JavaScript is disabled in your browser. Please enable JavaScript to view this website.
AB111140

Anti-TNNI3K antibody

Be the first to review this product! Submit a review

|

(2 Publications)

Rabbit Polyclonal TNNI3K antibody. Suitable for IHC-P and reacts with Human samples. Cited in 2 publications. Immunogen corresponding to Synthetic Peptide within Human TNNI3K.

View Alternative Names

CARK, TNNI3K, Serine/threonine-protein kinase TNNI3K, Cardiac ankyrin repeat kinase, Cardiac troponin I-interacting kinase, TNNI3-interacting kinase

1 Images
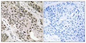
Immunohistochemistry (Formalin/PFA-fixed paraffin-embedded sections) - Anti-TNNI3K antibody (AB111140)
  • IHC-P

Unknown

Immunohistochemistry (Formalin/PFA-fixed paraffin-embedded sections) - Anti-TNNI3K antibody (AB111140)

ab111140, at a 1/50 dilution, staining TNNI3K in paraffin embedded Human lung carcinoma tissue by Immunohistochemistry. Image on the right was from tissue treated with the synthetic peptide.

Key facts

Host species

Rabbit

Clonality

Polyclonal

Isotype

IgG

Carrier free

No

Reacts with

Human

Applications

IHC-P

applications

Immunogen

Synthetic Peptide within Human TNNI3K. The exact immunogen used to generate this antibody is proprietary information.

Q59H18

Reactivity data

{ "title": "Reactivity Data", "filters": { "stats": ["", "Species", "Dilution Info", "Notes"], "tabs": { "all-applications": {"fullname" : "All Applications", "shortname": "All Applications"}, "IHCP" : {"fullname" : "Immunohistochemistry (Formalin/PFA-fixed paraffin-embedded sections)", "shortname":"IHC-P"} }, "product-promise": { "all": "all", "testedAndGuaranteed": "tested", "guaranteed": "expected", "predicted": "predicted", "notRecommended": "not-recommended" } }, "values": { "Human": { "IHCP-species-checked": "testedAndGuaranteed", "IHCP-species-dilution-info": "1/50 - 1/100", "IHCP-species-notes": "<p></p> Perform heat-mediated antigen retrieval with citrate buffer pH 6 before commencing with IHC staining protocol." }, "Rat": { "IHCP-species-checked": "predicted", "IHCP-species-dilution-info": "", "IHCP-species-notes": "" } } }

Properties and storage information

Form
Liquid
Purification technique
Affinity purification Immunogen
Purification notes
ab111140 was affinity purified from rabbit antiserum by affinity chromatography using epitope specific immunogen.
Storage buffer
pH: 7.4 Preservative: 0.02% Sodium azide Constituents: PBS, 50% Glycerol (glycerin, glycerine), 0.88% Sodium chloride
Shipped at conditions
Blue Ice
Appropriate short-term storage conditions
+4°C
Appropriate long-term storage conditions
-20°C
Storage information
Stable for 12 months at -20°C

Product protocols

For this product, it's our understanding that no specific protocols are required. You can visit:

Target data

May play a role in cardiac physiology.
See full target information TNNI3K

Publications (2)

Recent publications for all applications. Explore the full list and refine your search

Nature genetics 49:1346-1353 PubMed28783163

2017

Frequency of mononuclear diploid cardiomyocytes underlies natural variation in heart regeneration.

Applications

Unspecified application

Species

Unspecified reactive species

Michaela Patterson,Lindsey Barske,Ben Van Handel,Christoph D Rau,Peiheng Gan,Avneesh Sharma,Shan Parikh,Matt Denholtz,Ying Huang,Yukiko Yamaguchi,Hua Shen,Hooman Allayee,J Gage Crump,Thomas I Force,Ching-Ling Lien,Takako Makita,Aldons J Lusis,S Ram Kumar,Henry M Sucov

Human molecular genetics 23:5793-804 PubMed24925317

2014

TNNI3K mutation in familial syndrome of conduction system disease, atrial tachyarrhythmia and dilated cardiomyopathy.

Applications

WB

Species

Mouse

Jeanne L Theis,Michael T Zimmermann,Brandon T Larsen,Inna N Rybakova,Pamela A Long,Jared M Evans,Sumit Middha,Mariza de Andrade,Richard L Moss,Eric D Wieben,Virginia V Michels,Timothy M Olson
View all publications

Product promise

We are committed to supporting your work with high-quality reagents, and we're here for you every step of the way. In the unlikely event that one of our products does not perform as expected, you're protected by our Product Promise.
For full details, please see our Terms & Conditions

Please note: All products are 'FOR RESEARCH USE ONLY. NOT FOR USE IN DIAGNOSTIC OR THERAPEUTIC PROCEDURES'.

For licensing inquiries, please contact partnerships@abcam.com