JavaScript is disabled in your browser. Please enable JavaScript to view this website.
AB111852

Anti-TMS1/ASC antibody

Be the first to review this product! Submit a review

|

(3 Publications)

Goat Polyclonal TMS1/ASC antibody. Suitable for WB, IHC-P and reacts with Human samples. Cited in 3 publications. Immunogen corresponding to Synthetic Peptide within Human PYCARD aa 150 to C-terminus.

View Alternative Names

ASC, CARD5, TMS1, PYCARD, Apoptosis-associated speck-like protein containing a CARD, hASC, Caspase recruitment domain-containing protein 5, PYD and CARD domain-containing protein, Target of methylation-induced silencing 1

3 Images
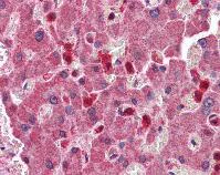
Immunohistochemistry (Formalin/PFA-fixed paraffin-embedded sections) - Anti-TMS1/ASC antibody (AB111852)
  • IHC-P

Unknown

Immunohistochemistry (Formalin/PFA-fixed paraffin-embedded sections) - Anti-TMS1/ASC antibody (AB111852)

ab111852, at 2.5μg/ml, staining TMS1/ASC in Formalin-fixed, Paraffin-embedded Human Liver tissue by Immunohistochemistry.

Immunohistochemistry (Formalin/PFA-fixed paraffin-embedded sections) - Anti-TMS1/ASC antibody (AB111852)
  • IHC-P

Unknown

Immunohistochemistry (Formalin/PFA-fixed paraffin-embedded sections) - Anti-TMS1/ASC antibody (AB111852)

ab111852, at 2.5μg/ml, staining TMS1/ASC in Formalin-fixed, Paraffin-embedded Human Tonsil tissue by Immunohistochemistry.

Western blot - Anti-TMS1/ASC antibody (AB111852)
  • WB

Unknown

Western blot - Anti-TMS1/ASC antibody (AB111852)

All lanes:

Western blot - Anti-TMS1/ASC antibody (ab111852) at 1 µg/mL

All lanes:

HeLa lysate at 35 µg

Predicted band size: 22 kDa

true

Key facts

Host species

Goat

Clonality

Polyclonal

Isotype

IgG

Carrier free

No

Reacts with

Human

Applications

IHC-P, WB

applications

Immunogen

Synthetic Peptide within Human PYCARD aa 150 to C-terminus. The exact immunogen used to generate this antibody is proprietary information.

Q9ULZ3

Reactivity data

{ "title": "Reactivity Data", "filters": { "stats": ["", "Species", "Dilution Info", "Notes"], "tabs": { "all-applications": {"fullname" : "All Applications", "shortname": "All Applications"}, "WB" : {"fullname" : "Western blot", "shortname":"WB"}, "IHCP" : {"fullname" : "Immunohistochemistry (Formalin/PFA-fixed paraffin-embedded sections)", "shortname":"IHC-P"} }, "product-promise": { "all": "all", "testedAndGuaranteed": "tested", "guaranteed": "expected", "predicted": "predicted", "notRecommended": "not-recommended" } }, "values": { "Human": { "WB-species-checked": "testedAndGuaranteed", "WB-species-dilution-info": "1-3 µg/mL", "WB-species-notes": "<p></p>", "IHCP-species-checked": "testedAndGuaranteed", "IHCP-species-dilution-info": "2.5 µg/mL", "IHCP-species-notes": "<p></p>" } } }

Properties and storage information

Form
Liquid
Purification technique
Affinity purification Protein G
Storage buffer
pH: 7.3 Preservative: 0.02% Sodium azide Constituents: 99% Tris buffered saline, 0.5% BSA
Shipped at conditions
Blue Ice
Appropriate short-term storage conditions
+4°C
Appropriate long-term storage conditions
-20°C
Aliquoting information
Upon delivery aliquot
Storage information
Avoid freeze / thaw cycle

Product protocols

For this product, it's our understanding that no specific protocols are required. You can visit:

