JavaScript is disabled in your browser. Please enable JavaScript to view this website.
AB225576

Anti-TNF alpha antibody [EPR20972] - BSA and Azide free

Be the first to review this product! Submit a review

|

(4 Publications)

Rabbit Recombinant Monoclonal TNF alpha antibody. Carrier free. Suitable for IP, WB, ICC/IF, Flow Cyt (Intra), IHC-P and reacts with Mouse, Human, Rat samples. Cited in 4 publications.

View Alternative Names

TNFA, TNFSF2, TNF, Tumor necrosis factor, Cachectin, TNF-alpha, Tumor necrosis factor ligand superfamily member 2, TNF-a

8 Images
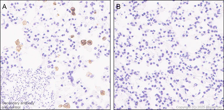
Immunohistochemistry (Formalin/PFA-fixed paraffin-embedded sections) - Anti-TNF alpha antibody [EPR20972] - BSA and Azide free (AB225576)
  • IHC-P

Lab

Immunohistochemistry (Formalin/PFA-fixed paraffin-embedded sections) - Anti-TNF alpha antibody [EPR20972] - BSA and Azide free (AB225576)

This data was developed using ab215188, the same antibody clone in a different buffer formulation.

Immunohistochemical analysis of formalin fixed paraffin embedded mouse lung labelling TNF alpha with ab215188 at a concentration of 1/1000 dilution. The immunostaining was performed on a Leica Biosystems BOND® RX instrument. Heat mediated antigen retrieval was performed with Tris-EDTA buffer (pH 9.0, Epitope Retrieval Solution2) for 20 mins. The primary antibody Anti-TNF alpha antibody [EPR20972] was incubated for 30 mins at room temperature. Sections were counterstained with Hematoxylin. Positive staining on mouse lung treated with LPS (1ug/ml for 16 hours) and BFA (1ug/ml for 16h hours) (Image A) and no staining on wild type mouse lung (Image B).

Immunocytochemistry/ Immunofluorescence - Anti-TNF alpha antibody [EPR20972] - BSA and Azide free (AB225576)
  • ICC/IF

Supplier Data

Immunocytochemistry/ Immunofluorescence - Anti-TNF alpha antibody [EPR20972] - BSA and Azide free (AB225576)

Immunofluorescent analysis of 4% paraformaldehyde-fixed, 0.1% Triton X-100 permeabilized RAW 264.7 (mouse macrophage cell line transformed with Abelson murine leukemia virus) cells, untreated or treated with 100 ng/ml lipopolysaccharides (LPS) for 7 hours with addition of 1 μg/ml brefeldin A (BFA) for the last 3 hours. labeling TNF alpha with ab215188 at 1/100 dilution followed by Goat Anti-Rabbit IgG H&L (Alexa Fluor® 488) (ab150077) secondary antibody at 1/1000 dilution (green). Cytoplasmic staining was increased on RAW 264.7 cells when treated with 100 ng/ml lipopolysaccharides (LPS) for 7 hours with addition of 1 μg/ml brefeldin A (BFA) for the last 3 hours.

The nuclear counter stain is DAPI (blue). Tubulin is detected with Anti-alpha Tubulin antibody [DM1A] - Microtubule Marker (Alexa Fluor® 594) (ab195889) (red) at 1/200 dilution.

Secondary antibody only control : Used PBS instead of primary antibody, secondary antibody is Goat Anti-Rabbit IgG H&L (Alexa Fluor® 488) (ab150077) secondary antibody at 1/1000 dilution.

This data was developed using the same antibody clone in a different buffer formulation containing PBS, BSA, glycerol, and sodium azide (ab215188).

Flow Cytometry (Intracellular) - Anti-TNF alpha antibody [EPR20972] - BSA and Azide free (AB225576)
  • Flow Cyt (Intra)

Supplier Data

Flow Cytometry (Intracellular) - Anti-TNF alpha antibody [EPR20972] - BSA and Azide free (AB225576)

Intracellular flow cytometric analysis of 4% paraformaldehyde-fixed, 0.1% Tween-20 permeabilized mouse splenocytes treated with 20 ng/ml PMA, 1 μg/ml Ionomycin and 10 μM Brefeldin A for 6 hours labeling TNF alpha with ab215188 at 1/600 dilution (right panel) compared with a Rabbit IgG, monoclonal [EPR25A] - Isotype Control (ab172730) (left panel). Goat Anti-Rabbit IgG H&L (Alexa Fluor® 488) at 1/2000 dilution was used as the secondary antibody.

