JavaScript is disabled in your browser. Please enable JavaScript to view this website.
AB307560

Anti-TMS1/ASC antibody [EPR28201-61]

  • BOND RX™ Validated
  • 20ul selling size
  • RabMAb
  • Recombinant
  • What is this?

Be the first to review this product! Submit a review

|

(14 Publications)

Rabbit Recombinant Monoclonal TMS1/ASC antibody. Suitable for IP, Flow Cyt (Intra), ICC/IF, IHC-P, WB and reacts with Mouse, Rat samples. Cited in 14 publications.

View Alternative Names

Asc, Pycard, Apoptosis-associated speck-like protein containing a CARD, mASC, PYD and CARD domain-containing protein

12 Images
Immunocytochemistry/ Immunofluorescence - Anti-TMS1/ASC antibody [EPR28201-61] (AB307560)
  • ICC/IF

Supplier Data

Immunocytochemistry/ Immunofluorescence - Anti-TMS1/ASC antibody [EPR28201-61] (AB307560)

Immunofluorescent analysis of 4% Paraformaldehyde-fixed, 0.1% TritonX-100 permeABilized J774A.1 (mouse reticulum cell sarcoma monocyte/macrophage) cells lABelling TMS1/ASC with ab307560 at 1/500 (0.968 ug/ml) dilution, followed by ab150081 Goat Anti-RABbit IgG H&L (Alexa Fluor? 488) preadsorbed antibody at 1/1000 2 ug/ml dilution (Green). Confocal image showing nuclear and cytoplasmic staining in J774A.1 cell line. Negative control : RAW 264.7 (PMID : 28766178Ј©Image was taken with a confocal microscope(Leica-Microsystems, TCS SP8). is observed. ab195889 Anti-alpha Tubulin mouse monoclonal antibody - Microtubule Marker (Alexa Fluor? 594) was used to counterstain tubulin at 1/200 2.5ug/ml dilution (Red). The Nuclear counterstain was DAPI (Blue). Secondary antibody only control : Secondary antibody is ab150081 Goat Anti-RABbit IgG H&L (Alexa Fluor? 488) preadsorbed at 1/1000 2 ug/ml dilution.

Flow Cytometry (Intracellular) - Anti-TMS1/ASC antibody [EPR28201-61] (AB307560)
  • Flow Cyt (Intra)

Supplier Data

Flow Cytometry (Intracellular) - Anti-TMS1/ASC antibody [EPR28201-61] (AB307560)

Flow cytometric analysis of 4% paraformaldehyde fixed 90% methanol permeabilized RAW264.7 (mouse abelson murine leukemia virus-induced tumor macrophage, Left) / J774A.1 (mouse reticulum cell sarcoma monocyte macrophage, Right) cells labelling TMS1/ASC with ab307560 at 1/500 dilution (0.1ug) (Red) compared with a Rabbit monoclonal IgG (ab172730) (Black) isotype control and an unlabelled control (cells without incubation with primary antibody and secondary antibody) (Blue). A Goat Anti-Rabbit IgG (Alexa Fluor® 488, ab150081) at 1/2000 dilution was used as the secondary antibody. Negative control : RAW 264.7 (PMID : 28766178).

Immunohistochemistry (Formalin/PFA-fixed paraffin-embedded sections) - Anti-TMS1/ASC antibody [EPR28201-61] (AB307560)
  • IHC-P

Supplier Data

Immunohistochemistry (Formalin/PFA-fixed paraffin-embedded sections) - Anti-TMS1/ASC antibody [EPR28201-61] (AB307560)

Immunohistochemical analysis of paraffin-embedded Rat skeletal muscle tissue lABeling TMS1/ASC with ab307560 at 1/1000 (0.484 ug/ml) followed by a ready to use LeicaDS9800 (Bond? Polymer Refine Detection) was used. Low expression tissue : no staining on rat skeletal muscle.The section was incubated with ab307560 for 30 mins at room temperature.The immunostaining was performed on a Leica Biosystems BOND? RX instrument Counterstained with Hematoxylin. Secondary antibody only control : Secondary antibody is a ready to use LeicaDS9800 (Bond? Polymer Refine Detection) was used. Heat mediated antigen retrieval was performed with Tris-EDTA buffer (pH 9.0, Epitope Retrieval Solution2) for 20 mins

