JavaScript is disabled in your browser. Please enable JavaScript to view this website.
AB232589

Anti-TOMM20 antibody [EPR15581-54] - BSA and Azide free

Be the first to review this product! Submit a review

|

(11 Publications)

Anti-TOMM20 antibody [EPR15581-54] - BSA and Azide free (ab232589) is a rabbit recombinant monoclonal antibody provided in a PBS only buffer for easy conjugation. Suitable for Western Blot, Flow Cytometry, IHC-P, IHC-Fr, ICC/IF in Human, Mouse, Rat.

- BSA, sodium azide, and glycerol-free for easy conjugation
- Biophysical QC for unrivalled batch-batch consistency

View Alternative Names

KIAA0016, TOMM20, Mitochondrial import receptor subunit TOM20 homolog, Mitochondrial 20 kDa outer membrane protein, Outer mitochondrial membrane receptor Tom20

8 Images
Immunocytochemistry/ Immunofluorescence - Anti-TOMM20 antibody [EPR15581-54] - BSA and Azide free (AB232589)
  • ICC/IF

Lab

Immunocytochemistry/ Immunofluorescence - Anti-TOMM20 antibody [EPR15581-54] - BSA and Azide free (AB232589)

ab186735 staining TOMM20 in HeLa (human epithelial cell line from cervix adenocarcinoma) cells by ICC/IF (Immunocytochemistry/immunofluorescence). Cells were fixed with 4% Paraformaldehyde and permeabilized with 0.1% Triton X-100. Samples were incubated with primary antibody at a dilution of 1/500. A goat anti rabbit IgG (Alexa Fluor® 488) (ab150077) was used as the secondary antibody at a dilution of 1/1000. DAPI was used as a nuclear counterstain.

Control : PBS only

This data was developed using the same antibody clone in a different buffer formulation containing PBS, BSA, glycerol, and sodium azide (ab186735).

Immunocytochemistry/ Immunofluorescence - Anti-TOMM20 antibody [EPR15581-54] - BSA and Azide free (AB232589)
  • ICC/IF

Supplier Data

Immunocytochemistry/ Immunofluorescence - Anti-TOMM20 antibody [EPR15581-54] - BSA and Azide free (AB232589)

Immunofluorescence analysis of paraformaldehyde-fixed HeLa (human epithelial cell line from cervix adenocarcinoma) cells, labeling TOMM20 (green) with ab186735 at 1/250 dilution. Alexa Fluor®488-conjugated goat anti-rabbit IgG was used as a secondary antibody at 1/200 dilution. Nuclei were counterstained with DAPI (blue).

This data was developed using the same antibody clone in a different buffer formulation containing PBS, BSA, glycerol, and sodium azide (ab186735).

Flow Cytometry (Intracellular) - Anti-TOMM20 antibody [EPR15581-54] - BSA and Azide free (AB232589)
  • Flow Cyt (Intra)

Supplier Data

Flow Cytometry (Intracellular) - Anti-TOMM20 antibody [EPR15581-54] - BSA and Azide free (AB232589)

Intracellular Flow Cytometry analysis of TOMM20 expression in paraformaldehyde-fixed HeLa (human epithelial cell line from cervix adenocarcinoma) cells cells using ab186735 at 1/90 dilution (red) and a rabbit IgG as negative control (green).

This data was developed using the same antibody clone in a different buffer formulation containing PBS, BSA, glycerol, and sodium azide (ab186735).

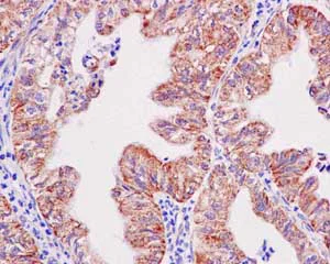
Immunohistochemistry (Formalin/PFA-fixed paraffin-embedded sections) - Anti-TOMM20 antibody [EPR15581-54] - BSA and Azide free (AB232589)
  • IHC-P

Supplier Data

Immunohistochemistry (Formalin/PFA-fixed paraffin-embedded sections) - Anti-TOMM20 antibody [EPR15581-54] - BSA and Azide free (AB232589)

Immunohistochemical analysis of paraffin-embedded human ovarian carcinoma tissue labeling TOMM20 with ab186735 at 1/100 dilution followed by prediluted HRP Polymer for Rabbit IgG. Counter stained with hematoxylin.