Cells were surface stained with anti-mouse CD3, fixed with 4% PFA for 10 minutes, then permeabilized with 0.1% Tween-20 and intracellular stained with anti-rabbit IgG and ab215188. TNF alpha is mainly expressed in T cells (CD3+ population) while only a small population of CD3- cells can express TNF-alpha.

This data was developed using the same antibody clone in a different buffer formulation containing PBS, BSA, glycerol, and sodium azide (ab215188).

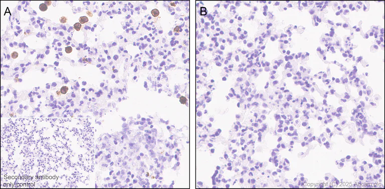
Immunohistochemistry (Formalin/PFA-fixed paraffin-embedded sections) - Anti-TNF alpha antibody [EPR20972] - BSA and Azide free (AB225576)
  • IHC-P

Lab

Immunohistochemistry (Formalin/PFA-fixed paraffin-embedded sections) - Anti-TNF alpha antibody [EPR20972] - BSA and Azide free (AB225576)

This data was developed using ab215188, the same antibody clone in a different buffer formulation.

Immunohistochemical analysis of formalin fixed paraffin embedded rat lung labelling TNF alpha with ab215188 at a concentration of 1/1000 dilution. The immunostaining was performed on a Leica Biosystems BOND® RX instrument. Heat mediated antigen retrieval was performed with Tris-EDTA buffer (pH 9.0, Epitope Retrieval Solution2) for 20 mins. The primary antibody Anti-TNF alpha antibody [EPR20972] was incubated for 30 mins at room temperature. Sections were counterstained with Hematoxylin. Positive staining on rat lung treated with LPS (1ug/ml for 16 hours) and BFA (1ug/ml for 16h hours) (Image A) and no staining on wild type rat lung (Image B).

Immunoprecipitation - Anti-TNF alpha antibody [EPR20972] - BSA and Azide free (AB225576)
  • IP

Supplier Data

Immunoprecipitation - Anti-TNF alpha antibody [EPR20972] - BSA and Azide free (AB225576)

TNF alpha was immunoprecipitated from 0.35 mg of RAW 264.7 (mouse macrophage cell line transformed with Abelson murine leukemia virus) treated with 100 ng/ml lipopolysaccharides (LPS) for 7 hours with addition of 1 μg/ml brefeldin A (BFA) for the last 3 hours, whole cell lysate with ab215188 at 1/30 dilution. Western blot was performed from the immunoprecipitate using ab215188 at 1/1000 dilution. VeriBlot for IP Detection Reagent (HRP) (ab131366), was used for detection at 1/10000 dilution.

Lane 1 : RAW 264.7 treated with 100 ng/ml lipopolysaccharides (LPS) for 7 hours with addition of 1 μg/ml brefeldin A (BFA) for the last 3 hours, whole cell lysate 10 μg (Input).

Lane 2 : ab215188 IP in RAW 264.7 treated with 100 ng/ml lipopolysaccharides (LPS) for 7 hours with addition of 1 μg/ml brefeldin A (BFA) for the last 3 hours, whole cell lysate (+).

Lane 3 : Rabbit monoclonal IgG (ab172730) instead of ab215188 in RAW 264.7 treated with 100 ng/ml lipopolysaccharides (LPS) for 7 hours with addition of 1 μg/ml brefeldin A (BFA) for the last 3 hours, whole cell lysate (-).

Blocking and dilution buffer and concentration : 5% NFDM/TBST.

Exposure time : 3 seconds.

This data was developed using the same antibody clone in a different buffer formulation containing PBS, BSA, glycerol, and sodium azide (ab215188).

