JavaScript is disabled in your browser. Please enable JavaScript to view this website.
AB203515

Anti-TNNI1 antibody [EPR17120-11]

Be the first to review this product! Submit a review

|

(3 Publications)

Rabbit Recombinant Monoclonal TNNI1 antibody. Suitable for IP, WB, IHC-P and reacts with Human samples. Cited in 3 publications.

View Alternative Names

TNNI1

5 Images
Immunohistochemistry (Formalin/PFA-fixed paraffin-embedded sections) - Anti-TNNI1 antibody [EPR17120-11] (AB203515)
  • IHC-P

Supplier Data

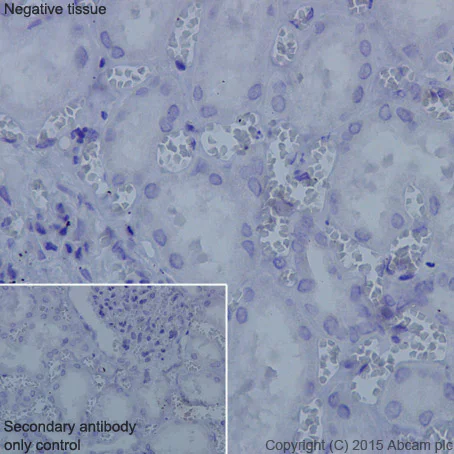
Immunohistochemistry (Formalin/PFA-fixed paraffin-embedded sections) - Anti-TNNI1 antibody [EPR17120-11] (AB203515)

Immunohistochemical analysis of paraffin-embedded Human kidney tissue labeling TNNI1 with ab203515 at 1/100 dilution followed by Goat Anti-Rabbit IgG H&L (HRP) (ab97051) secondary antibody at 1/500 dilution. No staining on Human kidney tissue is observed. Counter stained with Hematoxylin.

Secondary antibody only control : Used PBS instead of primary antibody secondary antibody is Goat Anti-Rabbit IgG H&L (HRP) (ab97051) at 1/500 dilution.

Perform heat mediated antigen retrieval with Tris/EDTA buffer pH 9.0 before commencing with IHC staining protocol.

Immunohistochemistry (Formalin/PFA-fixed paraffin-embedded sections) - Anti-TNNI1 antibody [EPR17120-11] (AB203515)
  • IHC-P

Supplier Data

Immunohistochemistry (Formalin/PFA-fixed paraffin-embedded sections) - Anti-TNNI1 antibody [EPR17120-11] (AB203515)

Immunohistochemical analysis of paraffin-embedded Human skeletal muscle tissue labeling TNNI1 with ab203515 at 1/100 dilution followed by Goat Anti-Rabbit IgG H&L (HRP) (ab97051) secondary antibody at 1/500 dilution. Cytoplasmic staining on striated Human skeletal muscle tissue is observed. Counter stained with Hematoxylin.

Secondary antibody only control : Used PBS instead of primary antibody secondary antibody is Goat Anti-Rabbit IgG H&L (HRP) (ab97051) at 1/500 dilution.

Perform heat mediated antigen retrieval with Tris/EDTA buffer pH 9.0 before commencing with IHC staining protocol.

Immunoprecipitation - Anti-TNNI1 antibody [EPR17120-11] (AB203515)
  • IP

Supplier Data

Immunoprecipitation - Anti-TNNI1 antibody [EPR17120-11] (AB203515)

TNNI1 was immunoprecipitated from 1mg of Human fetal heart whole cell lysate with ab203515 at 1/40 dilution. Western blot was performed from the immunoprecipitate using ab203515 at 1/1000 dilution. Anti-Rabbit IgG (HRP), specific to the non-reduced form of IgG, was used as secondary antibody at 1/1500 dilution.

