JavaScript is disabled in your browser. Please enable JavaScript to view this website.
AB290002

Anti-TOM70 antibody [EPR26576-162] - BSA and Azide free

  • BOND RX™ Validated
  • RabMAb
  • Recombinant
  • KO Validated
  • What is this?

Be the first to review this product! Submit a review

|

(0 Publication)

Rabbit Recombinant Monoclonal TOM70 antibody. Carrier free. Suitable for ICC/IF, IP, WB, Flow Cyt (Intra), IHC-P and reacts with Mouse, Rat, Human samples.

View Alternative Names

KIAA0719, TOM70, TOMM70A, TOMM70, Mitochondrial import receptor subunit TOM70, Mitochondrial precursor proteins import receptor, Translocase of outer membrane 70 kDa subunit, Translocase of outer mitochondrial membrane protein 70

16 Images
Immunohistochemistry (Formalin/PFA-fixed paraffin-embedded sections) - Anti-TOM70 antibody [EPR26576-162] - BSA and Azide free (AB290002)
  • IHC-P

Lab

Immunohistochemistry (Formalin/PFA-fixed paraffin-embedded sections) - Anti-TOM70 antibody [EPR26576-162] - BSA and Azide free (AB290002)

This data was developed using ab289977, the same antibody clone in a different buffer formulation.

Immunohistochemical analysis of paraffin-embedded Human colon tissue labelling TOM70 with ab289977 at 1/2000 dilution followed by a ready to use Rabbit specific IHC polymer detection kit HRP/DAB (ab209101). Positive staining on human colon. The section was incubated with ab289977 for 10 mins at room temperature. The immunostaining was performed on a Leica Biosystems BOND® RX instrument. Counterstained with Hematoxylin.

Secondary antibody only control : Secondary antibody is Rabbit specific IHC polymer detection kit HRP/DAB (ab209101).

Heat mediated antigen retrieval with Tris-EDTA buffer (pH 9.0, epitope retrieval solution2) for 10 mins

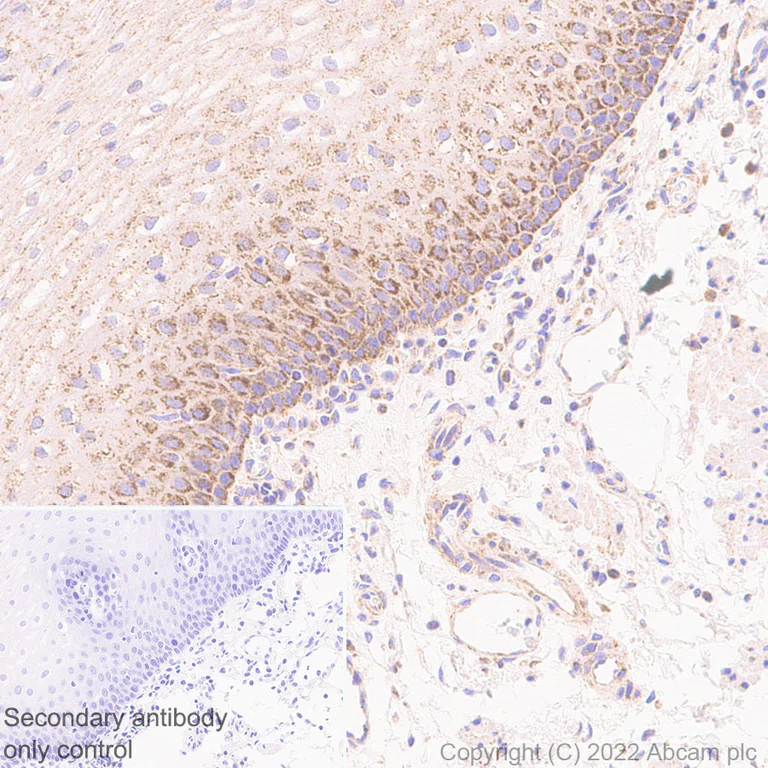
Immunohistochemistry (Formalin/PFA-fixed paraffin-embedded sections) - Anti-TOM70 antibody [EPR26576-162] - BSA and Azide free (AB290002)
  • IHC-P

Lab

Immunohistochemistry (Formalin/PFA-fixed paraffin-embedded sections) - Anti-TOM70 antibody [EPR26576-162] - BSA and Azide free (AB290002)

This data was developed using ab289977, the same antibody clone in a different buffer formulation.