Immunohistochemistry (Formalin/PFA-fixed paraffin-embedded sections) - Anti-TMS1/ASC antibody [EPR28201-61] (AB307560)
  • IHC-P

Supplier Data

Immunohistochemistry (Formalin/PFA-fixed paraffin-embedded sections) - Anti-TMS1/ASC antibody [EPR28201-61] (AB307560)

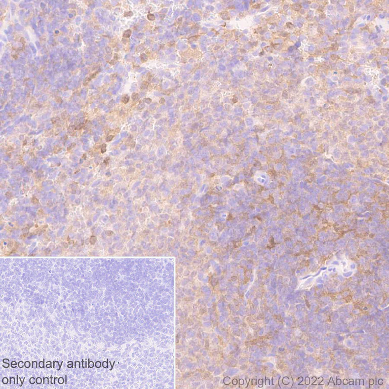
Immunohistochemical analysis of paraffin-embedded Mouse spleen tissue lABeling TMS1/ASC with ab307560 at 1/1000 (0.484 ug/ml) followed by a ready to use LeicaDS9800 (Bond? Polymer Refine Detection) was used. Positive staining on mouse spleen.The section was incubated with ab307560 for 30 mins at room temperature.The immunostaining was performed on a Leica Biosystems BOND? RX instrument Counterstained with Hematoxylin. Secondary antibody only control : Secondary antibody is a ready to use LeicaDS9800 (Bond? Polymer Refine Detection) was used. Heat mediated antigen retrieval was performed with Tris-EDTA buffer (pH 9.0, Epitope Retrieval Solution2) for 20 mins

Immunohistochemistry (Formalin/PFA-fixed paraffin-embedded sections) - Anti-TMS1/ASC antibody [EPR28201-61] (AB307560)
  • IHC-P

Supplier Data

Immunohistochemistry (Formalin/PFA-fixed paraffin-embedded sections) - Anti-TMS1/ASC antibody [EPR28201-61] (AB307560)

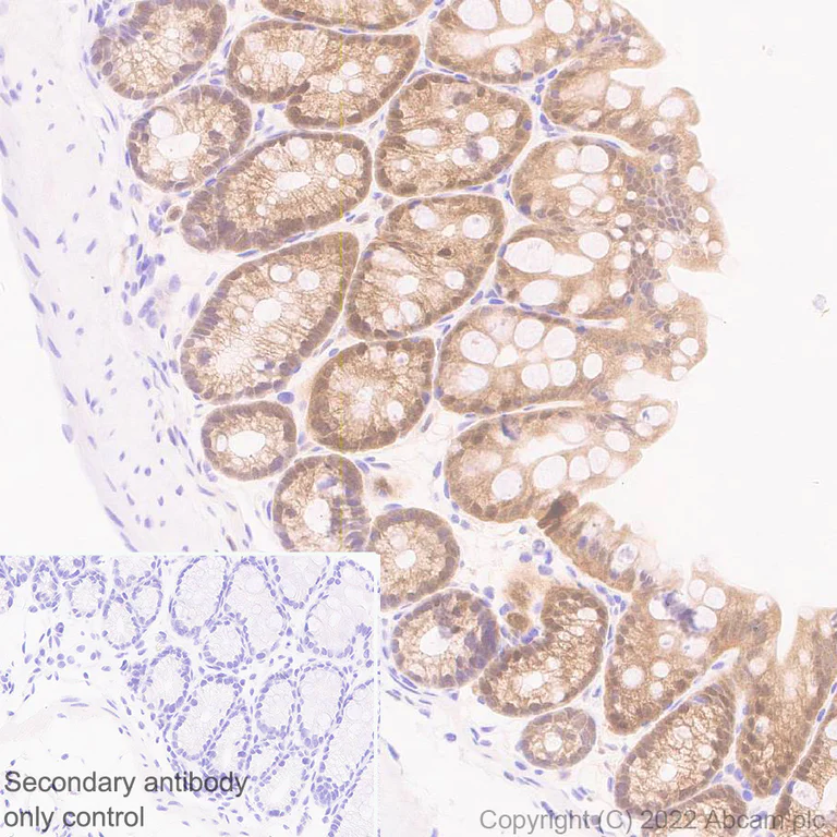
Immunohistochemical analysis of paraffin-embedded Mouse colon tissue lABeling TMS1/ASC with ab307560 at 1/1000 (0.484 ug/ml) followed by a ready to use LeicaDS9800 (Bond? Polymer Refine Detection) was used. Positive staining on mouse colon.The section was incubated with ab307560 for 30 mins at room temperature.The immunostaining was performed on a Leica Biosystems BOND? RX instrument Counterstained with Hematoxylin. Secondary antibody only control : Secondary antibody is a ready to use LeicaDS9800 (Bond? Polymer Refine Detection) was used. Heat mediated antigen retrieval was performed with Tris-EDTA buffer (pH 9.0, Epitope Retrieval Solution2) for 20 mins

