JavaScript is disabled in your browser. Please enable JavaScript to view this website.
AB314495

Anti-TNFRSF14/HVEM antibody [EPR28154-164] - BSA and Azide free

Be the first to review this product! Submit a review

|

(0 Publication)

Rabbit Recombinant Monoclonal TNFRSF14/HVEM antibody. Carrier free. Suitable for WB, IHC-P and reacts with Human, Transfected cell line samples.

View Alternative Names

CD270, HVEA, HVEM, UNQ329/PRO509, TNFRSF14, Tumor necrosis factor receptor superfamily member 14, Herpes virus entry mediator A, Tumor necrosis factor receptor-like 2, Herpesvirus entry mediator A, HveA, TR2

7 Images
Immunohistochemistry (Formalin/PFA-fixed paraffin-embedded sections) - Anti-TNFRSF14/HVEM antibody [EPR28154-164] - BSA and Azide free (AB314495)
  • IHC-P

Supplier Data

Immunohistochemistry (Formalin/PFA-fixed paraffin-embedded sections) - Anti-TNFRSF14/HVEM antibody [EPR28154-164] - BSA and Azide free (AB314495)

This data was developed using ab314494, the same antibody clone in a different buffer formulation. Immunohistochemical analysis of paraffin-embedded (A) HEK-293T (human embryonic kidney epithelial cell) transfected with a TNFRSF14 expression vector containing a Myc-his tag cell pellet; (B) HEK-293T transfected with an empty vector containing a Myc-his tag cell pellet. tissue labeling TNFRSF14/HVEM with ab314494 at 1/1000 (0.525 ug/ml) followed by a ready to use Rabbit specific IHC polymer detection kit HRP/DAB (ab209101). Positive staining on (A) HEK-293T transfected with a TNFRSF14 expression vector containing a Myc-his tag cell pellet; no staining on (B) HEK-293T transfected with an empty vector containing a Myc-his tag cell pellet. The section was incubated with ab314494 for 30 mins at room temperature. The immunostaining was performed on a Leica Biosystems BOND® RX instrument. Counterstained with Hematoxylin. Secondary antibody only control : Secondary antibody is a ready to use Rabbit specific IHC polymer detection kit HRP/DAB (ab209101). Heat mediated antigen retrieval was performed with Tris-EDTA buffer (pH 9.0, Epitope Retrieval Solution2) for 20 mins.

Immunohistochemistry (Formalin/PFA-fixed paraffin-embedded sections) - Anti-TNFRSF14/HVEM antibody [EPR28154-164] - BSA and Azide free (AB314495)
  • IHC-P

Supplier Data

Immunohistochemistry (Formalin/PFA-fixed paraffin-embedded sections) - Anti-TNFRSF14/HVEM antibody [EPR28154-164] - BSA and Azide free (AB314495)

This data was developed using ab314494, the same antibody clone in a different buffer formulation. Immunohistochemical analysis of paraffin-embedded human cerebrum tissue labeling TNFRSF14/HVEM with ab314494 at 1/1000 (0.525 ug/ml) followed by a ready to use Rabbit specific IHC polymer detection kit HRP/DAB (ab209101). Negative control : No staining on human cerebrum (PMID : 30987862). The section was incubated with ab314494 for 30 mins at room temperature. The immunostaining was performed on a Leica Biosystems BOND® RX instrument. Counterstained with Hematoxylin. Secondary antibody only control : Secondary antibody is a ready to use Rabbit specific IHC polymer detection kit HRP/DAB (ab209101). Heat mediated antigen retrieval was performed with Tris-EDTA buffer (pH 9.0, Epitope Retrieval Solution2) for 20 mins.

