JavaScript is disabled in your browser. Please enable JavaScript to view this website.
AB268270

Anti-TNFSF5 antibody [CD40LG/2763] - BSA and Azide free

Be the first to review this product! Submit a review

|

(1 Publication)

Mouse Monoclonal TRAP/CD40L antibody. Carrier free. Suitable for Flow Cyt, Protein Array, ICC/IF, IHC-P and reacts with Human, Recombinant full length protein - Human samples. Cited in 1 publication. Immunogen corresponding to Recombinant Fragment Protein within Human CD40LG aa 100 to C-terminus.

View Alternative Names

CD154, CD40L, TNFSF5, TRAP, CD40LG, CD40 ligand, CD40-L, T-cell antigen Gp39, TNF-related activation protein, Tumor necrosis factor ligand superfamily member 5

5 Images
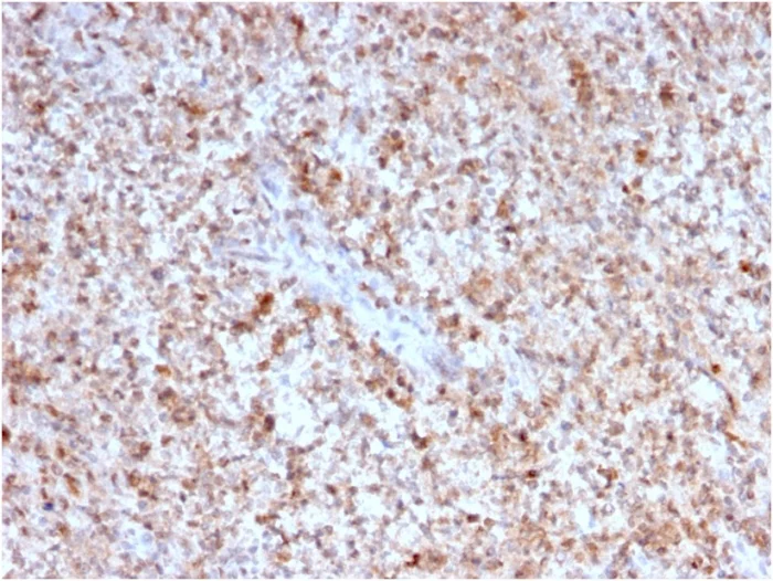
Immunohistochemistry (Formalin/PFA-fixed paraffin-embedded sections) - Anti-TNFSF5 antibody [CD40LG/2763] - BSA and Azide free (AB268270)
  • IHC-P

Unknown

Immunohistochemistry (Formalin/PFA-fixed paraffin-embedded sections) - Anti-TNFSF5 antibody [CD40LG/2763] - BSA and Azide free (AB268270)

Formalin-fixed, paraffin-embedded human spleen tissue stained for TNFSF5 using ab268146 at 2 μg/ml in immunohistochemical analysis.

This data was developed using the same antibody clone in a different buffer formulation containing PBS, BSA and Sodium azide (ab268146)

Flow Cytometry - Anti-TNFSF5 antibody [CD40LG/2763] - BSA and Azide free (AB268270)
  • Flow Cyt

Unknown

Flow Cytometry - Anti-TNFSF5 antibody [CD40LG/2763] - BSA and Azide free (AB268270)

Flow cytometric analysis of Jurkat (Human T cell leukemia cell line from peripheral blood) cells labeling TNFSF5 using ab268146 at 2 μg/million cells followed by goat anti-Mouse IgG-CF488 (Blue); Isotype Control (Red).

This data was developed using the same antibody clone in a different buffer formulation containing PBS, BSA and Sodium azide (ab268146)

Immunocytochemistry/ Immunofluorescence - Anti-TNFSF5 antibody [CD40LG/2763] - BSA and Azide free (AB268270)
  • ICC/IF

Unknown

Immunocytochemistry/ Immunofluorescence - Anti-TNFSF5 antibody [CD40LG/2763] - BSA and Azide free (AB268270)

Immunofluorescence staining of Jurkat (Human T cell leukemia cell line from peripheral blood) cells stained for TNFSF5 with ab268146 at 2 μg/ml followed by goat anti-Mouse IgG conjugated to CF488 (green). Nuclei are stained with Reddot.