Immunohistochemistry (Formalin/PFA-fixed paraffin-embedded sections) - Anti-TMS1/ASC antibody [EPR28201-61] (AB307560)
  • IHC-P

Supplier Data

Immunohistochemistry (Formalin/PFA-fixed paraffin-embedded sections) - Anti-TMS1/ASC antibody [EPR28201-61] (AB307560)

Immunohistochemical analysis of paraffin-embedded Rat spleen tissue lABeling TMS1/ASC with ab307560 at 1/1000 (0.484 ug/ml) followed by a ready to use LeicaDS9800 (Bond? Polymer Refine Detection) was used. Positive staining on rat spleen.The section was incubated with ab307560 for 30 mins at room temperature.The immunostaining was performed on a Leica Biosystems BOND? RX instrument Counterstained with Hematoxylin. Secondary antibody only control : Secondary antibody is a ready to use LeicaDS9800 (Bond? Polymer Refine Detection) was used. Heat mediated antigen retrieval was performed with Tris-EDTA buffer (pH 9.0, Epitope Retrieval Solution2) for 20 mins

Immunohistochemistry (Formalin/PFA-fixed paraffin-embedded sections) - Anti-TMS1/ASC antibody [EPR28201-61] (AB307560)
  • IHC-P

Supplier Data

Immunohistochemistry (Formalin/PFA-fixed paraffin-embedded sections) - Anti-TMS1/ASC antibody [EPR28201-61] (AB307560)

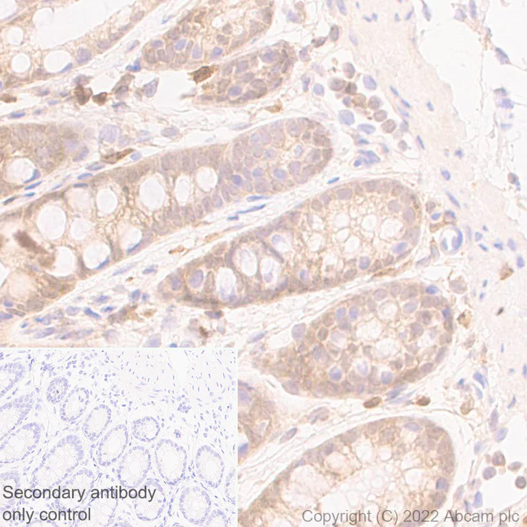
Immunohistochemical analysis of paraffin-embedded Rat colon tissue lABeling TMS1/ASC with ab307560 at 1/1000 (0.484 ug/ml) followed by a ready to use LeicaDS9800 (Bond? Polymer Refine Detection) was used. Positive staining on rat colon.The section was incubated with ab307560 for 30 mins at room temperature.The immunostaining was performed on a Leica Biosystems BOND? RX instrument Counterstained with Hematoxylin. Secondary antibody only control : Secondary antibody is a ready to use LeicaDS9800 (Bond? Polymer Refine Detection) was used. Heat mediated antigen retrieval was performed with Tris-EDTA buffer (pH 9.0, Epitope Retrieval Solution2) for 20 mins

