JavaScript is disabled in your browser. Please enable JavaScript to view this website.
AB224252

Anti-TNIK antibody

Be the first to review this product! Submit a review

|

(3 Publications)

Rabbit Polyclonal TNIK antibody. Suitable for IHC-P, ICC/IF and reacts with Human samples. Cited in 3 publications. Immunogen corresponding to Recombinant Fragment Protein within Human TNIK aa 600-750.

View Alternative Names

KIAA0551, TNIK, TRAF2 and NCK-interacting protein kinase

2 Images
Immunocytochemistry/ Immunofluorescence - Anti-TNIK antibody (AB224252)
  • ICC/IF

Supplier Data

Immunocytochemistry/ Immunofluorescence - Anti-TNIK antibody (AB224252)

PFA-fixed, Triton X-100 permeabilized U-2 OS (human bone osteosarcoma epithelial cell line) cells stained for TNIK (green) using ab224252 at 4 μg/ml in ICC/IF.

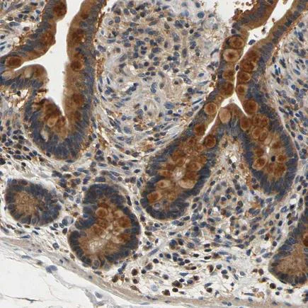
Immunohistochemistry (Formalin/PFA-fixed paraffin-embedded sections) - Anti-TNIK antibody (AB224252)
  • IHC-P

Supplier Data

Immunohistochemistry (Formalin/PFA-fixed paraffin-embedded sections) - Anti-TNIK antibody (AB224252)

Paraffin-embedded human colon tissue stained for TNIK using ab224252 at 1/50 dilution in immunohistochemical analysis.

Key facts

Host species

Rabbit

Clonality

Polyclonal

Isotype

IgG

Carrier free

No

Reacts with

Human

Applications

ICC/IF, IHC-P

applications

Immunogen

Recombinant Fragment Protein within Human TNIK aa 600-750. The exact immunogen used to generate this antibody is proprietary information.

Q9UKE5

Reactivity data

{ "title": "Reactivity Data", "filters": { "stats": ["", "Species", "Dilution Info", "Notes"], "tabs": { "all-applications": {"fullname" : "All Applications", "shortname": "All Applications"}, "IHCP" : {"fullname" : "Immunohistochemistry (Formalin/PFA-fixed paraffin-embedded sections)", "shortname":"IHC-P"}, "ICCIF" : {"fullname" : "Immunocytochemistry/ Immunofluorescence", "shortname":"ICC/IF"} }, "product-promise": { "all": "all", "testedAndGuaranteed": "tested", "guaranteed": "expected", "predicted": "predicted", "notRecommended": "not-recommended" } }, "values": { "Human": { "IHCP-species-checked": "testedAndGuaranteed", "IHCP-species-dilution-info": "1/50 - 1/200", "IHCP-species-notes": "<p></p> Perform heat-mediated antigen retrieval with citrate buffer pH 6 before commencing with IHC staining protocol.", "ICCIF-species-checked": "testedAndGuaranteed", "ICCIF-species-dilution-info": "0.25-2 µg/mL", "ICCIF-species-notes": "<p>Fixation/Permeabilization: PFA/Triton X-100.</p>" }, "Mouse": { "IHCP-species-checked": "predicted", "IHCP-species-dilution-info": "", "IHCP-species-notes": "", "ICCIF-species-checked": "predicted", "ICCIF-species-dilution-info": "", "ICCIF-species-notes": "" } } }

Properties and storage information

Form
Liquid
Purification technique
Affinity purification Immunogen
Storage buffer
pH: 7.2 Preservative: 0.02% Sodium azide Constituents: PBS, 40% Glycerol (glycerin, glycerine)
Shipped at conditions
Blue Ice
Appropriate short-term storage duration
1-2 weeks
Appropriate short-term storage conditions
+4°C
Appropriate long-term storage conditions
-20°C
Aliquoting information
Upon delivery aliquot
Storage information
Avoid freeze / thaw cycle

Product protocols

For this product, it's our understanding that no specific protocols are required. You can visit:

Target data

Serine/threonine kinase that acts as an essential activator of the Wnt signaling pathway. Recruited to promoters of Wnt target genes and required to activate their expression. May act by phosphorylating TCF4/TCF7L2. Appears to act upstream of the JUN N-terminal pathway. May play a role in the response to environmental stress. Part of a signaling complex composed of NEDD4, RAP2A and TNIK which regulates neuronal dendrite extension and arborization during development. More generally, it may play a role in cytoskeletal rearrangements and regulate cell spreading. Phosphorylates SMAD1 on Thr-322. Activator of the Hippo signaling pathway which plays a pivotal role in organ size control and tumor suppression by restricting proliferation and promoting apoptosis. MAP4Ks act in parallel to and are partially redundant with STK3/MST2 and STK4/MST2 in the phosphorylation and activation of LATS1/2, and establish MAP4Ks as components of the expanded Hippo pathway (PubMed : 26437443).
See full target information TNIK

Publications (3)

Recent publications for all applications. Explore the full list and refine your search

Nutrients 16: PubMed38257179

2024

Sucrose-Enriched and Carbohydrate-Free High-Fat Diets Distinctly Affect Substrate Metabolism in Oxidative and Glycolytic Muscles of Rats.

Applications

Unspecified application

Species

Unspecified reactive species

Daniel Da Eira,Shailee Jani,Mateja Stefanovic,Rolando B Ceddia

Nature communications 14:6446 PubMed37833281

2023

Rewiring of the promoter-enhancer interactome and regulatory landscape in glioblastoma orchestrates gene expression underlying neurogliomal synaptic communication.

Applications

Unspecified application

Species

Unspecified reactive species

Chaitali Chakraborty,Itzel Nissen,Craig A Vincent,Anna-Carin Hägglund,Andreas Hörnblad,Silvia Remeseiro

Oncology letters 26:310 PubMed37332335

2023

Expression analysis of TRAF2‑ and NCK‑interacting protein kinase (TNIK) and phosphorylated TNIK in papillary thyroid carcinoma.

Applications

Unspecified application

Species

Unspecified reactive species

Jiali Li,Lili Lan,Yuru Xu,Shenghui Liu,Meng Liu,Guobin Hu,Ganxun Wu,Yan Zhao,Jian Shi,Jingtian Wang,Yixin Sun,Zhanlong Wang,Ruili Zhao
View all publications

Product promise

We are committed to supporting your work with high-quality reagents, and we're here for you every step of the way. In the unlikely event that one of our products does not perform as expected, you're protected by our Product Promise.
For full details, please see our Terms & Conditions

Please note: All products are 'FOR RESEARCH USE ONLY. NOT FOR USE IN DIAGNOSTIC OR THERAPEUTIC PROCEDURES'.

For licensing inquiries, please contact partnerships@abcam.com