JavaScript is disabled in your browser. Please enable JavaScript to view this website.
AB283712

Anti-TMS1/ASC antibody [EPR23978-28] - BSA and Azide free

  • BOND RX™ Validated
  • RabMAb
  • Recombinant
  • KO Validated
  • What is this?

Be the first to review this product! Submit a review

|

(0 Publication)

Rabbit Recombinant Monoclonal TMS1/ASC antibody. Carrier free. Suitable for IP, Flow Cyt (Intra), WB, IHC-P, ICC/IF and reacts with Human samples.

View Alternative Names

ASC, CARD5, TMS1, PYCARD, Apoptosis-associated speck-like protein containing a CARD, hASC, Caspase recruitment domain-containing protein 5, PYD and CARD domain-containing protein, Target of methylation-induced silencing 1

8 Images
Immunocytochemistry/ Immunofluorescence - Anti-TMS1/ASC antibody [EPR23978-28] - BSA and Azide free (AB283712)
  • ICC/IF

Supplier Data

Immunocytochemistry/ Immunofluorescence - Anti-TMS1/ASC antibody [EPR23978-28] - BSA and Azide free (AB283712)

This data was developed using ab283684, the same antibody clone in a different buffer formulation.

Immunofluorescent analysis of 4% Paraformaldehyde-fixed, 0.1% TritonX-100 permeabilized THP-1 cells labelling TMS1/ASC with ab283684 at 1/100 (4.94 ug/ml) dilution, followed by ab150081 Goat Anti-Rabbit IgG H&L (Alexa Fluor® 488) preadsorbed antibody at 1/1000 2 ug/ml dilution (Green). Confocal image showing cytoplasmic taining in THP-1 cell line. Negative control : HeLa (PMID : 11103776). ab195889 Anti-alpha Tubulin mouse monoclonal antibody - Microtubule Marker (Alexa Fluor® 594) was used to counterstain tubulin at 1/200 2.5ug/ml dilution (Red). The Nuclear counterstain was DAPI (Blue).

Secondary antibody only control : Secondary antibody is ab150081 Goat Anti-Rabbit IgG H&L (Alexa Fluor® 488) preadsorbed at 1/1000 2 ug/ml dilution.

Flow Cytometry (Intracellular) - Anti-TMS1/ASC antibody [EPR23978-28] - BSA and Azide free (AB283712)
  • Flow Cyt (Intra)

Supplier Data

Flow Cytometry (Intracellular) - Anti-TMS1/ASC antibody [EPR23978-28] - BSA and Azide free (AB283712)

This data was developed using ab283684, the same antibody clone in a different buffer formulation.

Flow cytometric analysis of 4% paraformaldehyde fixed 90% methanol permeabilized HeLa (human cervix adenocarcinoma epithelial cell, Left) / THP-1 (Human monocytic leukemia monocyte, Right) cells labelling TMS1/ASC with ab283684 at 1/5000 dilution (0.01ug) (Red) compared with a Rabbit monoclonal IgG (ab172730) (Black) isotype control and an unlabelled control (cells without incubation with primary antibody and secondary antibody) (Blue). A Goat Anti-Rabbit IgG (Alexa Fluor® 488, ab150081) at 1/2000 dilution was used as the secondary antibody. Negative control : HeLa (PMID : 11103776).

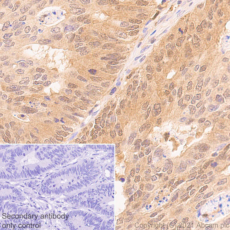
Immunohistochemistry (Formalin/PFA-fixed paraffin-embedded sections) - Anti-TMS1/ASC antibody [EPR23978-28] - BSA and Azide free (AB283712)
  • IHC-P

Supplier Data

Immunohistochemistry (Formalin/PFA-fixed paraffin-embedded sections) - Anti-TMS1/ASC antibody [EPR23978-28] - BSA and Azide free (AB283712)

This data was developed using ab283684, the same antibody clone in a different buffer formulation.