Target data

Functions as a key mediator in apoptosis and inflammation (PubMed : 11103777, PubMed : 12646168, PubMed : 15030775, PubMed : 17349957, PubMed : 17599095, PubMed : 19158675, PubMed : 19158676, PubMed : 19234215, PubMed : 19494289, PubMed : 21487011, PubMed : 24630722, PubMed : 25847972, PubMed : 30674671, PubMed : 34678144, PubMed : 36050480). Promotes caspase-mediated apoptosis involving predominantly caspase-8 and also caspase-9 in a probable cell type-specific manner (PubMed : 11103777, PubMed : 12646168). Involved in activation of the mitochondrial apoptotic pathway, promotes caspase-8-dependent proteolytic maturation of BID independently of FADD in certain cell types and also mediates mitochondrial translocation of BAX and activates BAX-dependent apoptosis coupled to activation of caspase-9, -2 and -3 (PubMed : 14730312, PubMed : 16964285). Involved in innate immune response by acting as an integral adapter in the assembly of various inflammasomes (NLRP1, NLRP2, NLRP3, NLRP6, AIM2 and probably IFI16) which recruit and activate caspase-1 leading to processing and secretion of pro-inflammatory cytokines (PubMed : 15030775, PubMed : 16982856, PubMed : 17349957, PubMed : 17599095, PubMed : 19158675, PubMed : 19158676, PubMed : 19234215, PubMed : 21487011, PubMed : 23530044, PubMed : 24630722, PubMed : 25847972, PubMed : 29440442, PubMed : 30674671, PubMed : 33980849, PubMed : 34678144, PubMed : 34706239). Caspase-1-dependent inflammation leads to macrophage pyroptosis, a form of cell death (PubMed : 24630722). The function as activating adapter in different types of inflammasomes is mediated by the pyrin and CARD domains and their homotypic interactions (PubMed : 14499617, PubMed : 19234215, PubMed : 24630722). Clustered PYCARD nucleates the formation of caspase-1 filaments through the interaction of their respective CARD domains, acting as a platform for of caspase-1 polymerization (PubMed : 24630722). In the NLRP1 and NLRC4 inflammasomes seems not be required but facilitates the processing of procaspase-1 (PubMed : 17349957). In cooperation with NOD2 involved in an inflammasome activated by bacterial muramyl dipeptide leading to caspase-1 activation (PubMed : 16964285). May be involved in RIGI-triggered pro-inflammatory responses and inflammasome activation (PubMed : 19915568). In collaboration with AIM2 which detects cytosolic double-stranded DNA may also be involved in a caspase-1-independent cell death that involves caspase-8 (PubMed : 19158675, PubMed : 19158676). In adaptive immunity may be involved in maturation of dendritic cells to stimulate T-cell immunity and in cytoskeletal rearrangements coupled to chemotaxis and antigen uptake may be involved in post-transcriptional regulation of the guanine nucleotide exchange factor DOCK2; the latter function is proposed to involve the nuclear form (PubMed : 22732093). Also involved in transcriptional activation of cytokines and chemokines independent of the inflammasome; this function may involve AP-1, NF-kappa-B, MAPK and caspase-8 signaling pathways (PubMed : 12486103, PubMed : 16585594). For regulation of NF-kappa-B activating and inhibiting functions have been reported (PubMed : 12486103). Modulates NF-kappa-B induction at the level of the IKK complex by inhibiting kinase activity of CHUK and IKBK (PubMed : 12486103, PubMed : 16585594). Proposed to compete with RIPK2 for association with CASP1 thereby down-regulating CASP1-mediated RIPK2-dependent NF-kappa-B activation and activating interleukin-1 beta processing (PubMed : 16585594). Modulates host resistance to DNA virus infection, probably by inducing the cleavage of and inactivating CGAS in presence of cytoplasmic double-stranded DNA (PubMed : 28314590).. Isoform 2. May have a regulating effect on the function as inflammasome adapter.. Isoform 3. Seems to inhibit inflammasome-mediated maturation of interleukin-1 beta.
See full target information PYCARD

Publications (3)

Recent publications for all applications. Explore the full list and refine your search

Iranian journal of public health 52:2390-2401 PubMed38106822

2023

The Expression of High Mobility Group Box-1 (HMG1) in the Peripheral Blood and Its Relation with Systemic Vasculitis Patients.

Applications

Unspecified application

Species

Unspecified reactive species

Ying Qin,Xin Li,Lidong Shi,Yangyang Liu,Zhihui Wang,Yue Guan

Medicine 100:e27059 PubMed34477138

2021

Prolidase expression in knee osteoarthritis and healthy controls: Observational study.

Applications

Unspecified application

Species

Unspecified reactive species

Karina Silva-Luna,Lucio Ventura-Ríos,Ambar López-Macay

Laboratory investigation; a journal of technical methods and pathology 101:1118-1129 PubMed34045679

2021

The lncRNA XIST/miR-150-5p/c-Fos axis regulates sepsis-induced myocardial injury via TXNIP-modulated pyroptosis.

Applications

Unspecified application

Species

Unspecified reactive species

Xin Wang,Xing-Liang Li,Li-Jie Qin
View all publications

Product promise

We are committed to supporting your work with high-quality reagents, and we're here for you every step of the way. In the unlikely event that one of our products does not perform as expected, you're protected by our Product Promise.
For full details, please see our Terms & Conditions

Please note: All products are 'FOR RESEARCH USE ONLY. NOT FOR USE IN DIAGNOSTIC OR THERAPEUTIC PROCEDURES'.

For licensing inquiries, please contact partnerships@abcam.com