JavaScript is disabled in your browser. Please enable JavaScript to view this website.
AB289676

Anti-TOMM20 antibody [EPR15581-39] - Rat IgG2a (Chimeric) - BSA and Azide free

Be the first to review this product! Submit a review

|

(0 Publication)

Rat Recombinant Monoclonal TOMM20 antibody. Carrier free. Suitable for ICC/IF, WB, IHC-P, IHC-Fr, Flow Cyt (Intra) and reacts with Human, Mouse, Rat samples.

View Alternative Names

KIAA0016, TOMM20, Mitochondrial import receptor subunit TOM20 homolog, Mitochondrial 20 kDa outer membrane protein, Outer mitochondrial membrane receptor Tom20

6 Images
Immunohistochemistry (Frozen sections) - Anti-TOMM20 antibody [EPR15581-39] - Rat IgG2a (Chimeric) - BSA and Azide free (AB289676)
  • IHC-Fr

Supplier Data

Immunohistochemistry (Frozen sections) - Anti-TOMM20 antibody [EPR15581-39] - Rat IgG2a (Chimeric) - BSA and Azide free (AB289676)

This data was developed using ab289670 the same antibody clone in a different buffer formulation.

Immunohistochemical analysis of 4% PFA-fixed, 0.2% Triton X-100 permeabilized frozen mouse small intestine tissue labelling TOMM20 with ab289670 at 1/50 dilution, followed by ab150157 Goat Anti-Rat IgG H&L (Alexa Fluor® 488) secondary antibody at 1/1000 dilution (Green). Positive staining on mouse small intestine. The nuclear conterstain is DAPI (Blue).

Secondary antibody only control : Used PBS instead of primary antibody, followed by ab150157 Goat Anti-Rat IgG H&L (Alexa Fluor® 488) secondary antibody at 1/1000 dilution.

Heat mediated antigen retrieval using sodium citrate buffer (10mM citrate pH 6.0 + 0.05% Tween-20).

Flow Cytometry (Intracellular) - Anti-TOMM20 antibody [EPR15581-39] - Rat IgG2a (Chimeric) - BSA and Azide free (AB289676)
  • Flow Cyt (Intra)

Supplier Data

Flow Cytometry (Intracellular) - Anti-TOMM20 antibody [EPR15581-39] - Rat IgG2a (Chimeric) - BSA and Azide free (AB289676)

This data was developed using ab289670 the same antibody clone in a different buffer formulation.

Flow cytometric analysis of 4% paraformaldehyde-fixed, 90% methanol-permeabilized HeLa (human cervix adenocarcinoma epithelial cell line) cells labeling TOMM20 with ab289670 at 1/1000 dilution (Red) compared with a rat monoclonal IgG isotype control (Black) and an unlabelled control (cells without incubation with primary antibody and secondary antibody) (Blue).

Goat F(ab)2 Anti-Rat IgG Fc (Alexa Fluor® 488, ab150161) at 1/2000 dilution was used as the secondary antibody.

Immunohistochemistry (Frozen sections) - Anti-TOMM20 antibody [EPR15581-39] - Rat IgG2a (Chimeric) - BSA and Azide free (AB289676)
  • IHC-Fr

Supplier Data

Immunohistochemistry (Frozen sections) - Anti-TOMM20 antibody [EPR15581-39] - Rat IgG2a (Chimeric) - BSA and Azide free (AB289676)

This data was developed using ab289670 the same antibody clone in a different buffer formulation.

Immunohistochemical analysis of 4% PFA-fixed, 0.2% Triton X-100 permeabilized frozen rat small intestine tissue labelling TOMM20 with ab289670 at 1/50 dilution, followed by ab150157 Goat Anti-Rat IgG H&L (Alexa Fluor® 488) secondary antibody at 1/1000 dilution (Green). Positive staining on rat small intestine. The nuclear conterstain is DAPI (Blue).

Secondary antibody only control : Used PBS instead of primary antibody, followed by ab150157 Goat Anti-Rat IgG H&L (Alexa Fluor® 488) secondary antibody at 1/1000 dilution.

Heat mediated antigen retrieval using sodium citrate buffer (10mM citrate pH 6.0 + 0.05% Tween-20).