Immunohistochemical analysis of paraffin-embedded Human colon cancer tissue labelling TMS1/ASC with ab283684 at 1/2000 (0.247 ug/ml) dilution followed by a ready to use LeicaDS9800 (Bond™ Polymer Refine Detection). Positive staining on human colon cancer (PMID : 14643031). The section was incubated with ab283684 for 30 mins at room temperature. The immunostaining was performed on a Leica Biosystems BOND® RX instrument Counterstained with Hematoxylin.

Secondary antibody only control : Secondary antibody is a ready to use LeicaDS9800 (Bond™ Polymer Refine Detection).

Heat mediated antigen retrieval with Tris-EDTA buffer (pH 9.0, epitope retrieval solution2) for 20 mins

Immunohistochemistry (Formalin/PFA-fixed paraffin-embedded sections) - Anti-TMS1/ASC antibody [EPR23978-28] - BSA and Azide free (AB283712)
  • IHC-P

Supplier Data

Immunohistochemistry (Formalin/PFA-fixed paraffin-embedded sections) - Anti-TMS1/ASC antibody [EPR23978-28] - BSA and Azide free (AB283712)

This data was developed using ab283684, the same antibody clone in a different buffer formulation.

Immunohistochemical analysis of paraffin-embedded Human tonsil tissue labelling TMS1/ASC with ab283684 at 1/2000 (0.247 ug/ml) dilution followed by a ready to use LeicaDS9800 (Bond™ Polymer Refine Detection). Positive staining on human tonsil. The section was incubated with ab283684 for 30 mins at room temperature. The immunostaining was performed on a Leica Biosystems BOND® RX instrument Counterstained with Hematoxylin.

Secondary antibody only control : Secondary antibody is a ready to use LeicaDS9800 (Bond™ Polymer Refine Detection).

Heat mediated antigen retrieval with Tris-EDTA buffer (pH 9.0, epitope retrieval solution2) for 20 mins

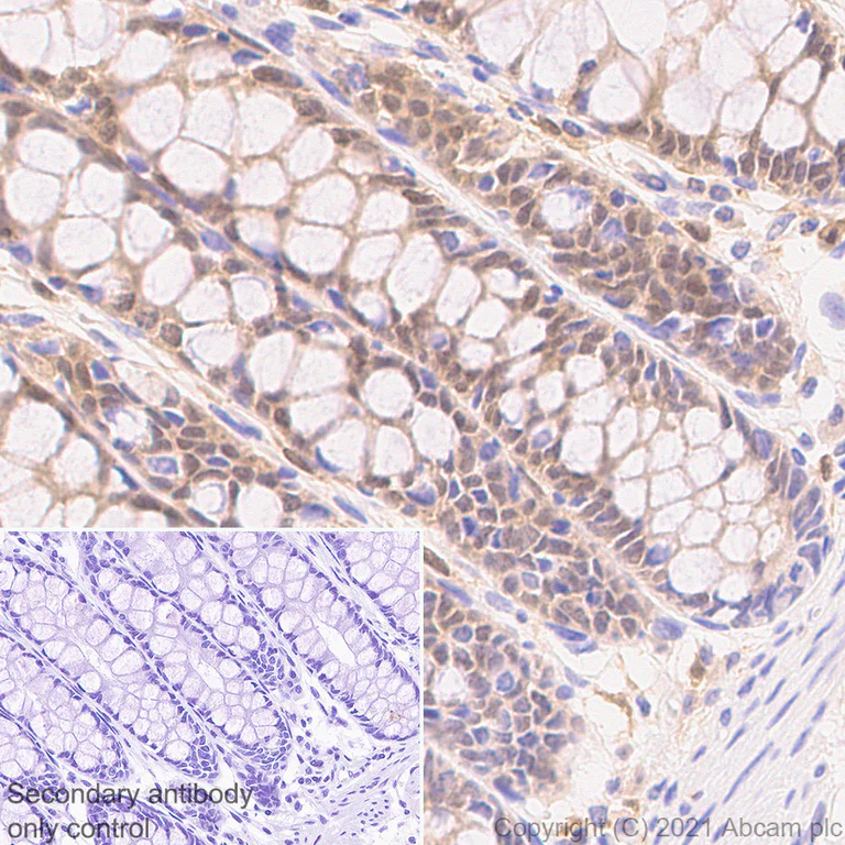
Immunohistochemistry (Formalin/PFA-fixed paraffin-embedded sections) - Anti-TMS1/ASC antibody [EPR23978-28] - BSA and Azide free (AB283712)
  • IHC-P

Supplier Data

Immunohistochemistry (Formalin/PFA-fixed paraffin-embedded sections) - Anti-TMS1/ASC antibody [EPR23978-28] - BSA and Azide free (AB283712)

This data was developed using ab283684, the same antibody clone in a different buffer formulation.

