JavaScript is disabled in your browser. Please enable JavaScript to view this website.
AB188816

Anti-TMPRSS4 antibody

Be the first to review this product! Submit a review

|

(3 Publications)

Rabbit Polyclonal TMPRSS4 antibody. Suitable for IHC-P and reacts with Human samples. Cited in 3 publications. Immunogen corresponding to Synthetic Peptide within Human TMPRSS4.

View Alternative Names

TMPRSS3, UNQ776/PRO1570, TMPRSS4, Transmembrane protease serine 4, Channel-activating protease 2, Membrane-type serine protease 2, CAPH2, MT-SP2

2 Images
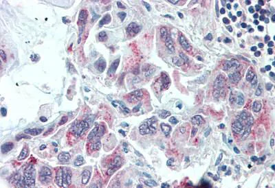
Immunohistochemistry (Formalin/PFA-fixed paraffin-embedded sections) - Anti-TMPRSS4 antibody (AB188816)
  • IHC-P

Supplier Data

Immunohistochemistry (Formalin/PFA-fixed paraffin-embedded sections) - Anti-TMPRSS4 antibody (AB188816)

Immunohistochemical analysis of formalin fixed paraffin embedded human pancreatic carcinoma labeling TMPRSS4 with ab188816 at 20 μg/ml

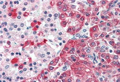
Immunohistochemistry (Formalin/PFA-fixed paraffin-embedded sections) - Anti-TMPRSS4 antibody (AB188816)
  • IHC-P

Supplier Data

Immunohistochemistry (Formalin/PFA-fixed paraffin-embedded sections) - Anti-TMPRSS4 antibody (AB188816)

Immunohistochemical analysis of formalin fixed paraffin embedded human pancreas labeling TMPRSS4 with ab188816 at 20 μg/ml

Key facts

Host species

Rabbit

Clonality

Polyclonal

Isotype

IgG

Carrier free

No

Reacts with

Human

Applications

IHC-P

applications

Immunogen

Synthetic Peptide within Human TMPRSS4. The exact immunogen used to generate this antibody is proprietary information.

Q9NRS4

Reactivity data

{ "title": "Reactivity Data", "filters": { "stats": ["", "Species", "Dilution Info", "Notes"], "tabs": { "all-applications": {"fullname" : "All Applications", "shortname": "All Applications"}, "IHCP" : {"fullname" : "Immunohistochemistry (Formalin/PFA-fixed paraffin-embedded sections)", "shortname":"IHC-P"} }, "product-promise": { "all": "all", "testedAndGuaranteed": "tested", "guaranteed": "expected", "predicted": "predicted", "notRecommended": "not-recommended" } }, "values": { "Human": { "IHCP-species-checked": "testedAndGuaranteed", "IHCP-species-dilution-info": "15-20 µg/mL", "IHCP-species-notes": "<p></p> Perform heat-mediated antigen retrieval before commencing with IHC staining protocol." }, "Chimpanzee": { "IHCP-species-checked": "predicted", "IHCP-species-dilution-info": "", "IHCP-species-notes": "" }, "Common marmoset": { "IHCP-species-checked": "predicted", "IHCP-species-dilution-info": "", "IHCP-species-notes": "" }, "Gorilla": { "IHCP-species-checked": "predicted", "IHCP-species-dilution-info": "", "IHCP-species-notes": "" }, "Monkey": { "IHCP-species-checked": "predicted", "IHCP-species-dilution-info": "", "IHCP-species-notes": "" }, "Orangutan": { "IHCP-species-checked": "predicted", "IHCP-species-dilution-info": "", "IHCP-species-notes": "" } } }

Properties and storage information

Form
Liquid
Purification technique
Affinity purification Immunogen
Storage buffer
pH: 7.4 Preservative: 0.1% Sodium azide Constituents: PBS
Shipped at conditions
Blue Ice
Appropriate short-term storage duration
1-2 weeks
Appropriate short-term storage conditions
+4°C
Appropriate long-term storage conditions
-20°C
Aliquoting information
Upon delivery aliquot
Storage information
Avoid freeze / thaw cycle

Product protocols

For this product, it's our understanding that no specific protocols are required. You can visit:

Target data

Plasma membrane-anchored serine protease that directly induces processing of pro-uPA/PLAU into the active form through proteolytic activity (PubMed : 24434139). Seems to be capable of activating ENaC (By similarity).. (Microbial infection) In gut epithelial cells, facilitates human coronavirus SARS-CoV-2 infection through, at least, the cleavage of coronavirus spike glycoproteins which activates the glycoprotein for host cell entry.
See full target information TMPRSS4

Publications (3)

Recent publications for all applications. Explore the full list and refine your search

Molecular medicine reports 25: PubMed35211765

2022

Protein expression of transmembrane protease serine 4 in the gastrointestinal tract and in healthy, cancer, and SARS‑CoV‑2 infected lungs.

Applications

Unspecified application

Species

Unspecified reactive species

Rachel Kerslake,Harpal S Randeva,Danny Jonigk,Christopher Werlein,Jan L Robertus,Periklis Katopodis,Petra Jasker,Demetrios A Spandidos,Ioannis Kyrou,Emmanouil Karteris

Frontiers in oncology 10:931 PubMed32695668

2020

Novel Potential Biomarkers Associated With Epithelial to Mesenchymal Transition and Bladder Cancer Prognosis Identified by Integrated Bioinformatic Analysis.

Applications

Unspecified application

Species

Unspecified reactive species

Chengyuan Wang,Yujing Yang,Lei Yin,Ningde Wei,Ting Hong,Zuyu Sun,Jiaxi Yao,Zhi Li,Tao Liu

International journal of oncology 53:148-158 PubMed29750426

2018

The upregulation of TMPRSS4, partly ascribed to the downregulation of miR‑125a‑5p, promotes the growth of human lung adenocarcinoma via the NF‑κB signaling pathway.

Applications

Unspecified application

Species

Unspecified reactive species

Xiaoxi Fan,Yicheng Liang,Yang Liu,Yunpeng Bai,Chunlu Yang,Shun Xu
View all publications

Product promise

We are committed to supporting your work with high-quality reagents, and we're here for you every step of the way. In the unlikely event that one of our products does not perform as expected, you're protected by our Product Promise.
For full details, please see our Terms & Conditions

Please note: All products are 'FOR RESEARCH USE ONLY. NOT FOR USE IN DIAGNOSTIC OR THERAPEUTIC PROCEDURES'.

For licensing inquiries, please contact partnerships@abcam.com