JavaScript is disabled in your browser. Please enable JavaScript to view this website.
AB252382

Anti-TNF alpha antibody [EPR21753-109] - BSA and Azide free

Be the first to review this product! Submit a review

|

(3 Publications)

Rabbit Recombinant Monoclonal TNF alpha antibody. Carrier free. Suitable for IP, WB, ICC/IF, Flow Cyt (Intra) and reacts with Rat, Mouse samples. Cited in 3 publications.

View Alternative Names

Tnfa, Tnfsf2, Tnf, Tumor necrosis factor, Cachectin, TNF-alpha, Tumor necrosis factor ligand superfamily member 2, TNF-a

5 Images
Immunocytochemistry/ Immunofluorescence - Anti-TNF alpha antibody [EPR21753-109] - BSA and Azide free (AB252382)
  • ICC/IF

Unknown

Immunocytochemistry/ Immunofluorescence - Anti-TNF alpha antibody [EPR21753-109] - BSA and Azide free (AB252382)

Immunofluorescent analysis of 4% paraformaldehyde-fixed, 0.1% Triton X-100 permeabilized RAW 264.7 (mouse Abelson murine leukemia virus-induced tumor macrophage) (+/- treatment with 100ng/ml LPS for 3h, then together with 300ng/ml BFA for another 3h) cells labeling TNF alpha with ab205587 at 1/100 dilution, followed by a AlexaFluor®488 Goat anti-Rabbit secondary (ab150077) at 1/1000 dilution (Green). Confocal image showing cytoplasmic staining in RAW 264.7 cells treated with 100ng/ml LPS for 3h, then together with 300ng/ml BFA for another 3h. The Nuclear counterstain is DAPI (Blue). Tubulin was stained using an Anti-alpha Tubulin antibody [DM1A] - Microtubule Marker (Alexa Fluor® 594, ab195889) at 1/200 dilution.

Secondary antibody only control : Used PBS instead of primary antibody, secondary antibody is AlexaFluor®488 Goat anti-Rabbit secondary (ab150077) at 1/1000 dilution.

This data was developed using the same antibody clone in a different buffer formulation containing PBS, BSA, glycerol, and sodium azide (ab205587).

Flow Cytometry (Intracellular) - Anti-TNF alpha antibody [EPR21753-109] - BSA and Azide free (AB252382)
  • Flow Cyt (Intra)

Unknown

Flow Cytometry (Intracellular) - Anti-TNF alpha antibody [EPR21753-109] - BSA and Azide free (AB252382)

Intracellular flow cytometric analysis of 4% paraformaldehyde-fixed 90% methanol-permeabilized RAW 264.7 (mouse Abelson murine leukemia virus-induced tumor macrophage) treated with 100ng/ml LPS for 3h, then together with 300ng/ml BFA for another 3h (Red) / Untreated control (Green), compared to an unlabeled control (cells without incubation with primary antibody and secondary antibody, Blue) and an isotype control- Rabbit monoclonal IgG (ab172730, Black). A Goat anti rabbit IgG (Alexa Fluor® 488, ab150077)at 1/2000 dilution was used as the secondary antibody.

This data was developed using the same antibody clone in a different buffer formulation containing PBS, BSA, glycerol, and sodium azide (ab205587).

Immunoprecipitation - Anti-TNF alpha antibody [EPR21753-109] - BSA and Azide free (AB252382)
  • IP

Unknown

Immunoprecipitation - Anti-TNF alpha antibody [EPR21753-109] - BSA and Azide free (AB252382)

TNF alpha was immunoprecipitated from 0.35 mg rat splenocytes (treated with 20ng/ml PMA, 1μg/ml Ionomycin and 10μM BFA for 6h) whole cell lysate with ab205587 at 1/50 dilution. Western blot was performed on the immunoprecipitate using ab205587 at 1/1000 dilution. VeriBlot for IP Detection Reagent (HRP) (ab131366) was used for detection at 1/5000 dilution.

Lane 1 : Rat splenocytes (treated with 20ng/ml PMA, 1μg/ml Ionomycin and 10μM BFA for 6h) whole cell lysate 10μg (input).

Lane 2 : ab205587 IP in rat splenocytes (treated with 20ng/ml PMA, 1μg/ml Ionomycin and 10μM BFA for 6h) whole cell lysate.

