JavaScript is disabled in your browser. Please enable JavaScript to view this website.
AB196659

Anti-TNFAIP2 antibody

Be the first to review this product! Submit a review

|

(5 Publications)

Rabbit Polyclonal TNFAIP2 antibody. Suitable for WB, IF, IHC-P and reacts with Mouse, Human samples. Cited in 5 publications. Immunogen corresponding to Synthetic Peptide within Human TNFAIP2.

View Alternative Names

Tumor necrosis factor alpha-induced protein 2, TNF alpha-induced protein 2, Primary response gene B94 protein, TNFAIP2

3 Images
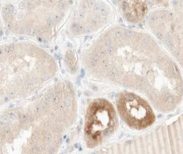
Immunohistochemistry (Formalin/PFA-fixed paraffin-embedded sections) - Anti-TNFAIP2 antibody (AB196659)
  • IHC-P

Unknown

Immunohistochemistry (Formalin/PFA-fixed paraffin-embedded sections) - Anti-TNFAIP2 antibody (AB196659)

Immunohistochemical analysis of formalin fixed paraffin embedded human kidney tissue labeling TNFAIP2 wiht ab196659 at 1/50 dilution

Immunofluorescence - Anti-TNFAIP2 antibody (AB196659)
  • IF

Unknown

Immunofluorescence - Anti-TNFAIP2 antibody (AB196659)

Immunofluorescence analysis of A549 cells, using ab196659

Western blot - Anti-TNFAIP2 antibody (AB196659)
  • WB

Unknown

Western blot - Anti-TNFAIP2 antibody (AB196659)

All lanes:

Western blot - Anti-TNFAIP2 antibody (ab196659) at 1/500 dilution

Lane 1:

Mouse liver, treated with blocking peptide

Lane 2:

Mouse liver

Predicted band size: 73 kDa

false

Key facts

Host species

Rabbit

Clonality

Polyclonal

Isotype

IgG

Carrier free

No

Reacts with

Mouse, Human

Applications

IHC-P, IF, WB

applications

Immunogen

Synthetic Peptide within Human TNFAIP2. The exact immunogen used to generate this antibody is proprietary information.

Q03169

Reactivity data

{ "title": "Reactivity Data", "filters": { "stats": ["", "Species", "Dilution Info", "Notes"], "tabs": { "all-applications": {"fullname" : "All Applications", "shortname": "All Applications"}, "WB" : {"fullname" : "Western blot", "shortname":"WB"}, "IF" : {"fullname" : "Immunofluorescence", "shortname":"IF"}, "IHCP" : {"fullname" : "Immunohistochemistry (Formalin/PFA-fixed paraffin-embedded sections)", "shortname":"IHC-P"} }, "product-promise": { "all": "all", "testedAndGuaranteed": "tested", "guaranteed": "expected", "predicted": "predicted", "notRecommended": "not-recommended" } }, "values": { "Human": { "WB-species-checked": "guaranteed", "WB-species-dilution-info": "", "WB-species-notes": "", "IF-species-checked": "testedAndGuaranteed", "IF-species-dilution-info": "1/100 - 1/500", "IF-species-notes": "<p></p>", "IHCP-species-checked": "testedAndGuaranteed", "IHCP-species-dilution-info": "1/50 - 1/100", "IHCP-species-notes": "<p></p>" }, "Mouse": { "WB-species-checked": "testedAndGuaranteed", "WB-species-dilution-info": "1/500 - 1/3000", "WB-species-notes": "<p></p>", "IF-species-checked": "guaranteed", "IF-species-dilution-info": "", "IF-species-notes": "", "IHCP-species-checked": "guaranteed", "IHCP-species-dilution-info": "", "IHCP-species-notes": "" } } }

Product details

May play a role as a mediator of inflammation and angiogenesis.

Properties and storage information

Form
Liquid
Purification technique
Affinity purification Immunogen
Purification notes
The antibody was affinity-purified from rabbit antiserum by affinity-chromatography using epitope-specific immunogen.
Storage buffer
pH: 7.4 Preservative: 0.02% Sodium azide Constituents: PBS, 50% Glycerol (glycerin, glycerine), 0.87% Sodium chloride
Shipped at conditions
Blue Ice
Appropriate short-term storage duration
1-2 weeks
Appropriate short-term storage conditions
+4°C
Appropriate long-term storage conditions
-20°C
Aliquoting information
Upon delivery aliquot
Storage information
Avoid freeze / thaw cycle

Product protocols

For this product, it's our understanding that no specific protocols are required. You can visit:

Target data

May play a role as a mediator of inflammation and angiogenesis.
See full target information TNFAIP2

Publications (5)

Recent publications for all applications. Explore the full list and refine your search

Molecular medicine (Cambridge, Mass.) 31:307 PubMed41023810

2025

EPO-modified bone marrow MSCs alleviate asthma inflammation through enhanced mitochondrial activation and transfer by upregulating HO-1.

Applications

Unspecified application

Species

Unspecified reactive species

Yao Zhang,Li-Zhan Chen,Hai-Feng Ou-Yang

Clinical science (London, England : 1979) 138:1537-1559 PubMed39535903

2024

Protective effect of mesenchymal stromal cells in diabetic nephropathy: the In vitro and In vivo role of the M-Sec-tunneling nanotubes.

Applications

Unspecified application

Species

Unspecified reactive species

Federica Barutta,Beatrice Corbetta,Stefania Bellini,Roberto Gambino,Stefania Bruno,Shunsuke Kimura,Koji Hase,Hiroshi Ohno,Gabriella Gruden

Journal of cellular and molecular medicine 27:2956-2969 PubMed37654004

2023

Effects of early exercise on cardiac function and lipid metabolism pathway in heart failure.

Applications

Unspecified application

Species

Unspecified reactive species

Sérgio Luiz Borges de Souza,Gustavo Augusto Ferreira Mota,Vitor Loureiro da Silva,Danielle Fernandes Vileigas,Paula Grippa Sant'Ana,Cristina Schmitt Gregolin,Rebeca Lopes Figueira,Sabrina Setembre Batah,Alexandre Todorovic Fabro,Gilson Masahiro Murata,Silmeia Garcia Zanati Bazan,Marina Politi Okoshi,Antonio Carlos Cicogna

Allergologia et immunopathologia 51:94-100 PubMed37422785

2023

Knocking down TNFAIP1 alleviates inflammation and oxidative stress in pediatric pneumonia through PI3K/Akt/Nrf2 pathway.

Applications

Unspecified application

Species

Unspecified reactive species

Jing Chen,Mengtian Zhao,Wei Fang,Chaojun Du

Autophagy 19:505-524 PubMed35659195

2022

Protective effect of the tunneling nanotube-TNFAIP2/M-sec system on podocyte autophagy in diabetic nephropathy.

Applications

Unspecified application

Species

Unspecified reactive species

F Barutta,S Bellini,S Kimura,K Hase,B Corbetta,A Corbelli,F Fiordaliso,S Bruno,L Biancone,A Barreca,M G Papotti,E Hirsh,M Martini,R Gambino,M Durazzo,H Ohno,G Gruden
View all publications

Product promise

We are committed to supporting your work with high-quality reagents, and we're here for you every step of the way. In the unlikely event that one of our products does not perform as expected, you're protected by our Product Promise.
For full details, please see our Terms & Conditions

Please note: All products are 'FOR RESEARCH USE ONLY. NOT FOR USE IN DIAGNOSTIC OR THERAPEUTIC PROCEDURES'.

For licensing inquiries, please contact partnerships@abcam.com