Immunohistochemistry (Formalin/PFA-fixed paraffin-embedded sections) - Anti-TMS1/ASC antibody [EPR28201-61] (AB307560)
  • IHC-P

Supplier Data

Immunohistochemistry (Formalin/PFA-fixed paraffin-embedded sections) - Anti-TMS1/ASC antibody [EPR28201-61] (AB307560)

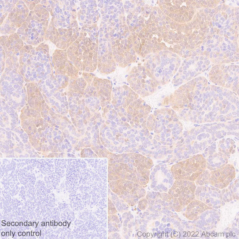
Immunohistochemical analysis of paraffin-embedded Mouse head and neck tissue lABeling TMS1/ASC with ab307560 at 1/1000 (0.484 ug/ml) followed by a ready to use LeicaDS9800 (Bond? Polymer Refine Detection) was used. Positive staining on mouse head and neck squamous cell carcinoma.The section was incubated with ab307560 for 30 mins at room temperature.The immunostaining was performed on a Leica Biosystems BOND? RX instrument Counterstained with Hematoxylin. Secondary antibody only control : Secondary antibody is a ready to use LeicaDS9800 (Bond? Polymer Refine Detection) was used. Heat mediated antigen retrieval was performed with Tris-EDTA buffer (pH 9.0, Epitope Retrieval Solution2) for 20 mins

Immunohistochemistry (Formalin/PFA-fixed paraffin-embedded sections) - Anti-TMS1/ASC antibody [EPR28201-61] (AB307560)
  • IHC-P

Supplier Data

Immunohistochemistry (Formalin/PFA-fixed paraffin-embedded sections) - Anti-TMS1/ASC antibody [EPR28201-61] (AB307560)

Immunohistochemical analysis of paraffin-embedded Mouse skeletal muscl tissue lABeling TMS1/ASC with ab307560 at 1/1000 (0.484 ug/ml) followed by a ready to use LeicaDS9800 (Bond? Polymer Refine Detection) was used. Low expression tissue : no staining on mouse skeletal muscle.The section was incubated with ab307560 for 30 mins at room temperature.The immunostaining was performed on a Leica Biosystems BOND? RX instrument Counterstained with Hematoxylin. Secondary antibody only control : Secondary antibody is a ready to use LeicaDS9800 (Bond? Polymer Refine Detection) was used. Heat mediated antigen retrieval was performed with Tris-EDTA buffer (pH 9.0, Epitope Retrieval Solution2) for 20 mins

Immunohistochemistry (Formalin/PFA-fixed paraffin-embedded sections) - Anti-TMS1/ASC antibody [EPR28201-61] (AB307560)
  • IHC-P

Supplier Data

Immunohistochemistry (Formalin/PFA-fixed paraffin-embedded sections) - Anti-TMS1/ASC antibody [EPR28201-61] (AB307560)

Immunohistochemical analysis of paraffin-embedded (A) J774A.1 (mouse r tissue lABeling TMS1/ASC with ab307560 at 1/1000 (0.484 ug/ml) followed by a ready to use LeicaDS9800 (Bond? Polymer Refine Detection) was used. Positive staining on (A) J774A.1 (mouse reticulum cell sarcoma monocyte/macrophage) cell pellet, no staining on (B) RAW 264.7 (Mouse ABelson murine leukemia virus-induced tumor macrophage) cell pellet.The section was incubated with ab307560 for 30 mins at room temperature.The immunostaining was performed on a Leica Biosystems BOND? RX instrument Counterstained with Hematoxylin. Secondary antibody only control : Secondary antibody is a ready to use LeicaDS9800 (Bond? Polymer Refine Detection) was used. Heat mediated antigen retrieval was performed with Tris-EDTA buffer (pH 9.0, Epitope Retrieval Solution2) for 20 mins