Lane 1 : Human fetal heart whole cell lysate 10 μg (Input). Lane 2 : ab203515 IP in Human fetal heart whole cell lysate. Lane 3 : Rabbit monoclonal IgG (ab172730) instead of ab203515 in Human fetal heart whole cell lysate.
Blocking and dilution buffer and concentration : 5% NFDM/TBST.

Exposure time : 1 second.

All lanes:

Immunoprecipitation - Anti-TNNI1 antibody [EPR17120-11] (ab203515)

Predicted band size: 22 kDa

false

Western blot - Anti-TNNI1 antibody [EPR17120-11] (AB203515)
  • WB

Supplier Data

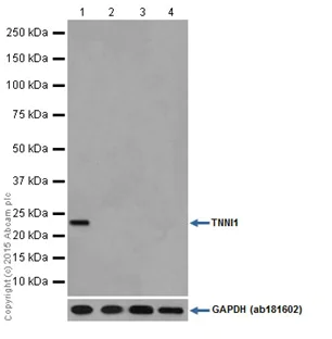
Western blot - Anti-TNNI1 antibody [EPR17120-11] (AB203515)

Blocking/Dilution buffer : 5% NFDM/TBST.

TNNI1 is abundantly expressed in the human skeletal muscle and heart.

All lanes:

Western blot - Anti-TNNI1 antibody [EPR17120-11] (ab203515) at 1/2000 dilution

Lane 1:

Human fetal heart tissue lysate at 10 µg

Lane 2:

Human fetal kidney tissue lysate at 10 µg

Lane 3:

U-87 MG (Human glioblastoma-astrocytoma epithelial cell line) cell lysate at 10 µg

Lane 4:

HepG2 (Human liver hepatocellular carcinoma) cell lysate at 10 µg

Secondary

All lanes:

Anti-Rabbit IgG (HRP), specific to the non-reduced form of IgG at 1/50000 dilution

Predicted band size: 22 kDa

Observed band size: 22 kDa

false

Exposure time: 5s

Western blot - Anti-TNNI1 antibody [EPR17120-11] (AB203515)
  • WB

Supplier Data

Western blot - Anti-TNNI1 antibody [EPR17120-11] (AB203515)

Blocking/Dilution buffer : 5% NFDM/TBST.

TNNI1 is abundantly expressed in the human skeletal muscle and heart.

All lanes:

Western blot - Anti-TNNI1 antibody [EPR17120-11] (ab203515) at 1/2000 dilution

All lanes:

Human skeletal muscle tissue lysate at 10 µg

Secondary

All lanes:

Anti-Rabbit IgG (HRP), specific to the non-reduced form of IgG at 1/50000 dilution

Predicted band size: 22 kDa

Observed band size: 22 kDa

false

Exposure time: 5s

  • Carrier free

    Anti-TNNI1 antibody [EPR17120-11] - BSA and Azide free

Key facts

Host species

Rabbit

Clonality

Monoclonal

Clone number

EPR17120-11

Isotype

IgG

Carrier free

No

Reacts with

Human

Applications

IP, WB, IHC-P

applications

Immunogen

The exact immunogen used to generate this antibody is proprietary information.

Reactivity data

{ "title": "Reactivity Data", "filters": { "stats": ["", "Species", "Dilution Info", "Notes"], "tabs": { "all-applications": {"fullname" : "All Applications", "shortname": "All Applications"}, "IP" : {"fullname" : "Immunoprecipitation", "shortname":"IP"}, "WB" : {"fullname" : "Western blot", "shortname":"WB"}, "IHCP" : {"fullname" : "Immunohistochemistry (Formalin/PFA-fixed paraffin-embedded sections)", "shortname":"IHC-P"} }, "product-promise": { "all": "all", "testedAndGuaranteed": "tested", "guaranteed": "expected", "predicted": "predicted", "notRecommended": "not-recommended" } }, "values": { "Human": { "IP-species-checked": "testedAndGuaranteed", "IP-species-dilution-info": "1/50", "IP-species-notes": "<p></p>", "WB-species-checked": "testedAndGuaranteed", "WB-species-dilution-info": "1/2000", "WB-species-notes": "<p></p>", "IHCP-species-checked": "testedAndGuaranteed", "IHCP-species-dilution-info": "1/100", "IHCP-species-notes": "<p></p>" } } }

Product details

Patented technology
Our RabMAb® technology is a patented hybridoma-based technology for making rabbit monoclonal antibodies. For details on our patents, please refer to RabMAb® patents.

