JavaScript is disabled in your browser. Please enable JavaScript to view this website.
AB270264

Anti-TNF alpha antibody [TNF/1500R]

4

(1 Review)

|

(11 Publications)

Rabbit Recombinant Monoclonal TNF alpha antibody. Suitable for IHC-P and reacts with Human samples. Cited in 11 publications. Immunogen corresponding to Recombinant Full Length Protein corresponding to Human TNF.

View Alternative Names

TNFA, TNFSF2, TNF, Tumor necrosis factor, Cachectin, TNF-alpha, Tumor necrosis factor ligand superfamily member 2, TNF-a

2 Images
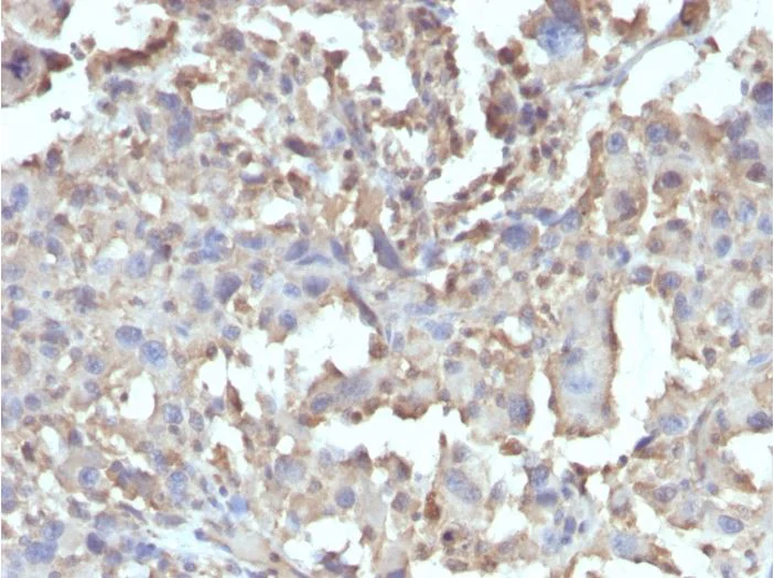
Immunohistochemistry (Formalin/PFA-fixed paraffin-embedded sections) - Anti-TNF alpha antibody [TNF/1500R] (AB270264)
  • IHC-P

Supplier Data

Immunohistochemistry (Formalin/PFA-fixed paraffin-embedded sections) - Anti-TNF alpha antibody [TNF/1500R] (AB270264)

Formalin-fixed, paraffin-embedded human histiocytoma stained for TNF alpha using ab270264 at 8 μg/ml in imunnohistochemical analysis.

Immunohistochemistry (Formalin/PFA-fixed paraffin-embedded sections) - Anti-TNF alpha antibody [TNF/1500R] (AB270264)
  • IHC-P

Supplier Data

Immunohistochemistry (Formalin/PFA-fixed paraffin-embedded sections) - Anti-TNF alpha antibody [TNF/1500R] (AB270264)

Formalin-fixed, paraffin-embedded human pancreas stained for TNF alpha using ab270264 at 8 μg/ml in imunnohistochemical analysis.

  • Carrier free

    Anti-TNF alpha antibody [TNF/1500R] - BSA and Azide free

Key facts

Host species

Rabbit

Clonality

Monoclonal

Clone number

TNF/1500R

Isotype

IgG

Carrier free

No

Reacts with

Human

Applications

IHC-P

applications

Immunogen

Recombinant Full Length Protein corresponding to Human TNF.

P01375

Reactivity data

{ "title": "Reactivity Data", "filters": { "stats": ["", "Species", "Dilution Info", "Notes"], "tabs": { "all-applications": {"fullname" : "All Applications", "shortname": "All Applications"}, "IHCP" : {"fullname" : "Immunohistochemistry (Formalin/PFA-fixed paraffin-embedded sections)", "shortname":"IHC-P"} }, "product-promise": { "all": "all", "testedAndGuaranteed": "tested", "guaranteed": "expected", "predicted": "predicted", "notRecommended": "not-recommended" } }, "values": { "Human": { "IHCP-species-checked": "testedAndGuaranteed", "IHCP-species-dilution-info": "4-8 µg/mL", "IHCP-species-notes": "<p></p> Perform heat-mediated antigen retrieval with Tris/EDTA buffer pH 9.0 before commencing with IHC staining protocol." }, "Rat": { "IHCP-species-checked": "predicted", "IHCP-species-dilution-info": "", "IHCP-species-notes": "" } } }

You may be interested in:

AB181421

Human TNF alpha ELISA Kit

5

4 Reviews

View product

We recommend this product because it’s often used in the same experiment or related research.