All lanes:

Immunoprecipitation - Anti-TNF alpha antibody [EPR20972] (<a href='/en-us/products/primary-antibodies/tnf-alpha-antibody-epr20972-ab215188'>ab215188</a>)

Predicted band size: 25 kDa

Observed band size: 26 kDa,33 kDa

false

Western blot - Anti-TNF alpha antibody [EPR20972] - BSA and Azide free (AB225576)
  • WB

Lab

Western blot - Anti-TNF alpha antibody [EPR20972] - BSA and Azide free (AB225576)

This Western blot image is a comparison between ab215188 and ab183218 tested under the same conditions. While ab215188 is suitable for WB for some samples, ab183218 was found to be more sensitive. False colour image of Western blot : Anti-TNF alpha antibody [EPR20972] staining at 1/1000 dilution, shown in green; Mouse anti-Alpha Tubulin [DM1A] (ab7291) loading control staining at 1/20000 dilution, shown in red. In Western blot, ab215188 was shown to bind specifically to TNF alpha. A band was observed at 27 kDa in treated U937 cell lysates with no signal observed at this size without treatment. No signal was observed in wild-type THP-1 cell lysates or in TNF knockout cell line ab273761 (knockout cell lysate ab275507) with ab215188. However, a band was observed at 27 kDa in treated wild-type THP-1 cell lysates with ab183218. To generate this image, samples were run on an SDS-PAGE gel then transferred onto a nitrocellulose membrane. Membranes were blocked in fluorescent western blot (TBS-based) blocking solution before incubation with primary antibodies overnight at 4 °C. Blots were washed four times in TBS-T, incubated with secondary antibodies for 1 h at room temperature, washed again four times then imaged. Secondary antibodies used were Goat anti-Rabbit IgG H&L (IRDye® 800CW) preabsorbed (ab216773) and Goat anti-Mouse IgG H&L (IRDye® 680RD) preabsorbed (ab216776) at 1/20000 dilution.

This data was developed using the same antibody clone in a different buffer formulation containing PBS, BSA, glycerol, and sodium azide (ab215188).

All lanes:

Western blot - Anti-TNF alpha antibody [EPR20972] (<a href='/en-us/products/primary-antibodies/tnf-alpha-antibody-epr20972-ab215188'>ab215188</a>) at 1/1000 dilution

Lane 1:

Wild-type THP-1 control: Brefeldin A (5 ug/mL, 4 h) cell lysate at 30 µg

Lane 2:

Wild-type treated THP-1: LPS (100 ng/mL, 16 h), Brefeldin A (5 ug/mL, last 4 h) cell lysate at 30 µg

Lane 2:

Western blot - Human TNF knockout THP-1 cell line (<a href='/en-us/products/cell-lines/human-tnf-knockout-thp-1-cell-line-ab273761'>ab273761</a>)

Lane 3:

TNF alpha knockout THP-1 control: Brefeldin A (5 ug/mL, 4 h) cell lysate at 30 µg

Lane 4:

TNF alpha knockout THP-1 treated: LPS (100 ng/mL, 16 h), Brefeldin A (5 ug/mL, last 4 h) cell lysate at 30 µg

Lane 5:

U937 control: PMA (10 mM, 2 days), Brefeldin A (5 ug/mL, last 4 h) cell lysate at 30 µg

Lane 6:

U937 treated: PMA (10 mM, 2 days), LPS (1 ug/mL, last 16 h), Brefeldin A (5 ug/mL, last 4 h) cell lysate at 30 µg

Predicted band size: 25 kDa

Observed band size: 27 kDa

false

Immunohistochemistry (Formalin/PFA-fixed paraffin-embedded sections) - Anti-TNF alpha antibody [EPR20972] - BSA and Azide free (AB225576)
  • IHC-P

Lab

Immunohistochemistry (Formalin/PFA-fixed paraffin-embedded sections) - Anti-TNF alpha antibody [EPR20972] - BSA and Azide free (AB225576)

This data was developed using ab215188, the same antibody clone in a different buffer formulation.