This data was developed using the same antibody clone in a different buffer formulation containing PBS, BSA, glycerol, and sodium azide (ab186735).

Perform heat mediated antigen retrieval with EDTA buffer pH 9 before commencing with IHC staining protocol.

Immunohistochemistry (Frozen sections) - Anti-TOMM20 antibody [EPR15581-54] - BSA and Azide free (AB232589)
  • IHC-Fr

Unknown

Immunohistochemistry (Frozen sections) - Anti-TOMM20 antibody [EPR15581-54] - BSA and Azide free (AB232589)

Immunohistochemistry (Frozen sections) analysis of rat small intestine tissue sections labeling TOMM20 with Purified ab186735 at 1/50 (1.9 μg/ml).Heat mediated antigen retrieval using sodium citrate buffer (10mM citrate pH 6.0 + 0.05% Tween-20). Goat anti rabbit IgG (Alexa Fluor® 488, ab150077) was used as the secondary antibody. Negative control : PBS instead of the primary antibody. DAPI was used as a counterstain.

This data was developed using the same antibody clone in a different buffer formulation containing PBS, BSA, glycerol, and sodium azide (ab186735).

Immunohistochemistry (Frozen sections) - Anti-TOMM20 antibody [EPR15581-54] - BSA and Azide free (AB232589)
  • IHC-Fr

Unknown

Immunohistochemistry (Frozen sections) - Anti-TOMM20 antibody [EPR15581-54] - BSA and Azide free (AB232589)

Immunohistochemistry (Frozen sections) analysis of mouse small intestine tissue sections labeling TOMM20 with Purified ab186735 at 1/50 (1.9 μg/ml).Heat mediated antigen retrieval using sodium citrate buffer (10mM citrate pH 6.0 + 0.05% Tween-20). Goat anti rabbit IgG (Alexa Fluor® 488, ab150077) was used as the secondary antibody. Negative control : PBS instead of the primary antibody. DAPI was used as a counterstain.

This data was developed using the same antibody clone in a different buffer formulation containing PBS, BSA, glycerol, and sodium azide (ab186735).

Immunohistochemistry (Formalin/PFA-fixed paraffin-embedded sections) - Anti-TOMM20 antibody [EPR15581-54] - BSA and Azide free (AB232589)
  • IHC-P

Supplier Data

Immunohistochemistry (Formalin/PFA-fixed paraffin-embedded sections) - Anti-TOMM20 antibody [EPR15581-54] - BSA and Azide free (AB232589)

Immunohistochemical analysis of paraffin-embedded mouse cardiac muscle tissue labeling TOMM20 with ab186735 at 1/100 dilution followed by prediluted HRP Polymer for Rabbit IgG. Counter stained with Hematoxylin.

This data was developed using the same antibody clone in a different buffer formulation containing PBS, BSA, glycerol, and sodium azide (ab186735).

Perform heat mediated antigen retrieval with EDTA buffer pH 9 before commencing with IHC staining protocol.

Immunohistochemistry (Frozen sections) - Anti-TOMM20 antibody [EPR15581-54] - BSA and Azide free (AB232589)
  • IHC-Fr

Unknown

Immunohistochemistry (Frozen sections) - Anti-TOMM20 antibody [EPR15581-54] - BSA and Azide free (AB232589)

Immunohistochemistry (Frozen sections) analysis of mouse cardiac muscle tissue sections labeling TOMM20 with Purified ab186735 at 1/50 (1.9 μg/ml).Heat mediated antigen retrieval using sodium citrate buffer (10mM citrate pH 6.0 + 0.05% Tween-20). Goat anti rabbit IgG (Alexa Fluor® 488, ab150077) was used as the secondary antibody. Negative control : PBS instead of the primary antibody. DAPI was used as a counterstain.

