JavaScript is disabled in your browser. Please enable JavaScript to view this website.
AB250125

Anti-TOMM22/TOM22 antibody [EPR13505] - BSA and Azide free

Be the first to review this product! Submit a review

|

(1 Publication)

Rabbit Recombinant Monoclonal TOMM22/TOM22 antibody. Carrier free. Suitable for IHC-P, ICC/IF, IP, WB, Flow Cyt (Intra) and reacts with Human samples. Cited in 1 publication.

View Alternative Names

TOM22, TOMM22, Mitochondrial import receptor subunit TOM22 homolog, hTom22, 1C9-2, Translocase of outer membrane 22 kDa subunit homolog

6 Images
Western blot - Anti-TOMM22/TOM22 antibody [EPR13505] - BSA and Azide free (AB250125)
  • WB

Supplier Data

Western blot - Anti-TOMM22/TOM22 antibody [EPR13505] - BSA and Azide free (AB250125)

This data was developed using ab179826, the same antibody clone in a different buffer formulation.

All lanes:

Western blot - Anti-TOMM22/TOM22 antibody [EPR13505] - N-terminal (<a href='/en-us/products/primary-antibodies/tomm22-tom22-antibody-epr13505-n-terminal-ab179826'>ab179826</a>) at 1/1000 dilution

Lane 1:

Raji cell lysate at 10 µg

Lane 2:

HeLa cell lysate at 10 µg

Lane 3:

K562 cell lysate at 10 µg

Lane 4:

293T cell lysate at 10 µg

Secondary

All lanes:

Goat anti-rabbit HRP at 1/2000 dilution

Predicted band size: 15 kDa

false

Immunocytochemistry/ Immunofluorescence - Anti-TOMM22/TOM22 antibody [EPR13505] - BSA and Azide free (AB250125)
  • ICC/IF

Supplier Data

Immunocytochemistry/ Immunofluorescence - Anti-TOMM22/TOM22 antibody [EPR13505] - BSA and Azide free (AB250125)

This data was developed using ab179826, the same antibody clone in a different buffer formulation.

Immunofluorescent analysis of 293T cells labeling TOMM22/TOM22 with ab179826 at 1/100 dilution.

Immunohistochemistry (Formalin/PFA-fixed paraffin-embedded sections) - Anti-TOMM22/TOM22 antibody [EPR13505] - BSA and Azide free (AB250125)
  • IHC-P

Supplier Data

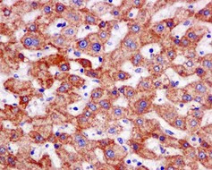
Immunohistochemistry (Formalin/PFA-fixed paraffin-embedded sections) - Anti-TOMM22/TOM22 antibody [EPR13505] - BSA and Azide free (AB250125)

This data was developed using ab179826, the same antibody clone in a different buffer formulation.

Immunohistochemical analysis of paraffin-embedded Human liver tissue labeling TOMM22/TOM22 with ab179826 at 1/1000 dilution.

Perform heat mediated antigen retrieval with citrate buffer pH 6 before commencing with IHC staining protocol.

Flow Cytometry (Intracellular) - Anti-TOMM22/TOM22 antibody [EPR13505] - BSA and Azide free (AB250125)
  • Flow Cyt (Intra)

Supplier Data

Flow Cytometry (Intracellular) - Anti-TOMM22/TOM22 antibody [EPR13505] - BSA and Azide free (AB250125)

This data was developed using ab179826, the same antibody clone in a different buffer formulation.

Intracellular flow cytometric analysis of 293T cells labeling TOMM22/TOM22 with ab179826 at 1/10 (red) or a rabbit IgG (negative) (green).

Immunohistochemistry (Formalin/PFA-fixed paraffin-embedded sections) - Anti-TOMM22/TOM22 antibody [EPR13505] - BSA and Azide free (AB250125)
  • IHC-P

Supplier Data

Immunohistochemistry (Formalin/PFA-fixed paraffin-embedded sections) - Anti-TOMM22/TOM22 antibody [EPR13505] - BSA and Azide free (AB250125)

This data was developed using ab179826, the same antibody clone in a different buffer formulation.

Immunohistochemical analysis of paraffin-embedded Human kidney tissue labeling TOMM22/TOM22 with ab179826 at 1/1000 dilution.

Perform heat mediated antigen retrieval with citrate buffer pH 6 before commencing with IHC staining protocol.

Immunoprecipitation - Anti-TOMM22/TOM22 antibody [EPR13505] - BSA and Azide free (AB250125)
  • IP

Supplier Data

Immunoprecipitation - Anti-TOMM22/TOM22 antibody [EPR13505] - BSA and Azide free (AB250125)

This data was developed using ab179826, the same antibody clone in a different buffer formulation.

Western blot analysis on immunoprecipitation pellet from Raji cell lysate using ab179826 at 1/10 dilution for IP.

All lanes:

Immunoprecipitation - Anti-TOMM22/TOM22 antibody [EPR13505] - N-terminal (<a href='/en-us/products/primary-antibodies/tomm22-tom22-antibody-epr13505-n-terminal-ab179826'>ab179826</a>)

Predicted band size: 15 kDa

false

  • Unconjugated

    Anti-TOMM22/TOM22 antibody [EPR13505] - N-terminal

Key facts

Host species

Rabbit

Clonality

Monoclonal

Clone number

EPR13505

Isotype

IgG

Carrier free

Yes

Reacts with

Human

Applications

ICC/IF, Flow Cyt (Intra), IHC-P, WB, IP

applications

Immunogen

The exact immunogen used to generate this antibody is proprietary information.

