JavaScript is disabled in your browser. Please enable JavaScript to view this website.
AB277793

Anti-TNF Receptor I antibody [12HCLC]

Be the first to review this product! Submit a review

|

(1 Publication)

Rabbit Recombinant Multiclonal TNF Receptor I antibody. Suitable for IHC-P, WB and reacts with Human, African green monkey samples. Cited in 1 publication. Immunogen corresponding to Recombinant Fragment Protein within Human TNFRSF1A aa 1-250.

View Alternative Names

CD120a, TNFAR, TNFR1, TNFRSF1A, Tumor necrosis factor receptor superfamily member 1A, Tumor necrosis factor receptor 1, Tumor necrosis factor receptor type I, p55, p60, TNF-R1, TNF-RI, TNFR-I

2 Images
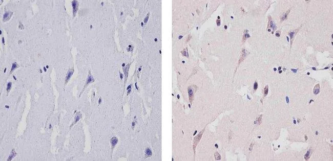
Immunohistochemistry (Formalin/PFA-fixed paraffin-embedded sections) - Anti-TNF Receptor I antibody [12HCLC] (AB277793)
  • IHC-P

Supplier Data

Immunohistochemistry (Formalin/PFA-fixed paraffin-embedded sections) - Anti-TNF Receptor I antibody [12HCLC] (AB277793)

Immunohistochemistry analysis of STNFR1 showing staining in the cytoplasm and weak staining in the nucleus of paraffin-embedded human brain tissue (right) compared to a negative control without primary antibody (left). To expose target proteins, antigen retrieval was performed using 10mM sodium citrate (pH 6.0), microwaved for 8-15 min. Following antigen retrieval, tissues were blocked in 3% H2O2-methanol for 15 minutes at room temperature, washed with ddH2O and PBS, and then probed with a STNFR1 Recombinant Rabbit Multiclonal Antibody (ab277793) diluted in 3% BSA-PBS at a dilution of 1/20 for 1 hour at 37°C in a humidified chamber. Tissues were washed extensively in PBST and detection was performed using an HRP-conjugated secondary antibody followed by colorimetric detection using a DAB kit. Tissues were counterstained with hematoxylin and dehydrated with ethanol and xylene to prep for mounting.

Western blot - Anti-TNF Receptor I antibody [12HCLC] (AB277793)
  • WB

Supplier Data

Western blot - Anti-TNF Receptor I antibody [12HCLC] (AB277793)

All lanes:

Western blot - Anti-TNF Receptor I antibody [12HCLC] (ab277793) at 2 µg/mL

All lanes:

COS-7 (African green monkey kidney fibroblast-like cell line) whole cell lysate

Predicted band size: 50 kDa

Observed band size: 22 kDa

false

Key facts

Host species

Rabbit

Clonality

Multiclonal

Clone number

12HCLC

Isotype

IgG

Carrier free

No

Reacts with

Human, African green monkey

Applications

IHC-P, WB

applications

Immunogen

Recombinant Fragment Protein within Human TNFRSF1A aa 1-250. The exact immunogen used to generate this antibody is proprietary information.

P19438

Reactivity data

{ "title": "Reactivity Data", "filters": { "stats": ["", "Species", "Dilution Info", "Notes"], "tabs": { "all-applications": {"fullname" : "All Applications", "shortname": "All Applications"}, "IHCP" : {"fullname" : "Immunohistochemistry (Formalin/PFA-fixed paraffin-embedded sections)", "shortname":"IHC-P"}, "WB" : {"fullname" : "Western blot", "shortname":"WB"} }, "product-promise": { "all": "all", "testedAndGuaranteed": "tested", "guaranteed": "expected", "predicted": "predicted", "notRecommended": "not-recommended" } }, "values": { "Human": { "IHCP-species-checked": "testedAndGuaranteed", "IHCP-species-dilution-info": "1/20", "IHCP-species-notes": "<p></p> Perform heat-mediated antigen retrieval with citrate buffer pH 6 before commencing with IHC staining protocol.", "WB-species-checked": "guaranteed", "WB-species-dilution-info": "", "WB-species-notes": "" }, "African green monkey": { "IHCP-species-checked": "guaranteed", "IHCP-species-dilution-info": "", "IHCP-species-notes": "", "WB-species-checked": "testedAndGuaranteed", "WB-species-dilution-info": "2-3 µg/mL", "WB-species-notes": "<p></p>" } } }

Product details

What are recombinant multiclonals?
Recombinant multiclonals are a mixture of recombinant antibodies co-expressed from a library of heavy and light chains. They offer several advantages including:

  • - The sensitivity of polyclonal antibodies by recognising multiple epitopes
  • - High batch-to-batch consistency and reproducibility
  • - Improved sensitivity and specificity
  • - Long-term security of supply
  • - Animal-free batch production

View our range of recombinant multiclonal antibodies.

Properties and storage information

Form
Liquid
Purification technique
Affinity purification Protein A
Storage buffer
Preservative: 0.09% Sodium azide Constituents: 99.91% PBS
Shipped at conditions
Blue Ice
Appropriate short-term storage duration
1-2 weeks
Appropriate short-term storage conditions
+4°C
Appropriate long-term storage conditions
-20°C
Storage information
Avoid freeze / thaw cycle

Product protocols

For this product, it's our understanding that no specific protocols are required. You can visit:

Target data

Receptor for TNFSF2/TNF-alpha and homotrimeric TNFSF1/lymphotoxin-alpha. The adapter molecule FADD recruits caspase-8 to the activated receptor. The resulting death-inducing signaling complex (DISC) performs caspase-8 proteolytic activation which initiates the subsequent cascade of caspases (aspartate-specific cysteine proteases) mediating apoptosis. Contributes to the induction of non-cytocidal TNF effects including anti-viral state and activation of the acid sphingomyelinase.
See full target information TNFRSF1A

Publications (1)

Recent publications for all applications. Explore the full list and refine your search

Discover oncology 15:73 PubMed38478152

2024

GALNT2 targeted by miR-139-5p promotes proliferation of clear cell renal cell carcinoma via inhibition of LATS2 activation.

Applications

Unspecified application

Species

Unspecified reactive species

Haisheng Yi,Lingyun Liu,Jingshun Zhang,Kaimin Guo,Yin Cao,Penghao Sun,Hongliang Wang
View all publications

Product promise

We are committed to supporting your work with high-quality reagents, and we're here for you every step of the way. In the unlikely event that one of our products does not perform as expected, you're protected by our Product Promise.
For full details, please see our Terms & Conditions

Please note: All products are 'FOR RESEARCH USE ONLY. NOT FOR USE IN DIAGNOSTIC OR THERAPEUTIC PROCEDURES'.

For licensing inquiries, please contact partnerships@abcam.com