This data was developed using the same antibody clone in a different buffer formulation containing PBS, BSA and Sodium azide (ab268146)

Immunohistochemistry (Formalin/PFA-fixed paraffin-embedded sections) - Anti-TNFSF5 antibody [CD40LG/2763] - BSA and Azide free (AB268270)
  • IHC-P

Unknown

Immunohistochemistry (Formalin/PFA-fixed paraffin-embedded sections) - Anti-TNFSF5 antibody [CD40LG/2763] - BSA and Azide free (AB268270)

Formalin-fixed, paraffin-embedded human spleen tissue stained for TNFSF5 using ab268146 at 2 μg/ml in immunohistochemical analysis.

This data was developed using the same antibody clone in a different buffer formulation containing PBS, BSA and Sodium azide (ab268146)

Protein Array - Anti-TNFSF5 antibody [CD40LG/2763] - BSA and Azide free (AB268270)
  • Protein Array

Unknown

Protein Array - Anti-TNFSF5 antibody [CD40LG/2763] - BSA and Azide free (AB268270)

Protein Array containing more than 19,000 full-length human proteins using ab268146.

Z- and S- Score : The Z-score represents the strength of a signal that a monoclonal antibody (MAb) (in combination with a fluorescently-tagged anti-IgG secondary antibody) produces when binding to a particular protein on the HuProtTM array. Z-scores are described in units of standard deviations (SD's) above the mean value of all signals generated on that array. If targets on HuProtTM are arranged in descending order of the Z-score, the S-score is the difference (also in units of SD's) between the Z-score. S-score therefore represents the relative target specificity of a MAb to its intended target. A MAb is considered to specific to its intended target, if the MAb has an S-score of at least 2.5. For example, if a MAb binds to protein X with a Z-score of 43 and to protein Y with a Z-score of 14, then the S-score for the binding of that MAb to protein X is equal to 29.

This data was developed using the same antibody clone in a different buffer formulation containing PBS, BSA and Sodium azide (ab268146)

Key facts

Host species

Mouse

Clonality

Monoclonal

Clone number

CD40LG/2763

Isotype

IgG1

Light chain type

kappa

Carrier free

Yes

Reacts with

Human

Applications

Protein Array, ICC/IF, Flow Cyt, IHC-P

applications

Immunogen

Recombinant Fragment Protein within Human CD40LG aa 100 to C-terminus. The exact immunogen used to generate this antibody is proprietary information.

