JavaScript is disabled in your browser. Please enable JavaScript to view this website.
AB193462

Anti-TNFAIP3 antibody

Be the first to review this product! Submit a review

|

(1 Publication)

Rabbit Polyclonal TNFAIP3 antibody. Suitable for WB, ICC/IF, IHC-P and reacts with Human samples. Cited in 1 publication. Immunogen corresponding to Synthetic Peptide within Human TNFAIP3.

View Alternative Names

OTUD7C, TNFAIP3, Tumor necrosis factor alpha-induced protein 3, TNF alpha-induced protein 3, OTU domain-containing protein 7C, Putative DNA-binding protein A20, Zinc finger protein A20

3 Images
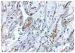
Immunohistochemistry (Formalin/PFA-fixed paraffin-embedded sections) - Anti-TNFAIP3 antibody (AB193462)
  • IHC-P

Supplier Data

Immunohistochemistry (Formalin/PFA-fixed paraffin-embedded sections) - Anti-TNFAIP3 antibody (AB193462)

Immunohistochemical analysis of paraffin-embedded Human lung tissue labeling TNFAIP3 with ab193462 at 5 μg/ml.

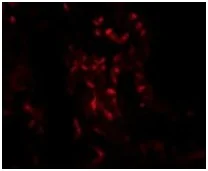
Immunocytochemistry/ Immunofluorescence - Anti-TNFAIP3 antibody (AB193462)
  • ICC/IF

Supplier Data

Immunocytochemistry/ Immunofluorescence - Anti-TNFAIP3 antibody (AB193462)

Immunofluorescent analysis of Human lung cells labeling TNFAIP3 with ab193462 at 20 μg/ml.

Western blot - Anti-TNFAIP3 antibody (AB193462)
  • WB

Unknown

Western blot - Anti-TNFAIP3 antibody (AB193462)

Western Blot of Jurkat cell lysate labeling TNFAIP3 with Anti-TNFAIP3 antibody (ab193462) at (1) 1 and (2) 2μg/ml.

All lanes:

Western blot - Anti-TNFAIP3 antibody (ab193462)

Predicted band size: 89 kDa

false

Key facts

Host species

Rabbit

Clonality

Polyclonal

Isotype

IgG

Carrier free

No

Reacts with

Human

Applications

IHC-P, WB, ICC/IF

applications

Immunogen

Synthetic Peptide within Human TNFAIP3. The exact immunogen used to generate this antibody is proprietary information.

P21580

Reactivity data

{ "title": "Reactivity Data", "filters": { "stats": ["", "Species", "Dilution Info", "Notes"], "tabs": { "all-applications": {"fullname" : "All Applications", "shortname": "All Applications"}, "WB" : {"fullname" : "Western blot", "shortname":"WB"}, "ICCIF" : {"fullname" : "Immunocytochemistry/ Immunofluorescence", "shortname":"ICC/IF"}, "IHCP" : {"fullname" : "Immunohistochemistry (Formalin/PFA-fixed paraffin-embedded sections)", "shortname":"IHC-P"} }, "product-promise": { "all": "all", "testedAndGuaranteed": "tested", "guaranteed": "expected", "predicted": "predicted", "notRecommended": "not-recommended" } }, "values": { "Human": { "WB-species-checked": "testedAndGuaranteed", "WB-species-dilution-info": "1-2 µg/mL", "WB-species-notes": "<p></p>", "ICCIF-species-checked": "testedAndGuaranteed", "ICCIF-species-dilution-info": "20 µg/mL", "ICCIF-species-notes": "<p></p>", "IHCP-species-checked": "testedAndGuaranteed", "IHCP-species-dilution-info": "5 µg/mL", "IHCP-species-notes": "<p></p>" } } }

