JavaScript is disabled in your browser. Please enable JavaScript to view this website.
AB242384

Anti-TMPRSS2 antibody [EPR3862] - BSA and Azide free

Be the first to review this product! Submit a review

|

(10 Publications)

Rabbit Recombinant Monoclonal TMPRSS2 antibody. Carrier free. Suitable for IHC-P, WB and reacts with Human samples. Cited in 10 publications.

View Alternative Names

PRSS10, TMPRSS2, Transmembrane protease serine 2, Serine protease 10

4 Images
Immunohistochemistry (Formalin/PFA-fixed paraffin-embedded sections) - Anti-TMPRSS2 antibody [EPR3862] - BSA and Azide free (AB242384)
  • IHC-P

Supplier Data

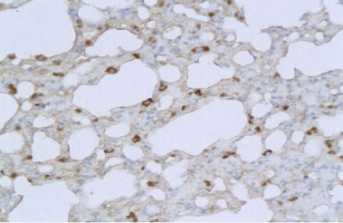
Immunohistochemistry (Formalin/PFA-fixed paraffin-embedded sections) - Anti-TMPRSS2 antibody [EPR3862] - BSA and Azide free (AB242384)

This data was developed using ab109131, the same antibody clone in a different buffer formulation.

ab109131 staining TMPRSS2 in Human prostate adenocarcinoma tissue sections by Immunohistochemistry (IHC-P - paraformaldehyde-fixed, paraffin-embedded sections). Tissue was fixed and paraffin-embedded, antigen retrieval was by heat mediation in Tris/EDTA buffer pH9. Samples were incubated with primary antibody (1/1000). An undiluted HRP-conjugated mouse anti-rabbit IgG was used as the secondary antibody. Tissue counterstained with Hematoxylin. PBS was used in the negative control rather than the Primary antibody.

Immunohistochemistry (Formalin/PFA-fixed paraffin-embedded sections) - Anti-TMPRSS2 antibody [EPR3862] - BSA and Azide free (AB242384)
  • IHC-P

Unknown

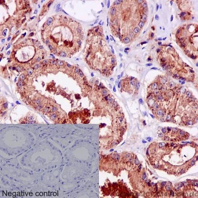
Immunohistochemistry (Formalin/PFA-fixed paraffin-embedded sections) - Anti-TMPRSS2 antibody [EPR3862] - BSA and Azide free (AB242384)

This data was developed using ab109131, the same antibody clone in a different buffer formulation.

Immunohistochemical analysis of paraffin-embedded Human prostatic adenocarcinoma using ab109131, unpurified, at a dilution of 1/500.

Perform heat mediated antigen retrieval before commencing with IHC staining protocol.

Western blot - Anti-TMPRSS2 antibody [EPR3862] - BSA and Azide free (AB242384)
  • WB

Unknown

Western blot - Anti-TMPRSS2 antibody [EPR3862] - BSA and Azide free (AB242384)

54kDa represents full-length TMPRSS2 and 25kDa is the cleaved form. The molecular weights observed are consistent with what have been described in the literature (PMID : 11245484).

All lanes:

Western blot - Anti-TMPRSS2 antibody [EPR3862] - BSA and Azide free (ab242384) at 1/5000 dilution

All lanes:

Human prostate lysate

Secondary

All lanes:

Goat Anti-Rabbit IgG (HRP) with minimal cross-reactivity with human IgG at 1/2000 dilution

Predicted band size: 54 kDa

false

Western blot - Anti-TMPRSS2 antibody [EPR3862] - BSA and Azide free (AB242384)
  • WB

Lab

Western blot - Anti-TMPRSS2 antibody [EPR3862] - BSA and Azide free (AB242384)