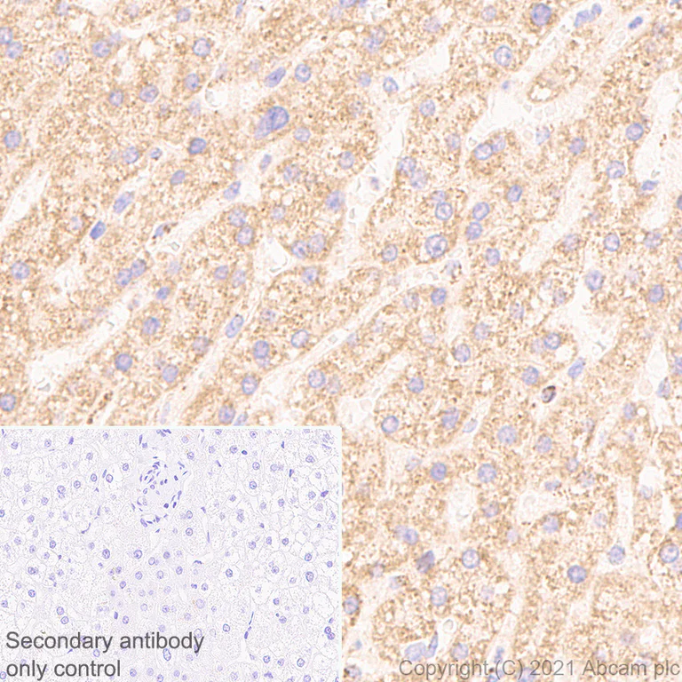
Immunohistochemistry (Formalin/PFA-fixed paraffin-embedded sections) - Anti-TOMM20 antibody [EPR15581-39] - Rat IgG2a (Chimeric) - BSA and Azide free (AB289676)
  • IHC-P

Supplier Data

Immunohistochemistry (Formalin/PFA-fixed paraffin-embedded sections) - Anti-TOMM20 antibody [EPR15581-39] - Rat IgG2a (Chimeric) - BSA and Azide free (AB289676)

This data was developed using ab289670 the same antibody clone in a different buffer formulation.

Immunohistochemical analysis of paraffin-embedded Human liver tissue labelling TOMM20 with ab289670 at 1/500 dilution followed by a ready to use LeicaDS9800 (Bond™ Polymer Refine Detection). Positive staining on human liver. The section was incubated with ab289670 for 30 mins at room temperature and followed by rabbit specific IgG antibody (ab102248) for 8 mins. The immunostaining was performed on a Leica Biosystems BOND® RX instrument. Counterstained with Hematoxylin.

Secondary antibody only control : Secondary antibody is a ready to use LeicaDS9800 (Bond™ Polymer Refine Detection).

Heat mediated antigen retrieval with Tris-EDTA buffer (pH 9.0, epitope retrieval solution2) for 20 mins.

Immunocytochemistry/ Immunofluorescence - Anti-TOMM20 antibody [EPR15581-39] - Rat IgG2a (Chimeric) - BSA and Azide free (AB289676)
  • ICC/IF

Supplier Data

Immunocytochemistry/ Immunofluorescence - Anti-TOMM20 antibody [EPR15581-39] - Rat IgG2a (Chimeric) - BSA and Azide free (AB289676)

This data was developed using ab289670 the same antibody clone in a different buffer formulation.

Immunofluorescent analysis of 4% paraformaldehyde-fixed, 0.1% Triton X-100 permeabilized HeLa cells labeling TOMM20 with ab289670 at 1/100 dilution, followed by Goat Anti-Rat IgG H&L (Alexa Fluor® 488 (ab150157) secondary antibody at 1/1000 dilution (Green). Confocal image showing cytoplasmic staining in HeLa cell line. The nuclear counterstain is DAPI (Blue). Tubuln is labeled using ab195889 Anti-alpha Tubulin mouse monoclonal antibody - Microtubule Marker (Alexa Fluor® 594) at 1/200 dilution (Red).

Secondary antibody only control : Used PBS instead of primary antibody, followed by Goat Anti-Rat IgG H&L (Alexa Fluor® 488 (ab150157) secondary antibody at 1/1000 dilution.