This data was developed using the same antibody clone in a different buffer formulation containing PBS, BSA, glycerol, and sodium azide (ab186735).

  • Unconjugated

    Anti-TOMM20 antibody [EPR15581-54] - Mitochondrial Marker

  • 519 Alexa Fluor® 488

    Alexa Fluor® 488 Anti-TOMM20 antibody [EPR15581-54] - Mitochondrial Marker

  • 665 Alexa Fluor® 647

    Alexa Fluor® 647 Anti-TOMM20 antibody [EPR15581-54] - Mitochondrial Marker

  • 660 APC

    APC Anti-TOMM20 antibody [EPR15581-54] - Mitochondrial Marker

  • HRP

    HRP Anti-TOMM20 antibody [EPR15581-54] - Mitochondrial Marker

  • 578 PE

    PE Anti-TOMM20 antibody [EPR15581-54] - Mitochondrial Marker

  • 565 Alexa Fluor® 555

    Alexa Fluor® 555 Anti-TOMM20 antibody [EPR15581-54] - Mitochondrial Marker

  • 421 Alexa Fluor® 405

    Alexa Fluor® 405 Anti-TOMM20 antibody [EPR15581-54] - Mitochondrial Marker

  • 617 Alexa Fluor® 594

    Alexa Fluor® 594 Anti-TOMM20 antibody [EPR15581-54] - Mitochondrial Marker

  • 603 Alexa Fluor® 568

    Alexa Fluor® 568 Anti-TOMM20 antibody [EPR15581-54] - Mitochondrial Marker

Key facts

Host species

Rabbit

Clonality

Monoclonal

Clone number

EPR15581-54

Isotype

IgG

Carrier free

Yes

Reacts with

Mouse, Rat, Human

Applications

IHC-P, WB, ICC/IF, IHC-Fr, Flow Cyt (Intra)

applications

Immunogen

The exact immunogen used to generate this antibody is proprietary information.

Reactivity data

{ "title": "Reactivity Data", "filters": { "stats": ["", "Species", "Dilution Info", "Notes"], "tabs": { "all-applications": {"fullname" : "All Applications", "shortname": "All Applications"}, "WB" : {"fullname" : "Western blot", "shortname":"WB"}, "ICCIF" : {"fullname" : "Immunocytochemistry/ Immunofluorescence", "shortname":"ICC/IF"}, "IHCFr" : {"fullname" : "Immunohistochemistry (Frozen sections)", "shortname":"IHC-Fr"}, "FlowCytIntra" : {"fullname" : "Flow Cytometry (Intracellular)", "shortname":"Flow Cyt (Intra)"}, "IHCP" : {"fullname" : "Immunohistochemistry (Formalin/PFA-fixed paraffin-embedded sections)", "shortname":"IHC-P"} }, "product-promise": { "all": "all", "testedAndGuaranteed": "tested", "guaranteed": "expected", "predicted": "predicted", "notRecommended": "not-recommended" } }, "values": { "Human": { "WB-species-checked": "guaranteed", "WB-species-dilution-info": "", "WB-species-notes": "<p></p>", "ICCIF-species-checked": "testedAndGuaranteed", "ICCIF-species-dilution-info": "", "ICCIF-species-notes": "<p></p>", "IHCFr-species-checked": "guaranteed", "IHCFr-species-dilution-info": "", "IHCFr-species-notes": "", "FlowCytIntra-species-checked": "testedAndGuaranteed", "FlowCytIntra-species-dilution-info": "", "FlowCytIntra-species-notes": "<p></p>", "IHCP-species-checked": "testedAndGuaranteed", "IHCP-species-dilution-info": "", "IHCP-species-notes": "<p></p>" }, "Mouse": { "WB-species-checked": "guaranteed", "WB-species-dilution-info": "", "WB-species-notes": "<p></p>", "ICCIF-species-checked": "predicted", "ICCIF-species-dilution-info": "", "ICCIF-species-notes": "", "IHCFr-species-checked": "predicted", "IHCFr-species-dilution-info": "", "IHCFr-species-notes": "", "FlowCytIntra-species-checked": "predicted", "FlowCytIntra-species-dilution-info": "", "FlowCytIntra-species-notes": "", "IHCP-species-checked": "predicted", "IHCP-species-dilution-info": "", "IHCP-species-notes": "" }, "Rat": { "WB-species-checked": "guaranteed", "WB-species-dilution-info": "", "WB-species-notes": "<p></p>", "ICCIF-species-checked": "guaranteed", "ICCIF-species-dilution-info": "", "ICCIF-species-notes": "", "IHCFr-species-checked": "testedAndGuaranteed", "IHCFr-species-dilution-info": "", "IHCFr-species-notes": "<p>Heat mediated antigen retrieval using sodium citrate buffer (10mM citrate pH 6.0 + 0.05% Tween-20)</p>", "FlowCytIntra-species-checked": "guaranteed", "FlowCytIntra-species-dilution-info": "", "FlowCytIntra-species-notes": "", "IHCP-species-checked": "guaranteed", "IHCP-species-dilution-info": "", "IHCP-species-notes": "" } } }