Immunohistochemical analysis of formalin fixed paraffin embedded rat brain labelling TNF alpha with ab215188 at a concentration of 1/1000 dilution. The immunostaining was performed on a Leica Biosystems BOND® RX instrument. Heat mediated antigen retrieval was performed with Tris-EDTA buffer (pH 9.0, Epitope Retrieval Solution2) for 20 mins. The primary antibody Anti-TNF alpha antibody [EPR20972] was incubated for 30 mins at room temperature. Sections were counterstained with Hematoxylin. Negative control : no staining on rat brain.

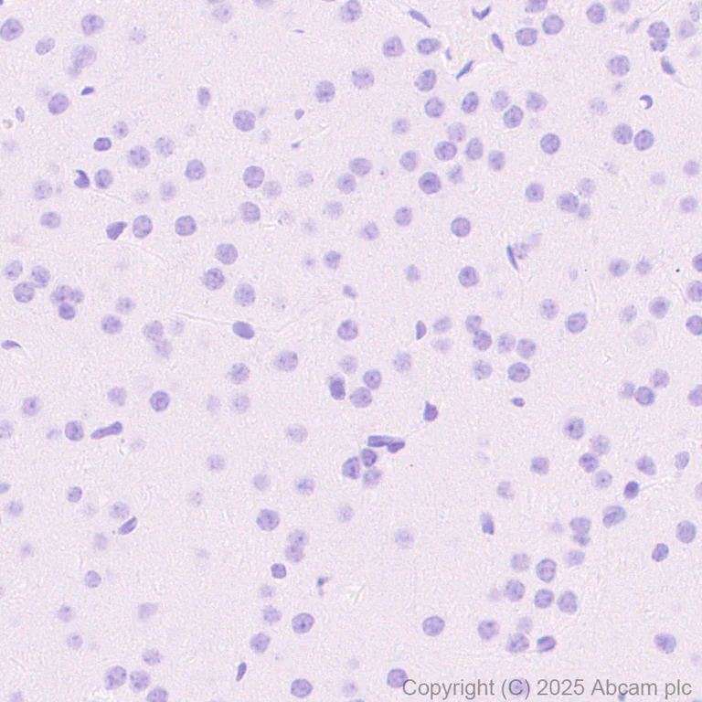
Immunohistochemistry (Formalin/PFA-fixed paraffin-embedded sections) - Anti-TNF alpha antibody [EPR20972] - BSA and Azide free (AB225576)
  • IHC-P

Lab

Immunohistochemistry (Formalin/PFA-fixed paraffin-embedded sections) - Anti-TNF alpha antibody [EPR20972] - BSA and Azide free (AB225576)

This data was developed using ab215188, the same antibody clone in a different buffer formulation.

Immunohistochemical analysis of formalin fixed paraffin embedded mouse brain labelling TNF alpha with ab215188 at a concentration of 1/1000 dilution. The immunostaining was performed on a Leica Biosystems BOND® RX instrument. Heat mediated antigen retrieval was performed with Tris-EDTA buffer (pH 9.0, Epitope Retrieval Solution2) for 20 mins. The primary antibody Anti-TNF alpha antibody [EPR20972] was incubated for 30 mins at room temperature. Sections were counterstained with Hematoxylin. Negative control : no staining on mouse brain.

  • Unconjugated

    Anti-TNF alpha antibody [EPR20972]

  • 519 Alexa Fluor® 488

    Alexa Fluor® 488 Anti-TNF alpha antibody [EPR20972]

  • 578 PE

    PE Anti-TNF alpha antibody [EPR20972]

  • 519 FITC

    FITC Anti-TNF alpha antibody [EPR20972]

  • 665 Alexa Fluor® 647

    Alexa Fluor® 647 Anti-TNF alpha antibody [EPR20972]

Key facts

Host species

Rabbit

Clonality

Monoclonal

Clone number

EPR20972

Isotype

IgG

Carrier free

Yes

Reacts with

Mouse, Human, Rat

Applications

Flow Cyt (Intra), IP, WB, ICC/IF, IHC-P

applications

Immunogen

The exact immunogen used to generate this antibody is proprietary information.

Specificity

The protein level of TNF alpha in normal samples is very weak. The TNF alpha expression must be stimulated.