Immunoprecipitation - Anti-TMS1/ASC antibody [EPR28201-61] (AB307560)
  • IP

Supplier Data

Immunoprecipitation - Anti-TMS1/ASC antibody [EPR28201-61] (AB307560)

TMS1/ASC was immunoprecipitated from 0.35 mg J774A.1 (mouse reticulum cell sarcoma monocyte/macrophage ) whole cell lysate 10 ug with ab307560 at 1/30 dilution (2ug in 0.35mg lysates). Western blot was performed on the immunoprecipitate using ab307560 at 1/1000 dilution. VeriBlot for IP secondary antibody (HRP) (ab131366) was used at 1/5000 dilution.

Lane 1 : J774A.1 (mouse reticulum cell sarcoma monocyte/macrophage ) whole cell lysate 10 ug
Lane 2 : ab307560 IP in J774A.1 whole cell lysate
Lane 3 : Rabbit monoclonal IgG (ab172730) instead of ab307560 in J774A.1 whole cell lysate

Blocking and dilution buffer and concentration : 5% NFDM/TBST.

Exposure time : 50 seconds

All lanes:

Immunoprecipitation - Anti-TMS1/ASC antibody [EPR28201-61] (ab307560) at 1/1000 dilution

Lane 1:

J774A.1 (mouse reticulum cell sarcoma monocyte/macrophage ) whole cell lysate 10 μg

Lane 2:

J774A.1 whole cell lysate

Secondary

All lanes:

Immunoprecipitation - VeriBlot for IP Detection Reagent (HRP) (<a href='/en-us/products/reagents/veriblot-for-ip-detection-reagent-hrp-ab131366'>ab131366</a>) at 1/5000 dilution

Observed band size: 21 kDa

false

Exposure time: 50s

Western blot - Anti-TMS1/ASC antibody [EPR28201-61] (AB307560)
  • WB

Supplier Data

Western blot - Anti-TMS1/ASC antibody [EPR28201-61] (AB307560)

Blocking and diluting buffer and concentration : 5% NFDM/TBSTNegative control : RAW 264.7 (PMID : 28766178); Low expression tissue : skeletal muscle (PMID : 32659370). Exposure time : Lanes 1-6 : 15 seconds; Lane 7 : 125 seconds.

All lanes:

Western blot - Anti-TMS1/ASC antibody [EPR28201-61] (ab307560) at 1/1000 dilution

Lane 1:

J774A.1 (mouse reticum cell sarcoma monocyte/macrophage ) whole cell lysate 20 μg

Lane 2:

RAW 264.7 (mouse elson murine leukemia virus-induced tumor macrophage) whole cell lysate 20 μg

Lane 3:

Mouse spleen tissue lysate 20 μg

Lane 4:

Mouse colon tissue lysate 20 μg

Lane 5:

Mouse skeletal muscle tissue lysate 20 μg

Lane 6:

Rat spleen tissue lysate 20 μg

Lane 7:

Rat colon tissue lysate 20 μg

Secondary

All lanes:

Western blot - Goat Anti-Rabbit IgG H&L (HRP) (<a href='/en-us/products/secondary-antibodies/goat-rabbit-igg-h-l-hrp-ab97051'>ab97051</a>) at 1/20000 dilution

Observed band size: 21 kDa

false

Exposure time: 15s

Key facts

Host species

Rabbit

Clonality

Monoclonal

Clone number

EPR28201-61

Isotype

IgG

Carrier free

No

Reacts with

Mouse, Rat

Applications

IHC-P, Flow Cyt (Intra), IP, WB, ICC/IF

applications

Immunogen

The exact immunogen used to generate this antibody is proprietary information.

