JavaScript is disabled in your browser. Please enable JavaScript to view this website.
AB19139

Anti-TNF Receptor I antibody

4

(18 Reviews)

|

(132 Publications)

Anti-TNF Receptor I antibody (ab19139) is a rabbit polyclonal antibody detecting TNF Receptor I in Western Blot, IHC-P. Suitable for Human.

- Over 120 publications
- Trusted since 2005

View Alternative Names

CD120a, Tnfr-1, Tnfr1, Tnfrsf1a, Tumor necrosis factor receptor superfamily member 1A, Tumor necrosis factor receptor 1, Tumor necrosis factor receptor type I, p55, p60, TNF-R1, TNF-RI, TNFR-I

2 Images
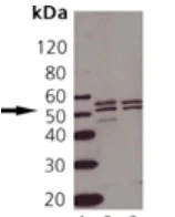
Western blot - Anti-TNF Receptor I antibody (AB19139)
  • WB

Supplier Data

Western blot - Anti-TNF Receptor I antibody (AB19139)

All lanes:

Western blot - Anti-TNF Receptor I antibody (ab19139) at 1 µg/mL

Lane 1:

Heat-shocked HeLa cell lysate

Lane 2:

Jurkat cell lysate

Predicted band size: 50 kDa

false

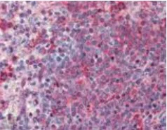
Immunohistochemistry (Formalin/PFA-fixed paraffin-embedded sections) - Anti-TNF Receptor I antibody (AB19139)
  • IHC-P

Supplier Data

Immunohistochemistry (Formalin/PFA-fixed paraffin-embedded sections) - Anti-TNF Receptor I antibody (AB19139)

Immunohistochemistry Formalin/PFA-fixed paraffin-embedded human spleen sections labeling TNF Receptor I with ab19139 at 10ug/mL.

Key facts

Host species

Rabbit

Clonality

Polyclonal

Isotype

IgG

Carrier free

No

Reacts with

Human

Applications

IHC-P, WB

applications

Immunogen

Synthetic Peptide within Mouse Tnfrsf1a aa 1-50. The exact immunogen used to generate this antibody is proprietary information.

P25118

Reactivity data

{ "title": "Reactivity Data", "filters": { "stats": ["", "Species", "Dilution Info", "Notes"], "tabs": { "all-applications": {"fullname" : "All Applications", "shortname": "All Applications"}, "WB" : {"fullname" : "Western blot", "shortname":"WB"}, "IHCP" : {"fullname" : "Immunohistochemistry (Formalin/PFA-fixed paraffin-embedded sections)", "shortname":"IHC-P"} }, "product-promise": { "all": "all", "testedAndGuaranteed": "tested", "guaranteed": "expected", "predicted": "predicted", "notRecommended": "not-recommended" } }, "values": { "Human": { "WB-species-checked": "testedAndGuaranteed", "WB-species-dilution-info": "1 µg/mL", "WB-species-notes": "<p></p>", "IHCP-species-checked": "testedAndGuaranteed", "IHCP-species-dilution-info": "1-10 µg/mL", "IHCP-species-notes": "<p></p>" } } }

Product details

What is this antibody validated in?
Anti-TNF Receptor I antibody (ab19139) is a rabbit polyclonal antibody and is validated for use in Western Blot (WB), Immunohistochemistry (IHC-P) in Human samples.

What is the molecular weight of TNF Receptor I?
Anti-TNF Receptor I (ab19139) specifically detects a band for TNF Receptor I (UniProt: P25118) at a molecular weight of 50kDa.

Trusted by the scientific community
Anti-TNF Receptor I (ab19139) was first used in a scientific publication in 2005 and has been cited over 120 times in peer-reviewed journals.

Reviewed by scientists
Anti-TNF Receptor I (ab19139) has over 15 independent reviews from customers.

Properties and storage information

Form
Liquid
Purification technique
Affinity purification
Storage buffer
pH: 7.2 Preservative: 0.09% Sodium azide Constituents: PBS, 50% Glycerol (glycerin, glycerine)
Shipped at conditions
Blue Ice
Appropriate short-term storage duration
1-2 weeks
Appropriate short-term storage conditions
+4°C
Appropriate long-term storage conditions
-20°C
Aliquoting information
Upon delivery aliquot
Storage information
Avoid freeze / thaw cycle

Product protocols

For this product, it's our understanding that no specific protocols are required. You can visit:

Target data

Receptor for TNFSF2/TNF-alpha and homotrimeric TNFSF1/lymphotoxin-alpha. The adapter molecule FADD recruits caspase-8 to the activated receptor. The resulting death-inducing signaling complex (DISC) performs caspase-8 proteolytic activation which initiates the subsequent cascade of caspases (aspartate-specific cysteine proteases) mediating apoptosis (By similarity).
See full target information Tnfrsf1a

Publications (132)

Recent publications for all applications. Explore the full list and refine your search

Biomolecules & therapeutics 33:1024-1033 PubMed40968087

2025

Brazilein Impedes IKK Activation by Disrupting RIPK1 Polyubiquitination, Increasing Apoptotic Susceptibility in Cells with Constitutively Active NF-κB.