Lane 3 : Rabbit monoclonal IgG (ab172730) instead of ab205587 in rat splenocytes (treated with 20ng/ml PMA, 1μg/ml Ionomycin and 10μM BFA for 6h) whole cell lysate.

Blocking and dilution buffer and concentration : 5% NFDM/TBST.
Exposure time : 30 seconds.

The MW observed is consistent with what has been described in the literature (PMID : 9933416).

This data was developed using the same antibody clone in a different buffer formulation containing PBS, BSA, glycerol, and sodium azide (ab205587).

All lanes:

Immunoprecipitation - Anti-TNF alpha antibody [EPR21753-109] (<a href='/en-us/products/primary-antibodies/tnf-alpha-antibody-epr21753-109-ab205587'>ab205587</a>)

Predicted band size: 25 kDa

false

Western blot - Anti-TNF alpha antibody [EPR21753-109] - BSA and Azide free (AB252382)
  • WB

Lab

Western blot - Anti-TNF alpha antibody [EPR21753-109] - BSA and Azide free (AB252382)

This data was developed using the same antibody clone in a different buffer formulation containing PBS, BSA, glycerol, and sodium azide (ab205587).

Blocking/Diluting buffer and concentration : 5% NFDM/TBST.

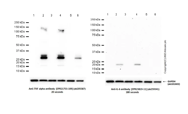
Normal tissues express undetectable level of TNF alpha, IL-1 beta and IL-6 proteins.

IL-1 beta and IL-6 could be a good control validating the increased TNF alpha level after drug treatment.

All lanes:

Western blot - Anti-TNF alpha antibody [EPR21753-109] (<a href='/en-us/products/primary-antibodies/tnf-alpha-antibody-epr21753-109-ab205587'>ab205587</a>) at 1/1000 dilution

Lane 1:

Rat cerebral cortex tissue lysate at 20 µg

Lane 2:

Rat cerebellum tissue lysate at 20 µg

Lane 3:

Rat hippocampus tissue lysate at 20 µg

Lane 4:

Rat spinal cord tissue lysate at 20 µg

Lane 5:

Rat small intestine tissue lysate at 20 µg

Lane 6:

Rat kidney tissue lysate at 20 µg

Lane 7:

Rat skin tissue lysate at 20 µg

Lane 8:

RAW 264.7 (Mouse Abelson murine leukemia virus-induced tumor macrophage) whole cell lysate at 20 µg

Lane 9:

RAW 264.7 (Mouse Abelson murine leukemia virus-induced tumor macrophage) treated with 100ng/ml lipopolysaccharide (LPS) for 4h then add 1000ng/ml BFA for another 3h whole cell lysate at 20 µg

Secondary

All lanes:

Western blot - Goat Anti-Rabbit IgG H&L (HRP) (<a href='/en-us/products/secondary-antibodies/goat-rabbit-igg-h-l-hrp-ab97051'>ab97051</a>) at 1/20000 dilution

Observed band size: 23 kDa,26 Da

false

Exposure time: 180s

Western blot - Anti-TNF alpha antibody [EPR21753-109] - BSA and Azide free (AB252382)
  • WB

Lab

Western blot - Anti-TNF alpha antibody [EPR21753-109] - BSA and Azide free (AB252382)

This data was developed using the same antibody clone in a different buffer formulation containing PBS, BSA, glycerol, and sodium azide (ab205587).

Blocking/Diluting buffer and concentration : 5% NFDM/TBST.

IL-1 beta and IL-6 could be a good control validating the increased TNF alpha level after drug treatment.