Product details

What is this antibody validated in?
Anti-TOMM20 antibody [EPR15581-54] - BSA and Azide free (ab232589) is a rabbit recombinant monoclonal antibody and is validated for use in Western Blot (WB), Flow Cytometry (Intra), Flow Cytometry (Flow Cyt), Immunohistochemistry (IHC-P), Immunohistochemistry (IHC-Fr), Immunocytochemistry/immunofluorescence (ICC/IF) in Human, Mouse, Rat samples.

What is the molecular weight of TOMM20?
Anti-TOMM20 [EPR15581-54] - BSA and Azide free (ab232589) specifically detects a band for TOMM20 (UniProt: Q15388) at a molecular weight of 16kDa.

Other related products
We have a range of other formats of antibody clone [EPR15581-54] also available for your convenience: ab186735, Alexa Fluor® 647 - ab209606, HRP - ab209951, Alexa Fluor® 405 - ab210047, Alexa Fluor® 594 - ab210665, Alexa Fluor® 568 - ab210841, Alexa Fluor® 555 - ab221292, APC - ab225341, PE - ab225342, Carrier free - ab232589, Alexa Fluor® 488 - ab320072

Patented technology
Our RabMAb® technology is a patented hybridoma-based technology for making rabbit monoclonal antibodies. For details on our patents, please refer to RabMAb® patents.

What are the advantages of a recombinant monoclonal antibody?
This product is a recombinant monoclonal antibody, which offers several advantages including:

  • - High batch-to-batch consistency and reproducibility
  • - Improved sensitivity and specificity
  • - Long-term security of supply
  • - Animal-free batch production

For more information, read more on recombinant antibodies.

Conjugation ready
Our carrier-free antibodies are typically supplied in a PBS-only formulation, purified and free of BSA, sodium azide and glycerol. This conjugation-ready format is designed for use with fluorochromes, metal isotopes, oligonucleotides, and enzymes, which makes them ideal for antibody labelling, functional and cell-based assays, flow-based assays (e.g. mass cytometry) and Multiplex Imaging applications.

Use our conjugation kits for antibody conjugates that are ready-to-use in as little as 20 minutes with 1 minute hands-on-time and 100% antibody recovery: available for fluorescent dyes, HRP, biotin and gold.

Compatibility
This product is compatible with the Maxpar® Antibody Labeling Kit from Fluidigm, without the need for antibody preparation. Maxpar® is a trademark of Fluidigm Canada Inc.