Immunohistochemical analysis of paraffin-embedded Human colon tissue labelling TMS1/ASC with ab283684 at 1/2000 (0.247 ug/ml) dilution followed by a ready to use LeicaDS9800 (Bond™ Polymer Refine Detection). Positive staining on human colon. The section was incubated with ab283684 for 30 mins at room temperature. The immunostaining was performed on a Leica Biosystems BOND® RX instrument Counterstained with Hematoxylin.

Secondary antibody only control : Secondary antibody is a ready to use LeicaDS9800 (Bond™ Polymer Refine Detection) was used.

Heat mediated antigen retrieval with Tris-EDTA buffer (pH 9.0, epitope retrieval solution2) for 20 mins

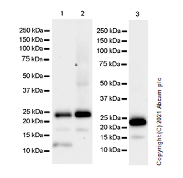
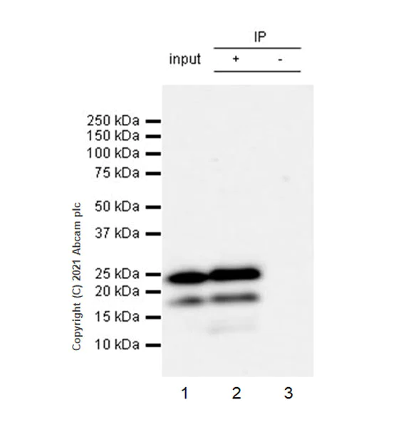
Immunoprecipitation - Anti-TMS1/ASC antibody [EPR23978-28] - BSA and Azide free (AB283712)
  • IP

Supplier Data

Immunoprecipitation - Anti-TMS1/ASC antibody [EPR23978-28] - BSA and Azide free (AB283712)

This data was developed using ab283684, the same antibody clone in a different buffer formulation.

TMS1/ASC was immunoprecipitated from 0.35 mg THP-1 (human monocytic leukemia monocyte) whole cell lysate 20 ug with ab283684 at 1/30 dilution (2ug in 0.35mg lysates). Western blot was performed on the immunoprecipitate using ab283684 at 1/1000 dilution. VeriBlot for IP secondary antibody(HRP)(ab131366) was used at 1/5000 dilution.

Lane 1 : THP-1 (human monocytic leukemia monocyte) whole cell lysate 20 ug

Lane 2 : ab283684 IP in THP-1 whole cell lysate

Lane 3 : Rabbit monoclonal IgG (ab172730) instead of ab283684 in THP-1 whole cell lysate

Blocking and dilution buffer and concentration : 5% NFDM/TBST.

Exposure time : 10 seconds

All lanes:

Immunoprecipitation - Anti-TMS1/ASC antibody [EPR23978-28] (<a href='/en-us/products/primary-antibodies/tms1-asc-antibody-epr23978-28-ab283684'>ab283684</a>)

Predicted band size: 22 kDa

Observed band size: 12 kDa,17 kDa,24 kDa

false

Western blot - Anti-TMS1/ASC antibody [EPR23978-28] - BSA and Azide free (AB283712)
  • WB

Lab

Western blot - Anti-TMS1/ASC antibody [EPR23978-28] - BSA and Azide free (AB283712)

This data was developed using ab283684, the same antibody clone in a different buffer formulation.

Western blot : Rabbit Monoclonal [EPR23978-28] to TMS1/ASC ab283684 staining at 1/1000 dilution, shown in green; Mouse anti alpha Tubulin (ab7291) loading control staining at 1/20,000 dilution, shown in magenta.

A band was observed at 22 kDa in Wild-type A549 cell lysates with no signal observed at this size in PYCARD knockout A549 cell line.