Lanes 1 - 6:

Western blot - Anti-TNF alpha antibody [EPR21753-109] (<a href='/en-us/products/primary-antibodies/tnf-alpha-antibody-epr21753-109-ab205587'>ab205587</a>) at 1/1000 dilution

Lanes 1 - 6:

Western blot - Anti-TNF alpha antibody [EPR21753-109] - BSA and Azide free (ab252382) at 1/1000 dilution

Lanes 1, 3 and 5:

Untreated NR8383 (rat lung macrophage (alveolar)) whole cell lysate at 20 µg

Lane 2:

NR8383 (rat lung macrophage (alveolar)) treated with 100ng/ml lipopolysaccharide (LPS) for 4h then add 1000ng/ml BFA for another 3h whole cell lysate at 20 µg

Lane 4:

NR8383 (rat lung macrophage (alveolar)) treated with 100ng/ml lipopolysaccharide (LPS) for 3h then add 300ng/ml BFA for another 3h whole cell lysate at 20 µg

Lane 6:

NR8383 (rat lung macrophage (alveolar)) treated with 1000ng/ml lipopolysaccharide (LPS) for 2h whole cell lysate at 20 µg

Secondary

All lanes:

Western blot - Goat Anti-Rabbit IgG H&L (HRP) (<a href='/en-us/products/secondary-antibodies/goat-rabbit-igg-h-l-hrp-ab97051'>ab97051</a>) at 1/20000 dilution

Observed band size: 23 kDa,26 kDa

false

Exposure time: 20s

Key facts

Host species

Rabbit

Clonality

Monoclonal

Clone number

EPR21753-109

Isotype

IgG

Carrier free

Yes

Reacts with

Mouse, Rat

Applications

IP, WB, Flow Cyt (Intra), ICC/IF

applications

Immunogen

The exact immunogen used to generate this antibody is proprietary information.

Specificity

The protein level of TNF alpha in normal samples is very weak. The TNF alpha expression must be stimulated.

IL-1 beta and IL-6 could be good controls validating the increased TNF alpha level after drug treatment.

Reactivity data

{ "title": "Reactivity Data", "filters": { "stats": ["", "Species", "Dilution Info", "Notes"], "tabs": { "all-applications": {"fullname" : "All Applications", "shortname": "All Applications"}, "IP" : {"fullname" : "Immunoprecipitation", "shortname":"IP"}, "WB" : {"fullname" : "Western blot", "shortname":"WB"}, "IHCP" : {"fullname" : "Immunohistochemistry (Formalin/PFA-fixed paraffin-embedded sections)", "shortname":"IHC-P"}, "ICCIF" : {"fullname" : "Immunocytochemistry/ Immunofluorescence", "shortname":"ICC/IF"}, "FlowCytIntra" : {"fullname" : "Flow Cytometry (Intracellular)", "shortname":"Flow Cyt (Intra)"} }, "product-promise": { "all": "all", "testedAndGuaranteed": "tested", "guaranteed": "expected", "predicted": "predicted", "notRecommended": "not-recommended" } }, "values": { "Mouse": { "IP-species-checked": "guaranteed", "IP-species-dilution-info": "", "IP-species-notes": "", "WB-species-checked": "guaranteed", "WB-species-dilution-info": "", "WB-species-notes": "<p></p>", "IHCP-species-checked": "notRecommended", "IHCP-species-dilution-info": "", "IHCP-species-notes": "<p></p>", "ICCIF-species-checked": "testedAndGuaranteed", "ICCIF-species-dilution-info": "", "ICCIF-species-notes": "<p></p>", "FlowCytIntra-species-checked": "testedAndGuaranteed", "FlowCytIntra-species-dilution-info": "", "FlowCytIntra-species-notes": "<p></p>" }, "Rat": { "IP-species-checked": "testedAndGuaranteed", "IP-species-dilution-info": "", "IP-species-notes": "<p></p>", "WB-species-checked": "guaranteed", "WB-species-dilution-info": "", "WB-species-notes": "<p></p>", "IHCP-species-checked": "notRecommended", "IHCP-species-dilution-info": "", "IHCP-species-notes": "<p></p>", "ICCIF-species-checked": "guaranteed", "ICCIF-species-dilution-info": "", "ICCIF-species-notes": "", "FlowCytIntra-species-checked": "guaranteed", "FlowCytIntra-species-dilution-info": "", "FlowCytIntra-species-notes": "" } } }

Product details

ab252382 is the carrier-free version of ab205587.

Patented technology
Our RabMAb® technology is a patented hybridoma-based technology for making rabbit monoclonal antibodies. For details on our patents, please refer to RabMAb® patents.

