JavaScript is disabled in your browser. Please enable JavaScript to view this website.
AB269772

Anti-TNF alpha antibody [TNFA/1172] - BSA and Azide free

Be the first to review this product! Submit a review

|

(4 Publications)

Mouse Monoclonal TNF alpha antibody. Carrier free. Suitable for IHC-P and reacts with Rat, Human samples. Cited in 4 publications. Immunogen corresponding to Recombinant Full Length Protein corresponding to Human TNF.

View Alternative Names

TNFA, TNFSF2, TNF, Tumor necrosis factor, Cachectin, TNF-alpha, Tumor necrosis factor ligand superfamily member 2, TNF-a

2 Images
Immunohistochemistry (Formalin/PFA-fixed paraffin-embedded sections) - Anti-TNF alpha antibody [TNFA/1172] - BSA and Azide free (AB269772)
  • IHC-P

Supplier Data

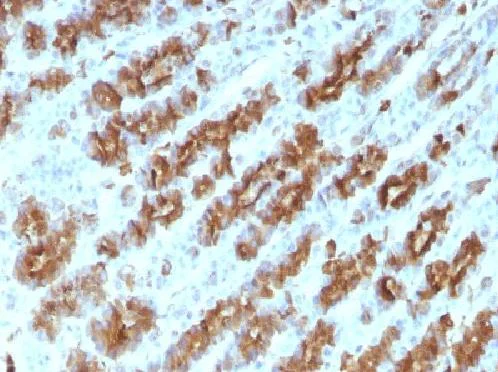
Immunohistochemistry (Formalin/PFA-fixed paraffin-embedded sections) - Anti-TNF alpha antibody [TNFA/1172] - BSA and Azide free (AB269772)

Immunohistochemical analysis of formalin-fixed and paraffin-embedded Human Erdheim Chester disease tissue labeling TNF alpha with ab220210 at 4 μg/mL.

This data was developed using the same antibody clone in a different buffer formulation containing PBS, BSA, glycerol, and sodium azide (ab220210)

Immunohistochemistry (Formalin/PFA-fixed paraffin-embedded sections) - Anti-TNF alpha antibody [TNFA/1172] - BSA and Azide free (AB269772)
  • IHC-P

Supplier Data

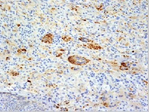
Immunohistochemistry (Formalin/PFA-fixed paraffin-embedded sections) - Anti-TNF alpha antibody [TNFA/1172] - BSA and Azide free (AB269772)

Immunohistochemical analysis of formalin-fixed and paraffin-embedded rat stomach tissue labeling TNF alpha with ab220210 at 4 μg/mL.

This data was developed using the same antibody clone in a different buffer formulation containing PBS, BSA, glycerol, and sodium azide (ab220210)

Key facts

Host species

Mouse

Clonality

Monoclonal

Clone number

TNFA/1172

Isotype

IgM

Light chain type

kappa

Carrier free

Yes

Reacts with

Rat, Human

Applications

IHC-P

applications

Immunogen

Recombinant Full Length Protein corresponding to Human TNF.

P01375

Reactivity data

{ "title": "Reactivity Data", "filters": { "stats": ["", "Species", "Dilution Info", "Notes"], "tabs": { "all-applications": {"fullname" : "All Applications", "shortname": "All Applications"}, "IHCP" : {"fullname" : "Immunohistochemistry (Formalin/PFA-fixed paraffin-embedded sections)", "shortname":"IHC-P"} }, "product-promise": { "all": "all", "testedAndGuaranteed": "tested", "guaranteed": "expected", "predicted": "predicted", "notRecommended": "not-recommended" } }, "values": { "Human": { "IHCP-species-checked": "testedAndGuaranteed", "IHCP-species-dilution-info": "2-4 µg/mL", "IHCP-species-notes": "<p></p>" }, "Rat": { "IHCP-species-checked": "testedAndGuaranteed", "IHCP-species-dilution-info": "2-4 µg/mL", "IHCP-species-notes": "<p></p>" } } }

Product details

ab269772 is a carrier free version of ab220210.

Conjugation ready
Our carrier-free antibodies are typically supplied in a PBS-only formulation, purified and free of BSA, sodium azide and glycerol. This conjugation-ready format is designed for use with fluorochromes, metal isotopes, oligonucleotides, and enzymes, which makes them ideal for antibody labelling, functional and cell-based assays, flow-based assays (e.g. mass cytometry) and Multiplex Imaging applications.