Reactivity data

{ "title": "Reactivity Data", "filters": { "stats": ["", "Species", "Dilution Info", "Notes"], "tabs": { "all-applications": {"fullname" : "All Applications", "shortname": "All Applications"}, "IP" : {"fullname" : "Immunoprecipitation", "shortname":"IP"}, "FlowCytIntra" : {"fullname" : "Flow Cytometry (Intracellular)", "shortname":"Flow Cyt (Intra)"}, "ICCIF" : {"fullname" : "Immunocytochemistry/ Immunofluorescence", "shortname":"ICC/IF"}, "IHCP" : {"fullname" : "Immunohistochemistry (Formalin/PFA-fixed paraffin-embedded sections)", "shortname":"IHC-P"}, "WB" : {"fullname" : "Western blot", "shortname":"WB"} }, "product-promise": { "all": "all", "testedAndGuaranteed": "tested", "guaranteed": "expected", "predicted": "predicted", "notRecommended": "not-recommended" } }, "values": { "Human": { "IP-species-checked": "notRecommended", "IP-species-dilution-info": "", "IP-species-notes": "", "FlowCytIntra-species-checked": "notRecommended", "FlowCytIntra-species-dilution-info": "", "FlowCytIntra-species-notes": "", "ICCIF-species-checked": "notRecommended", "ICCIF-species-dilution-info": "", "ICCIF-species-notes": "", "IHCP-species-checked": "notRecommended", "IHCP-species-dilution-info": "1/1000", "IHCP-species-notes": "<p></p> Perform heat-mediated antigen retrieval with Tris/EDTA buffer pH 9.0 before commencing with IHC staining protocol.", "WB-species-checked": "notRecommended", "WB-species-dilution-info": "1/1000", "WB-species-notes": "<p></p>" }, "Mouse": { "IP-species-checked": "testedAndGuaranteed", "IP-species-dilution-info": "1/30", "IP-species-notes": "<p></p>", "FlowCytIntra-species-checked": "testedAndGuaranteed", "FlowCytIntra-species-dilution-info": "1/500", "FlowCytIntra-species-notes": "<p></p>", "ICCIF-species-checked": "testedAndGuaranteed", "ICCIF-species-dilution-info": "1/500", "ICCIF-species-notes": "<p></p>", "IHCP-species-checked": "testedAndGuaranteed", "IHCP-species-dilution-info": "1/1000", "IHCP-species-notes": "<p></p> Perform heat-mediated antigen retrieval with Tris/EDTA buffer pH 9.0 before commencing with IHC staining protocol.", "WB-species-checked": "testedAndGuaranteed", "WB-species-dilution-info": "1/1000", "WB-species-notes": "<p></p>" }, "Rat": { "IP-species-checked": "guaranteed", "IP-species-dilution-info": "", "IP-species-notes": "", "FlowCytIntra-species-checked": "notRecommended", "FlowCytIntra-species-dilution-info": "1/500", "FlowCytIntra-species-notes": "<p></p>", "ICCIF-species-checked": "notRecommended", "ICCIF-species-dilution-info": "1/500", "ICCIF-species-notes": "<p></p>", "IHCP-species-checked": "testedAndGuaranteed", "IHCP-species-dilution-info": "1/1000", "IHCP-species-notes": "<p></p> Perform heat-mediated antigen retrieval with Tris/EDTA buffer pH 9.0 before commencing with IHC staining protocol.", "WB-species-checked": "testedAndGuaranteed", "WB-species-dilution-info": "1/1000", "WB-species-notes": "<p></p>" } } }

Product details

Patented technology
Our RabMAb® technology is a patented hybridoma-based technology for making rabbit monoclonal antibodies. For details on our patents, please refer to RabMAb® patents.

What are the advantages of a recombinant monoclonal antibody?
This product is a recombinant monoclonal antibody, which offers several advantages including:

  • - High batch-to-batch consistency and reproducibility
  • - Improved sensitivity and specificity
  • - Long-term security of supply
  • - Animal-free batch production

For more information, read more on recombinant antibodies.