What are the advantages of a recombinant monoclonal antibody?
This product is a recombinant monoclonal antibody, which offers several advantages including:

  • - High batch-to-batch consistency and reproducibility
  • - Improved sensitivity and specificity
  • - Long-term security of supply
  • - Animal-free batch production

For more information, read more on recombinant antibodies.

Conjugation ready
Our carrier-free antibodies are typically supplied in a PBS-only formulation, purified and free of BSA, sodium azide and glycerol. This conjugation-ready format is designed for use with fluorochromes, metal isotopes, oligonucleotides, and enzymes, which makes them ideal for antibody labelling, functional and cell-based assays, flow-based assays (e.g. mass cytometry) and Multiplex Imaging applications.

Use our conjugation kits for antibody conjugates that are ready-to-use in as little as 20 minutes with 1 minute hands-on-time and 100% antibody recovery: available for fluorescent dyes, HRP, biotin and gold.

Compatibility
This product is compatible with the Maxpar® Antibody Labeling Kit from Fluidigm, without the need for antibody preparation. Maxpar® is a trademark of Fluidigm Canada Inc.

Properties and storage information

Form
Liquid
Purification technique
Affinity purification Protein A
Storage buffer
pH: 7.2 - 7.4 Constituents: PBS
Shipped at conditions
Blue Ice
Appropriate short-term storage conditions
+4°C
Appropriate long-term storage conditions
+4°C
Storage information
Do Not Freeze

Product protocols

For this product, it's our understanding that no specific protocols are required. You can visit:

Target data

Cytokine that binds to TNFRSF1A/TNFR1 and TNFRSF1B/TNFBR. It is mainly secreted by macrophages and can induce cell death of certain tumor cell lines. It is potent pyrogen causing fever by direct action or by stimulation of interleukin-1 secretion and is implicated in the induction of cachexia, Under certain conditions it can stimulate cell proliferation and induce cell differentiation (By similarity). Induces insulin resistance in adipocytes via inhibition of insulin-induced IRS1 tyrosine phosphorylation and insulin-induced glucose uptake. Induces GKAP42 protein degradation in adipocytes which is partially responsible for TNF-induced insulin resistance (PubMed : 25586176). Plays a role in angiogenesis by inducing VEGF production synergistically with IL1B and IL6 (By similarity). Promotes osteoclastogenesis and therefore mediates bone resorption (PubMed : 32741026).. The TNF intracellular domain (ICD) form induces IL12 production in dendritic cells.
See full target information Tnf

Publications (3)

Recent publications for all applications. Explore the full list and refine your search

Virus research 358:199590 PubMed40480313

2025

Enterovirus 71 structural viral protein 1 promotes the expression of PMP22 through mA modification in mouse Schwann cells.

Applications

Unspecified application

Species

Unspecified reactive species

Qiuyan Peng,Guangming Liu,Danping Zhu,Suyun Li,Sida Yang,Peiqing Li,Yingxian Yin,Dandan Hu

Advanced healthcare materials 12:e2300887 PubMed37317936

2023

Nanosized Silk-Magnesium Complexes for Tissue Regeneration.

Applications

Unspecified application

Species

Unspecified reactive species

Zhaozhao Ding,Weinan Cheng,Lutong Liu,Gang Xu,Qiang Lu,David L Kaplan

Neuromolecular medicine 23:540-548 PubMed33830475

2021

IL-2/IL-2R Antibody Complex Enhances Treg-Induced Neuroprotection by Dampening TNF-α Inflammation in an In Vitro Stroke Model.

Applications

Unspecified application

Species

Unspecified reactive species

Mia C Borlongan,Chase Kingsbury,Felipe Esparza Salazar,Alma R Lezama Toledo,German Rivera Monroy,Nadia Sadanandan,Blaise Cozene,Bella Gonzales-Portillo,Madeline Saft,Zhen-Jie Wang,Alexa Moscatello,Jea Y Lee
View all publications

Product promise

We are committed to supporting your work with high-quality reagents, and we're here for you every step of the way. In the unlikely event that one of our products does not perform as expected, you're protected by our Product Promise.
For full details, please see our Terms & Conditions

Please note: All products are 'FOR RESEARCH USE ONLY. NOT FOR USE IN DIAGNOSTIC OR THERAPEUTIC PROCEDURES'.

For licensing inquiries, please contact partnerships@abcam.com