We advise that you always check the datasheet to ensure it fits your experiments, or contact ourtechnical teamfor help.

Properties and storage information

Form
Liquid
Purification technique
Affinity purification Protein A/G
Purification notes
Purified from Bioreactor Concentrate.
Storage buffer
pH: 7.2 - 7.4 Preservative: 0.05% Sodium azide Constituents: PBS, 0.05% BSA
Shipped at conditions
Blue Ice
Appropriate short-term storage duration
1-2 weeks
Appropriate short-term storage conditions
+4°C
Appropriate long-term storage conditions
-20°C
Aliquoting information
Upon delivery aliquot
Storage information
Avoid freeze / thaw cycle

Product protocols

For this product, it's our understanding that no specific protocols are required. You can visit:

Target data

The TNF protein, primarily secreted by macrophages, binds to TNFRSF1A/TNFR1 and TNFRSF1B/TNFBR. It induces cell death in specific tumor cell lines and acts as a potent pyrogen, causing fever directly or by stimulating interleukin-1 secretion. TNF is implicated in cachexia induction and can stimulate cell proliferation and differentiation under certain conditions. It impairs regulatory T-cells (Treg) function in rheumatoid arthritis patients through FOXP3 dephosphorylation, upregulating protein phosphatase 1 (PP1), which dephosphorylates 'Ser-418' of FOXP3, inactivating FOXP3 and leading to defective Treg cells. TNF is a key mediator of cell death in the anticancer effect of BCG-stimulated neutrophils with DIABLO/SMAC mimetic in the RT4v6 bladder cancer cell line. It induces insulin resistance in adipocytes by inhibiting insulin-induced IRS1 tyrosine phosphorylation and glucose uptake. TNF plays a role in angiogenesis by inducing VEGF production with IL1B and IL6. Additionally, the TNF intracellular domain (ICD) form stimulates IL12 production in dendritic cells. This supplementary information is collated from multiple sources and compiled automatically.
See full target information TNF

Publications (11)

Recent publications for all applications. Explore the full list and refine your search

Frontiers in chemistry 11:1089775 PubMed37065822

2023

Engineered procyanidin-Fe nanoparticle alleviates intestinal inflammation through scavenging ROS and altering gut microbiome in colitis mice.

Applications

Unspecified application

Species

Unspecified reactive species

Yongliang Chang,Xiawei Wu,Shengwei Lu,Jiahao Du,Yixiu Long,Yefei Zhu,Huanlong Qin

Applied immunohistochemistry & molecular morphology : AIMM 30:83-90 PubMed35175238

2022

A Standardization Protocol for the In Situ Detection of SARS-CoV2 RNA and Proteins.

Applications

Unspecified application

Species

Unspecified reactive species

Gerard J Nuovo,David Suster,Esmerina Tili,Hamdy Awad,Cynthia Magro

Annals of diagnostic pathology 57:151881 PubMed34968863

2021

The histologic and molecular correlates of liver disease in fatal COVID-19 including with alcohol use disorder.

Applications

Unspecified application

Species

Unspecified reactive species

Gerard J Nuovo,David Suster,Hamdy Awad,Jean-Jacques Michaille,Esmerina Tili

Cell death & disease 12:1140 PubMed34880206

2021

Comprehensive transcriptomic characterization reveals core genes and module associated with immunological changes via 1619 samples of brain glioma.

Applications

Unspecified application

Species

Unspecified reactive species

Ying Zhang,Wenping Ma,Wenhua Fan,Changyuan Ren,Jianbao Xu,Fan Zeng,Zhaoshi Bao,Tao Jiang,Zheng Zhao

Annals of translational medicine 9:1376 PubMed34733928

2021

TNF-α-stimulated nucleus pulposus cells induce cell apoptosis through the release of exosomal miR-16 targeting IGF-1 and IGF-1R in rats.

Applications

Unspecified application

Species

Unspecified reactive species

Qi-Chen Zhang,Yan-Pei Zou,Shun-Qi Hu,Tai-Wei Zhang,Hao Zhou,Bing Liang,Chen-Yang Zhuang,Hui-Ren Wang,Li-Bo Jiang,Xi-Lei Li

International neurourology journal 25:219-228 PubMed34610715

2021

Influence of Androgen Receptor Antagonist MDV3100 Therapy on Rats With Benign Prostatic Hyperplasia.

