JavaScript is disabled in your browser. Please enable JavaScript to view this website.
AB283339

Anti-TOMM20 antibody [EPR15581-39] - Mouse IgG1 (Chimeric) - BSA and Azide free

Be the first to review this product! Submit a review

|

(0 Publication)

Mouse Recombinant Monoclonal TOMM20 antibody. Carrier free. Suitable for WB, IHC-Fr, IHC-P and reacts with Mouse, Rat, Human samples.

View Alternative Names

KIAA0016, TOMM20, Mitochondrial import receptor subunit TOM20 homolog, Mitochondrial 20 kDa outer membrane protein, Outer mitochondrial membrane receptor Tom20

6 Images
Immunohistochemistry (Formalin/PFA-fixed paraffin-embedded sections) - Anti-TOMM20 antibody [EPR15581-39] - Mouse IgG1 (Chimeric) - BSA and Azide free (AB283339)
  • IHC-P

Supplier Data

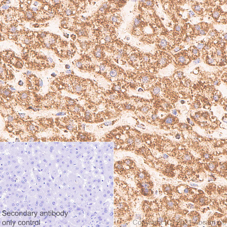
Immunohistochemistry (Formalin/PFA-fixed paraffin-embedded sections) - Anti-TOMM20 antibody [EPR15581-39] - Mouse IgG1 (Chimeric) - BSA and Azide free (AB283339)

This data was developed using ab283317 the same antibody clone in a different buffer formulation.

Immunohistochemical analysis of paraffin-embedded human liver tissue labeling TOMM20 with ab283317 at 1/500 dilution (2.16 ug/ml) followed by a ready to use LeicaDS9800 (Bond™ Polymer Refine Detection). Positive staining on human liver. The section was incubated with ab283317 for 30 mins at room temperature and followed by mouse specific IgG antibody (ab125913) for 8 mins. Counterstained with Hematoxylin.

The immunostaining was performed on a Leica Biosystems BOND® RX instrument.

Secondary antibody only control : Secondary antibody is a ready to use LeicaDS9800 (Bond™ Polymer Refine Detection).

Heat mediated antigen retrieval with Tris-EDTA buffer (pH 9.0, epitope retrieval solution2) for 20 mins.

Immunohistochemistry (Frozen sections) - Anti-TOMM20 antibody [EPR15581-39] - Mouse IgG1 (Chimeric) - BSA and Azide free (AB283339)
  • IHC-Fr

Supplier Data

Immunohistochemistry (Frozen sections) - Anti-TOMM20 antibody [EPR15581-39] - Mouse IgG1 (Chimeric) - BSA and Azide free (AB283339)

This data was developed using ab283317 the same antibody clone in a different buffer formulation.

Immunohistochemical analysis of 4% PFA fixed, 0.2% Triton X-100 permeabilised rat small intestine labeling TOMM20 with ab283317 at 1/500 dilution (2.16 ug/ml) followed by ab150113 Goat Anti-Mouse IgG H&L (Alexa Fluor® 488) at 1/1000 dilution. Positive staining on rat small intestine. Nuclear counterstain : DAPI.

The immunostaining was performed on a Leica Biosystems BOND® RX instrument.

Secondary antibody only control : ab150113 Goat Anti-Mouse IgG H&L (Alexa Fluor® 488).

Heat mediated antigen retrieval using sodium citrate buffer (10mM citrate pH 6.0 + 0.05% Tween-20)

Immunohistochemistry (Formalin/PFA-fixed paraffin-embedded sections) - Anti-TOMM20 antibody [EPR15581-39] - Mouse IgG1 (Chimeric) - BSA and Azide free (AB283339)
  • IHC-P