Properties and storage information

Form
Liquid
Purification technique
Affinity purification Protein A
Storage buffer
pH: 7.2 - 7.4 Constituents: PBS
Shipped at conditions
Blue Ice
Appropriate short-term storage conditions
+4°C
Appropriate long-term storage conditions
+4°C
Storage information
Do Not Freeze

Product protocols

For this product, it's our understanding that no specific protocols are required. You can visit:

Target data

Central component of the receptor complex responsible for the recognition and translocation of cytosolically synthesized mitochondrial preproteins. Together with TOM22 functions as the transit peptide receptor at the surface of the mitochondrion outer membrane and facilitates the movement of preproteins into the TOM40 translocation pore (By similarity). Required for the translocation across the mitochondrial outer membrane of cytochrome P450 monooxygenases.
See full target information TOMM20

Publications (11)

Recent publications for all applications. Explore the full list and refine your search

Nature metabolism 7:493-507 PubMed39972217

2025

Pro-inflammatory macrophages produce mitochondria-derived superoxide by reverse electron transport at complex I that regulates IL-1β release during NLRP3 inflammasome activation.

Applications

Unspecified application

Species

Unspecified reactive species

Alva M Casey,Dylan G Ryan,Hiran A Prag,Suvagata Roy Chowdhury,Eloïse Marques,Keira Turner,Anja V Gruszczyk,Ming Yang,Dane M Wolf,Jan Lj Miljkovic,Joyce Valadares,Patrick F Chinnery,Richard C Hartley,Christian Frezza,Julien Prudent,Michael P Murphy

British journal of pharmacology 182:1005-1024 PubMed39467709

2024

Dihydro-resveratrol ameliorates NLRP3 inflammasome-mediated neuroinflammation via Bnip3-dependent mitophagy in Alzheimer's disease.

Applications

Unspecified application

Species

Unspecified reactive species

Guorong Tao,Xuebao Wang,Jian Wang,Yiru Ye,Minxue Zhang,Yan Lang,Saidan Ding

Nature immunology 24:2135-2149 PubMed37932456

2023

Harnessing CD3 diversity to optimize CAR T cells.

Applications

Unspecified application

Species

Unspecified reactive species

Rubí M-H Velasco Cárdenas,Simon M Brandl,Ana Valeria Meléndez,Alexandra Emilia Schlaak,Annabelle Buschky,Timo Peters,Fabian Beier,Bryan Serrels,Sanaz Taromi,Katrin Raute,Simon Hauri,Matthias Gstaiger,Silke Lassmann,Johannes B Huppa,Melanie Boerries,Geoffroy Andrieux,Bertram Bengsch,Wolfgang W Schamel,Susana Minguet

Nature 620:374-380 PubMed37532932

2023

cGAS-STING drives ageing-related inflammation and neurodegeneration.

Applications

Unspecified application

Species

Unspecified reactive species

Muhammet F Gulen,Natasha Samson,Alexander Keller,Marius Schwabenland,Chong Liu,Selene Glück,Vivek V Thacker,Lucie Favre,Bastien Mangeat,Lona J Kroese,Paul Krimpenfort,Marco Prinz,Andrea Ablasser

Nature 615:499-506 PubMed36890229

2023

Fumarate induces vesicular release of mtDNA to drive innate immunity.

Applications

Unspecified application

Species

Unspecified reactive species

Vincent Zecchini,Vincent Paupe,Irene Herranz-Montoya,Joëlle Janssen,Inge M N Wortel,Jordan L Morris,Ashley Ferguson,Suvagata Roy Chowdury,Marc Segarra-Mondejar,Ana S H Costa,Gonçalo C Pereira,Laura Tronci,Timothy Young,Efterpi Nikitopoulou,Ming Yang,Dóra Bihary,Federico Caicci,Shun Nagashima,Alyson Speed,Kalliopi Bokea,Zara Baig,Shamith Samarajiwa,Maxine Tran,Thomas Mitchell,Mark Johnson,Julien Prudent,Christian Frezza

Molecular metabolism 64:101567 PubMed35944900

2022

Dual specificity phosphatase 1 attenuates inflammation-induced cardiomyopathy by improving mitophagy and mitochondrial metabolism.

Applications

Unspecified application

Species

Unspecified reactive species

Ying Tan,Yue Zhang,Jing He,Feng Wu,Di Wu,Nengxian Shi,Weifeng Liu,Ziying Li,Wenqian Liu,Hao Zhou,Wenting Chen

Nature 602:487-495 PubMed34942634

2021

Evolution of enhanced innate immune evasion by SARS-CoV-2.