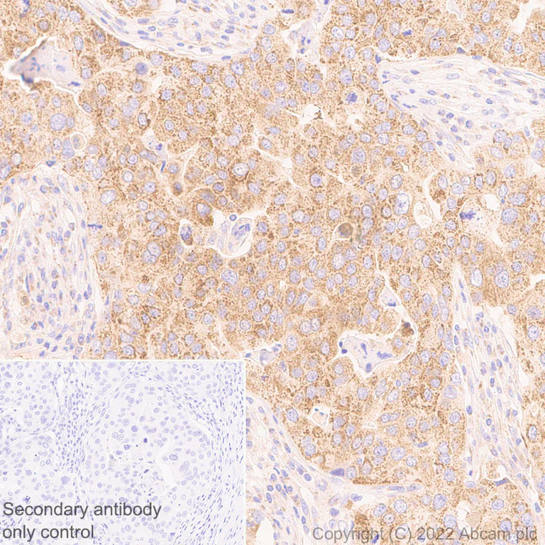
Immunohistochemical analysis of paraffin-embedded Human breast cancer tissue labelling TOM70 with ab289977 at 1/2000 dilution followed by Rabbit specific IHC polymer detection kit HRP/DAB (ab209101). Positive staining on human breast cancer. The section was incubated with ab289977 for 10 mins at room temperature. The immunostaining was performed on a Leica Biosystems BOND® RX instrument. Counterstained with Hematoxylin.

Secondary antibody only control : Secondary antibody is Rabbit specific IHC polymer detection kit HRP/DAB (ab209101).

Heat mediated antigen retrieval with Tris-EDTA buffer (pH 9.0, epitope retrieval solution2) for 10 mins

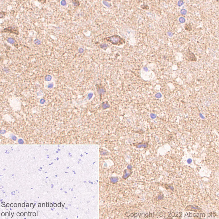
Immunohistochemistry (Formalin/PFA-fixed paraffin-embedded sections) - Anti-TOM70 antibody [EPR26576-162] - BSA and Azide free (AB290002)
  • IHC-P

Lab

Immunohistochemistry (Formalin/PFA-fixed paraffin-embedded sections) - Anti-TOM70 antibody [EPR26576-162] - BSA and Azide free (AB290002)

This data was developed using ab289977, the same antibody clone in a different buffer formulation.

Immunohistochemical analysis of paraffin-embedded Human cerebrum tissue labelling TOM70 with ab289977 at 1/2000 dilution followed by Rabbit specific IHC polymer detection kit HRP/DAB (ab209101). Positive staining on human cerebrum. The section was incubated with ab289977 for 10 mins at room temperature. The immunostaining was performed on a Leica Biosystems BOND® RX instrument. Counterstained with Hematoxylin.

Secondary antibody only control : Secondary antibody is Rabbit specific IHC polymer detection kit HRP/DAB (ab209101).

Heat mediated antigen retrieval with Tris-EDTA buffer (pH 9.0, epitope retrieval solution2) for 10 mins.

Immunohistochemistry (Formalin/PFA-fixed paraffin-embedded sections) - Anti-TOM70 antibody [EPR26576-162] - BSA and Azide free (AB290002)
  • IHC-P

Lab

Immunohistochemistry (Formalin/PFA-fixed paraffin-embedded sections) - Anti-TOM70 antibody [EPR26576-162] - BSA and Azide free (AB290002)

This data was developed using ab289977, the same antibody clone in a different buffer formulation.

Immunohistochemical analysis of paraffin-embedded Human esophagus tissue labelling TOM70 with ab289977 at 1/2000 dilution followed by Rabbit specific IHC polymer detection kit HRP/DAB (ab209101). Positive staining on human esophagus. The section was incubated with ab289977 for 10 mins at room temperature. The immunostaining was performed on a Leica Biosystems BOND® RX instrument. Counterstained with Hematoxylin.

Secondary antibody only control : Secondary antibody is Rabbit specific IHC polymer detection kit HRP/DAB (ab209101).