Applications

Unspecified application

Species

Unspecified reactive species

Minggen Yang,Zhenqiang Xu,Zhiming Zhuang

Cancer science 112:4470-4477 PubMed34464993

2021

Relationship between Fusobacterium nucleatum and antitumor immunity in colorectal cancer liver metastasis.

Applications

Unspecified application

Species

Unspecified reactive species

Yuki Sakamoto,Kosuke Mima,Takatsugu Ishimoto,Yoko Ogata,Katsunori Imai,Yuji Miyamoto,Takahiko Akiyama,Nobuya Daitoku,Yukiharu Hiyoshi,Masaaki Iwatsuki,Yoshifumi Baba,Shiro Iwagami,Yo-Ichi Yamashita,Naoya Yoshida,Yoshihiro Komohara,Shuji Ogino,Hideo Baba

International journal of molecular sciences 22: PubMed34445794

2021

CSBD Healing in Rats after Application of Bovine Xenogeneic Biomaterial Enriched with Magnesium Alloy.

Applications

Unspecified application

Species

Unspecified reactive species

Ana Terezija Jerbić Radetić,Sanja Zoričić Cvek,Matej Tomas,Igor Erjavec,Matko Oguić,Željka Perić Kačarević,Olga Cvijanović Peloza

Romanian journal of morphology and embryology = Revue roumaine de morphologie et embryologie 61:1121-1128 PubMed34171061

2021

The morphological changes of the colonic goblet cells and mucin profile in oncohematological patients under Epirubicin-based chemotherapy.

Applications

Unspecified application

Species

Unspecified reactive species

Coralia Adina Cotoraci,Alciona Sasu,Alexandru Fica Mircea Onel,Dana Iovănescu,Eftimie Miuţescu,Sami Gharbia,Alina Liliana Ciceu,Hildegard Herman,Anca Oana Hermenean

Hepatobiliary & pancreatic diseases international : HBPD INT 20:551-560 PubMed33947635

2021

Melatonin attenuates hepatic ischemia-reperfusion injury in rats by inhibiting NF-κB signaling pathway.

Applications

Unspecified application

Species

Unspecified reactive species

Yao Gao,Zhi-Tao Li,Li Jin,Jie Lin,Zheng-Lei Fan,Zhong Zeng,Han-Fei Huang
View all publications

Product promise

We are committed to supporting your work with high-quality reagents, and we're here for you every step of the way. In the unlikely event that one of our products does not perform as expected, you're protected by our Product Promise.
For full details, please see our Terms & Conditions

Associated Products

Select an associated product type
Alternative Product
Primary Antibodies

AB215188

Anti-TNF alpha antibody [EPR20972]

primary-antibodies

tnf-alpha-antibody-epr20972-ab215188

0

(1 reviews)

Alternative Product
Primary Antibodies

AB205587

Anti-TNF alpha antibody [EPR21753-109]

primary-antibodies

tnf-alpha-antibody-epr21753-109-ab205587

0

(1 reviews)

Alternative Product
Primary Antibodies

AB252382

Anti-TNF alpha antibody [EPR21753-109] - BSA and Azide free

primary-antibodies

tnf-alpha-antibody-epr21753-109-bsa-and-azide-free-ab252382

0

(0 reviews)

Alternative Product
Primary Antibodies

AB255288

Anti-TNF alpha antibody [EPR22598-212] - BSA and Azide free

primary-antibodies

tnf-alpha-antibody-epr22598-212-bsa-and-azide-free-ab255288

0

(0 reviews)

Alternative Product
Primary Antibodies

AB225576

Anti-TNF alpha antibody [EPR20972] - BSA and Azide free

primary-antibodies

tnf-alpha-antibody-epr20972-bsa-and-azide-free-ab225576

0

(0 reviews)

Alternative Product
Primary Antibodies

AB183218

Anti-TNF alpha antibody [EPR19147]

primary-antibodies

tnf-alpha-antibody-epr19147-ab183218

5

(1 reviews)

Please note: All products are 'FOR RESEARCH USE ONLY. NOT FOR USE IN DIAGNOSTIC OR THERAPEUTIC PROCEDURES'.

For licensing inquiries, please contact partnerships@abcam.com