False colour image of Western blot : Anti-TMPRSS2 antibody [EPR3862] staining at 1/2000 dilution, shown in green; Mouse anti-GAPDH antibody [6C5] (ab8245) loading control staining at 1/20000 dilution, shown in red. In Western blot, ab109131 was shown to bind specifically to TMPRSS2. A band was observed at 55, 25 kDa in wild-type LNCaP and at 25 kDa in Caco-2 cell lysates with no signal observed at this size in TMPRSS2 knockout LNCaP cell line ab273745 (knockout LNCaP cell lysate ab275499) and TMPRSS2 knockout Caco-2 cell line ab273737 (knockout Caco-2 cell lysate ab277340). To generate this image, wild-type and TMPRSS2 knockout cell lysates were analysed. First, samples were run on an SDS-PAGE gel then transferred onto a nitrocellulose membrane. Membranes were blocked in 5 % milk in TBS-0.1 % Tween® 20 (TBS-T) before incubation with primary antibodies overnight at 4 °C. Blots were washed four times in TBS-T, incubated with secondary antibodies for 1 h at room temperature, washed again four times then imaged. Secondary antibodies used were Goat anti-Rabbit IgG H&L (IRDye$®$ 800CW) preabsorbed (ab216773) and Goat anti-Mouse IgG H&L (IRDye® 680RD) preabsorbed (ab216776) at 1/20000 dilution.

All lanes:

Western blot - Anti-TMPRSS2 antibody [EPR3862] (<a href='/en-us/products/primary-antibodies/tmprss2-antibody-epr3862-ab109131'>ab109131</a>) at 1/2000 dilution

Lane 1:

Wild-type LNCaP cell lysate at 20 µg

Lane 2:

TMPRSS2 knockout LNCaP cell lysate at 20 µg

Lane 2:

Western blot - Human TMPRSS2 knockout LNCaP cell line (<a href='/en-us/products/cell-lines/human-tmprss2-knockout-lncap-cell-line-ab273745'>ab273745</a>)

Lane 3:

Wild-type Caco-2 cell lysate at 20 µg

Lane 4:

TMPRSS2 knockout Caco-2 cell lysate at 20 µg

Lane 5:

PC-3 cell lysate at 20 µg

Lane 6:

DU 145 cell lysate at 20 µg

Lane 7:

Human Prostate cell lysate at 20 µg

Lane 8:

Human Colon cell lysate at 20 µg

Lane 9:

Human Lung cell lysate at 20 µg

Predicted band size: 54 kDa

Observed band size: 25 kDa,55 kDa

false

Key facts

Host species

Rabbit

Clonality

Monoclonal

Clone number

EPR3862

Isotype

IgG

Carrier free

Yes

Reacts with

Human

Applications

IHC-P, WB

applications

Immunogen

The exact immunogen used to generate this antibody is proprietary information.

Reactivity data

{ "title": "Reactivity Data", "filters": { "stats": ["", "Species", "Dilution Info", "Notes"], "tabs": { "all-applications": {"fullname" : "All Applications", "shortname": "All Applications"}, "IHCP" : {"fullname" : "Immunohistochemistry (Formalin/PFA-fixed paraffin-embedded sections)", "shortname":"IHC-P"}, "ICCIF" : {"fullname" : "Immunocytochemistry/ Immunofluorescence", "shortname":"ICC/IF"}, "WB" : {"fullname" : "Western blot", "shortname":"WB"} }, "product-promise": { "all": "all", "testedAndGuaranteed": "tested", "guaranteed": "expected", "predicted": "predicted", "notRecommended": "not-recommended" } }, "values": { "Human": { "IHCP-species-checked": "testedAndGuaranteed", "IHCP-species-dilution-info": "", "IHCP-species-notes": "<p></p>", "ICCIF-species-checked": "notRecommended", "ICCIF-species-dilution-info": "", "ICCIF-species-notes": "<p></p>", "WB-species-checked": "testedAndGuaranteed", "WB-species-dilution-info": "", "WB-species-notes": "<p></p>" } } }

Product details

ab242384 is the carrier-free version of ab109131.

Patented technology
Our RabMAb® technology is a patented hybridoma-based technology for making rabbit monoclonal antibodies. For details on our patents, please refer to RabMAb® patents.

What are the advantages of a recombinant monoclonal antibody?
This product is a recombinant monoclonal antibody, which offers several advantages including:

  • - High batch-to-batch consistency and reproducibility
  • - Improved sensitivity and specificity
  • - Long-term security of supply
  • - Animal-free batch production

For more information, read more on recombinant antibodies.

Conjugation ready
Our carrier-free antibodies are typically supplied in a PBS-only formulation, purified and free of BSA, sodium azide and glycerol. This conjugation-ready format is designed for use with fluorochromes, metal isotopes, oligonucleotides, and enzymes, which makes them ideal for antibody labelling, functional and cell-based assays, flow-based assays (e.g. mass cytometry) and Multiplex Imaging applications.