Heat mediated antigen retrieval with Tris-EDTA buffer (pH 9.0, epitope retrieval solution2) for 10 mins

Flow Cytometry (Intracellular) - Anti-TOM70 antibody [EPR26576-162] - BSA and Azide free (AB290002)
  • Flow Cyt (Intra)

Lab

Flow Cytometry (Intracellular) - Anti-TOM70 antibody [EPR26576-162] - BSA and Azide free (AB290002)

This data was developed using ab289977, the same antibody clone in a different buffer formulation.

Intracellular flow cytometric analysis of 4% paraformaldehyde fixed 90% methanol, permeabilized U-2 OS (human bone osteosarcoma epithelial cell) cells labelling TOM70 with ab289977 at 1/500 dilution (0.1μg) (Red) (Red) compared with a Rabbit monoclonal IgG (ab172730) (Black) isotype control and an unlabelled control (cells without incubation with primary antibody and secondary antibody) (Blue). A Goat Anti-Rabbit IgG (Alexa Fluor® 488, ab150081) at 1/2000 dilution was used as the secondary antibody.

Immunocytochemistry/ Immunofluorescence - Anti-TOM70 antibody [EPR26576-162] - BSA and Azide free (AB290002)
  • ICC/IF

Lab

Immunocytochemistry/ Immunofluorescence - Anti-TOM70 antibody [EPR26576-162] - BSA and Azide free (AB290002)

This data was developed using ab289977, the same antibody clone in a different buffer formulation.

Immunofluorescent analysis of 4% Paraformaldehyde-fixed, 0.1% Triton X-100 permeabilized U-2 OS cells labeling TOM70 with ab289977 at 1/100 dilution, followed by ab150081 Goat Anti-Rbit IgG H&L (Alexa Fluor® 488) preadsorbed antibody at 1/1000 dilution (Green). Confocal image showing mitochondrial staining in U-2 OS cell line. ab33985 Anti-COX IV mouse monoclonal antibody - Mitochondrial Marker was used at 1/1000 dilution (Red). The Nuclear counterstain was DAPI (Blue).

Secondary antibody only control : Secondary antibody is ab150081 Goat Anti-Rabbit IgG H&L (Alexa Fluor® 488) preadsorbed at 1/1000 dilution.

Immunocytochemistry/ Immunofluorescence - Anti-TOM70 antibody [EPR26576-162] - BSA and Azide free (AB290002)
  • ICC/IF

Lab

Immunocytochemistry/ Immunofluorescence - Anti-TOM70 antibody [EPR26576-162] - BSA and Azide free (AB290002)

This data was developed using ab289977, the same antibody clone in a different buffer formulation.

Immunofluorescent analysis of 4% Paraformaldehyde-fixed, 0.1% TritonX-100 permeabilized NIH/3T3 cells labeling TOM70 with ab289977 at 1/100 dilution, followed by ab150081 Goat Anti-Rabbit IgG H&L (Alexa Fluor® 488) preadsorbed antibody at 1/1000 (2 μg/ml) dilution (Green). Confocal image showing cytoplasmic staining in NIH/3T3 cell line is observed. ab195889 Anti-alpha Tubulin mouse monoclonal antibody - Microtubule Marker (Alexa Fluor® 594) was used to counterstain tubulin at 1/200 dilution (Red). The Nuclear counterstain was DAPI (Blue).

Secondary antibody only control : Secondary antibody is ab150081 Goat Anti-Rabbit IgG H&L (Alexa Fluor® 488) preadsorbed at 1/1000 dilution.

Immunocytochemistry/ Immunofluorescence - Anti-TOM70 antibody [EPR26576-162] - BSA and Azide free (AB290002)
  • ICC/IF

Lab

Immunocytochemistry/ Immunofluorescence - Anti-TOM70 antibody [EPR26576-162] - BSA and Azide free (AB290002)

This data was developed using ab289977, the same antibody clone in a different buffer formulation.

Immunofluorescent analysis of 4% Paraformaldehyde-fixed, 0.1% Triton X-100 permeabilized C6 cells labeling TOM70 with ab289977 at 1/100 dilution, followed by ab150081 Goat Anti-Rabbit IgG H&L (Alexa Fluor® 488) preadsorbed antibody at 1/1000 dilution (Green). Confocal image showing cytoplasmic staining in C6 cell line. ab195889 Anti-alpha Tubulin mouse monoclonal antibody - Microtubule Marker (Alexa Fluor® 594) was used to counterstain tubulin at 1/200 dilution (Red). The Nuclear counterstain was DAPI (Blue).

