JavaScript is disabled in your browser. Please enable JavaScript to view this website.
AB230103

Anti-TOMM34 antibody

Be the first to review this product! Submit a review

|

(3 Publications)

Rabbit Polyclonal TOMM34 antibody. Suitable for WB, IHC-P and reacts with Mouse, Human samples. Cited in 3 publications. Immunogen corresponding to Recombinant Full Length Protein corresponding to Human TOMM34.

View Alternative Names

URCC3, TOMM34, Mitochondrial import receptor subunit TOM34, hTom34, Translocase of outer membrane 34 kDa subunit

3 Images
Immunohistochemistry (Formalin/PFA-fixed paraffin-embedded sections) - Anti-TOMM34 antibody (AB230103)
  • IHC-P

Supplier Data

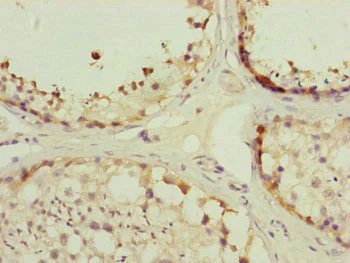
Immunohistochemistry (Formalin/PFA-fixed paraffin-embedded sections) - Anti-TOMM34 antibody (AB230103)

Paraffin-embedded human testis tissue stained for TOMM34 using ab230103 at a 1/100 dilution in immunohistochemical analysis.

Immunohistochemistry (Formalin/PFA-fixed paraffin-embedded sections) - Anti-TOMM34 antibody (AB230103)
  • IHC-P

Supplier Data

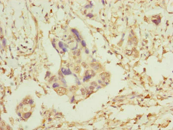
Immunohistochemistry (Formalin/PFA-fixed paraffin-embedded sections) - Anti-TOMM34 antibody (AB230103)

Paraffin-embedded human pancreatic cancer tissue stained for TOMM34 using ab230103 at a 1/100 dilution in immunohistochemical analysis.

Western blot - Anti-TOMM34 antibody (AB230103)
  • WB

Supplier Data

Western blot - Anti-TOMM34 antibody (AB230103)

All lanes:

Western blot - Anti-TOMM34 antibody (ab230103) at 1/1000 dilution

Lane 1:

Mouse gonadal tissue lysate

Lane 2:

A549 (human lung carcinoma cell line) whole cell lysate

Lane 3:

PC-3 (human prostate adenocarcinoma cell line) whole cell lysate

Lane 4:

A-375 (human malignant melanoma cell line) whole cell lysate

Secondary

All lanes:

Goat polyclonal to rabbit IgG at 1/10000 dilution

Predicted band size: 35 kDa

true

Key facts

Host species

Rabbit

Clonality

Polyclonal

Isotype

IgG

Carrier free

No

Reacts with

Human, Mouse

Applications

WB, IHC-P

applications

Immunogen

Recombinant Full Length Protein corresponding to Human TOMM34.

Q15785

Reactivity data

{ "title": "Reactivity Data", "filters": { "stats": ["", "Species", "Dilution Info", "Notes"], "tabs": { "all-applications": {"fullname" : "All Applications", "shortname": "All Applications"}, "WB" : {"fullname" : "Western blot", "shortname":"WB"}, "IHCP" : {"fullname" : "Immunohistochemistry (Formalin/PFA-fixed paraffin-embedded sections)", "shortname":"IHC-P"} }, "product-promise": { "all": "all", "testedAndGuaranteed": "tested", "guaranteed": "expected", "predicted": "predicted", "notRecommended": "not-recommended" } }, "values": { "Human": { "WB-species-checked": "guaranteed", "WB-species-dilution-info": "", "WB-species-notes": "", "IHCP-species-checked": "testedAndGuaranteed", "IHCP-species-dilution-info": "1/20 - 1/200", "IHCP-species-notes": "<p></p>" }, "Mouse": { "WB-species-checked": "testedAndGuaranteed", "WB-species-dilution-info": "1/1000 - 1/5000", "WB-species-notes": "<p></p>", "IHCP-species-checked": "guaranteed", "IHCP-species-dilution-info": "", "IHCP-species-notes": "" }, "Orangutan": { "WB-species-checked": "predicted", "WB-species-dilution-info": "", "WB-species-notes": "", "IHCP-species-checked": "predicted", "IHCP-species-dilution-info": "", "IHCP-species-notes": "" } } }