Western blot - Anti-TOMM20 antibody [EPR15581-39] - Rat IgG2a (Chimeric) - BSA and Azide free (AB289676)
  • WB

Supplier Data

Western blot - Anti-TOMM20 antibody [EPR15581-39] - Rat IgG2a (Chimeric) - BSA and Azide free (AB289676)

This data was developed using ab289670 the same antibody clone in a different buffer formulation.

Blocking and dilution buffer : 5% NFDM/TBST.

Exposure time : 3 minutes.

All lanes:

Western blot - Anti-TOMM20 antibody [EPR15581-39] - Mitochondrial Marker - Rat IgG2a (Chimeric) (<a href='/en-us/products/primary-antibodies/tomm20-antibody-epr15581-39-mitochondrial-marker-rat-igg2a-chimeric-ab289670'>ab289670</a>) at 1/1000 dilution

All lanes:

HeLa (human cervix adenocarcinoma epithelial cell line) whole cell lysate at 20 µg

Secondary

All lanes:

Western blot - Goat Anti-Rat IgG H&L (HRP) (<a href='/en-us/products/secondary-antibodies/goat-rat-igg-h-l-hrp-ab205720'>ab205720</a>) at 1/5000 dilution

Predicted band size: 16 kDa

Observed band size: 16 kDa

false

  • Unconjugated

    Anti-TOMM20 antibody [EPR15581-39] - Mitochondrial Marker - Rat IgG2a (Chimeric)

  • 665 Alexa Fluor® 647

    Alexa Fluor® 647 Anti-TOMM20 antibody [EPR15581-39] - Rat IgG2a (Chimeric)

Key facts

Host species

Rat

Clonality

Monoclonal

Clone number

EPR15581-39

Isotype

IgG2a

Carrier free

Yes

Reacts with

Mouse, Human, Rat

Applications

WB, IHC-P, Flow Cyt (Intra), ICC/IF, IHC-Fr

applications

Immunogen

The exact immunogen used to generate this antibody is proprietary information.

Specificity

This antibody does not react with mouse and rat species in IHC.

Reactivity data

{ "title": "Reactivity Data", "filters": { "stats": ["", "Species", "Dilution Info", "Notes"], "tabs": { "all-applications": {"fullname" : "All Applications", "shortname": "All Applications"}, "ICCIF" : {"fullname" : "Immunocytochemistry/ Immunofluorescence", "shortname":"ICC/IF"}, "WB" : {"fullname" : "Western blot", "shortname":"WB"}, "IHCP" : {"fullname" : "Immunohistochemistry (Formalin/PFA-fixed paraffin-embedded sections)", "shortname":"IHC-P"}, "IHCFr" : {"fullname" : "Immunohistochemistry (Frozen sections)", "shortname":"IHC-Fr"}, "FlowCytIntra" : {"fullname" : "Flow Cytometry (Intracellular)", "shortname":"Flow Cyt (Intra)"} }, "product-promise": { "all": "all", "testedAndGuaranteed": "tested", "guaranteed": "expected", "predicted": "predicted", "notRecommended": "not-recommended" } }, "values": { "Human": { "ICCIF-species-checked": "testedAndGuaranteed", "ICCIF-species-dilution-info": "", "ICCIF-species-notes": "<p></p>", "WB-species-checked": "testedAndGuaranteed", "WB-species-dilution-info": "", "WB-species-notes": "<p></p>", "IHCP-species-checked": "testedAndGuaranteed", "IHCP-species-dilution-info": "", "IHCP-species-notes": "<p>This antibody does not react with mouse and rat species in IHC.</p>", "IHCFr-species-checked": "guaranteed", "IHCFr-species-dilution-info": "", "IHCFr-species-notes": "", "FlowCytIntra-species-checked": "testedAndGuaranteed", "FlowCytIntra-species-dilution-info": "", "FlowCytIntra-species-notes": "<p></p>" }, "Mouse": { "ICCIF-species-checked": "guaranteed", "ICCIF-species-dilution-info": "", "ICCIF-species-notes": "", "WB-species-checked": "guaranteed", "WB-species-dilution-info": "", "WB-species-notes": "", "IHCP-species-checked": "notRecommended", "IHCP-species-dilution-info": "", "IHCP-species-notes": "<p>This antibody does not react with mouse and rat species in IHC.</p>", "IHCFr-species-checked": "testedAndGuaranteed", "IHCFr-species-dilution-info": "", "IHCFr-species-notes": "<p>Heat mediated antigen retrieval using sodium citrate buffer (10mM citrate pH 6.0 + 0.05% Tween-20)</p>", "FlowCytIntra-species-checked": "guaranteed", "FlowCytIntra-species-dilution-info": "", "FlowCytIntra-species-notes": "" }, "Rat": { "ICCIF-species-checked": "guaranteed", "ICCIF-species-dilution-info": "", "ICCIF-species-notes": "", "WB-species-checked": "guaranteed", "WB-species-dilution-info": "", "WB-species-notes": "", "IHCP-species-checked": "notRecommended", "IHCP-species-dilution-info": "", "IHCP-species-notes": "<p>This antibody does not react with mouse and rat species in IHC.</p>", "IHCFr-species-checked": "testedAndGuaranteed", "IHCFr-species-dilution-info": "", "IHCFr-species-notes": "<p>Heat mediated antigen retrieval using sodium citrate buffer (10mM citrate pH 6.0 + 0.05% Tween-20)</p>", "FlowCytIntra-species-checked": "guaranteed", "FlowCytIntra-species-dilution-info": "", "FlowCytIntra-species-notes": "" } } }

