JavaScript is disabled in your browser. Please enable JavaScript to view this website.
AB170928

Anti-TOM1 antibody [EPR11989(B)]

Be the first to review this product! Submit a review

|

(1 Publication)

Rabbit Recombinant Monoclonal TOM1 antibody. Suitable for IHC-P, WB, Flow Cyt (Intra) and reacts with Human, Mouse samples. Cited in 1 publication.

View Alternative Names

Target of Myb1 membrane trafficking protein, Target of Myb protein 1, TOM1

4 Images
Flow Cytometry (Intracellular) - Anti-TOM1 antibody [EPR11989(B)] (AB170928)
  • Flow Cyt (Intra)

Supplier Data

Flow Cytometry (Intracellular) - Anti-TOM1 antibody [EPR11989(B)] (AB170928)

Intracellular flow cytometric analysis of permeabilized K562 cellslabeling TOM1 with ab170928 at 1/100 dilution (red) compared toa rabbit IgG negative control (green).

Western blot - Anti-TOM1 antibody [EPR11989(B)] (AB170928)
  • WB

Lab

Western blot - Anti-TOM1 antibody [EPR11989(B)] (AB170928)

Lanes 1 - 4 : Merged signal (red and green). Green - ab170928 observed at 55 kDa. Red - loading control, ab8245, observed at 37 kDa.

ab170928 was shown to specifically react with in wild-type HAP1 cells as signal was lost in TOM1 knockout cells. Wild-type and TOM1 knockout samples were subjected to SDS-PAGE. The membrane was blocked with 3% NF Milk. ab170928 and ab8245 (Mouse anti-GAPDH loading control) were incubated overnight at 4°C at 1/10000 dilution and 1/20000 dilution respectively. Blots were developed with Goat anti-Rabbit IgG H&L (IRDye® 800CW) preabsorbed ab216773 and Goat anti-Mouse IgG H&L (IRDye® 680RD) preabsorbed ab216776 secondary antibodies at 1/20000 dilution for 1 hour at room temperature before imaging.

All lanes:

Western blot - Anti-TOM1 antibody [EPR11989(B)] (ab170928) at 1/1000 dilution

Lane 1:

Wild-type HAP1 whole cell lysate at 20 µg

Lane 2:

TOM1 knockout HAP1 whole cell lysate at 20 µg

Lane 3:

HepG2 whole cell lysate at 20 µg

Lane 4:

HeLa whole cell lysate at 20 µg

Predicted band size: 54 kDa

false

Immunohistochemistry (Formalin/PFA-fixed paraffin-embedded sections) - Anti-TOM1 antibody [EPR11989(B)] (AB170928)
  • IHC-P

Supplier Data

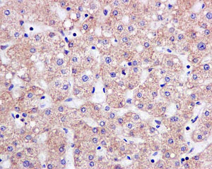
Immunohistochemistry (Formalin/PFA-fixed paraffin-embedded sections) - Anti-TOM1 antibody [EPR11989(B)] (AB170928)

Immunohistochemical analysis of paraffin-embedded Human liver tissue labeling TOM1 with ab170928 at 1/250 dilution. Perform heat mediated antigen retrieval with citrate buffer pH 6 before commencing with IHC staining protocol.

Western blot - Anti-TOM1 antibody [EPR11989(B)] (AB170928)
  • WB

Supplier Data

Western blot - Anti-TOM1 antibody [EPR11989(B)] (AB170928)

All lanes:

Western blot - Anti-TOM1 antibody [EPR11989(B)] (ab170928) at 1/10000 dilution

Lane 1:

HepG2 cell lysate at 10 µg

Lane 2:

HeLa cell lysate at 10 µg

Lane 3:

K562 cell lysate at 10 µg

Lane 4:

JAR cell lysate at 10 µg

Secondary

All lanes:

Goat anti-rabbit HRP at 1/2000 dilution

Predicted band size: 54 kDa

false

  • Carrier free

    Anti-TOM1 antibody [EPR11989(B)] - BSA and Azide free

Key facts

Host species

Rabbit

Clonality

Monoclonal

Clone number

EPR11989(B)

Isotype

IgG

Carrier free

No

Reacts with

Mouse, Human

Applications

Flow Cyt (Intra), WB, IHC-P

applications

Immunogen

The exact immunogen used to generate this antibody is proprietary information.

