JavaScript is disabled in your browser. Please enable JavaScript to view this website.
AB236863

Anti-TOM1 antibody

Be the first to review this product! Submit a review

|

(0 Publication)

Rabbit Polyclonal TOM1 antibody. Suitable for WB, IHC-P, ICC/IF and reacts with Mouse, Human samples. Immunogen corresponding to Recombinant Fragment Protein within Human Target of Myb protein 1 aa 300 to C-terminus.

View Alternative Names

Target of Myb1 membrane trafficking protein, Target of Myb protein 1, TOM1

3 Images
Immunocytochemistry/ Immunofluorescence - Anti-TOM1 antibody (AB236863)
  • ICC/IF

Supplier Data

Immunocytochemistry/ Immunofluorescence - Anti-TOM1 antibody (AB236863)

HepG2 (human liver hepatocellular carcinoma cell line) cells labeling TOM1 using ab236863 at 1/100 dilution in ICC/IF. Secondary antibody was Alexa Fluor® 488-conjugated goat anti-rabbit IgG (H+L).

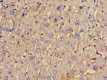
Immunohistochemistry (Formalin/PFA-fixed paraffin-embedded sections) - Anti-TOM1 antibody (AB236863)
  • IHC-P

Supplier Data

Immunohistochemistry (Formalin/PFA-fixed paraffin-embedded sections) - Anti-TOM1 antibody (AB236863)

Paraffin-embedded human liver tissue stained for TOM1 using ab236863 at 1/100 dilution in immunohistochemical analysis.

Western blot - Anti-TOM1 antibody (AB236863)
  • WB

Supplier Data

Western blot - Anti-TOM1 antibody (AB236863)

All lanes:

Western blot - Anti-TOM1 antibody (ab236863) at 1/500 dilution

Lane 1:

HeLa (human epithelial cell line from cervix adenocarcinoma) whole cell lysate

Lane 2:

HepG2 (human liver hepatocellular carcinoma cell line) whole cell lysate

Lane 3:

Mouse liver lysate

Secondary

All lanes:

Goat polyclonal to rabbit IgG at 1/50000 dilution

Predicted band size: 54 kDa

false

Key facts

Host species

Rabbit

Clonality

Polyclonal

Isotype

IgG

Carrier free

No

Reacts with

Mouse, Human

Applications

ICC/IF, WB, IHC-P

applications

Immunogen

Recombinant Fragment Protein within Human Target of Myb protein 1 aa 300 to C-terminus. The exact immunogen used to generate this antibody is proprietary information.

O60784

Reactivity data

{ "title": "Reactivity Data", "filters": { "stats": ["", "Species", "Dilution Info", "Notes"], "tabs": { "all-applications": {"fullname" : "All Applications", "shortname": "All Applications"}, "WB" : {"fullname" : "Western blot", "shortname":"WB"}, "IHCP" : {"fullname" : "Immunohistochemistry (Formalin/PFA-fixed paraffin-embedded sections)", "shortname":"IHC-P"}, "ICCIF" : {"fullname" : "Immunocytochemistry/ Immunofluorescence", "shortname":"ICC/IF"} }, "product-promise": { "all": "all", "testedAndGuaranteed": "tested", "guaranteed": "expected", "predicted": "predicted", "notRecommended": "not-recommended" } }, "values": { "Human": { "WB-species-checked": "testedAndGuaranteed", "WB-species-dilution-info": "1/500 - 1/5000", "WB-species-notes": "<p></p>", "IHCP-species-checked": "testedAndGuaranteed", "IHCP-species-dilution-info": "1/20 - 1/200", "IHCP-species-notes": "<p></p>", "ICCIF-species-checked": "testedAndGuaranteed", "ICCIF-species-dilution-info": "1/50 - 1/200", "ICCIF-species-notes": "<p></p>" }, "Mouse": { "WB-species-checked": "testedAndGuaranteed", "WB-species-dilution-info": "1/500 - 1/5000", "WB-species-notes": "<p></p>", "IHCP-species-checked": "guaranteed", "IHCP-species-dilution-info": "", "IHCP-species-notes": "", "ICCIF-species-checked": "guaranteed", "ICCIF-species-dilution-info": "", "ICCIF-species-notes": "" } } }

Properties and storage information

Form
Liquid
Purification technique
Affinity purification Protein G
Purification notes
Purity >95%.
Storage buffer
pH: 7.4 Preservative: 0.03% Proclin 300 Constituents: PBS, 50% Glycerol (glycerin, glycerine)
Shipped at conditions
Blue Ice
Appropriate short-term storage duration
1-2 weeks
Appropriate short-term storage conditions
+4°C
Appropriate long-term storage conditions
-20°C
Aliquoting information
Upon delivery aliquot
Storage information
Avoid freeze / thaw cycle

Product protocols

For this product, it's our understanding that no specific protocols are required. You can visit:

Target data

Adapter protein that plays a role in the intracellular membrane trafficking of ubiquitinated proteins, thereby participating in autophagy, ubiquitination-dependent signaling and receptor recycling pathways (PubMed : 14563850, PubMed : 15047686, PubMed : 23023224, PubMed : 25588840, PubMed : 26320582, PubMed : 31371777). Acts as a MYO6/Myosin VI adapter protein that targets MYO6 to endocytic structures (PubMed : 23023224). Together with MYO6, required for autophagosomal delivery of endocytic cargo, the maturation of autophagosomes and their fusion with lysosomes (PubMed : 23023224). MYO6 links TOM1 with autophagy receptors, such as TAX1BP1; CALCOCO2/NDP52 and OPTN (PubMed : 31371777). Binds to polyubiquitinated proteins via its GAT domain (PubMed : 14563850). In a complex with TOLLIP, recruits ubiquitin-conjugated proteins onto early endosomes (PubMed : 15047686). The Tom1-Tollip complex may regulate endosomal trafficking by linking polyubiquitinated proteins to clathrin (PubMed : 14563850, PubMed : 15047686). Mediates clathrin recruitment to early endosomes by ZFYVE16 (PubMed : 15657082). Modulates binding of TOLLIP to phosphatidylinositol 3-phosphate (PtdIns(3)P) via binding competition; the association with TOLLIP may favor the release of TOLLIP from endosomal membranes, allowing TOLLIP to commit to cargo trafficking (PubMed : 26320582). Acts as a phosphatidylinositol 5-phosphate (PtdIns(5)P) effector by binding to PtdIns(5)P, thereby regulating endosomal maturation (PubMed : 25588840). PtdIns(5)P-dependent recruitment to signaling endosomes may block endosomal maturation (PubMed : 25588840). Also inhibits Toll-like receptor (TLR) signaling and participates in immune receptor recycling (PubMed : 15047686, PubMed : 26320582).
See full target information Target of Myb protein 1

Product promise

We are committed to supporting your work with high-quality reagents, and we're here for you every step of the way. In the unlikely event that one of our products does not perform as expected, you're protected by our Product Promise.
For full details, please see our Terms & Conditions

Please note: All products are 'FOR RESEARCH USE ONLY. NOT FOR USE IN DIAGNOSTIC OR THERAPEUTIC PROCEDURES'.

For licensing inquiries, please contact partnerships@abcam.com