Secondary antibody only control : Secondary antibody is ab150081 Goat Anti-Rabbit IgG H&L (Alexa Fluor® 488) preadsorbed at 1/1000 dilution.

Flow Cytometry (Intracellular) - Anti-TOM70 antibody [EPR26576-162] - BSA and Azide free (AB290002)
  • Flow Cyt (Intra)

Lab

Flow Cytometry (Intracellular) - Anti-TOM70 antibody [EPR26576-162] - BSA and Azide free (AB290002)

This data was developed using ab289977, the same antibody clone in a different buffer formulation.

Flow cytometric analysis of 4% paraformaldehyde fixed 90% methanol, permeabilized NIH/3T3 (Mouse embryonic fibroblast) cells labelling TOM70 with ab289977 at 1/500 dilution (0.1μg) (Red) (Red) compared with a Rabbit monoclonal IgG (ab172730) (Black) isotype control and an unlabelled control (cells without incubation with primary antibody and secondary antibody) (Blue). A Goat Anti-Rabbit IgG (Alexa Fluor® 488, ab150081) at 1/2000 dilution was used as the secondary antibody.

Flow Cytometry (Intracellular) - Anti-TOM70 antibody [EPR26576-162] - BSA and Azide free (AB290002)
  • Flow Cyt (Intra)

Lab

Flow Cytometry (Intracellular) - Anti-TOM70 antibody [EPR26576-162] - BSA and Azide free (AB290002)

This data was developed using ab289977, the same antibody clone in a different buffer formulation.

Flow cytometric analysis of 4% paraformaldehyde fixed, 90% methanol permeabilized C6 (rat glial tumor glial cell) cells labelling TOM70 with ab289977 at 1/500 dilution (0.1μg) (Red) (Red) compared with a Rabbit monoclonal IgG (ab172730) (Black) isotype control and an unlabelled control (cells without incubation with primary antibody and secondary antibody) (Blue). A Goat Anti-Rabbit IgG (Alexa Fluor® 488, ab150081) at 1/2000 dilution was used as the secondary antibody.

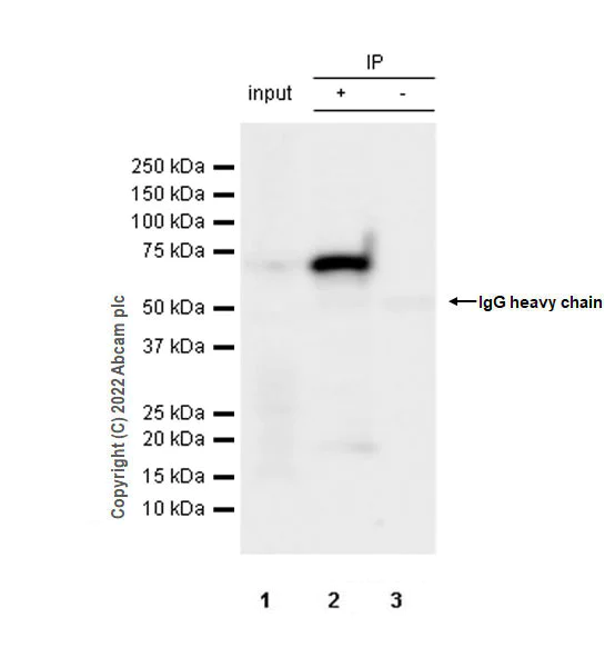
Immunoprecipitation - Anti-TOM70 antibody [EPR26576-162] - BSA and Azide free (AB290002)
  • IP

Lab

Immunoprecipitation - Anti-TOM70 antibody [EPR26576-162] - BSA and Azide free (AB290002)

This data was developed using ab289977, the same antibody clone in a different buffer formulation.

TOM70 was immunoprecipitated from NIH/3T3 (mouse embryonic fibroblast) whole cell lysate with ab289977 at 1/30 dilution (2μg in 0.35mg lysates). Western blot was performed on the immunoprecipitate using ab289977 at 1/1000 dilution. VeriBlot for IP secondary antibody(HRP)(ab131366) was used at 1/5000 dilution.