Immunohistochemistry (Formalin/PFA-fixed paraffin-embedded sections) - Anti-TNFRSF14/HVEM antibody [EPR28154-164] - BSA and Azide free (AB314495)
  • IHC-P

Supplier Data

Immunohistochemistry (Formalin/PFA-fixed paraffin-embedded sections) - Anti-TNFRSF14/HVEM antibody [EPR28154-164] - BSA and Azide free (AB314495)

This data was developed using ab314494, the same antibody clone in a different buffer formulation. Immunohistochemical analysis of paraffin-embedded human tonsil tissue labeling TNFRSF14/HVEM with ab314494 at 1/1000 (0.525 ug/ml) followed by a ready to use rabbit specific IHC polymer detection kit HRP/DAB (ab209101). Positive staining on human tonsil (PMID : 30918139). The section was incubated with ab314494 for 30 mins at room temperature. The immunostaining was performed on a Leica Biosystems BOND® RX instrument. Counterstained with Hematoxylin. Secondary antibody only control : Secondary antibody is a ready to use Rabbit specific IHC polymer detection kit HRP/DAB (ab209101). Heat mediated antigen retrieval was performed with Tris-EDTA buffer (pH 9.0, Epitope Retrieval Solution2) for 20 mins.

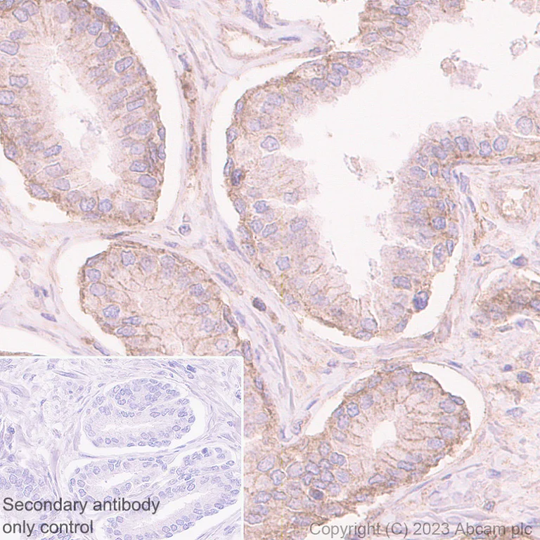
Immunohistochemistry (Formalin/PFA-fixed paraffin-embedded sections) - Anti-TNFRSF14/HVEM antibody [EPR28154-164] - BSA and Azide free (AB314495)
  • IHC-P

Supplier Data

Immunohistochemistry (Formalin/PFA-fixed paraffin-embedded sections) - Anti-TNFRSF14/HVEM antibody [EPR28154-164] - BSA and Azide free (AB314495)

This data was developed using ab314494, the same antibody clone in a different buffer formulation. Immunohistochemical analysis of paraffin-embedded Human prostatic hyperplasia tissue labeling TNFRSF14/HVEM with ab314494 at 1/1000 (0.525 ug/ml) followed by a ready to use Rabbit specific IHC polymer detection kit HRP/DAB (ab209101). Positive staining on human prostatic hyperplasia. The section was incubated with ab314494 for 30 mins at room temperature. The immunostaining was performed on a Leica Biosystems BOND® RX instrument. Counterstained with Hematoxylin. Secondary antibody only control : Secondary antibody is a ready to use rabbit specific IHC polymer detection kit HRP/DAB (ab209101). Heat mediated antigen retrieval was performed with Tris-EDTA buffer (pH 9.0, Epitope Retrieval Solution2) for 20 mins.

Western blot - Anti-TNFRSF14/HVEM antibody [EPR28154-164] - BSA and Azide free (AB314495)
  • WB

Supplier Data

Western blot - Anti-TNFRSF14/HVEM antibody [EPR28154-164] - BSA and Azide free (AB314495)

This data was developed using ab314494, the same antibody clone in a different buffer formulation. Blocking and diluting buffer and concentration : 5% NFDM/TBST Low expression : cerebellum. In Western blot, Anti-GAPDH antibody [EPR16891] - Loading Control (ab181602) staining at 1/200000 dilution. Exposure time : Lane 1 : 37 seconds, lanes 2-3 : 59 seconds.