Properties and storage information

Form
Liquid
Purification technique
Affinity purification Immunogen
Storage buffer
pH: 7.2 Preservative: 0.02% Sodium azide Constituents: PBS
Shipped at conditions
Blue Ice
Appropriate short-term storage duration
1-2 weeks
Appropriate short-term storage conditions
+4°C
Appropriate long-term storage conditions
-20°C
Aliquoting information
Upon delivery aliquot
Storage information
Avoid freeze / thaw cycle

Product protocols

For this product, it's our understanding that no specific protocols are required. You can visit:

Target data

Ubiquitin-editing enzyme that contains both ubiquitin ligase and deubiquitinase activities. Involved in immune and inflammatory responses signaled by cytokines, such as TNF-alpha and IL-1 beta, or pathogens via Toll-like receptors (TLRs) through terminating NF-kappa-B activity. Essential component of a ubiquitin-editing protein complex, comprising also RNF11, ITCH and TAX1BP1, that ensures the transient nature of inflammatory signaling pathways. In cooperation with TAX1BP1 promotes disassembly of E2-E3 ubiquitin protein ligase complexes in IL-1R and TNFR-1 pathways; affected are at least E3 ligases TRAF6, TRAF2 and BIRC2, and E2 ubiquitin-conjugating enzymes UBE2N and UBE2D3. In cooperation with TAX1BP1 promotes ubiquitination of UBE2N and proteasomal degradation of UBE2N and UBE2D3. Upon TNF stimulation, deubiquitinates 'Lys-63'-polyubiquitin chains on RIPK1 and catalyzes the formation of 'Lys-48'-polyubiquitin chains. This leads to RIPK1 proteasomal degradation and consequently termination of the TNF- or LPS-mediated activation of NF-kappa-B. Deubiquitinates TRAF6 probably acting on 'Lys-63'-linked polyubiquitin. Upon T-cell receptor (TCR)-mediated T-cell activation, deubiquitinates 'Lys-63'-polyubiquitin chains on MALT1 thereby mediating disassociation of the CBM (CARD11 : BCL10 : MALT1) and IKK complexes and preventing sustained IKK activation. Deubiquitinates NEMO/IKBKG; the function is facilitated by TNIP1 and leads to inhibition of NF-kappa-B activation. Upon stimulation by bacterial peptidoglycans, probably deubiquitinates RIPK2. Can also inhibit I-kappa-B-kinase (IKK) through a non-catalytic mechanism which involves polyubiquitin; polyubiquitin promotes association with IKBKG and prevents IKK MAP3K7-mediated phosphorylation. Targets TRAF2 for lysosomal degradation. In vitro able to deubiquitinate 'Lys-11'-, 'Lys-48'- and 'Lys-63' polyubiquitin chains. Inhibitor of programmed cell death. Has a role in the function of the lymphoid system. Required for LPS-induced production of pro-inflammatory cytokines and IFN beta in LPS-tolerized macrophages.
See full target information TNFAIP3

Publications (1)

Recent publications for all applications. Explore the full list and refine your search

Frontiers in oncology 11:721577 PubMed34604057

2021

Genetic Variations of and Genes Are Associated With Increased Susceptibility and Clinical Outcome of Non-Small-Cell Carcinoma Patients.

Applications

Unspecified application

Species

Unspecified reactive species

Foteinos-Ioannis D Dimitrakopoulos,Anna G Antonacopoulou,Anastasia E Kottorou,Melpomeni Kalofonou,Nikolaos Panagopoulos,Dimitrios Dougenis,Thomas Makatsoris,Vasiliki Tzelepi,Angelos Koutras,Haralabos P Kalofonos
View all publications

Product promise

We are committed to supporting your work with high-quality reagents, and we're here for you every step of the way. In the unlikely event that one of our products does not perform as expected, you're protected by our Product Promise.
For full details, please see our Terms & Conditions

Please note: All products are 'FOR RESEARCH USE ONLY. NOT FOR USE IN DIAGNOSTIC OR THERAPEUTIC PROCEDURES'.

For licensing inquiries, please contact partnerships@abcam.com