Supplier Data

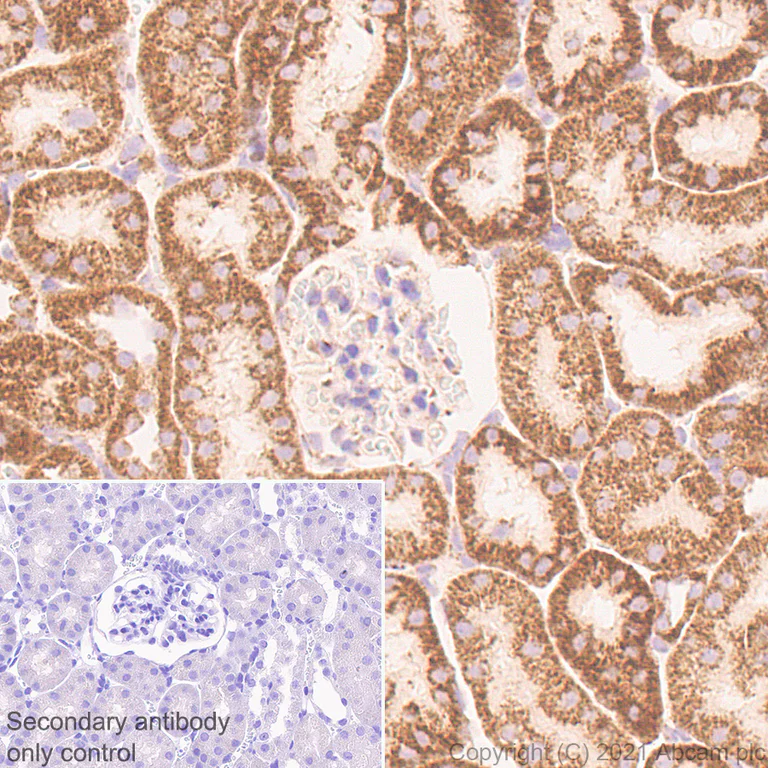
Immunohistochemistry (Formalin/PFA-fixed paraffin-embedded sections) - Anti-TOMM20 antibody [EPR15581-39] - Mouse IgG1 (Chimeric) - BSA and Azide free (AB283339)

This data was developed using ab283317 the same antibody clone in a different buffer formulation.

Immunohistochemical analysis of paraffin-embedded mouse kidney tissue labeling TOMM20 with ab283317 at 1/500 dilution (2.16 ug/ml) followed by a ready to use LeicaDS9800 (Bond™ Polymer Refine Detection). Positive staining on mouse kidney. The section was incubated with ab283317 for 30 mins at room temperature and followed by mouse specific IgG antibody (ab125913) for 8 mins.

The immunostaining was performed on a Leica Biosystems BOND® RX instrument.

Secondary antibody only control : Secondary antibody is a ready to use LeicaDS9800 (Bond™ Polymer Refine Detection).

Heat mediated antigen retrieval with Tris-EDTA buffer (pH 9.0, epitope retrieval solution2) for 20 mins.

Immunohistochemistry (Formalin/PFA-fixed paraffin-embedded sections) - Anti-TOMM20 antibody [EPR15581-39] - Mouse IgG1 (Chimeric) - BSA and Azide free (AB283339)
  • IHC-P

Supplier Data

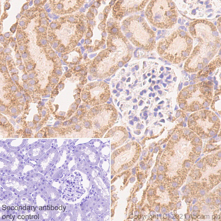
Immunohistochemistry (Formalin/PFA-fixed paraffin-embedded sections) - Anti-TOMM20 antibody [EPR15581-39] - Mouse IgG1 (Chimeric) - BSA and Azide free (AB283339)

This data was developed using ab283317 the same antibody clone in a different buffer formulation.

Immunohistochemical analysis of paraffin-embedded rat kidney tissue labeling TOMM20 with ab283317 at 1/500 dilution (2.16 ug/ml) followed by a ready to use LeicaDS9800 (Bond™ Polymer Refine Detection). Positive staining on rat kidney. The section was incubated with ab283317 for 30 mins at room temperature and followed by mouse specific IgG antibody (ab125913) for 8 mins.

The immunostaining was performed on a Leica Biosystems BOND® RX instrument.

Secondary antibody only control : Secondary antibody is a ready to use LeicaDS9800 (Bond™ Polymer Refine Detection).

Heat mediated antigen retrieval with Tris-EDTA buffer (pH 9.0, epitope retrieval solution2) for 20 mins.

Immunohistochemistry (Frozen sections) - Anti-TOMM20 antibody [EPR15581-39] - Mouse IgG1 (Chimeric) - BSA and Azide free (AB283339)
  • IHC-Fr

Supplier Data

Immunohistochemistry (Frozen sections) - Anti-TOMM20 antibody [EPR15581-39] - Mouse IgG1 (Chimeric) - BSA and Azide free (AB283339)

This data was developed using ab283317 the same antibody clone in a different buffer formulation.

Immunohistochemical analysis of 4% PFA fixed, 0.2% Triton X-100 permeabilised mouse small intestine labeling TOMM20 with ab283317 at 1/500 dilution (2.16 ug/ml) followed by ab150113 Goat Anti-Mouse IgG H&L (Alexa Fluor® 488) at 1/1000 dilution. Positive staining on mouse small intestine. Nuclear counterstain : DAPI.

The immunostaining was performed on a Leica Biosystems BOND® RX instrument.