Reactivity data

{ "title": "Reactivity Data", "filters": { "stats": ["", "Species", "Dilution Info", "Notes"], "tabs": { "all-applications": {"fullname" : "All Applications", "shortname": "All Applications"}, "IHCP" : {"fullname" : "Immunohistochemistry (Formalin/PFA-fixed paraffin-embedded sections)", "shortname":"IHC-P"}, "ICCIF" : {"fullname" : "Immunocytochemistry/ Immunofluorescence", "shortname":"ICC/IF"}, "IP" : {"fullname" : "Immunoprecipitation", "shortname":"IP"}, "WB" : {"fullname" : "Western blot", "shortname":"WB"}, "FlowCytIntra" : {"fullname" : "Flow Cytometry (Intracellular)", "shortname":"Flow Cyt (Intra)"} }, "product-promise": { "all": "all", "testedAndGuaranteed": "tested", "guaranteed": "expected", "predicted": "predicted", "notRecommended": "not-recommended" } }, "values": { "Human": { "IHCP-species-checked": "testedAndGuaranteed", "IHCP-species-dilution-info": "", "IHCP-species-notes": "<p></p> Perform heat-mediated antigen retrieval with citrate buffer pH 6 before commencing with IHC staining protocol.", "ICCIF-species-checked": "testedAndGuaranteed", "ICCIF-species-dilution-info": "", "ICCIF-species-notes": "<p></p>", "IP-species-checked": "testedAndGuaranteed", "IP-species-dilution-info": "", "IP-species-notes": "<p></p>", "WB-species-checked": "testedAndGuaranteed", "WB-species-dilution-info": "", "WB-species-notes": "<p></p>", "FlowCytIntra-species-checked": "testedAndGuaranteed", "FlowCytIntra-species-dilution-info": "", "FlowCytIntra-species-notes": "<p></p>" } } }

Product details

ab250125 is the carrier-free version of ab179826.

Species reactivity
Mouse, Rat: We have preliminary internal testing data to indicate this antibody may not react with these species.
Please contact us for more information.

Patented technology
Our RabMAb® technology is a patented hybridoma-based technology for making rabbit monoclonal antibodies. For details on our patents, please refer to RabMAb® patents.

What are the advantages of a recombinant monoclonal antibody?
This product is a recombinant monoclonal antibody, which offers several advantages including:

  • - High batch-to-batch consistency and reproducibility
  • - Improved sensitivity and specificity
  • - Long-term security of supply
  • - Animal-free batch production

For more information, read more on recombinant antibodies.

Conjugation ready
Our carrier-free antibodies are typically supplied in a PBS-only formulation, purified and free of BSA, sodium azide and glycerol. This conjugation-ready format is designed for use with fluorochromes, metal isotopes, oligonucleotides, and enzymes, which makes them ideal for antibody labelling, functional and cell-based assays, flow-based assays (e.g. mass cytometry) and Multiplex Imaging applications.

Use our conjugation kits for antibody conjugates that are ready-to-use in as little as 20 minutes with 1 minute hands-on-time and 100% antibody recovery: available for fluorescent dyes, HRP, biotin and gold.

Compatibility
This product is compatible with the Maxpar® Antibody Labeling Kit from Fluidigm, without the need for antibody preparation. Maxpar® is a trademark of Fluidigm Canada Inc.

Properties and storage information

Form
Liquid
Purification technique
Affinity purification
Storage buffer
pH: 7.2 - 7.4 Constituents: PBS
Shipped at conditions
Blue Ice
Appropriate short-term storage conditions
+4°C
Appropriate long-term storage conditions
+4°C
Storage information
Do Not Freeze

Product protocols

For this product, it's our understanding that no specific protocols are required. You can visit:

Target data

Central receptor component of the translocase of the outer membrane of mitochondria (TOM complex) responsible for the recognition and translocation of cytosolically synthesized mitochondrial preproteins. Together with the peripheral receptor TOM20 functions as the transit peptide receptor and facilitates the movement of preproteins into the translocation pore (PubMed : 10982837). Required for the translocation across the mitochondrial outer membrane of cytochrome P450 monooxygenases (By similarity).
See full target information TOMM22

Publications (1)

Recent publications for all applications. Explore the full list and refine your search

The Journal of biological chemistry 295:12868-12884 PubMed32580945

2020

Adipose mesenchymal stem cell-derived extracellular vesicles containing microRNA-26a-5p target TLR4 and protect against diabetic nephropathy.

Applications

Unspecified application

Species

Unspecified reactive species

Yurui Duan,Qingyang Luo,Yun Wang,Yali Ma,Fang Chen,Xiaoguang Zhu,Jun Shi
View all publications

Product promise

We are committed to supporting your work with high-quality reagents, and we're here for you every step of the way. In the unlikely event that one of our products does not perform as expected, you're protected by our Product Promise.
For full details, please see our Terms & Conditions

Please note: All products are 'FOR RESEARCH USE ONLY. NOT FOR USE IN DIAGNOSTIC OR THERAPEUTIC PROCEDURES'.

For licensing inquiries, please contact partnerships@abcam.com