Applications

Unspecified application

Species

Unspecified reactive species

Lucy G Thorne,Mehdi Bouhaddou,Ann-Kathrin Reuschl,Lorena Zuliani-Alvarez,Ben Polacco,Adrian Pelin,Jyoti Batra,Matthew V X Whelan,Myra Hosmillo,Andrea Fossati,Roberta Ragazzini,Irwin Jungreis,Manisha Ummadi,Ajda Rojc,Jane Turner,Marie L Bischof,Kirsten Obernier,Hannes Braberg,Margaret Soucheray,Alicia Richards,Kuei-Ho Chen,Bhavya Harjai,Danish Memon,Joseph Hiatt,Romel Rosales,Briana L McGovern,Aminu Jahun,Jacqueline M Fabius,Kris White,Ian G Goodfellow,Yasu Takeuchi,Paola Bonfanti,Kevan Shokat,Natalia Jura,Klim Verba,Mahdad Noursadeghi,Pedro Beltrao,Manolis Kellis,Danielle L Swaney,Adolfo García-Sastre,Clare Jolly,Greg J Towers,Nevan J Krogan

Frontiers in physiology 12:728683 PubMed34630147

2021

Myofibril and Mitochondrial Area Changes in Type I and II Fibers Following 10 Weeks of Resistance Training in Previously Untrained Men.

Applications

Unspecified application

Species

Unspecified reactive species

Bradley A Ruple,Joshua S Godwin,Paulo H C Mesquita,Shelby C Osburn,Casey L Sexton,Morgan A Smith,Jeremy C Ogletree,Michael D Goodlett,Joseph L Edison,Arny A Ferrando,Andrew D Fruge,Andreas N Kavazis,Kaelin C Young,Michael D Roberts

Nucleic acids research 49:5230-5248 PubMed33956154

2021

DNA polymerase gamma mutations that impair holoenzyme stability cause catalytic subunit depletion.

Applications

Unspecified application

Species

Unspecified reactive species

Pedro Silva-Pinheiro,Carlos Pardo-Hernández,Aurelio Reyes,Lisa Tilokani,Anup Mishra,Raffaele Cerutti,Shuaifeng Li,Dieu-Hien Rozsivalova,Sebastian Valenzuela,Sukru A Dogan,Bradley Peter,Patricio Fernández-Silva,Aleksandra Trifunovic,Julien Prudent,Michal Minczuk,Laurence Bindoff,Bertil Macao,Massimo Zeviani,Maria Falkenberg,Carlo Viscomi

PLoS biology 19:e3001166 PubMed33826607

2021

Neural stem cells traffic functional mitochondria via extracellular vesicles.

Applications

Unspecified application

Species

Unspecified reactive species

Luca Peruzzotti-Jametti,Joshua D Bernstock,Cory M Willis,Giulia Manferrari,Rebecca Rogall,Erika Fernandez-Vizarra,James C Williamson,Alice Braga,Aletta van den Bosch,Tommaso Leonardi,Grzegorz Krzak,Ágnes Kittel,Cristiane Benincá,Nunzio Vicario,Sisareuth Tan,Carlos Bastos,Iacopo Bicci,Nunzio Iraci,Jayden A Smith,Ben Peacock,Karin H Muller,Paul J Lehner,Edit Iren Buzas,Nuno Faria,Massimo Zeviani,Christian Frezza,Alain Brisson,Nicholas J Matheson,Carlo Viscomi,Stefano Pluchino
View all publications

Product promise

We are committed to supporting your work with high-quality reagents, and we're here for you every step of the way. In the unlikely event that one of our products does not perform as expected, you're protected by our Product Promise.
For full details, please see our Terms & Conditions

Please note: All products are 'FOR RESEARCH USE ONLY. NOT FOR USE IN DIAGNOSTIC OR THERAPEUTIC PROCEDURES'.

For licensing inquiries, please contact partnerships@abcam.com