Reactivity data

{ "title": "Reactivity Data", "filters": { "stats": ["", "Species", "Dilution Info", "Notes"], "tabs": { "all-applications": {"fullname" : "All Applications", "shortname": "All Applications"}, "IP" : {"fullname" : "Immunoprecipitation", "shortname":"IP"}, "WB" : {"fullname" : "Western blot", "shortname":"WB"}, "ICCIF" : {"fullname" : "Immunocytochemistry/ Immunofluorescence", "shortname":"ICC/IF"}, "FlowCytIntra" : {"fullname" : "Flow Cytometry (Intracellular)", "shortname":"Flow Cyt (Intra)"}, "IHCP" : {"fullname" : "Immunohistochemistry (Formalin/PFA-fixed paraffin-embedded sections)", "shortname":"IHC-P"} }, "product-promise": { "all": "all", "testedAndGuaranteed": "tested", "guaranteed": "expected", "predicted": "predicted", "notRecommended": "not-recommended" } }, "values": { "Human": { "IP-species-checked": "guaranteed", "IP-species-dilution-info": "", "IP-species-notes": "", "WB-species-checked": "testedAndGuaranteed", "WB-species-dilution-info": "", "WB-species-notes": "<p></p>", "ICCIF-species-checked": "guaranteed", "ICCIF-species-dilution-info": "", "ICCIF-species-notes": "", "FlowCytIntra-species-checked": "guaranteed", "FlowCytIntra-species-dilution-info": "", "FlowCytIntra-species-notes": "", "IHCP-species-checked": "guaranteed", "IHCP-species-dilution-info": "", "IHCP-species-notes": "" }, "Mouse": { "IP-species-checked": "testedAndGuaranteed", "IP-species-dilution-info": "", "IP-species-notes": "<p></p>", "WB-species-checked": "guaranteed", "WB-species-dilution-info": "", "WB-species-notes": "", "ICCIF-species-checked": "testedAndGuaranteed", "ICCIF-species-dilution-info": "", "ICCIF-species-notes": "<p></p>", "FlowCytIntra-species-checked": "testedAndGuaranteed", "FlowCytIntra-species-dilution-info": "", "FlowCytIntra-species-notes": "<p></p>", "IHCP-species-checked": "testedAndGuaranteed", "IHCP-species-dilution-info": "", "IHCP-species-notes": "<p></p> Perform heat-mediated antigen retrieval with Tris/EDTA buffer pH 9.0 before commencing with IHC staining protocol." }, "Rat": { "IP-species-checked": "guaranteed", "IP-species-dilution-info": "", "IP-species-notes": "", "WB-species-checked": "guaranteed", "WB-species-dilution-info": "", "WB-species-notes": "", "ICCIF-species-checked": "guaranteed", "ICCIF-species-dilution-info": "", "ICCIF-species-notes": "", "FlowCytIntra-species-checked": "guaranteed", "FlowCytIntra-species-dilution-info": "", "FlowCytIntra-species-notes": "", "IHCP-species-checked": "testedAndGuaranteed", "IHCP-species-dilution-info": "", "IHCP-species-notes": "<p></p> Perform heat-mediated antigen retrieval with Tris/EDTA buffer pH 9.0 before commencing with IHC staining protocol." } } }

Product details

ab225576 is the carrier-free version of ab215188.

Patented technology
Our RabMAb® technology is a patented hybridoma-based technology for making rabbit monoclonal antibodies. For details on our patents, please refer to RabMAb® patents.

What are the advantages of a recombinant monoclonal antibody?
This product is a recombinant monoclonal antibody, which offers several advantages including:

  • - High batch-to-batch consistency and reproducibility
  • - Improved sensitivity and specificity
  • - Long-term security of supply
  • - Animal-free batch production

For more information, read more on recombinant antibodies.

Conjugation ready
Our carrier-free antibodies are typically supplied in a PBS-only formulation, purified and free of BSA, sodium azide and glycerol. This conjugation-ready format is designed for use with fluorochromes, metal isotopes, oligonucleotides, and enzymes, which makes them ideal for antibody labelling, functional and cell-based assays, flow-based assays (e.g. mass cytometry) and Multiplex Imaging applications.

Use our conjugation kits for antibody conjugates that are ready-to-use in as little as 20 minutes with 1 minute hands-on-time and 100% antibody recovery: available for fluorescent dyes, HRP, biotin and gold.