Lane 1 : NIH/3T3 (mouse embryonic fibroblast) whole cell lysate 10 μg

Lane 2 : ab289977 IP in NIH/3T3 whole cell lysate

Lane 3 : Rabbit monoclonal IgG (ab172730) instead of ab289977 in NIH/3T3 whole cell lysate

Blocking and dilution buffer and concentration : 5% NFDM/TBST.

Exposure time : 3.25 seconds

All lanes:

Immunoprecipitation - Anti-TOM70 antibody [EPR26576-162] (<a href='/en-us/products/primary-antibodies/tom70-antibody-epr26576-162-ab289977'>ab289977</a>)

Predicted band size: 67 kDa

Observed band size: 70 kDa

false

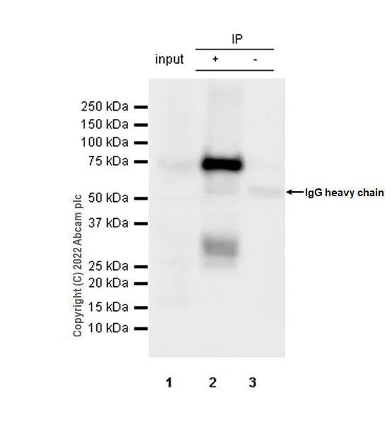
Immunoprecipitation - Anti-TOM70 antibody [EPR26576-162] - BSA and Azide free (AB290002)
  • IP

Lab

Immunoprecipitation - Anti-TOM70 antibody [EPR26576-162] - BSA and Azide free (AB290002)

This data was developed using ab289977, the same antibody clone in a different buffer formulation.

TOM70 was immunoprecipitated from C6 (rat glial tumor glial cell) whole cell lysate with ab289977 at 1/30 dilution (2μg in 0.35mg lysates). Western blot was performed on the immunoprecipitate using ab289977 at 1/1000 dilution. VeriBlot for IP secondary antibody(HRP)(ab131366) was used at 1/5000 dilution.

Lane 1 : C6 (rat glial tumor glial cell) whole cell lysate 10 μg

Lane 2 : ab289977 IP in C6 whole cell lysate

Lane 3 : Rabbit monoclonal IgG (ab172730) instead of ab289977 in C6 whole cell lysate

Blocking and dilution buffer and concentration : 5% NFDM/TBST.

Exposure time : 3.25 seconds

All lanes:

Immunoprecipitation - Anti-TOM70 antibody [EPR26576-162] (<a href='/en-us/products/primary-antibodies/tom70-antibody-epr26576-162-ab289977'>ab289977</a>)

Predicted band size: 67 kDa

Observed band size: 70 kDa

false

Western blot - Anti-TOM70 antibody [EPR26576-162] - BSA and Azide free (AB290002)
  • WB

Supplier Data

Western blot - Anti-TOM70 antibody [EPR26576-162] - BSA and Azide free (AB290002)

False colour image of Western blot : Anti-TOM70 antibody [EPR26576-162] staining at 1/1000 dilution, shown in green; Mouse anti-GAPDH antibody [6C5] (ab8245) loading control staining at 1/20000 dilution, shown in red. In Western blot, ab289977 was shown to bind specifically to TOM70. A band was observed at 72 kDa in wild-type HeLa cell lysates with no signal observed at this size in TOMM70 knockout cell line ab265396 (knockout cell lysate ab258732). To generate this image, wild-type and TOMM70 knockout HeLa cell lysates were analysed. First, samples were run on an SDS-PAGE gel then transferred onto a nitrocellulose membrane. Membranes were blocked in 3 % milk in TBS-0.1 % Tween® 20 (TBS-T) before incubation with primary antibodies overnight at 4 °C. Blots were washed four times in TBS-T, incubated with secondary antibodies for 1 h at room temperature, washed again four times then imaged. Secondary antibodies used were Goat anti-Rabbit IgG H&L 800CW and Goat anti-Mouse IgG H&L 680RD at 1/20000 dilution. This data was developed using ab289977, the same antibody clone in a different buffer formulation.

