JavaScript is disabled in your browser. Please enable JavaScript to view this website.
AB220210

Anti-TNF alpha antibody [TNFA/1172]

Be the first to review this product! Submit a review

|

(60 Publications)

Anti-TNF alpha antibody [TNFA/1172] (ab220210) is a mouse monoclonal antibody detecting TNF alpha in IHC-P. Suitable for Human, Rat.

- Over 30 publications

View Alternative Names

TNFA, TNFSF2, TNF, Tumor necrosis factor, Cachectin, TNF-alpha, Tumor necrosis factor ligand superfamily member 2, TNF-a

3 Images
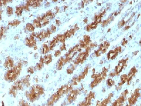
Immunohistochemistry (Formalin/PFA-fixed paraffin-embedded sections) - Anti-TNF alpha antibody [TNFA/1172] (AB220210)
  • IHC-P

Supplier Data

Immunohistochemistry (Formalin/PFA-fixed paraffin-embedded sections) - Anti-TNF alpha antibody [TNFA/1172] (AB220210)

Immunohistochemical analysis of formalin-fixed and paraffin-embedded Human Erdheim Chester disease tissue labeling TNF alpha with ab220210 at 4 μg/mL.

Immunocytochemistry - Anti-TNF alpha antibody [TNFA/1172] (AB220210)
  • ICC

Supplier Data

Immunocytochemistry - Anti-TNF alpha antibody [TNFA/1172] (AB220210)

Immunofluorescence analysis of PFA-fixed HepG2 (human liver hepatocellular carcinoma cell line) cells labeling TNF alpha with ab220210 at 2 µg/mL followed by Goat anti-Mouse IgG-CF488 (green). The nuclear counterstain is Redot (red).

Immunohistochemistry (Formalin/PFA-fixed paraffin-embedded sections) - Anti-TNF alpha antibody [TNFA/1172] (AB220210)
  • IHC-P

Supplier Data

Immunohistochemistry (Formalin/PFA-fixed paraffin-embedded sections) - Anti-TNF alpha antibody [TNFA/1172] (AB220210)

Immunohistochemical analysis of formalin-fixed and paraffin-embedded rat stomach tissue labeling TNF alpha with ab220210 at 4 μg/mL.

Key facts

Host species

Mouse

Clonality

Monoclonal

Clone number

TNFA/1172

Isotype

IgM

Light chain type

kappa

Carrier free

No

Reacts with

Rat, Human

Applications

ICC, IHC-P

applications

Immunogen

Recombinant Full Length Protein corresponding to Human TNF.

P01375

Reactivity data

{ "title": "Reactivity Data", "filters": { "stats": ["", "Species", "Dilution Info", "Notes"], "tabs": { "all-applications": {"fullname" : "All Applications", "shortname": "All Applications"}, "IHCP" : {"fullname" : "Immunohistochemistry (Formalin/PFA-fixed paraffin-embedded sections)", "shortname":"IHC-P"}, "ICC" : {"fullname" : "Immunocytochemistry", "shortname":"ICC"} }, "product-promise": { "all": "all", "testedAndGuaranteed": "tested", "guaranteed": "expected", "predicted": "predicted", "notRecommended": "not-recommended" } }, "values": { "Human": { "IHCP-species-checked": "testedAndGuaranteed", "IHCP-species-dilution-info": "2-4 µg/mL", "IHCP-species-notes": "<p></p> Perform heat-mediated antigen retrieval with citrate buffer pH 6 before commencing with IHC staining protocol.", "ICC-species-checked": "testedAndGuaranteed", "ICC-species-dilution-info": "1-2 µg/mL", "ICC-species-notes": "<p></p>" }, "Rat": { "IHCP-species-checked": "testedAndGuaranteed", "IHCP-species-dilution-info": "2-4 µg/mL", "IHCP-species-notes": "<p></p> Perform heat-mediated antigen retrieval with citrate buffer pH 6 before commencing with IHC staining protocol.", "ICC-species-checked": "guaranteed", "ICC-species-dilution-info": "", "ICC-species-notes": "" } } }

Product details

What is this antibody validated in?
Anti-TNF alpha antibody [TNFA/1172] (ab220210) is a mouse monoclonal antibody and is validated for use in Immunohistochemistry (IHC-P) in Human, Rat samples.