All lanes:

Western blot - Anti-TNFRSF14/HVEM antibody [EPR28154-164] (<a href='/en-us/products/primary-antibodies/tnfrsf14-hvem-antibody-epr28154-164-ab314494'>ab314494</a>) at 1/1000 dilution

Lane 1:

Human tonsil tissue lysate at 50 µg

Lane 2:

Human thymus tissue lysate at 50 µg

Lane 3:

Human cerebellum tissue lysate at 50 µg

Secondary

All lanes:

Goat Anti-Rabbit IgG (HRP) with minimal cross-reactivity with human IgG at 1/2000 dilution

Observed band size: 30 kDa,50 kDa

false

Western blot - Anti-TNFRSF14/HVEM antibody [EPR28154-164] - BSA and Azide free (AB314495)
  • WB

Supplier Data

Western blot - Anti-TNFRSF14/HVEM antibody [EPR28154-164] - BSA and Azide free (AB314495)

This data was developed using ab314494, the same antibody clone in a different buffer formulation.

Blocking and diluting buffer and concentration : 5% NFDM/TBST.

TNFRSF14/HVEM is a glycoprotein of approximately 30 kDa and 50 kDa and detected as a 20 kDa and 40 kDa band after treated with Protein Deglycosylation MIX II.

In Western blot, Anti-GAPDH antibody [EPR16891] - Loading Control (ab181602) staining at 1/200000 dilution.

All lanes:

Western blot - Anti-TNFRSF14/HVEM antibody [EPR28154-164] (<a href='/en-us/products/primary-antibodies/tnfrsf14-hvem-antibody-epr28154-164-ab314494'>ab314494</a>) at 1/1000 dilution

Lane 1:

Untreated SK-MEL-28 (human malignant melanoma) whole cell lysate at 50 µg

Lane 2:

SK-MEL-28 treated with Protein Deglycosylation Mix II at 50 µg

Secondary

All lanes:

Western blot - Goat Anti-Rabbit IgG H&L (HRP) (<a href='/en-us/products/secondary-antibodies/goat-rabbit-igg-h-l-hrp-ab97051'>ab97051</a>) at 1/20000 dilution

Observed band size: 20 kDa,30 kDa,40 kDa,50 kDa

false

Exposure time: 92s

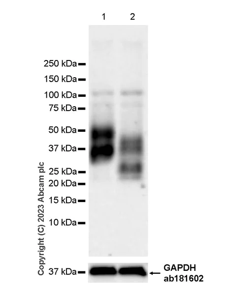
Western blot - Anti-TNFRSF14/HVEM antibody [EPR28154-164] - BSA and Azide free (AB314495)
  • WB

Supplier Data

Western blot - Anti-TNFRSF14/HVEM antibody [EPR28154-164] - BSA and Azide free (AB314495)

This data was developed using ab314494, the same antibody clone in a different buffer formulation. Blocking and diluting buffer and concentration : 5% NFDM/TBST Low expression : NCI-H1975 (PMID : 30429008), A549 (PMID : 30429008). In Western blot, Anti-GAPDH antibody [EPR16891] - Loading Control (ab181602) staining at 1/200000 dilution.

All lanes:

Western blot - Anti-TNFRSF14/HVEM antibody [EPR28154-164] (<a href='/en-us/products/primary-antibodies/tnfrsf14-hvem-antibody-epr28154-164-ab314494'>ab314494</a>) at 1/1000 dilution

Lane 1:

HDLM-2 (human Hodgkin lymphoma) whole cell lysate at 50 µg

Lane 2:

SK-MEL-28 (human malignant melanoma) whole cell lysate at 50 µg

Lane 3:

NCI-H1975 (human adenocarcinoma lu epithelial cell) whole cell lysate at 50 µg

Lane 4:

A549 (human lu carcinoma epithelial cell) whole cell lysate at 50 µg

Secondary

All lanes:

Western blot - Goat Anti-Rabbit IgG H&L (HRP) (<a href='/en-us/products/secondary-antibodies/goat-rabbit-igg-h-l-hrp-ab97051'>ab97051</a>) at 1/20000 dilution

Observed band size: 30 kDa,50 kDa

false

Exposure time: 37s

Key facts

Host species

Rabbit

Clonality

Monoclonal

Clone number

EPR28154-164

Isotype

IgG

Carrier free

Yes

Reacts with

Human

Applications

WB, IHC-P

applications

Immunogen

The exact immunogen used to generate this antibody is proprietary information.