Compatibility
This product is compatible with the Maxpar® Antibody Labeling Kit from Fluidigm, without the need for antibody preparation. Maxpar® is a trademark of Fluidigm Canada Inc.

Properties and storage information

Form
Liquid
Purification technique
Affinity purification Protein A
Storage buffer
pH: 7.2 - 7.4 Constituents: PBS
Shipped at conditions
Blue Ice
Appropriate short-term storage conditions
+4°C
Appropriate long-term storage conditions
+4°C
Storage information
Do Not Freeze

Product protocols

For this product, it's our understanding that no specific protocols are required. You can visit:

Target data

The TNF protein, primarily secreted by macrophages, binds to TNFRSF1A/TNFR1 and TNFRSF1B/TNFBR. It induces cell death in specific tumor cell lines and acts as a potent pyrogen, causing fever directly or by stimulating interleukin-1 secretion. TNF is implicated in cachexia induction and can stimulate cell proliferation and differentiation under certain conditions. It impairs regulatory T-cells (Treg) function in rheumatoid arthritis patients through FOXP3 dephosphorylation, upregulating protein phosphatase 1 (PP1), which dephosphorylates 'Ser-418' of FOXP3, inactivating FOXP3 and leading to defective Treg cells. TNF is a key mediator of cell death in the anticancer effect of BCG-stimulated neutrophils with DIABLO/SMAC mimetic in the RT4v6 bladder cancer cell line. It induces insulin resistance in adipocytes by inhibiting insulin-induced IRS1 tyrosine phosphorylation and glucose uptake. TNF plays a role in angiogenesis by inducing VEGF production with IL1B and IL6. Additionally, the TNF intracellular domain (ICD) form stimulates IL12 production in dendritic cells. This supplementary information is collated from multiple sources and compiled automatically.
See full target information TNF

Publications (4)

Recent publications for all applications. Explore the full list and refine your search

Journal of pediatric gastroenterology and nutrition 78:662-669 PubMed38299301

2024

Tissue markers may predict treatment response to antitumor necrosis factor-α agents in children with Crohn's disease.

Applications

Unspecified application

Species

Unspecified reactive species

Alexander Krauthammer,Tal Cozacov,Sophia Fried,Adi Har-Zahav,Raanan Shamir,Amit Assa,Orith Waisbourd-Zinman

Cell reports 40:111423 PubMed36170817

2022

Engineering of immune checkpoints B7-H3 and CD155 enhances immune compatibility of MHC-I iPSCs for β cell replacement.

Applications

Unspecified application

Species

Unspecified reactive species

Raniero Chimienti,Tania Baccega,Silvia Torchio,Fabio Manenti,Silvia Pellegrini,Alessandro Cospito,Angelo Amabile,Marta Tiffany Lombardo,Paolo Monti,Valeria Sordi,Angelo Lombardo,Mauro Malnati,Lorenzo Piemonti

Journal of thoracic disease 12:5811-5821 PubMed33209413

2020

Difference in inflammation, atherosclerosis, and platelet activation between coronary artery aneurysm and coronary artery ectasia.

Applications

Unspecified application

Species

Unspecified reactive species

Wei Wei,Xingxu Wang,Zhenghao Huang,Xiaolin Li,Yu Luo

Frontiers in immunology 10:3090 PubMed32010141

2020

Lymphoid Aggregates in the CNS of Progressive Multiple Sclerosis Patients Lack Regulatory T Cells.

Applications

Unspecified application

Species

Unspecified reactive species

Luisa Bell,Alexander Lenhart,Andreas Rosenwald,Camelia M Monoranu,Friederike Berberich-Siebelt
View all publications

Product promise

We are committed to supporting your work with high-quality reagents, and we're here for you every step of the way. In the unlikely event that one of our products does not perform as expected, you're protected by our Product Promise.
For full details, please see our Terms & Conditions

Please note: All products are 'FOR RESEARCH USE ONLY. NOT FOR USE IN DIAGNOSTIC OR THERAPEUTIC PROCEDURES'.

For licensing inquiries, please contact partnerships@abcam.com