You may be interested in:

AB109721

Complex I Enzyme Activity Microplate Assay Kit (Colorimetric)

5

4 Reviews

View product

We recommend this product because it’s often used in the same experiment or related research.

We advise that you always check the datasheet to ensure it fits your experiments, or contact ourtechnical teamfor help.

Product details

Properties and storage information

Form
Liquid
Purification technique
Ion exchange chromatography
Storage buffer
pH: 7.2 - 7.4 Constituents: 100% PBS
Shipped at conditions
Blue Ice
Appropriate short-term storage conditions
+4°C
Appropriate long-term storage conditions
+4°C
Storage information
Do Not Freeze

Product protocols

For this product, it's our understanding that no specific protocols are required. You can visit:

Target data

Central component of the receptor complex responsible for the recognition and translocation of cytosolically synthesized mitochondrial preproteins. Together with TOM22 functions as the transit peptide receptor at the surface of the mitochondrion outer membrane and facilitates the movement of preproteins into the TOM40 translocation pore (By similarity). Required for the translocation across the mitochondrial outer membrane of cytochrome P450 monooxygenases.
See full target information TOMM20

Product promise

We are committed to supporting your work with high-quality reagents, and we're here for you every step of the way. In the unlikely event that one of our products does not perform as expected, you're protected by our Product Promise.
For full details, please see our Terms & Conditions

Associated Products

Select an associated product type
Alternative Version
Primary Antibodies

AB309083

Alexa Fluor® 488 Anti-TOMM20 antibody [EPR15581-39] - Rat IgG2a (Chimeric)

primary-antibodies

alexa-fluor-488-tomm20-antibody-epr15581-39-rat-igg2a-chimeric-ab309083

0

(0 reviews)

Alternative Version
Primary Antibodies

AB309166

Alexa Fluor® 647 Anti-TOMM20 antibody [EPR15581-39] - Mouse IgG1 (Chimeric)

primary-antibodies

alexa-fluor-647-tomm20-antibody-epr15581-39-mouse-igg1-chimeric-ab309166

0

(0 reviews)

Alternative Version
Primary Antibodies

AB309167

Alexa Fluor® 647 Anti-TOMM20 antibody [EPR15581-39] - Rat IgG2a (Chimeric)

primary-antibodies

alexa-fluor-647-tomm20-antibody-epr15581-39-rat-igg2a-chimeric-ab309167

0

(0 reviews)

Please note: All products are 'FOR RESEARCH USE ONLY. NOT FOR USE IN DIAGNOSTIC OR THERAPEUTIC PROCEDURES'.

For licensing inquiries, please contact partnerships@abcam.com