Use our conjugation kits for antibody conjugates that are ready-to-use in as little as 20 minutes with 1 minute hands-on-time and 100% antibody recovery: available for fluorescent dyes, HRP, biotin and gold.

Compatibility
This product is compatible with the Maxpar® Antibody Labeling Kit from Fluidigm, without the need for antibody preparation. Maxpar® is a trademark of Fluidigm Canada Inc.

Properties and storage information

Form
Liquid
Purification technique
Affinity purification Protein A
Storage buffer
pH: 7.2 - 7.4 Constituents: PBS
Shipped at conditions
Blue Ice
Appropriate short-term storage conditions
+4°C
Appropriate long-term storage conditions
+4°C
Storage information
Do Not Freeze

Product protocols

For this product, it's our understanding that no specific protocols are required. You can visit:

Target data

Plasma membrane-anchored serine protease that cleaves at arginine residues (PubMed : 32703818, PubMed : 35676539, PubMed : 37990007, PubMed : 38964328). Participates in proteolytic cascades of relevance for the normal physiologic function of the prostate (PubMed : 25122198). Androgen-induced TMPRSS2 activates several substrates that include pro-hepatocyte growth factor/HGF, the protease activated receptor-2/F2RL1 or matriptase/ST14 leading to extracellular matrix disruption and metastasis of prostate cancer cells (PubMed : 15537383, PubMed : 25122198, PubMed : 26018085). In addition, activates trigeminal neurons and contribute to both spontaneous pain and mechanical allodynia (By similarity).. (Microbial infection) Facilitates human coronaviruses SARS-CoV and SARS-CoV-2 infections via two independent mechanisms, proteolytic cleavage of ACE2 receptor which promotes viral uptake, and cleavage of coronavirus spike glycoproteins which activates the glycoprotein for host cell entry (PubMed : 24227843, PubMed : 32142651, PubMed : 32404436, PubMed : 33051876, PubMed : 34159616, PubMed : 35676539, PubMed : 37990007). The cleavage of SARS-COV2 spike glycoprotein occurs between the S2 and S2' site (PubMed : 32703818). Upon SARS-CoV-2 infection, increases syncytia formation by accelerating the fusion process (PubMed : 33051876, PubMed : 34159616, PubMed : 35676539). Proteolytically cleaves and activates the spike glycoproteins of human coronavirus 229E (HCoV-229E) and human coronavirus EMC (HCoV-EMC) and the fusion glycoproteins F0 of Sendai virus (SeV), human metapneumovirus (HMPV), human parainfluenza 1, 2, 3, 4a and 4b viruses (HPIV). Essential for spread and pathogenesis of influenza A virus (strains H1N1, H3N2 and H7N9); involved in proteolytic cleavage and activation of hemagglutinin (HA) protein which is essential for viral infectivity.. (Microbial infection) Receptor for human coronavirus HKU1-CoV, acts synergistically with disialoside glycans to facilitate the entry of the virus. After binding to cell-surface disialoside glycans, the viral S protein interacts with the inactive form of TMPRSS2 and inhibits its protease activity.
See full target information TMPRSS2

Publications (10)

Recent publications for all applications. Explore the full list and refine your search

Nature communications 16:6009 PubMed40593805

2025

Spatial and single cell mapping of castleman disease reveals key stromal cell types and cytokine pathways.

Applications

Unspecified application

Species

Unspecified reactive species

David Smith,Anna Eichinger,Éanna Fennell,Zijun Y Xu-Monette,Andrew Rech,Julia Wang,Eduardo Esteva,Arta Seyedian,Xiaoxu Yang,Mei Zhang,Dan Martinez,Kai Tan,Minjie Luo,Katherine J Young,Paul G Murray,Christopher Park,Boris Reizis,Vinodh Pillai

Frontiers in cardiovascular medicine 11:1360364 PubMed38576426

2024

SARS-CoV-2 infection of endothelial cells, dependent on flow-induced ACE2 expression, drives hypercytokinemia in a vascularized microphysiological system.

Applications

Unspecified application

Species

Unspecified reactive species

Christopher J Hatch,Sebastian D Piombo,Jennifer S Fang,Johannes S Gach,Makena L Ewald,William K Van Trigt,Brian G Coon,Jay M Tong,Donald N Forthal,Christopher C W Hughes

ACS chemical neuroscience 14:2089-2097 PubMed37172190

2023

ACE2 Receptor and TMPRSS2 Protein Expression Patterns in the Human Brainstem Reveal Anatomical Regions Potentially Vulnerable to SARS-CoV-2 Infection.