Use our conjugation kits for antibody conjugates that are ready-to-use in as little as 20 minutes with 1 minute hands-on-time and 100% antibody recovery: available for fluorescent dyes, HRP, biotin and gold.

Compatibility
This product is compatible with the Maxpar® Antibody Labeling Kit from Fluidigm, without the need for antibody preparation. Maxpar® is a trademark of Fluidigm Canada Inc.

Properties and storage information

Form
Liquid
Purification technique
Affinity purification Protein A/G
Storage buffer
pH: 7.2 - 7.4 Constituents: PBS
Shipped at conditions
Blue Ice
Appropriate short-term storage duration
1-2 weeks
Appropriate short-term storage conditions
+4°C
Appropriate long-term storage conditions
-20°C
Aliquoting information
Upon delivery aliquot
Storage information
Avoid freeze / thaw cycle

Product protocols

For this product, it's our understanding that no specific protocols are required. You can visit:

Target data

The TNF protein, primarily secreted by macrophages, binds to TNFRSF1A/TNFR1 and TNFRSF1B/TNFBR. It induces cell death in specific tumor cell lines and acts as a potent pyrogen, causing fever directly or by stimulating interleukin-1 secretion. TNF is implicated in cachexia induction and can stimulate cell proliferation and differentiation under certain conditions. It impairs regulatory T-cells (Treg) function in rheumatoid arthritis patients through FOXP3 dephosphorylation, upregulating protein phosphatase 1 (PP1), which dephosphorylates 'Ser-418' of FOXP3, inactivating FOXP3 and leading to defective Treg cells. TNF is a key mediator of cell death in the anticancer effect of BCG-stimulated neutrophils with DIABLO/SMAC mimetic in the RT4v6 bladder cancer cell line. It induces insulin resistance in adipocytes by inhibiting insulin-induced IRS1 tyrosine phosphorylation and glucose uptake. TNF plays a role in angiogenesis by inducing VEGF production with IL1B and IL6. Additionally, the TNF intracellular domain (ICD) form stimulates IL12 production in dendritic cells. This supplementary information is collated from multiple sources and compiled automatically.
See full target information TNF

Publications (4)

Recent publications for all applications. Explore the full list and refine your search

Scientific reports 15:13264 PubMed40246912

2025

Immune response against antibiotic-resistant and antibiotic-sensitive staphylococcus aureus in a rat model of implant infection.

Applications

Unspecified application

Species

Unspecified reactive species

Yingfang Fan,Amita Sekar,Madeline McCanne,Jean Yuh,Devika Dutta Kannambadi,Sashank Lekkala,Orhun K Muratoglu,Ebru Oral

Animal models and experimental medicine 7:145-155 PubMed38525803

2024

The efficacy of vitamin E in preventing arthrofibrosis after joint replacement.

Applications

Unspecified application

Species

Unspecified reactive species

Yingfang Fan,Jean Yuh,Sashank Lekkala,Mehmet D Asik,Andrew Thomson,Madeline McCanne,Mark A Randolph,Antonia F Chen,Ebru Oral

Journal of orthopaedic research : official publication of the Orthopaedic Research Society 42:460-473 PubMed37609941

2023

The efficacy of antibiotic-eluting material in a two-stage model of periprosthetic joint infection.

Applications

Unspecified application

Species

Unspecified reactive species

Yingfang Fan,Madeline McCanne,Jean Yuh,Sashank Lekkala,Charlotte P Leape,Shannon Hugard,Andrew Thomson,Jamie E Collins,Orhun K Muratoglu,Mark Randolph,Ebru Oral

Molecules (Basel, Switzerland) 28: PubMed36903410

2023

Effects of Oil on Sodium Hypochlorite-Induced Damage in Rats.

Applications

Unspecified application

Species

Unspecified reactive species

Güneş Bolatli,Fatih Taş,Naci Ömer Alayunt
View all publications

Product promise

We are committed to supporting your work with high-quality reagents, and we're here for you every step of the way. In the unlikely event that one of our products does not perform as expected, you're protected by our Product Promise.
For full details, please see our Terms & Conditions

Please note: All products are 'FOR RESEARCH USE ONLY. NOT FOR USE IN DIAGNOSTIC OR THERAPEUTIC PROCEDURES'.

For licensing inquiries, please contact partnerships@abcam.com