Properties and storage information

Form
Liquid
Purification technique
Affinity purification Protein A
Storage buffer
pH: 7.2 - 7.4 Preservative: 0.01% Sodium azide Constituents: PBS, 40% Glycerol (glycerin, glycerine), 0.05% BSA
Shipped at conditions
Blue Ice
Appropriate short-term storage duration
1-2 weeks
Appropriate short-term storage conditions
+4°C
Appropriate long-term storage conditions
-20°C
Aliquoting information
Upon delivery aliquot
Storage information
Avoid freeze / thaw cycle

Product protocols

For this product, it's our understanding that no specific protocols are required. You can visit:

Target data

Functions as a key mediator in apoptosis and inflammation (PubMed : 32424362, PubMed : 34678144). Promotes caspase-mediated apoptosis involving predominantly caspase-8 and also caspase-9 in a probable cell type-specific manner (By similarity). Involved in activation of the mitochondrial apoptotic pathway, promotes caspase-8-dependent proteolytic maturation of BID independently of FADD in certain cell types and also mediates mitochondrial translocation of BAX and activates BAX-dependent apoptosis coupled to activation of caspase-9, -2 and -3 (By similarity). Involved in innate immune response by acting as an integral adapter in the assembly of various inflammasomes (NLRP2, NLRP3, NLRP6 and AIM2) which recruit and activate caspase-1 leading to processing and secretion of pro-inflammatory cytokines (PubMed : 15190255, PubMed : 15507117, PubMed : 21892172, PubMed : 22555457, PubMed : 32424362, PubMed : 34678144). Caspase-1-dependent inflammation leads to macrophage pyroptosis, a form of cell death (By similarity). The function as activating adapter in different types of inflammasomes is mediated by the pyrin and CARD domains and their homotypic interactions (By similarity). Clustered PYCARD nucleates the formation of caspase-1 filaments through the interaction of their respective CARD domains, acting as a platform for of caspase-1 polymerization (By similarity). In the NLRC4 inflammasomes seems not be required but facilitates the processing of procaspase-1 (By similarity). In cooperation with NOD2 involved in an inflammasome activated by bacterial muramyl dipeptide leading to caspase-1 activation (By similarity). May be involved in RIGI-triggered pro-inflammatory responses and inflammasome activation (By similarity). In collaboration with AIM2 which detects cytosolic double-stranded DNA may also be involved in a caspase-1-independent cell death that involves caspase-8 (PubMed : 22555457). In adaptive immunity may be involved in maturation of dendritic cells to stimulate T-cell immunity and in cytoskeletal rearrangements coupled to chemotaxis and antigen uptake may be involved in post-transcriptional regulation of the guanine nucleotide exchange factor DOCK2; the latter function is proposed to involve the nuclear form (By similarity). Also involved in transcriptional activation of cytokines and chemokines independent of the inflammasome; this function may involve AP-1, NF-kappa-B, MAPK and caspase-8 signaling pathways (By similarity). For regulation of NF-kappa-B activating and inhibiting functions have been reported (By similarity). Modulates NF-kappa-B induction at the level of the IKK complex by inhibiting kinase activity of CHUK and IKBK (By similarity). Proposed to compete with RIPK2 for association with CASP1 thereby down-regulating CASP1-mediated RIPK2-dependent NF-kappa-B activation and activating interleukin-1 beta processing (By similarity). Modulates host resistance to DNA virus infection, probably by inducing the cleavage of and inactivating CGAS in presence of cytoplasmic double-stranded DNA (PubMed : 28314590).
See full target information Pycard

Publications (14)

Recent publications for all applications. Explore the full list and refine your search

Scientific reports 15:28552 PubMed40764617

2025

Temporal changes of hepatic drug-metabolizing enzymes mediated by hepatic ischemia-reperfusion injury and the protective effect of Oridonin.