Secondary antibody only control : ab150113 Goat Anti-Mouse IgG H&L (Alexa Fluor® 488)

Heat mediated antigen retrieval using sodium citrate buffer (10mM citrate pH 6.0 + 0.05% Tween-20)

Western blot - Anti-TOMM20 antibody [EPR15581-39] - Mouse IgG1 (Chimeric) - BSA and Azide free (AB283339)
  • WB

Supplier Data

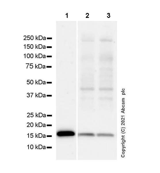
Western blot - Anti-TOMM20 antibody [EPR15581-39] - Mouse IgG1 (Chimeric) - BSA and Azide free (AB283339)

This data was developed using ab283317 the same antibody clone in a different buffer formulation.

Blocking and diluting buffer : 5% NFDM/TBST

Exposure time : Lane 1 : 70 seconds; Lane 2-3 : 59 seconds

Lane 2-3 of this blot was developed using a higher sensitivity ECL substrate.

All lanes:

Western blot - Anti-TOMM20 antibody [EPR15581-39] - Mitochondrial Marker - Mouse IgG1 (Chimeric) (<a href='/en-us/products/primary-antibodies/tomm20-antibody-epr15581-39-mitochondrial-marker-mouse-igg1-chimeric-ab283317'>ab283317</a>) at 1/1000 dilution

Lane 1:

HeLa (human cervix adenocarcinoma epithelial cell), whole cell lysate at 20 µg

Lane 2:

NIH/3T3 (mouse embryonic fibroblast), whole cell lysate at 20 µg

Lane 3:

C6 (rat glial tumor glial cell), whole cell lysate at 20 µg

Secondary

All lanes:

Peroxidase-Conjugated Goat anti-Mouse IgG (H+L) at 1/5000 dilution

Predicted band size: 16 kDa

Observed band size: 16 kDa

false

  • Unconjugated

    Anti-TOMM20 antibody [EPR15581-39] - Mitochondrial Marker - Mouse IgG1 (Chimeric)

  • 665 Alexa Fluor® 647

    Alexa Fluor® 647 Anti-TOMM20 antibody [EPR15581-39] - Mouse IgG1 (Chimeric)

Key facts

Host species

Mouse

Clonality

Monoclonal

Clone number

EPR15581-39

Isotype

IgG1

Carrier free

Yes

Reacts with

Human, Rat, Mouse

Applications

IHC-P, IHC-Fr, WB

applications

Immunogen

The exact immunogen used to generate this antibody is proprietary information.

Reactivity data

{ "title": "Reactivity Data", "filters": { "stats": ["", "Species", "Dilution Info", "Notes"], "tabs": { "all-applications": {"fullname" : "All Applications", "shortname": "All Applications"}, "WB" : {"fullname" : "Western blot", "shortname":"WB"}, "ICCIF" : {"fullname" : "Immunocytochemistry/ Immunofluorescence", "shortname":"ICC/IF"}, "IHCFr" : {"fullname" : "Immunohistochemistry (Frozen sections)", "shortname":"IHC-Fr"}, "FlowCytIntra" : {"fullname" : "Flow Cytometry (Intracellular)", "shortname":"Flow Cyt (Intra)"}, "IHCP" : {"fullname" : "Immunohistochemistry (Formalin/PFA-fixed paraffin-embedded sections)", "shortname":"IHC-P"} }, "product-promise": { "all": "all", "testedAndGuaranteed": "tested", "guaranteed": "expected", "predicted": "predicted", "notRecommended": "not-recommended" } }, "values": { "Human": { "WB-species-checked": "testedAndGuaranteed", "WB-species-dilution-info": "", "WB-species-notes": "<p></p>", "ICCIF-species-checked": "notRecommended", "ICCIF-species-dilution-info": "", "ICCIF-species-notes": "<p></p>", "IHCFr-species-checked": "guaranteed", "IHCFr-species-dilution-info": "", "IHCFr-species-notes": "", "FlowCytIntra-species-checked": "notRecommended", "FlowCytIntra-species-dilution-info": "", "FlowCytIntra-species-notes": "<p></p>", "IHCP-species-checked": "testedAndGuaranteed", "IHCP-species-dilution-info": "", "IHCP-species-notes": "<p></p>" }, "Mouse": { "WB-species-checked": "testedAndGuaranteed", "WB-species-dilution-info": "", "WB-species-notes": "<p></p>", "ICCIF-species-checked": "notRecommended", "ICCIF-species-dilution-info": "", "ICCIF-species-notes": "<p></p>", "IHCFr-species-checked": "testedAndGuaranteed", "IHCFr-species-dilution-info": "", "IHCFr-species-notes": "<p>Heat mediated antigen retrieval using sodium citrate buffer (10mM citrate pH 6.0 + 0.05% Tween-20)</p>", "FlowCytIntra-species-checked": "notRecommended", "FlowCytIntra-species-dilution-info": "", "FlowCytIntra-species-notes": "<p></p>", "IHCP-species-checked": "testedAndGuaranteed", "IHCP-species-dilution-info": "", "IHCP-species-notes": "<p></p>" }, "Rat": { "WB-species-checked": "testedAndGuaranteed", "WB-species-dilution-info": "", "WB-species-notes": "<p></p>", "ICCIF-species-checked": "notRecommended", "ICCIF-species-dilution-info": "", "ICCIF-species-notes": "<p></p>", "IHCFr-species-checked": "testedAndGuaranteed", "IHCFr-species-dilution-info": "", "IHCFr-species-notes": "<p>Heat mediated antigen retrieval using sodium citrate buffer (10mM citrate pH 6.0 + 0.05% Tween-20)</p>", "FlowCytIntra-species-checked": "notRecommended", "FlowCytIntra-species-dilution-info": "", "FlowCytIntra-species-notes": "<p></p>", "IHCP-species-checked": "testedAndGuaranteed", "IHCP-species-dilution-info": "", "IHCP-species-notes": "<p></p>" } } }

