,Yongheng Huang,Lin Qiu,Jiayu Wu,Jingxian Zhao,Chao Liu,Qiang Ding,Youhua Xie,Zhenghong Yuan,Yue Hong,Ping Zhang,Jing Sun,Jincun Zhao,Rong Zhang

ERJ open research 11: PubMed40761650

2025

SARS-CoV-2 spike treatment and transfection impairs airway epithelial repair.

Applications

Unspecified application

Species

Unspecified reactive species

Tony Guo,Gurpreet Singhera,Jasmine Memar Vaghri,Wan Yi Liang,Janice M Leung,Del Dorscheid

Npj viruses 2:26 PubMed40295878

2025

Jamaican fruit bat (Artibeus jamaicensis) insusceptibility to mucosal inoculation with SARS-CoV-2 Delta variant is not caused by receptor compatibility.

Applications

Unspecified application

Species

Unspecified reactive species

Julia R Port,Jade C Riopelle,Sarah van Tol,Arthur Wickenhagen,Eric Bohrnsen,Daniel E Sturdevant,Rebecca Rosenke,Jamie Lovaglio,Justin Lack,Sarah L Anzick,Kathleen Cordova,Kwe Claude Yinda,Patrick W Hanley,Tony Schountz,Lon V Kendall,Carl I Shaia,Greg Saturday,Craig Martens,Benjamin Schwarz,Vincent J Munster

Cell & bioscience 15:43 PubMed40217547

2025

The influence of SARS-CoV-2 spike protein exposure on retinal development in the human retinal organoids.

Applications

Unspecified application

Species

Unspecified reactive species

Jing Gong,Lingling Ge,Yuxiao Zeng,Cao Yang,Yushan Luo,Jiahui Kang,Ting Zou,Haiwei Xu

The Kaohsiung journal of medical sciences 41:e70007 PubMed40066751

2025

PSMD14 Transcriptionally Activated by MEF2A Promotes Pancreatic Cancer Development by Upregulating SPON2 Expression.

Applications

Unspecified application

Species

Unspecified reactive species

Yun-He Hao,Cheng-Ru Yang,Wu-Jiang Shi,Xiang-Yu Zhong

Nature communications 16:594 PubMed39799119

2025

Evolution of Omicron lineage towards increased fitness in the upper respiratory tract in the absence of severe lung pathology.

Applications

Unspecified application

Species

Unspecified reactive species

Arthur Wickenhagen,Meaghan Flagg,Julia R Port,Claude Kwe Yinda,Kerry Goldin,Shane Gallogly,Jonathan E Schulz,Tessa Lutterman,Brandi N Williamson,Franziska Kaiser,Reshma K Mukesh,Sarah van Tol,Brian Smith,Neeltje van Doremalen,Colin A Russell,Emmie de Wit,Vincent J Munster

Nature communications 15:9480 PubMed39488529

2024

Live imaging of airway epithelium reveals that mucociliary clearance modulates SARS-CoV-2 spread.

Applications

Unspecified application

Species

Unspecified reactive species

Mark E Becker,Laura Martin-Sancho,Lacy M Simons,Michael D McRaven,Sumit K Chanda,Judd F Hultquist,Thomas J Hope

The Journal of general virology 105: PubMed38995681

2024

SARS-CoV-2 infects neurons, astrocytes, choroid plexus epithelial cells and pericytes of the human central nervous system .

Applications

Unspecified application

Species

Unspecified reactive species

Ruth Haverty,Janet McCormack,Christopher Evans,Kevin Purves,Sophie O'Reilly,Virginie Gautier,Keith Rochfort,Aurelie Fabre,Nicola F Fletcher

Respiratory research 25:238 PubMed38862975

2024

TMPRSS2 is a tumor suppressor and its downregulation promotes antitumor immunity and immunotherapy response in lung adenocarcinoma.

Applications

Unspecified application

Species

Unspecified reactive species

Zhixian Liu,Qiqi Lu,Zhilan Zhang,Qiushi Feng,Xiaosheng Wang

Signal transduction and targeted therapy 9:98 PubMed38609366

2024

Infection with SARS-CoV-2 can cause pancreatic impairment.

Applications

Unspecified application

Species

Unspecified reactive species

Wei Deng,Linlin Bao,Zhiqi Song,Ling Zhang,Pin Yu,Yanfeng Xu,Jue Wang,Wenjie Zhao,Xiuqin Zhang,Yunlin Han,Yanhong Li,Jiangning Liu,Qi Lv,Xujian Liang,Fengdi Li,Feifei Qi,Ran Deng,Siyuan Wang,Yibai Xiong,Ruiping Xiao,Hongyang Wang,Chuan Qin
View all publications

Product promise

We are committed to supporting your work with high-quality reagents, and we're here for you every step of the way. In the unlikely event that one of our products does not perform as expected, you're protected by our Product Promise.
For full details, please see our Terms & Conditions

Please note: All products are 'FOR RESEARCH USE ONLY. NOT FOR USE IN DIAGNOSTIC OR THERAPEUTIC PROCEDURES'.

For licensing inquiries, please contact partnerships@abcam.com