Trusted by the scientific community
Anti-TNF alpha [TNFA/1172] (ab220210) was first used in a scientific publication in 2017 and has been cited over 30 times in peer-reviewed journals.

Other related products
We have a range of other formats of antibody clone [TNFA/1172] also available for your convenience: ab220210, Carrier free - ab269772

Properties and storage information

Form
Liquid
Purification technique
Affinity purification Protein A/G
Storage buffer
pH: 7.2 - 7.4 Preservative: 0.05% Sodium azide Constituents: PBS, 0.05% BSA
Shipped at conditions
Blue Ice
Appropriate short-term storage duration
1-2 weeks
Appropriate short-term storage conditions
+4°C
Appropriate long-term storage conditions
-20°C
Aliquoting information
Upon delivery aliquot
Storage information
Avoid freeze / thaw cycle

Product protocols

For this product, it's our understanding that no specific protocols are required. You can visit:

Target data

The TNF protein, primarily secreted by macrophages, binds to TNFRSF1A/TNFR1 and TNFRSF1B/TNFBR. It induces cell death in specific tumor cell lines and acts as a potent pyrogen, causing fever directly or by stimulating interleukin-1 secretion. TNF is implicated in cachexia induction and can stimulate cell proliferation and differentiation under certain conditions. It impairs regulatory T-cells (Treg) function in rheumatoid arthritis patients through FOXP3 dephosphorylation, upregulating protein phosphatase 1 (PP1), which dephosphorylates 'Ser-418' of FOXP3, inactivating FOXP3 and leading to defective Treg cells. TNF is a key mediator of cell death in the anticancer effect of BCG-stimulated neutrophils with DIABLO/SMAC mimetic in the RT4v6 bladder cancer cell line. It induces insulin resistance in adipocytes by inhibiting insulin-induced IRS1 tyrosine phosphorylation and glucose uptake. TNF plays a role in angiogenesis by inducing VEGF production with IL1B and IL6. Additionally, the TNF intracellular domain (ICD) form stimulates IL12 production in dendritic cells. This supplementary information is collated from multiple sources and compiled automatically.
See full target information TNF

Publications (60)

Recent publications for all applications. Explore the full list and refine your search

International journal of molecular sciences 26: PubMed40869093

2025

An Investigation of the Effects of Melatonin and Vitamin D on the Ovaries of a Rat Model of Premature Ovarian Failure Induced by Cyclophosphamide.

Applications

Unspecified application

Species

Unspecified reactive species

Özdem Karaoğlan,Yurdun Kuyucu,Dilek Şaker,Gülçin Dağlıoğlu,Özgül Tap

Science advances 11:eadv4238 PubMed40712009

2025

Genetically engineered chondrocyte-mimetic nanoplatform attenuates osteoarthritis by blocking IL-1β and restoring sirtuin-3.

Applications

Unspecified application

Species

Unspecified reactive species

Caifeng Deng,Liukang Yu,Xuan Zhao,Yuxiao Chen,Jiabin Mei,Jie Wei,Xiaoyuan Chen,Guanghua Lei,Chao Zeng

iScience 28:112576 PubMed40487422

2025

Mesoporous polydopamine@CeO nanoparticles for photoacoustic-guided photothermal therapy in suppressing arthritis.