To generate this image, samples were run on an SDS-PAGE gel then transferred onto a nitrocellulose membrane. Membranes were blocked in 3pc Milk in TBS-0.1 % Tween® 20 (TBS-T) before incubation with primary antibodies overnight at 4 °C. Blots were washed four times in TBS-T, incubated with secondary antibodies for 1 h at room temperature, washed again four times then imaged.

Secondary antibodies used were Goat anti-Rabbit 800CW & Goat anti-Mouse 680RD at 1/20,000 dilution.

All lanes:

Western blot - Anti-TMS1/ASC antibody [EPR23978-28] (<a href='/en-us/products/primary-antibodies/tms1-asc-antibody-epr23978-28-ab283684'>ab283684</a>) at 1/1000 dilution

Lane 1:

Wild-type A549 at 20 µg

Lane 2:

PYCARD knockout A549 at 20 µg

Lane 3:

HT-29 at 20 µg

Lane 4:

HEK-293 at 20 µg

Secondary

All lanes:

Goat anti-Rabbit 800CW & Goat anti-Mouse 680RD at 1/20000 dilution

Predicted band size: 22 kDa

Observed band size: 22 kDa

false

Western blot - Anti-TMS1/ASC antibody [EPR23978-28] - BSA and Azide free (AB283712)
  • WB

Lab

Western blot - Anti-TMS1/ASC antibody [EPR23978-28] - BSA and Azide free (AB283712)

This data was developed using ab283684, the same antibody clone in a different buffer formulation.

Blocking and diluting buffer and concentration : 5% NFDM/TBST

ASC has four isoforms. 24-kDa ASC, 17-kDa ASC-b and 12-kDa ASC-C are observed. The molecular weight observed is consistent with what has been described in the literature (PMID : 20482797).

Exposure time : 81 seconds

All lanes:

Western blot - Anti-TMS1/ASC antibody [EPR23978-28] (<a href='/en-us/products/primary-antibodies/tms1-asc-antibody-epr23978-28-ab283684'>ab283684</a>) at 1/1000 dilution

Lane 1:

Human spleen tissue lysate at 20 µg

Lane 2:

Human colon tissue lysate at 20 µg

Lane 3:

Human tonsil tissue lysate at 20 µg

Secondary

All lanes:

Goat Anti-Rabbit IgG (HRP) with minimal cross-reactivity with human IgG at 1/2000 dilution

Predicted band size: 22 kDa

Observed band size: 12 kDa,17 kDa,24 kDa

false

Key facts

Host species

Rabbit

Clonality

Monoclonal

Clone number

EPR23978-28

Isotype

IgG

Carrier free

Yes

Reacts with

Human

Applications

WB, Flow Cyt (Intra), IP, IHC-P, ICC/IF

applications

Immunogen

The exact immunogen used to generate this antibody is proprietary information.