Applications

Unspecified application

Species

Unspecified reactive species

Aron Emmi,Aleksandar Tushevski,Alessandro Sinigaglia,Silvia Barbon,Michele Sandre,Elena Stocco,Veronica Macchi,Angelo Antonini,Luisa Barzon,Andrea Porzionato,Raffaele De Caro

NPJ Parkinson's disease 9:25 PubMed36781876

2023

Detection of SARS-CoV-2 viral proteins and genomic sequences in human brainstem nuclei.

Applications

Unspecified application

Species

Unspecified reactive species

Aron Emmi,Stefania Rizzo,Luisa Barzon,Michele Sandre,Elisa Carturan,Alessandro Sinigaglia,Silvia Riccetti,Mila Della Barbera,Rafael Boscolo-Berto,Patrizia Cocco,Veronica Macchi,Angelo Antonini,Monica De Gaspari,Cristina Basso,Raffaele De Caro,Andrea Porzionato

Frontiers in microbiology 13:943877 PubMed36532428

2022

gene polymorphism common in East Asians confers decreased COVID-19 susceptibility.

Applications

Unspecified application

Species

Unspecified reactive species

Takeshi Sekiya,Yukino Ogura,Hirayasu Kai,Atsushi Kawaguchi,Shino Okawa,Mikako Hirohama,Takahiro Kuroki,Wataru Morii,Akira Hara,Yuji Hiramatsu,Shigemi Hitomi,Yasushi Kawakami,Yoshihiro Arakawa,Kazushi Maruo,Shigeru Chiba,Hiromichi Suzuki,Hiroshi Kojima,Hirokazu Tachikawa,Kunihiro Yamagata

The Journal of infectious diseases 227:543-553 PubMed36408607

2022

Human Cytomegalovirus Infection of Epithelial Cells Increases SARS-CoV-2 Superinfection by Upregulating the ACE2 Receptor.

Applications

Unspecified application

Species

Unspecified reactive species

Marianne R Perera,Edward J D Greenwood,Thomas W M Crozier,Elizabeth G Elder,Janika Schmitt,Colin M Crump,Paul J Lehner,Mark R Wills,John H Sinclair

Frontiers in immunology 13:1021928 PubMed36405732

2022

Differential effects of age, sex and dexamethasone therapy on ACE2/TMPRSS2 expression and susceptibility to SARS-CoV-2 infection.

Applications

Unspecified application

Species

Unspecified reactive species

Shima Shahbaz,Olaide Oyegbami,Suguru Saito,Mohammed Osman,Wendy Sligl,Shokrollah Elahi

STAR protocols 3:101383 PubMed35664254

2022

Protocols for SARS-CoV-2 infection in primary ocular cells and eye organoids.

Applications

Unspecified application

Species

Unspecified reactive species

Anne Zebitz Eriksen,Rasmus Møller,Bar Makovoz,Benjamin R tenOever,Timothy A Blenkinsop

Cell stem cell 28:1205-1220.e7 PubMed34022129

2021

SARS-CoV-2 infects human adult donor eyes and hESC-derived ocular epithelium.

Applications

Unspecified application

Species

Unspecified reactive species

Anne Z Eriksen,Rasmus Møller,Bar Makovoz,Skyler A Uhl,Benjamin R tenOever,Timothy A Blenkinsop

International immunopharmacology 93:107406 PubMed33601246

2021

Type 2 diabetes mellitus impaired nasal immunity and increased the risk of hyposmia in COVID-19 mild pneumonia patients.

Applications

Unspecified application

Species

Unspecified reactive species

Yi Zhao,Yujie Liu,Fangzheng Yi,Jun Zhang,Zhaohui Xu,Yehai Liu,Ye Tao
View all publications

Product promise

We are committed to supporting your work with high-quality reagents, and we're here for you every step of the way. In the unlikely event that one of our products does not perform as expected, you're protected by our Product Promise.
For full details, please see our Terms & Conditions

Please note: All products are 'FOR RESEARCH USE ONLY. NOT FOR USE IN DIAGNOSTIC OR THERAPEUTIC PROCEDURES'.

For licensing inquiries, please contact partnerships@abcam.com