Reactivity data

{ "title": "Reactivity Data", "filters": { "stats": ["", "Species", "Dilution Info", "Notes"], "tabs": { "all-applications": {"fullname" : "All Applications", "shortname": "All Applications"}, "WB" : {"fullname" : "Western blot", "shortname":"WB"}, "IHCP" : {"fullname" : "Immunohistochemistry (Formalin/PFA-fixed paraffin-embedded sections)", "shortname":"IHC-P"}, "ICCIF" : {"fullname" : "Immunocytochemistry/ Immunofluorescence", "shortname":"ICC/IF"}, "FlowCyt" : {"fullname" : "Flow Cytometry", "shortname":"Flow Cyt"}, "IP" : {"fullname" : "Immunoprecipitation", "shortname":"IP"} }, "product-promise": { "all": "all", "testedAndGuaranteed": "tested", "guaranteed": "expected", "predicted": "predicted", "notRecommended": "not-recommended" } }, "values": { "Human": { "WB-species-checked": "testedAndGuaranteed", "WB-species-dilution-info": "", "WB-species-notes": "<p></p>", "IHCP-species-checked": "testedAndGuaranteed", "IHCP-species-dilution-info": "", "IHCP-species-notes": "<p></p>", "ICCIF-species-checked": "notRecommended", "ICCIF-species-dilution-info": "", "ICCIF-species-notes": "<p></p>", "FlowCyt-species-checked": "notRecommended", "FlowCyt-species-dilution-info": "", "FlowCyt-species-notes": "<p></p>", "IP-species-checked": "notRecommended", "IP-species-dilution-info": "", "IP-species-notes": "<p></p>" }, "Mouse": { "WB-species-checked": "notRecommended", "WB-species-dilution-info": "", "WB-species-notes": "<p></p>", "IHCP-species-checked": "notRecommended", "IHCP-species-dilution-info": "", "IHCP-species-notes": "<p></p>", "ICCIF-species-checked": "notRecommended", "ICCIF-species-dilution-info": "", "ICCIF-species-notes": "", "FlowCyt-species-checked": "notRecommended", "FlowCyt-species-dilution-info": "", "FlowCyt-species-notes": "", "IP-species-checked": "notRecommended", "IP-species-dilution-info": "", "IP-species-notes": "" }, "Rat": { "WB-species-checked": "notRecommended", "WB-species-dilution-info": "", "WB-species-notes": "<p></p>", "IHCP-species-checked": "notRecommended", "IHCP-species-dilution-info": "", "IHCP-species-notes": "<p></p>", "ICCIF-species-checked": "notRecommended", "ICCIF-species-dilution-info": "", "ICCIF-species-notes": "", "FlowCyt-species-checked": "notRecommended", "FlowCyt-species-dilution-info": "", "FlowCyt-species-notes": "", "IP-species-checked": "notRecommended", "IP-species-dilution-info": "", "IP-species-notes": "" }, "Transfected cell line": { "WB-species-checked": "notRecommended", "WB-species-dilution-info": "", "WB-species-notes": "", "IHCP-species-checked": "testedAndGuaranteed", "IHCP-species-dilution-info": "", "IHCP-species-notes": "<p></p>", "ICCIF-species-checked": "notRecommended", "ICCIF-species-dilution-info": "", "ICCIF-species-notes": "", "FlowCyt-species-checked": "notRecommended", "FlowCyt-species-dilution-info": "", "FlowCyt-species-notes": "", "IP-species-checked": "notRecommended", "IP-species-dilution-info": "", "IP-species-notes": "" } } }

Product details

ab314495 is the carrier-free version of ab314494.