Reactivity data

{ "title": "Reactivity Data", "filters": { "stats": ["", "Species", "Dilution Info", "Notes"], "tabs": { "all-applications": {"fullname" : "All Applications", "shortname": "All Applications"}, "IHCP" : {"fullname" : "Immunohistochemistry (Formalin/PFA-fixed paraffin-embedded sections)", "shortname":"IHC-P"}, "ICCIF" : {"fullname" : "Immunocytochemistry/ Immunofluorescence", "shortname":"ICC/IF"}, "IP" : {"fullname" : "Immunoprecipitation", "shortname":"IP"}, "WB" : {"fullname" : "Western blot", "shortname":"WB"}, "FlowCytIntra" : {"fullname" : "Flow Cytometry (Intracellular)", "shortname":"Flow Cyt (Intra)"} }, "product-promise": { "all": "all", "testedAndGuaranteed": "tested", "guaranteed": "expected", "predicted": "predicted", "notRecommended": "not-recommended" } }, "values": { "Human": { "IHCP-species-checked": "testedAndGuaranteed", "IHCP-species-dilution-info": "1/250 - 1/500", "IHCP-species-notes": "<p></p> Perform heat-mediated antigen retrieval with citrate buffer pH 6 before commencing with IHC staining protocol.", "ICCIF-species-checked": "notRecommended", "ICCIF-species-dilution-info": "", "ICCIF-species-notes": "<p></p>", "IP-species-checked": "notRecommended", "IP-species-dilution-info": "", "IP-species-notes": "<p></p>", "WB-species-checked": "testedAndGuaranteed", "WB-species-dilution-info": "1/10000 - 1/50000", "WB-species-notes": "<p></p>", "FlowCytIntra-species-checked": "testedAndGuaranteed", "FlowCytIntra-species-dilution-info": "1/100 - 1/500", "FlowCytIntra-species-notes": "<p><a href='/en-us/products/primary-antibodies/rabbit-igg-monoclonal-epr25a-isotype-control-ab172730'>ab172730</a> - Rabbit monoclonal IgG, is suitable for use as an isotype control with this antibody.</p>" }, "Mouse": { "IHCP-species-checked": "guaranteed", "IHCP-species-dilution-info": "1/250 - 1/500", "IHCP-species-notes": "<p></p> Perform heat-mediated antigen retrieval with citrate buffer pH 6 before commencing with IHC staining protocol.", "ICCIF-species-checked": "notRecommended", "ICCIF-species-dilution-info": "", "ICCIF-species-notes": "<p></p>", "IP-species-checked": "notRecommended", "IP-species-dilution-info": "", "IP-species-notes": "<p></p>", "WB-species-checked": "guaranteed", "WB-species-dilution-info": "1/10000 - 1/50000", "WB-species-notes": "<p></p>", "FlowCytIntra-species-checked": "guaranteed", "FlowCytIntra-species-dilution-info": "1/100 - 1/500", "FlowCytIntra-species-notes": "<p><a href='/en-us/products/primary-antibodies/rabbit-igg-monoclonal-epr25a-isotype-control-ab172730'>ab172730</a> - Rabbit monoclonal IgG, is suitable for use as an isotype control with this antibody.</p>" }, "Rat": { "IHCP-species-checked": "predicted", "IHCP-species-dilution-info": "", "IHCP-species-notes": "", "ICCIF-species-checked": "notRecommended", "ICCIF-species-dilution-info": "", "ICCIF-species-notes": "", "IP-species-checked": "notRecommended", "IP-species-dilution-info": "", "IP-species-notes": "", "WB-species-checked": "predicted", "WB-species-dilution-info": "", "WB-species-notes": "", "FlowCytIntra-species-checked": "predicted", "FlowCytIntra-species-dilution-info": "", "FlowCytIntra-species-notes": "" } } }

Product details

Patented technology
Our RabMAb® technology is a patented hybridoma-based technology for making rabbit monoclonal antibodies. For details on our patents, please refer to RabMAb® patents.