Applications

Unspecified application

Species

Unspecified reactive species

Tanwei Gu,Fahong Dai,Meiqun Cai,Xi Zhang,Danni Xie,Huanguo Jiang,Lingmin Tian,Liyan Yan,Wenxun Lan,Haitao Lv,Lan Tang,Hong Li,Zhaoguo Liu

Advanced science (Weinheim, Baden-Wurttemberg, Germany) 12:e2412667 PubMed39854137

2025

3-HKA Promotes Vascular Remodeling After Stroke by Modulating the Activation of A1/A2 Reactive Astrocytes.

Applications

Unspecified application

Species

Unspecified reactive species

Jun-Min Chen,Guang Shi,Lu-Lu Yu,Wei Shan,Jing-Yu Sun,An-Chen Guo,Jian-Ping Wu,Tie-Shan Tang,Xiang-Jian Zhang,Qun Wang

The FEBS journal 292:1972-1990 PubMed39827378

2025

TNFAIP3-interacting protein 1 (ABIN-1) negatively regulates caspase-8/FADD-dependent pyroptosis.

Applications

Unspecified application

Species

Unspecified reactive species

Xueyi Li,Daoyong Wang,Zhenyi Su,Xiaohua Mao

Journal of inflammation research 17:9103-9117 PubMed39583857

2024

Comparison of the Cecum Ligation and Puncture Method and the Intraperitoneal Lipopolysaccharide Injection Method for the Construction of a New-Onset Atrial Fibrillation Model of Sepsis.

Applications

Unspecified application

Species

Unspecified reactive species

Xiuwen Ling,Jun Shen,Junqing Liang,Kai Yang,Jianzhong Yang

BMC nephrology 25:345 PubMed39390397

2024

FTO mediates the diabetic kidney disease progression through regulating the mA modification of NLRP3.

Applications

Unspecified application

Species

Unspecified reactive species

Qiang Li,Shujuan Mu

Scientific reports 14:16457 PubMed39014129

2024

Neutrophil extracellular traps promote erectile dysfunction in rats with diabetes mellitus by enhancing NLRP3-mediated pyroptosis.

Applications

Unspecified application

Species

Unspecified reactive species

Ying Xu,Yan Ren,Wenli Zou,Shuiyu Ji,Wei Shen

Epigenetics 19:2380145 PubMed39018487

2024

Circ-0006332 stimulates cardiomyocyte pyroptosis via the miR-143/TLR2 axis to promote doxorubicin-induced cardiac damage.

Applications

Unspecified application

Species

Unspecified reactive species

Ping Zhang,Yuanyuan Liu,Yuliang Zhan,Pengtao Zou,Xinyong Cai,Yanmei Chen,Liang Shao

Toxics 12: PubMed38922058

2024

The Protective Effects of Active Peptide GLP4 on Lung Injury Induced by Cadmium Poisoning in Mice.

Applications

Unspecified application

Species

Unspecified reactive species

Shirong Zhu,Xiaoling Wang,Gaoqiang Liu

Molecular medicine reports 30: PubMed38785157

2024

Tributyltin chloride induces chondrocyte damage through the activation of NLRP3‑mediated inflammation and pyroptosis.

Applications

Unspecified application

Species

Unspecified reactive species

Silong Xia,Rong Ma

Clinical, cosmetic and investigational dermatology 17:1093-1105 PubMed38765196

2024

Effect of Chloroquine on Type 2 Inflammatory Response in MC903-Induced Atopic Dermatitis Mice.

Applications

Unspecified application

Species

Unspecified reactive species

Mingjing Wei,Huixue Yang,Zhengchao Shao,Haoyue Wan,Yiheng Wang,Wenqi Chen
View all publications

Product promise

We are committed to supporting your work with high-quality reagents, and we're here for you every step of the way. In the unlikely event that one of our products does not perform as expected, you're protected by our Product Promise.
For full details, please see our Terms & Conditions

Please note: All products are 'FOR RESEARCH USE ONLY. NOT FOR USE IN DIAGNOSTIC OR THERAPEUTIC PROCEDURES'.

For licensing inquiries, please contact partnerships@abcam.com