Product details

Mitochondrial Marker

ab283339 is the carrier-free version of ab283317.

This mouse monoclonal chimeric antibody has been engineered from a RabMAb parent antibody (ab186734). By necessity, some rabbit sequence is retained as part of the variable domain. When multiplexing with other rabbit-derived antibodies, using cross absorbed Fc-reactive secondary antibodies are recommended.

What are the advantages of a recombinant monoclonal antibody?
This product is a recombinant monoclonal antibody, which offers several advantages including:

  • - High batch-to-batch consistency and reproducibility
  • - Improved sensitivity and specificity
  • - Long-term security of supply
  • - Animal-free batch production

For more information, read more on recombinant antibodies.

Conjugation ready
Our carrier-free antibodies are typically supplied in a PBS-only formulation, purified and free of BSA, sodium azide and glycerol. This conjugation-ready format is designed for use with fluorochromes, metal isotopes, oligonucleotides, and enzymes, which makes them ideal for antibody labelling, functional and cell-based assays, flow-based assays (e.g. mass cytometry) and Multiplex Imaging applications.

Use our conjugation kits for antibody conjugates that are ready-to-use in as little as 20 minutes with 1 minute hands-on-time and 100% antibody recovery: available for fluorescent dyes, HRP, biotin and gold.

Compatibility
This product is compatible with the Maxpar® Antibody Labeling Kit from Fluidigm, without the need for antibody preparation. Maxpar® is a trademark of Fluidigm Canada Inc.

Properties and storage information

Form
Liquid
Purification technique
Affinity purification Protein A
Storage buffer
pH: 7.2 - 7.4 Constituents: PBS
Shipped at conditions
Blue Ice
Appropriate short-term storage conditions
+4°C
Appropriate long-term storage conditions
+4°C
Storage information
Do Not Freeze

Product protocols

For this product, it's our understanding that no specific protocols are required. You can visit:

Target data

Central receptor component of the translocase of the outer membrane of mitochondria (TOM) complex essential for the recognition and translocation of cytosolically synthesized mitochondrial preproteins (PubMed : 40080546). Together with TOMM22 functions as the transit peptide receptor at the surface of the mitochondrion outer membrane and facilitates the movement of preproteins into the TOM40 translocation pore (PubMed : 18331822). The TOM complex associates with the ion channel VDAC2 and PINK1 kinase at depolarized mitochondria, this interaction stabilizes PINK1 at the outer mitochondrial membrane and triggers downstream mitophagy by the recruitment of the E3 ubiquitin ligase PRKN (PubMed : 40080546). Required for the translocation across the mitochondrial outer membrane of cytochrome P450 monooxygenases (By similarity).
See full target information TOMM20

Product promise

We are committed to supporting your work with high-quality reagents, and we're here for you every step of the way. In the unlikely event that one of our products does not perform as expected, you're protected by our Product Promise.
For full details, please see our Terms & Conditions

Please note: All products are 'FOR RESEARCH USE ONLY. NOT FOR USE IN DIAGNOSTIC OR THERAPEUTIC PROCEDURES'.

For licensing inquiries, please contact partnerships@abcam.com