All lanes:

Western blot - Anti-TOM70 antibody [EPR26576-162] (<a href='/en-us/products/primary-antibodies/tom70-antibody-epr26576-162-ab289977'>ab289977</a>) at 1/1000 dilution

Lane 1:

Wild-type HeLa cell lysate at 20 µg

Lane 2:

Western blot - Human TOMM70A (TOM70) knockout HeLa cell lysate (<a href='/en-us/products/cell-lysates/human-tomm70a-tom70-knockout-hela-cell-lysate-ab258732'>ab258732</a>) at 20 µg

Lane 3:

U-2 OS cell lysate at 20 µg

Lane 4:

Mouse Brain cell lysate at 20 µg

Lane 5:

Rat Brain cell lysate at 20 µg

Secondary

All lanes:

Goat anti-Rabbit IgG H&L 800CW and Goat anti-Mouse IgG H&L 680RD at 1/20000 dilution

Predicted band size: 67 kDa

Observed band size: 72 kDa

false

Western blot - Anti-TOM70 antibody [EPR26576-162] - BSA and Azide free (AB290002)
  • WB

Lab

Western blot - Anti-TOM70 antibody [EPR26576-162] - BSA and Azide free (AB290002)

This data was developed using 289977, the same antibody clone in a different buffer formulation.

Blocking and diluting buffer and concentration : 5% NFDM/TBST

The expression profile/molecular weight observed is consistent with that described in the literature (PMID : 31907385, PMID : 11956321).

Exposure time : 3.25 seconds

All lanes:

Western blot - Anti-TOM70 antibody [EPR26576-162] (<a href='/en-us/products/primary-antibodies/tom70-antibody-epr26576-162-ab289977'>ab289977</a>) at 1/1000 dilution

Lane 1:

HepG2 (human hepatocellular carcinoma epithelial cell) whole cell lysate at 20 µg

Lane 2:

HeLa (human cervix adenocarcinoma epithelial cell) whole cell lysate at 20 µg

Lane 3:

U-2 OS (human bone osteosarcoma epithelial cell) whole cell lysate at 20 µg

Secondary

All lanes:

Goat Anti-Rabbit IgG (HRP) with minimal cross-reactivity with human IgG at 1/2000 dilution

Predicted band size: 67 kDa

Observed band size: 70 kDa

false

Western blot - Anti-TOM70 antibody [EPR26576-162] - BSA and Azide free (AB290002)
  • WB

Lab

Western blot - Anti-TOM70 antibody [EPR26576-162] - BSA and Azide free (AB290002)

This data was developed using 289977, the same antibody clone in a different buffer formulation.

Blocking and diluting buffer and concentration : 5% NFDM/TBST

The expression profile/molecular weight observed is consistent with that described in the literature (PMID : 32356556)

Low expression : Breast (human protein atlas : https : //www.proteinatlas.org/ENSG00000154174-TOMM70)

Exposure time : 15 seconds

All lanes:

Western blot - Anti-TOM70 antibody [EPR26576-162] (<a href='/en-us/products/primary-antibodies/tom70-antibody-epr26576-162-ab289977'>ab289977</a>) at 1/1000 dilution

Lane 1:

NIH/3T3 (mouse embryonic fibroblast) whole cell lysate at 20 µg

Lane 2:

Mouse brain tissue lysate at 20 µg

Lane 3:

Mouse liver tissue lysate at 20 µg

Lane 4:

Mouse breast tissue lysate at 20 µg

Lane 5:

C6 (rat glial tumor glial cell) whole cell lysate at 20 µg

Lane 6:

Rat brain tissue lysate at 20 µg

Lane 7:

Rat liver tissue lysate at 20 µg

Lane 8:

Rat breast tissue lysate at 20 µg

Secondary

All lanes:

Goat Anti-Rabbit IgG, (H+L), Peroxidase conjugated (<a href='/en-us/products/secondary-antibodies/goat-rabbit-igg-h-l-hrp-ab97051'>ab97051</a>) at 1/100000 dilution

Predicted band size: 67 kDa

Observed band size: 70 kDa

false

Immunoprecipitation - Anti-TOM70 antibody [EPR26576-162] - BSA and Azide free (AB290002)
  • IP

Lab

Immunoprecipitation - Anti-TOM70 antibody [EPR26576-162] - BSA and Azide free (AB290002)

This data was developed using ab289977, the same antibody clone in a different buffer formulation.