What are the advantages of a recombinant monoclonal antibody?
This product is a recombinant monoclonal antibody, which offers several advantages including:

  • - High batch-to-batch consistency and reproducibility
  • - Improved sensitivity and specificity
  • - Long-term security of supply
  • - Animal-free batch production

For more information, read more on recombinant antibodies.

Properties and storage information

Form
Liquid
Purification technique
Affinity purification Protein A
Storage buffer
pH: 7.2 - 7.4 Preservative: 0.01% Sodium azide Constituents: PBS, 40% Glycerol (glycerin, glycerine), 0.05% BSA
Shipped at conditions
Blue Ice
Appropriate short-term storage duration
1-2 weeks
Appropriate short-term storage conditions
+4°C
Appropriate long-term storage conditions
-20°C
Aliquoting information
Upon delivery aliquot
Storage information
Avoid freeze / thaw cycle

Product protocols

For this product, it's our understanding that no specific protocols are required. You can visit:

Target data

Troponin I is the inhibitory subunit of troponin, the thin filament regulatory complex which confers calcium-sensitivity to striated muscle actomyosin ATPase activity.
See full target information TNNI1

Publications (3)

Recent publications for all applications. Explore the full list and refine your search

Nature communications 16:8291 PubMed40957896

2025

Transcriptional dynamics of the oligodendrocyte lineage and its regulation by the brain erythropoietin system.

Applications

Unspecified application

Species

Unspecified reactive species

Liu Ye,Vinicius Daguano Gastaldi,Yasmina Curto,Anne-Fleur Wildenburg,Xuan Yu,Martin Hindermann,Simone Eggert,Anja Ronnenberg,Qing Wang,Umer Javed Butt,Riki Kawaguchi,Daniel Geschwind,Wiebke Möbius,Susann Boretius,Manvendra Singh,Klaus-Armin Nave,Hannelore Ehrenreich

Development, growth & differentiation 66:119-132 PubMed38193576

2024

Gene correction and overexpression of TNNI3 improve impaired relaxation in engineered heart tissue model of pediatric restrictive cardiomyopathy.

Applications

Unspecified application

Species

Unspecified reactive species

Moyu Hasegawa,Kenji Miki,Takuji Kawamura,Ikue Takei Sasozaki,Yuki Higashiyama,Masaru Tsuchida,Kunio Kashino,Masaki Taira,Emiko Ito,Maki Takeda,Hidekazu Ishida,Shuichiro Higo,Yasushi Sakata,Shigeru Miyagawa

NPJ Regenerative medicine 7:14 PubMed35110584

2022

CDH18 is a fetal epicardial biomarker regulating differentiation towards vascular smooth muscle cells.

Applications

Unspecified application

Species

Unspecified reactive species

Julia Junghof,Yuta Kogure,Tian Yu,Eva María Verdugo-Sivianes,Megumi Narita,Antonio Lucena-Cacace,Yoshinori Yoshida
View all publications

Product promise

We are committed to supporting your work with high-quality reagents, and we're here for you every step of the way. In the unlikely event that one of our products does not perform as expected, you're protected by our Product Promise.
For full details, please see our Terms & Conditions

Please note: All products are 'FOR RESEARCH USE ONLY. NOT FOR USE IN DIAGNOSTIC OR THERAPEUTIC PROCEDURES'.

For licensing inquiries, please contact partnerships@abcam.com