P29965

Reactivity data

{ "title": "Reactivity Data", "filters": { "stats": ["", "Species", "Dilution Info", "Notes"], "tabs": { "all-applications": {"fullname" : "All Applications", "shortname": "All Applications"}, "FlowCyt" : {"fullname" : "Flow Cytometry", "shortname":"Flow Cyt"}, "ProteinArray" : {"fullname" : "Protein Array", "shortname":"Protein Array"}, "ICCIF" : {"fullname" : "Immunocytochemistry/ Immunofluorescence", "shortname":"ICC/IF"}, "IHCP" : {"fullname" : "Immunohistochemistry (Formalin/PFA-fixed paraffin-embedded sections)", "shortname":"IHC-P"} }, "product-promise": { "all": "all", "testedAndGuaranteed": "tested", "guaranteed": "expected", "predicted": "predicted", "notRecommended": "not-recommended" } }, "values": { "Human": { "FlowCyt-species-checked": "testedAndGuaranteed", "FlowCyt-species-dilution-info": "1-2 µg for 10^6 Cells", "FlowCyt-species-notes": "<p></p>", "ProteinArray-species-checked": "guaranteed", "ProteinArray-species-dilution-info": "", "ProteinArray-species-notes": "", "ICCIF-species-checked": "testedAndGuaranteed", "ICCIF-species-dilution-info": "1-2 µg/mL", "ICCIF-species-notes": "<p></p>", "IHCP-species-checked": "testedAndGuaranteed", "IHCP-species-dilution-info": "1-2 µg/mL", "IHCP-species-notes": "<p></p> Perform heat-mediated antigen retrieval with Tris/EDTA buffer pH 9.0 before commencing with IHC staining protocol." }, "Recombinant full length protein - Human": { "FlowCyt-species-checked": "notRecommended", "FlowCyt-species-dilution-info": "", "FlowCyt-species-notes": "", "ProteinArray-species-checked": "testedAndGuaranteed", "ProteinArray-species-dilution-info": "", "ProteinArray-species-notes": "<p></p>", "ICCIF-species-checked": "notRecommended", "ICCIF-species-dilution-info": "", "ICCIF-species-notes": "", "IHCP-species-checked": "notRecommended", "IHCP-species-dilution-info": "", "IHCP-species-notes": "" } } }

Properties and storage information

Form
Liquid
Purification technique
Affinity purification Protein A/G
Purification notes
Purified from bioreactor concentrate.
Storage buffer
pH: 7.2 - 7.4 Constituents: PBS
Shipped at conditions
Blue Ice
Appropriate short-term storage duration
1-2 weeks
Appropriate short-term storage conditions
+4°C
Appropriate long-term storage conditions
-20°C
Aliquoting information
Upon delivery aliquot
Storage information
Avoid freeze / thaw cycle

Product protocols

For this product, it's our understanding that no specific protocols are required. You can visit:

Target data

Cytokine that acts as a ligand to CD40/TNFRSF5 (PubMed : 1280226, PubMed : 31331973). Costimulates T-cell proliferation and cytokine production (PubMed : 8617933). Its cross-linking on T-cells generates a costimulatory signal which enhances the production of IL4 and IL10 in conjunction with the TCR/CD3 ligation and CD28 costimulation (PubMed : 8617933). Induces the activation of NF-kappa-B (PubMed : 15067037, PubMed : 31331973). Induces the activation of kinases MAPK8 and PAK2 in T-cells (PubMed : 15067037). Induces tyrosine phosphorylation of isoform 3 of CD28 (PubMed : 15067037). Mediates B-cell proliferation in the absence of co-stimulus as well as IgE production in the presence of IL4 (By similarity). Involved in immunoglobulin class switching (By similarity).. CD40 ligand, soluble form. Acts as a ligand for integrins, specifically ITGA5 : ITGB1 and ITGAV : ITGB3; both integrins and the CD40 receptor are required for activation of CD40-CD40LG signaling, which have cell-type dependent effects, such as B-cell activation, NF-kappa-B signaling and anti-apoptotic signaling.
See full target information CD40LG

Publications (1)

Recent publications for all applications. Explore the full list and refine your search

Frontiers in immunology 12:778329 PubMed34975867

2021

Colorectal Cancer-Associated Immune Exhaustion Involves T and B Lymphocytes and Conventional NK Cells and Correlates With a Shorter Overall Survival.

Applications

Unspecified application

Species

Unspecified reactive species

Carlo Sorrentino,Luigi D'Antonio,Cristiano Fieni,Stefania Livia Ciummo,Emma Di Carlo
View all publications

Product promise

We are committed to supporting your work with high-quality reagents, and we're here for you every step of the way. In the unlikely event that one of our products does not perform as expected, you're protected by our Product Promise.
For full details, please see our Terms & Conditions

Please note: All products are 'FOR RESEARCH USE ONLY. NOT FOR USE IN DIAGNOSTIC OR THERAPEUTIC PROCEDURES'.

For licensing inquiries, please contact partnerships@abcam.com