JavaScript is disabled in your browser. Please enable JavaScript to view this website.
AB179826

Anti-TOMM22/TOM22 antibody [EPR13505] - N-terminal

Be the first to review this product! Submit a review

|

(3 Publications)

Rabbit Recombinant Monoclonal TOMM22/TOM22 antibody. N-terminal. Suitable for IHC-P, IP, WB, ICC/IF, Flow Cyt (Intra) and reacts with Human samples. Cited in 3 publications.

View Alternative Names

TOM22, TOMM22, Mitochondrial import receptor subunit TOM22 homolog, hTom22, 1C9-2, Translocase of outer membrane 22 kDa subunit homolog

6 Images
Western blot - Anti-TOMM22/TOM22 antibody [EPR13505] - N-terminal (AB179826)
  • WB

Supplier Data

Western blot - Anti-TOMM22/TOM22 antibody [EPR13505] - N-terminal (AB179826)

All lanes:

Western blot - Anti-TOMM22/TOM22 antibody [EPR13505] - N-terminal (ab179826) at 1/1000 dilution

Lane 1:

Raji cell lysate at 10 µg

Lane 2:

HeLa cell lysate at 10 µg

Lane 3:

K562 cell lysate at 10 µg

Lane 4:

293T cell lysate at 10 µg

Secondary

All lanes:

Goat anti-rabbit HRP at 1/2000 dilution

Predicted band size: 15 kDa

false

Flow Cytometry (Intracellular) - Anti-TOMM22/TOM22 antibody [EPR13505] - N-terminal (AB179826)
  • Flow Cyt (Intra)

Supplier Data

Flow Cytometry (Intracellular) - Anti-TOMM22/TOM22 antibody [EPR13505] - N-terminal (AB179826)

Intracellular flow cytometric analysis of 293T cells labeling TOMM22/TOM22 with ab179826 at 1/10 (red) or a rabbit IgG (negative) (green).

Immunocytochemistry/ Immunofluorescence - Anti-TOMM22/TOM22 antibody [EPR13505] - N-terminal (AB179826)
  • ICC/IF

Supplier Data

Immunocytochemistry/ Immunofluorescence - Anti-TOMM22/TOM22 antibody [EPR13505] - N-terminal (AB179826)

Immunofluorescent analysis of 293T cells labeling TOMM22/TOM22 with ab179826 at 1/100 dilution.

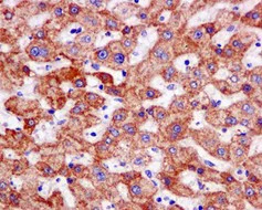
Immunohistochemistry (Formalin/PFA-fixed paraffin-embedded sections) - Anti-TOMM22/TOM22 antibody [EPR13505] - N-terminal (AB179826)
  • IHC-P

Supplier Data

Immunohistochemistry (Formalin/PFA-fixed paraffin-embedded sections) - Anti-TOMM22/TOM22 antibody [EPR13505] - N-terminal (AB179826)

Immunohistochemical analysis of paraffin-embedded Human liver tissue labeling TOMM22/TOM22 with ab179826 at 1/1000 dilution.

Perform heat mediated antigen retrieval with citrate buffer pH 6 before commencing with IHC staining protocol.

Immunohistochemistry (Formalin/PFA-fixed paraffin-embedded sections) - Anti-TOMM22/TOM22 antibody [EPR13505] - N-terminal (AB179826)
  • IHC-P

Supplier Data

Immunohistochemistry (Formalin/PFA-fixed paraffin-embedded sections) - Anti-TOMM22/TOM22 antibody [EPR13505] - N-terminal (AB179826)

Immunohistochemical analysis of paraffin-embedded Human kidney tissue labeling TOMM22/TOM22 with ab179826 at 1/1000 dilution.

Perform heat mediated antigen retrieval with citrate buffer pH 6 before commencing with IHC staining protocol.

Immunoprecipitation - Anti-TOMM22/TOM22 antibody [EPR13505] - N-terminal (AB179826)
  • IP

Supplier Data

Immunoprecipitation - Anti-TOMM22/TOM22 antibody [EPR13505] - N-terminal (AB179826)

Western blot analysis on immunoprecipitation pellet from Raji cell lysate using ab179826 at 1/10 dilution for IP.

All lanes:

Immunoprecipitation - Anti-TOMM22/TOM22 antibody [EPR13505] - N-terminal (ab179826)

Predicted band size: 15 kDa

false

  • Carrier free

    Anti-TOMM22/TOM22 antibody [EPR13505] - BSA and Azide free

Key facts

Host species

Rabbit

Clonality

Monoclonal

Clone number

EPR13505

Isotype

IgG

Carrier free

No

Reacts with

Human

Applications

Flow Cyt (Intra), WB, ICC/IF, IP, IHC-P

applications

Immunogen

The exact immunogen used to generate this antibody is proprietary information.