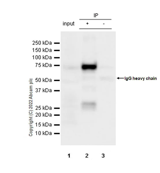
TOM70 was immunoprecipitated from 0.35 mg HeLa (human cervix adenocarcinoma epithelial cell) whole cell lysate 10 µg with ab289977 at 1/30 dilution (2µg in 0.35mg lysates). Western blot was performed on the immunoprecipitate using ab289977 at 1/1000 dilution. VeriBlot for IP secondary antibody(HRP)(ab131366) was used at 1/5000 dilution. Lane 1 : HeLa (human cervix adenocarcinoma epithelial cell) whole cell lysate 10 µg Lane 2 : ab289977 IP in HeLa whole cell lysate Lane 3 : Rabbit monoclonal IgG (ab172730) instead of ab289977 in HeLa whole cell lysate Blocking and dilution buffer and concentration : 5% NFDM/TBST.

All lanes:

Immunoprecipitation - Anti-TOM70 antibody [EPR26576-162] (<a href='/en-us/products/primary-antibodies/tom70-antibody-epr26576-162-ab289977'>ab289977</a>) at 1/30 dilution

Lane 1:

HeLa (human cervix adenocarcinoma epithelial cell) whole cell lysate at 10 µg

Lane 2:

<a href='/en-us/products/primary-antibodies/tom70-antibody-epr26576-162-ab289977'>ab289977</a> IP in HeLa whole cell lysate

Lane 3:

Rabbit monoclonal IgG (<a href='/en-us/products/primary-antibodies/rabbit-igg-monoclonal-epr25a-isotype-control-ab172730'>ab172730</a>) instead of <a href='/en-us/products/primary-antibodies/tom70-antibody-epr26576-162-ab289977'>ab289977</a> in HeLa whole cell lysate

Secondary

All lanes:

Immunoprecipitation - VeriBlot for IP Detection Reagent (HRP) (<a href='/en-us/products/reagents/veriblot-for-ip-detection-reagent-hrp-ab131366'>ab131366</a>) at 1/5000 dilution

Predicted band size: 67 kDa

Observed band size: 67 kDa

false

Exposure time: 3.25s

Key facts

Host species

Rabbit

Clonality

Monoclonal

Clone number

EPR26576-162

Isotype

IgG

Carrier free

Yes

Reacts with

Mouse, Rat, Human

Applications

ICC/IF, WB, IHC-P, Flow Cyt (Intra), IP

applications

Immunogen

The exact immunogen used to generate this antibody is proprietary information.

Specificity

This antibody does not react with Mouse and Rat species for IHC

Reactivity data

{ "title": "Reactivity Data", "filters": { "stats": ["", "Species", "Dilution Info", "Notes"], "tabs": { "all-applications": {"fullname" : "All Applications", "shortname": "All Applications"}, "ICCIF" : {"fullname" : "Immunocytochemistry/ Immunofluorescence", "shortname":"ICC/IF"}, "IP" : {"fullname" : "Immunoprecipitation", "shortname":"IP"}, "WB" : {"fullname" : "Western blot", "shortname":"WB"}, "FlowCytIntra" : {"fullname" : "Flow Cytometry (Intracellular)", "shortname":"Flow Cyt (Intra)"}, "IHCP" : {"fullname" : "Immunohistochemistry (Formalin/PFA-fixed paraffin-embedded sections)", "shortname":"IHC-P"} }, "product-promise": { "all": "all", "testedAndGuaranteed": "tested", "guaranteed": "expected", "predicted": "predicted", "notRecommended": "not-recommended" } }, "values": { "Human": { "ICCIF-species-checked": "testedAndGuaranteed", "ICCIF-species-dilution-info": "", "ICCIF-species-notes": "<p></p>", "IP-species-checked": "testedAndGuaranteed", "IP-species-dilution-info": "", "IP-species-notes": "<p></p>", "WB-species-checked": "testedAndGuaranteed", "WB-species-dilution-info": "", "WB-species-notes": "<p></p>", "FlowCytIntra-species-checked": "testedAndGuaranteed", "FlowCytIntra-species-dilution-info": "", "FlowCytIntra-species-notes": "<p></p>", "IHCP-species-checked": "testedAndGuaranteed", "IHCP-species-dilution-info": "", "IHCP-species-notes": "<p>Only suitable for Human.</p>" }, "Mouse": { "ICCIF-species-checked": "testedAndGuaranteed", "ICCIF-species-dilution-info": "", "ICCIF-species-notes": "<p></p>", "IP-species-checked": "testedAndGuaranteed", "IP-species-dilution-info": "", "IP-species-notes": "<p></p>", "WB-species-checked": "testedAndGuaranteed", "WB-species-dilution-info": "", "WB-species-notes": "<p></p>", "FlowCytIntra-species-checked": "testedAndGuaranteed", "FlowCytIntra-species-dilution-info": "", "FlowCytIntra-species-notes": "<p></p>", "IHCP-species-checked": "notRecommended", "IHCP-species-dilution-info": "", "IHCP-species-notes": "<p>Only suitable for Human.</p>" }, "Rat": { "ICCIF-species-checked": "testedAndGuaranteed", "ICCIF-species-dilution-info": "", "ICCIF-species-notes": "<p></p>", "IP-species-checked": "testedAndGuaranteed", "IP-species-dilution-info": "", "IP-species-notes": "<p></p>", "WB-species-checked": "testedAndGuaranteed", "WB-species-dilution-info": "", "WB-species-notes": "<p></p>", "FlowCytIntra-species-checked": "testedAndGuaranteed", "FlowCytIntra-species-dilution-info": "", "FlowCytIntra-species-notes": "<p></p>", "IHCP-species-checked": "notRecommended", "IHCP-species-dilution-info": "", "IHCP-species-notes": "<p>Only suitable for Human.</p>" } } }