What are the advantages of a recombinant monoclonal antibody?
This product is a recombinant monoclonal antibody, which offers several advantages including:

  • - High batch-to-batch consistency and reproducibility
  • - Improved sensitivity and specificity
  • - Long-term security of supply
  • - Animal-free batch production

For more information, read more on recombinant antibodies.

Properties and storage information

Form
Liquid
Purification technique
Affinity purification Protein A
Storage buffer
pH: 7.2 - 7.4 Preservative: 0.01% Sodium azide Constituents: PBS, 50% Tissue culture supernatant, 40% Glycerol (glycerin, glycerine), 0.05% BSA
Shipped at conditions
Blue Ice
Appropriate short-term storage duration
1-2 weeks
Appropriate short-term storage conditions
+4°C
Appropriate long-term storage conditions
-20°C
Aliquoting information
Upon delivery aliquot
Storage information
Avoid freeze / thaw cycle

Product protocols

For this product, it's our understanding that no specific protocols are required. You can visit:

Target data

Adapter protein that plays a role in the intracellular membrane trafficking of ubiquitinated proteins, thereby participating in autophagy, ubiquitination-dependent signaling and receptor recycling pathways (PubMed : 14563850, PubMed : 15047686, PubMed : 23023224, PubMed : 25588840, PubMed : 26320582, PubMed : 31371777). Acts as a MYO6/Myosin VI adapter protein that targets MYO6 to endocytic structures (PubMed : 23023224). Together with MYO6, required for autophagosomal delivery of endocytic cargo, the maturation of autophagosomes and their fusion with lysosomes (PubMed : 23023224). MYO6 links TOM1 with autophagy receptors, such as TAX1BP1; CALCOCO2/NDP52 and OPTN (PubMed : 31371777). Binds to polyubiquitinated proteins via its GAT domain (PubMed : 14563850). In a complex with TOLLIP, recruits ubiquitin-conjugated proteins onto early endosomes (PubMed : 15047686). The Tom1-Tollip complex may regulate endosomal trafficking by linking polyubiquitinated proteins to clathrin (PubMed : 14563850, PubMed : 15047686). Mediates clathrin recruitment to early endosomes by ZFYVE16 (PubMed : 15657082). Modulates binding of TOLLIP to phosphatidylinositol 3-phosphate (PtdIns(3)P) via binding competition; the association with TOLLIP may favor the release of TOLLIP from endosomal membranes, allowing TOLLIP to commit to cargo trafficking (PubMed : 26320582). Acts as a phosphatidylinositol 5-phosphate (PtdIns(5)P) effector by binding to PtdIns(5)P, thereby regulating endosomal maturation (PubMed : 25588840). PtdIns(5)P-dependent recruitment to signaling endosomes may block endosomal maturation (PubMed : 25588840). Also inhibits Toll-like receptor (TLR) signaling and participates in immune receptor recycling (PubMed : 15047686, PubMed : 26320582).
See full target information Target of Myb protein 1

Publications (1)

Recent publications for all applications. Explore the full list and refine your search

Cell 169:350-360.e12 PubMed28388416

2017

An Approach to Spatiotemporally Resolve Protein Interaction Networks in Living Cells.

Applications

Unspecified application

Species

Unspecified reactive species

Braden T Lobingier,Ruth Hüttenhain,Kelsie Eichel,Kenneth B Miller,Alice Y Ting,Mark von Zastrow,Nevan J Krogan
View all publications

Product promise

We are committed to supporting your work with high-quality reagents, and we're here for you every step of the way. In the unlikely event that one of our products does not perform as expected, you're protected by our Product Promise.
For full details, please see our Terms & Conditions

Please note: All products are 'FOR RESEARCH USE ONLY. NOT FOR USE IN DIAGNOSTIC OR THERAPEUTIC PROCEDURES'.

For licensing inquiries, please contact partnerships@abcam.com