Applications

Unspecified application

Species

Unspecified reactive species

Kyeong Ah Park,Hee Sun Byun,Jaehee Ha,Chan Sol Kim,Kyung-Cheol Sohn,Sanghee Shin,Chan-Yong Park,Yeon-Jae Cho,Ill Young Lee,Gang Min Hur

Aging cell 24:e70105 PubMed40371663

2025

hTERT Increases TRF2 to Induce Telomere Compaction and Extend Cell Replicative Lifespan.

Applications

Unspecified application

Species

Unspecified reactive species

Nancy Adam,Yang Yang,Mahbod Djamshidi,Sara Seifan,Nicholas S Y Ting,Joel Glover,Nicolas Touret,Paul M K Gordon,K V Vineetha Warriyar,Hokan Krowicki,Christine Kim Garcia,Sharon A Savage,Aaron A Goodarzi,Duncan M Baird,Tara L Beattie,Karl Riabowol

International journal of molecular sciences 26: PubMed40244215

2025

Barrier-Strengthening Effects of Cannabidiol on Porcine Peyer's Patches.

Applications

Unspecified application

Species

Unspecified reactive species

Elisa Boehm,Linda Droessler,Marie-Luise Vollstaedt,Laura Stein,Salah Amasheh

Oncology letters 28:578 PubMed39397800

2024

Furosemide‑induced eradication of myeloblasts via the inhibition of tumor necrosis factor‑α expression in a patient with acute biphenotypic leukemia: A case report.

Applications

Unspecified application

Species

Unspecified reactive species

Yu-Wei Chang,Wan-Ru Chao,Yen-Ting Lai,Frank Sheng Fan

American journal of hypertension 37:717-725 PubMed38780971

2024

Augmentation of Nitric Oxide Deficient Hypertension by High Salt Diet Is Associated With Reduced TNF-α Receptor Type 1 Expression in the Kidneys.

Applications

Unspecified application

Species

Unspecified reactive species

Dewan S A Majid,Minolfa C Prieto,Alexander Castillo,Cameron Chamberlain,Luis Gabriel Navar

Materials today. Bio 23:100808 PubMed37779918

2023

Cannabidiol attenuates inflammatory impairment of intestinal cells expanding biomaterial-based therapeutic approaches.

Applications

Unspecified application

Species

Unspecified reactive species

Elisa Boehm,Linda Droessler,Salah Amasheh

Chinese journal of cancer research = Chung-kuo yen cheng yen chiu 35:66-80 PubMed36910852

2023

TNFR2 is a potent prognostic biomarker for post-transplant lung metastasis in patients with hepatocellular carcinoma.

Applications

Unspecified application

Species

Unspecified reactive species

Huigang Li,Zuyuan Lin,Jianyong Zhuo,Modan Yang,Wei Shen,Zhihang Hu,Yichen Ding,Hao Chen,Chiyu He,Xinyu Yang,Siyi Dong,Xuyong Wei,Beicheng Sun,Shusen Zheng,Ren Lang,Di Lu,Xiao Xu

Scientific reports 13:2520 PubMed36781906

2023

Tanshinone IIA-loaded nanoparticles and neural stem cell combination therapy improves gut homeostasis and recovery in a pig ischemic stroke model.

Applications

Unspecified application

Species

Unspecified reactive species

Julie H Jeon,Erin E Kaiser,Elizabeth S Waters,Xueyuan Yang,Jeferson M Lourenco,Madison M Fagan,Kelly M Scheulin,Sydney E Sneed,Soo K Shin,Holly A Kinder,Anil Kumar,Simon R Platt,Jeongyoun Ahn,Kylee J Duberstein,Michael J Rothrock,Todd R Callaway,Jin Xie,Franklin D West,Hea Jin Park

Antioxidants (Basel, Switzerland) 12: PubMed36829917

2023

The Carotenoid Diatoxanthin Modulates Inflammatory and Angiogenesis Pathways In Vitro in Prostate Cancer Cells.

Applications

Unspecified application

Species

Unspecified reactive species

Clementina Sansone,Luigi Pistelli,Luana Calabrone,Angelo Del Mondo,Angelo Fontana,Marco Festa,Douglas M Noonan,Adriana Albini,Christophe Brunet

International journal of molecular sciences 24: PubMed36675019

2023

Neuroprotective Effects of Erinacine A on an Experimental Model of Traumatic Optic Neuropathy.

Applications

Unspecified application

Species

Unspecified reactive species

Chiao-Ling Hsu,Yao-Tseng Wen,Tzu-Chao Hsu,Chin-Chu Chen,Li-Ya Lee,Wan-Ping Chen,Rong-Kung Tsai
View all publications

Product promise

We are committed to supporting your work with high-quality reagents, and we're here for you every step of the way. In the unlikely event that one of our products does not perform as expected, you're protected by our Product Promise.
For full details, please see our Terms & Conditions

Please note: All products are 'FOR RESEARCH USE ONLY. NOT FOR USE IN DIAGNOSTIC OR THERAPEUTIC PROCEDURES'.

For licensing inquiries, please contact partnerships@abcam.com