Applications

Unspecified application

Species

Unspecified reactive species

Huazhen Liu,Jingjing Wang,Chenyang Zhao,Rui Zhang,Ming Wang,Yuxin Jiang,Desheng Sun,Yanglong Hou,Meng Yang

PloS one 20:e0323745 PubMed40373162

2025

Network pharmacology and experimental validation to investigate the mechanism of action of Zhilong Huoxue Tongyu capsule in the prevention and treatment of diabetic cardiomyopathy.

Applications

Unspecified application

Species

Unspecified reactive species

Fang Yang,Gang Luo,Meng-Nan Liu,Ping Liu,Dan Wu,Hao-Ling Chen,Shan Li,Si-Jin Yang,Li Dong

Naunyn-Schmiedeberg's archives of pharmacology : PubMed40372476

2025

Therapeutic effect of bismuth subsalicylate in a propionic acid-induced autism model.

Applications

Unspecified application

Species

Unspecified reactive species

Kubilay Doğan Kılıç,Burak Çakar,Yiğit Uyanıkgil,Lora Koenhemsi,Berzah Güneş,Ebru Eroğlu,Oytun Erbaş

Life (Basel, Switzerland) 15: PubMed40003585

2025

Investigation of the Effect of Camellia Sinensis Essence Cream on Skin Burns.

Applications

Unspecified application

Species

Unspecified reactive species

Tolga Mercantepe,Adnan Yilmaz,Atilla Topcu,Ali Bilgin,Levent Tumkaya,Filiz Mercantepe

Frontiers in pharmacology 16:1505432 PubMed39981186

2025

Exploring the CD3/CD56/TNF-α/Caspase3 pathway in pyrethroid-induced immune dysregulation: curcumin-loaded chitosan nanoparticle intervention.

Applications

Unspecified application

Species

Unspecified reactive species

Nawal Alsubaie,Yasmina M Abd-Elhakim,Amany Abdel-Rahman Mohamed,Tarek Khamis,Mohamed M M Metwally,Nawal Helmi,Afnan M Alnajeebi,Badriyah S Alotaibi,Amirah Albaqami,Wedad Mawkili,Mai A Samak,Samar A Eissa

Materials today. Bio 31:101484 PubMed39925716

2025

Janus adhesive bio-patches with targeted drug delivery enabled anti-bacteria and pro-angiogenesis for dura mater repair.

Applications

Unspecified application

Species

Unspecified reactive species

Yirizhati Aili,Pengfei Wei,Xueqiao Yu,Guofeng Fan,Nuerailijiang Maimaitiaili,Yunhuan Li,Siqi Liu,Yiqian Huang,Bo Zhao,Zengliang Wang,Hu Qin,Yongxin Wang

Clinical and experimental pharmacology & physiology 51:e70000 PubMed39448197

2024

Caffeic acid phenethyl ester ameliorates colistin-induced nephrotoxicity in rats via modulation of FOXO1/Nrf2/Sirt1 axis.

Applications

Unspecified application

Species

Unspecified reactive species

Mohammed Z Nasrullah,Thikryat Neamtalllah,Mohannad Alshibani,Alaa A Bagalagel,Ahmad O Noor,Hussain T Bakhsh,Ashraf B Abdel-Naim

International journal of molecular sciences 25: PubMed39337520

2024

The Neuroprotective Effects of Peripheral Nerve Microcurrent Stimulation Therapy in a Rat Model of Middle Cerebral Artery Occlusion.

Applications

Unspecified application

Species

Unspecified reactive species

Yoon-Jin Lee,Eun Sang Kwon,Yong Suk Moon,Jeong-Rang Jo,Dong Rak Kwon
View all publications

Product promise

We are committed to supporting your work with high-quality reagents, and we're here for you every step of the way. In the unlikely event that one of our products does not perform as expected, you're protected by our Product Promise.
For full details, please see our Terms & Conditions

Please note: All products are 'FOR RESEARCH USE ONLY. NOT FOR USE IN DIAGNOSTIC OR THERAPEUTIC PROCEDURES'.

For licensing inquiries, please contact partnerships@abcam.com