Reactivity data

{ "title": "Reactivity Data", "filters": { "stats": ["", "Species", "Dilution Info", "Notes"], "tabs": { "all-applications": {"fullname" : "All Applications", "shortname": "All Applications"}, "IHCP" : {"fullname" : "Immunohistochemistry (Formalin/PFA-fixed paraffin-embedded sections)", "shortname":"IHC-P"}, "IP" : {"fullname" : "Immunoprecipitation", "shortname":"IP"}, "WB" : {"fullname" : "Western blot", "shortname":"WB"}, "ICCIF" : {"fullname" : "Immunocytochemistry/ Immunofluorescence", "shortname":"ICC/IF"}, "FlowCytIntra" : {"fullname" : "Flow Cytometry (Intracellular)", "shortname":"Flow Cyt (Intra)"} }, "product-promise": { "all": "all", "testedAndGuaranteed": "tested", "guaranteed": "expected", "predicted": "predicted", "notRecommended": "not-recommended" } }, "values": { "Human": { "IHCP-species-checked": "testedAndGuaranteed", "IHCP-species-dilution-info": "1/100 - 1/250", "IHCP-species-notes": "<p></p> Perform heat-mediated antigen retrieval with citrate buffer pH 6 before commencing with IHC staining protocol.", "IP-species-checked": "testedAndGuaranteed", "IP-species-dilution-info": "1/10 - 1/100", "IP-species-notes": "<p></p>", "WB-species-checked": "testedAndGuaranteed", "WB-species-dilution-info": "1/1000 - 1/5000", "WB-species-notes": "<p></p>", "ICCIF-species-checked": "testedAndGuaranteed", "ICCIF-species-dilution-info": "1/100 - 1/250", "ICCIF-species-notes": "<p></p>", "FlowCytIntra-species-checked": "testedAndGuaranteed", "FlowCytIntra-species-dilution-info": "1/10 - 1/100", "FlowCytIntra-species-notes": "<p><a href='/en-us/products/primary-antibodies/rabbit-igg-monoclonal-epr25a-isotype-control-ab172730'>ab172730</a> - Rabbit monoclonal IgG, is suitable for use as an isotype control with this antibody.</p>" } } }

Product details

Species reactivity
Mouse, Rat: We have preliminary internal testing data to indicate this antibody may not react with these species.
Please contact us for more information.

Patented technology
Our RabMAb® technology is a patented hybridoma-based technology for making rabbit monoclonal antibodies. For details on our patents, please refer to RabMAb® patents.

What are the advantages of a recombinant monoclonal antibody?
This product is a recombinant monoclonal antibody, which offers several advantages including:

  • - High batch-to-batch consistency and reproducibility
  • - Improved sensitivity and specificity
  • - Long-term security of supply
  • - Animal-free batch production

For more information, read more on recombinant antibodies.

Properties and storage information

Form
Liquid
Purity
Tissue culture supernatant
Storage buffer
pH: 7.2 - 7.4 Preservative: 0.01% Sodium azide Constituents: 50% Tissue culture supernatant, 40% Glycerol (glycerin, glycerine), 9% PBS, 0.05% BSA
Shipped at conditions
Blue Ice
Appropriate short-term storage duration
1-2 weeks
Appropriate short-term storage conditions
+4°C
Appropriate long-term storage conditions
-20°C
Aliquoting information
Upon delivery aliquot
Storage information
Avoid freeze / thaw cycle

Product protocols

For this product, it's our understanding that no specific protocols are required. You can visit:

Target data

Central receptor component of the translocase of the outer membrane of mitochondria (TOM complex) responsible for the recognition and translocation of cytosolically synthesized mitochondrial preproteins. Together with the peripheral receptor TOM20 functions as the transit peptide receptor and facilitates the movement of preproteins into the translocation pore (PubMed : 10982837). Required for the translocation across the mitochondrial outer membrane of cytochrome P450 monooxygenases (By similarity).
See full target information TOMM22

Publications (3)

Recent publications for all applications. Explore the full list and refine your search

Communications biology 4:138 PubMed33514783

2021

Cardiac-specific loss of mitoNEET expression is linked with age-related heart failure.

Applications

Unspecified application

Species

Unspecified reactive species

Takaaki Furihata,Shingo Takada,Naoya Kakutani,Satoshi Maekawa,Masaya Tsuda,Junichi Matsumoto,Wataru Mizushima,Arata Fukushima,Takashi Yokota,Nobuyuki Enzan,Shouji Matsushima,Haruka Handa,Yoshizuki Fumoto,Junko Nio-Kobayashi,Toshihiko Iwanaga,Shinya Tanaka,Hiroyuki Tsutsui,Hisataka Sabe,Shintaro Kinugawa

Journal of cellular biochemistry : PubMed30426531

2018

Investigating the role of CRIPTO-1 (TDGF-1) in glioblastoma multiforme U87 cell line.

Applications

Unspecified application

Species

Unspecified reactive species

Faisal Alowaidi,Saeed M Hashimi,Maria Nguyen,Mallika Meshram,Naif Alqurashi,Brenton L Cavanagh,Bernadette Bellette,Saso Ivanovski,Adrian Meedenyia,Stephen A Wood

JCI insight 3: PubMed30089724

2018

Circulating mitochondria in deceased organ donors are associated with immune activation and early allograft dysfunction.

Applications

Unspecified application

Species

Unspecified reactive species

Justin Pollara,R Whitney Edwards,Liwen Lin,Victoria A Bendersky,Todd V Brennan
View all publications

Product promise

We are committed to supporting your work with high-quality reagents, and we're here for you every step of the way. In the unlikely event that one of our products does not perform as expected, you're protected by our Product Promise.
For full details, please see our Terms & Conditions

Please note: All products are 'FOR RESEARCH USE ONLY. NOT FOR USE IN DIAGNOSTIC OR THERAPEUTIC PROCEDURES'.

For licensing inquiries, please contact partnerships@abcam.com