Properties and storage information

Form
Liquid
Purification technique
Affinity purification Immunogen
Storage buffer
pH: 7.3 Preservative: 0.02% Sodium azide Constituents: PBS, 50% Glycerol (glycerin, glycerine)
Shipped at conditions
Blue Ice
Appropriate short-term storage duration
1-2 weeks
Appropriate short-term storage conditions
+4°C
Appropriate long-term storage conditions
-20°C
Aliquoting information
Upon delivery aliquot
Storage information
Avoid freeze / thaw cycle

Product protocols

For this product, it's our understanding that no specific protocols are required. You can visit:

Target data

Plays a role in the import of cytosolically synthesized preproteins into mitochondria. Binds the mature portion of precursor proteins. Interacts with cellular components, and possesses weak ATPase activity. May be a chaperone-like protein that helps to keep newly synthesized precursors in an unfolded import compatible state.
See full target information TOMM34

Publications (3)

Recent publications for all applications. Explore the full list and refine your search

Nutrients 16: PubMed39599720

2024

Dietary Zinc Restriction and Chronic Restraint Stress Affect Mice Physiology, Immune Organ Morphology, and Liver Function.

Applications

Unspecified application

Species

Unspecified reactive species

Dorota Bederska-Łojewska,Kinga Szczepanik,Justyna Turek,Agata Machaczka,Łukasz Gąsior,Bartłomiej Pochwat,Joanna Piotrowska,Bartłomiej Rospond,Bernadeta Szewczyk

Blood cancer discovery 4:180-207 PubMed36763002

2023

In Vivo Screening Unveils Pervasive RNA-Binding Protein Dependencies in Leukemic Stem Cells and Identifies ELAVL1 as a Therapeutic Target.

Applications

Unspecified application

Species

Unspecified reactive species

Ana Vujovic,Laura de Rooij,Ava Keyvani Chahi,He Tian Chen,Brian A Yee,Sampath K Loganathan,Lina Liu,Derek C H Chan,Amanda Tajik,Emily Tsao,Steven Moreira,Pratik Joshi,Joshua Xu,Nicholas Wong,Zaldy Balde,Soheil Jahangiri,Sasan Zandi,Stefan Aigner,John E Dick,Mark D Minden,Daniel Schramek,Gene W Yeo,Kristin J Hope

EMBO molecular medicine 14:e16082 PubMed36321555

2022

Disrupting metformin adaptation of liver cancer cells by targeting the TOMM34/ATP5B axis.

Applications

Unspecified application

Species

Unspecified reactive species

Ping Jin,Jingwen Jiang,Li Zhou,Zhao Huang,Siyuan Qin,Hai-Ning Chen,Liyuan Peng,Zhe Zhang,Bowen Li,Maochao Luo,Tingting Zhang,Hui Ming,Ning Ding,Lei Li,Na Xie,Wei Gao,Wei Zhang,Edouard C Nice,Yuquan Wei,Canhua Huang
View all publications

Product promise

We are committed to supporting your work with high-quality reagents, and we're here for you every step of the way. In the unlikely event that one of our products does not perform as expected, you're protected by our Product Promise.
For full details, please see our Terms & Conditions

Please note: All products are 'FOR RESEARCH USE ONLY. NOT FOR USE IN DIAGNOSTIC OR THERAPEUTIC PROCEDURES'.

For licensing inquiries, please contact partnerships@abcam.com