Reactivity data

{ "title": "Reactivity Data", "filters": { "stats": ["", "Species", "Dilution Info", "Notes"], "tabs": { "all-applications": {"fullname" : "All Applications", "shortname": "All Applications"}, "IP" : {"fullname" : "Immunoprecipitation", "shortname":"IP"}, "FlowCytIntra" : {"fullname" : "Flow Cytometry (Intracellular)", "shortname":"Flow Cyt (Intra)"}, "WB" : {"fullname" : "Western blot", "shortname":"WB"}, "IHCP" : {"fullname" : "Immunohistochemistry (Formalin/PFA-fixed paraffin-embedded sections)", "shortname":"IHC-P"}, "ICCIF" : {"fullname" : "Immunocytochemistry/ Immunofluorescence", "shortname":"ICC/IF"}, "IHCFr" : {"fullname" : "Immunohistochemistry (Frozen sections)", "shortname":"IHC-Fr"} }, "product-promise": { "all": "all", "testedAndGuaranteed": "tested", "guaranteed": "expected", "predicted": "predicted", "notRecommended": "not-recommended" } }, "values": { "Human": { "IP-species-checked": "testedAndGuaranteed", "IP-species-dilution-info": "", "IP-species-notes": "<p></p>", "FlowCytIntra-species-checked": "testedAndGuaranteed", "FlowCytIntra-species-dilution-info": "", "FlowCytIntra-species-notes": "<p></p>", "WB-species-checked": "testedAndGuaranteed", "WB-species-dilution-info": "", "WB-species-notes": "<p></p>", "IHCP-species-checked": "testedAndGuaranteed", "IHCP-species-dilution-info": "", "IHCP-species-notes": "<p></p>", "ICCIF-species-checked": "testedAndGuaranteed", "ICCIF-species-dilution-info": "", "ICCIF-species-notes": "<p></p>", "IHCFr-species-checked": "notRecommended", "IHCFr-species-dilution-info": "", "IHCFr-species-notes": "" }, "Mouse": { "IP-species-checked": "notRecommended", "IP-species-dilution-info": "", "IP-species-notes": "<p></p>", "FlowCytIntra-species-checked": "notRecommended", "FlowCytIntra-species-dilution-info": "", "FlowCytIntra-species-notes": "<p></p>", "WB-species-checked": "notRecommended", "WB-species-dilution-info": "", "WB-species-notes": "<p></p>", "IHCP-species-checked": "notRecommended", "IHCP-species-dilution-info": "", "IHCP-species-notes": "<p></p>", "ICCIF-species-checked": "notRecommended", "ICCIF-species-dilution-info": "", "ICCIF-species-notes": "<p></p>", "IHCFr-species-checked": "notRecommended", "IHCFr-species-dilution-info": "", "IHCFr-species-notes": "<p></p>" }, "Rat": { "IP-species-checked": "notRecommended", "IP-species-dilution-info": "", "IP-species-notes": "", "FlowCytIntra-species-checked": "notRecommended", "FlowCytIntra-species-dilution-info": "", "FlowCytIntra-species-notes": "", "WB-species-checked": "notRecommended", "WB-species-dilution-info": "", "WB-species-notes": "<p></p>", "IHCP-species-checked": "notRecommended", "IHCP-species-dilution-info": "", "IHCP-species-notes": "<p></p>", "ICCIF-species-checked": "notRecommended", "ICCIF-species-dilution-info": "", "ICCIF-species-notes": "", "IHCFr-species-checked": "notRecommended", "IHCFr-species-dilution-info": "", "IHCFr-species-notes": "" } } }

Product details

ab283712 is the carrier-free version of ab283684.

Patented technology
Our RabMAb® technology is a patented hybridoma-based technology for making rabbit monoclonal antibodies. For details on our patents, please refer to RabMAb® patents.

What are the advantages of a recombinant monoclonal antibody?
This product is a recombinant monoclonal antibody, which offers several advantages including:

  • - High batch-to-batch consistency and reproducibility
  • - Improved sensitivity and specificity
  • - Long-term security of supply
  • - Animal-free batch production

For more information, read more on recombinant antibodies.

Conjugation ready
Our carrier-free antibodies are typically supplied in a PBS-only formulation, purified and free of BSA, sodium azide and glycerol. This conjugation-ready format is designed for use with fluorochromes, metal isotopes, oligonucleotides, and enzymes, which makes them ideal for antibody labelling, functional and cell-based assays, flow-based assays (e.g. mass cytometry) and Multiplex Imaging applications.

Use our conjugation kits for antibody conjugates that are ready-to-use in as little as 20 minutes with 1 minute hands-on-time and 100% antibody recovery: available for fluorescent dyes, HRP, biotin and gold.

Compatibility
This product is compatible with the Maxpar® Antibody Labeling Kit from Fluidigm, without the need for antibody preparation. Maxpar® is a trademark of Fluidigm Canada Inc.

Properties and storage information

Form
Liquid
Purification technique
Affinity purification Protein A
Storage buffer
pH: 7.2 - 7.4 Constituents: PBS
Shipped at conditions
Blue Ice
Appropriate short-term storage conditions
+4°C
Appropriate long-term storage conditions
+4°C

Product protocols

For this product, it's our understanding that no specific protocols are required. You can visit:

Target data

Functions as a key mediator in apoptosis and inflammation (PubMed : 11103777, PubMed : 12646168, PubMed : 15030775, PubMed : 17349957, PubMed : 17599095, PubMed : 19158675, PubMed : 19158676, PubMed : 19234215, PubMed : 19494289, PubMed : 21487011, PubMed : 24630722, PubMed : 25847972, PubMed : 30674671, PubMed : 34678144, PubMed : 36050480). Promotes caspase-mediated apoptosis involving predominantly caspase-8 and also caspase-9 in a probable cell type-specific manner (PubMed : 11103777, PubMed : 12646168). Involved in activation of the mitochondrial apoptotic pathway, promotes caspase-8-dependent proteolytic maturation of BID independently of FADD in certain cell types and also mediates mitochondrial translocation of BAX and activates BAX-dependent apoptosis coupled to activation of caspase-9, -2 and -3 (PubMed : 14730312, PubMed : 16964285). Involved in innate immune response by acting as an integral adapter in the assembly of various inflammasomes (NLRP1, NLRP2, NLRP3, NLRP6, AIM2 and probably IFI16) which recruit and activate caspase-1 leading to processing and secretion of pro-inflammatory cytokines (PubMed : 15030775, PubMed : 16982856, PubMed : 17349957, PubMed : 17599095, PubMed : 19158675, PubMed : 19158676, PubMed : 19234215, PubMed : 21487011, PubMed : 23530044, PubMed : 24630722, PubMed : 25847972, PubMed : 29440442, PubMed : 30674671, PubMed : 33980849, PubMed : 34678144, PubMed : 34706239). Caspase-1-dependent inflammation leads to macrophage pyroptosis, a form of cell death (PubMed : 24630722). The function as activating adapter in different types of inflammasomes is mediated by the pyrin and CARD domains and their homotypic interactions (PubMed : 14499617, PubMed : 19234215, PubMed : 24630722). Clustered PYCARD nucleates the formation of caspase-1 filaments through the interaction of their respective CARD domains, acting as a platform for of caspase-1 polymerization (PubMed : 24630722). In the NLRP1 and NLRC4 inflammasomes seems not be required but facilitates the processing of procaspase-1 (PubMed : 17349957). In cooperation with NOD2 involved in an inflammasome activated by bacterial muramyl dipeptide leading to caspase-1 activation (PubMed : 16964285). May be involved in RIGI-triggered pro-inflammatory responses and inflammasome activation (PubMed : 19915568). In collaboration with AIM2 which detects cytosolic double-stranded DNA may also be involved in a caspase-1-independent cell death that involves caspase-8 (PubMed : 19158675, PubMed : 19158676). In adaptive immunity may be involved in maturation of dendritic cells to stimulate T-cell immunity and in cytoskeletal rearrangements coupled to chemotaxis and antigen uptake may be involved in post-transcriptional regulation of the guanine nucleotide exchange factor DOCK2; the latter function is proposed to involve the nuclear form (PubMed : 22732093). Also involved in transcriptional activation of cytokines and chemokines independent of the inflammasome; this function may involve AP-1, NF-kappa-B, MAPK and caspase-8 signaling pathways (PubMed : 12486103, PubMed : 16585594). For regulation of NF-kappa-B activating and inhibiting functions have been reported (PubMed : 12486103). Modulates NF-kappa-B induction at the level of the IKK complex by inhibiting kinase activity of CHUK and IKBK (PubMed : 12486103, PubMed : 16585594). Proposed to compete with RIPK2 for association with CASP1 thereby down-regulating CASP1-mediated RIPK2-dependent NF-kappa-B activation and activating interleukin-1 beta processing (PubMed : 16585594). Modulates host resistance to DNA virus infection, probably by inducing the cleavage of and inactivating CGAS in presence of cytoplasmic double-stranded DNA (PubMed : 28314590).. Isoform 2. May have a regulating effect on the function as inflammasome adapter.. Isoform 3. Seems to inhibit inflammasome-mediated maturation of interleukin-1 beta.
See full target information PYCARD

Product promise

We are committed to supporting your work with high-quality reagents, and we're here for you every step of the way. In the unlikely event that one of our products does not perform as expected, you're protected by our Product Promise.
For full details, please see our Terms & Conditions

Please note: All products are 'FOR RESEARCH USE ONLY. NOT FOR USE IN DIAGNOSTIC OR THERAPEUTIC PROCEDURES'.

For licensing inquiries, please contact partnerships@abcam.com