Patented technology
Our RabMAb® technology is a patented hybridoma-based technology for making rabbit monoclonal antibodies. For details on our patents, please refer to RabMAb® patents.

What are the advantages of a recombinant monoclonal antibody?
This product is a recombinant monoclonal antibody, which offers several advantages including:

  • - High batch-to-batch consistency and reproducibility
  • - Improved sensitivity and specificity
  • - Long-term security of supply
  • - Animal-free batch production

For more information, read more on recombinant antibodies.

Conjugation ready
Our carrier-free antibodies are typically supplied in a PBS-only formulation, purified and free of BSA, sodium azide and glycerol. This conjugation-ready format is designed for use with fluorochromes, metal isotopes, oligonucleotides, and enzymes, which makes them ideal for antibody labelling, functional and cell-based assays, flow-based assays (e.g. mass cytometry) and Multiplex Imaging applications.

Use our conjugation kits for antibody conjugates that are ready-to-use in as little as 20 minutes with 1 minute hands-on-time and 100% antibody recovery: available for fluorescent dyes, HRP, biotin and gold.

Compatibility
This product is compatible with the Maxpar® Antibody Labeling Kit from Fluidigm, without the need for antibody preparation. Maxpar® is a trademark of Fluidigm Canada Inc.

Properties and storage information

Form
Liquid
Purification technique
Affinity purification Protein A
Storage buffer
pH: 7.2 - 7.4 Constituents: PBS
Shipped at conditions
Blue Ice
Appropriate short-term storage conditions
+4°C
Appropriate long-term storage conditions
+4°C

Product protocols

For this product, it's our understanding that no specific protocols are required. You can visit:

Target data

Receptor for four distinct ligands : The TNF superfamily members TNFSF14/LIGHT and homotrimeric LTA/lymphotoxin-alpha and the immunoglobulin superfamily members BTLA and CD160, altogether defining a complex stimulatory and inhibitory signaling network (PubMed : 10754304, PubMed : 18193050, PubMed : 23761635, PubMed : 9462508). Signals via the TRAF2-TRAF3 E3 ligase pathway to promote immune cell survival and differentiation (PubMed : 19915044, PubMed : 9153189, PubMed : 9162022). Participates in bidirectional cell-cell contact signaling between antigen presenting cells and lymphocytes. In response to ligation of TNFSF14/LIGHT, delivers costimulatory signals to T cells, promoting cell proliferation and effector functions (PubMed : 10754304). Interacts with CD160 on NK cells, enhancing IFNG production and anti-tumor immune response (PubMed : 23761635). In the context of bacterial infection, acts as a signaling receptor on epithelial cells for CD160 from intraepithelial lymphocytes, triggering the production of antimicrobial proteins and pro-inflammatory cytokines (By similarity). Upon binding to CD160 on activated CD4+ T cells, down-regulates CD28 costimulatory signaling, restricting memory and alloantigen-specific immune response (PubMed : 18193050). May interact in cis (on the same cell) or in trans (on other cells) with BTLA (By similarity) (PubMed : 19915044). In cis interactions, appears to play an immune regulatory role inhibiting in trans interactions in naive T cells to maintain a resting state. In trans interactions, can predominate during adaptive immune response to provide survival signals to effector T cells (By similarity) (PubMed : 19915044).. (Microbial infection) Acts as a receptor for Herpes simplex virus 1/HHV-1.. (Microbial infection) Acts as a receptor for Herpes simplex virus 2/HHV-2.
See full target information TNFRSF14

Product promise

We are committed to supporting your work with high-quality reagents, and we're here for you every step of the way. In the unlikely event that one of our products does not perform as expected, you're protected by our Product Promise.
For full details, please see our Terms & Conditions

Please note: All products are 'FOR RESEARCH USE ONLY. NOT FOR USE IN DIAGNOSTIC OR THERAPEUTIC PROCEDURES'.

For licensing inquiries, please contact partnerships@abcam.com