Product details

ab290002 is the carrier-free version of ab289977.

Patented technology
Our RabMAb® technology is a patented hybridoma-based technology for making rabbit monoclonal antibodies. For details on our patents, please refer to RabMAb® patents.

What are the advantages of a recombinant monoclonal antibody?
This product is a recombinant monoclonal antibody, which offers several advantages including:

  • - High batch-to-batch consistency and reproducibility
  • - Improved sensitivity and specificity
  • - Long-term security of supply
  • - Animal-free batch production

For more information, read more on recombinant antibodies.

Conjugation ready
Our carrier-free antibodies are typically supplied in a PBS-only formulation, purified and free of BSA, sodium azide and glycerol. This conjugation-ready format is designed for use with fluorochromes, metal isotopes, oligonucleotides, and enzymes, which makes them ideal for antibody labelling, functional and cell-based assays, flow-based assays (e.g. mass cytometry) and Multiplex Imaging applications.

Use our conjugation kits for antibody conjugates that are ready-to-use in as little as 20 minutes with 1 minute hands-on-time and 100% antibody recovery: available for fluorescent dyes, HRP, biotin and gold.

Compatibility
This product is compatible with the Maxpar® Antibody Labeling Kit from Fluidigm, without the need for antibody preparation. Maxpar® is a trademark of Fluidigm Canada Inc.

Properties and storage information

Form
Liquid
Purification technique
Affinity purification Protein A
Storage buffer
pH: 7.2 - 7.4 Constituents: PBS
Shipped at conditions
Blue Ice
Appropriate short-term storage conditions
+4°C
Appropriate long-term storage conditions
+4°C

Product protocols

For this product, it's our understanding that no specific protocols are required. You can visit:

Target data

Acts as a receptor of the preprotein translocase complex of the outer mitochondrial membrane (TOM complex) (PubMed : 12526792). Recognizes and mediates the translocation of mitochondrial preproteins from the cytosol into the mitochondria in a chaperone dependent manner (PubMed : 12526792, PubMed : 35025629). Mediates TBK1 and IRF3 activation induced by MAVS in response to Sendai virus infection and promotes host antiviral responses during virus infection (PubMed : 20628368, PubMed : 25609812, PubMed : 32728199). Upon Sendai virus infection, recruits HSP90AA1 : IRF3 : BAX in mitochondrion and the complex induces apoptosis (PubMed : 25609812).
See full target information TOMM70

Product promise

We are committed to supporting your work with high-quality reagents, and we're here for you every step of the way. In the unlikely event that one of our products does not perform as expected, you're protected by our Product Promise.
For full details, please see our Terms & Conditions

Please note: All products are 'FOR RESEARCH USE ONLY. NOT FOR USE IN DIAGNOSTIC OR THERAPEUTIC PROCEDURES'.

For licensing inquiries, please contact partnerships@abcam.com