JavaScript is disabled in your browser. Please enable JavaScript to view this website.
AB185543

Anti-TOMM40 antibody [EPR6932(2)]

Be the first to review this product! Submit a review

|

(8 Publications)

Rabbit Recombinant Monoclonal TOMM40 antibody. Suitable for IP, WB, ICC/IF, Flow Cyt (Intra), IHC-P and reacts with Human samples. Cited in 8 publications.

View Alternative Names

C19orf1, PEREC1, TOM40, TOMM40, Mitochondrial import receptor subunit TOM40 homolog, Protein Haymaker, Translocase of outer membrane 40 kDa subunit homolog, p38.5

6 Images
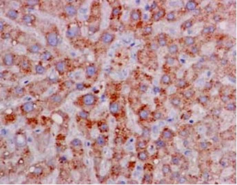
Immunohistochemistry (Formalin/PFA-fixed paraffin-embedded sections) - Anti-TOMM40 antibody [EPR6932(2)] (AB185543)
  • IHC-P

Supplier Data

Immunohistochemistry (Formalin/PFA-fixed paraffin-embedded sections) - Anti-TOMM40 antibody [EPR6932(2)] (AB185543)

Immunohistochemical analysis of paraffin-embedded Human liver tissue labeling TOMM40 with ab185543 at 1/500 dilution. Counter stain Hematoxylin.

Perform heat mediated antigen retrieval with EDTA buffer pH 9 before commencing with IHC staining protocol.

Western blot - Anti-TOMM40 antibody [EPR6932(2)] (AB185543)
  • WB

Supplier Data

Western blot - Anti-TOMM40 antibody [EPR6932(2)] (AB185543)

All lanes:

Western blot - Anti-TOMM40 antibody [EPR6932(2)] (ab185543) at 1/10000 dilution

Lane 1:

HeLa cell lysate at 20 µg

Lane 2:

293T cell lysate at 20 µg

Secondary

All lanes:

Goat Anti-Rabbit IgG, (H+L), Peroxidase conjugated at 1/1000 dilution

Predicted band size: 38 kDa

Observed band size: 38 kDa

false

Immunocytochemistry/ Immunofluorescence - Anti-TOMM40 antibody [EPR6932(2)] (AB185543)
  • ICC/IF

Supplier Data

Immunocytochemistry/ Immunofluorescence - Anti-TOMM40 antibody [EPR6932(2)] (AB185543)

Immunofluorescent analysis of 4% paraformaldehyde fixed 293T cells labeling TOMM40 with ab185543 at 1/100 dilution. Secondary antibody Goat anti rabbit IgG (Alexa Fluor®555) at a 1/200 dilution. Counterstained with Dapi blue.

Flow Cytometry (Intracellular) - Anti-TOMM40 antibody [EPR6932(2)] (AB185543)
  • Flow Cyt (Intra)

Supplier Data

Flow Cytometry (Intracellular) - Anti-TOMM40 antibody [EPR6932(2)] (AB185543)

Intracellular Flow Cytometry analysis of 2% paraformaldehyde fixed HeLa cells labeling TOMM40 with ab185543 at 1/300 dilution (pink) or a rabbit IgG isotype control (green), followed by secondary Goat anti rabbit IgG (FITC) at 1/150 dilution.

Immunoprecipitation - Anti-TOMM40 antibody [EPR6932(2)] (AB185543)
  • IP

Supplier Data

Immunoprecipitation - Anti-TOMM40 antibody [EPR6932(2)] (AB185543)

Western blot analysis of TOMM40 in immunoprecipitation pellets from HeLa lysate. ab185543 used at 1/50 dilution (Lane 1) or PBS (Lane 2). Secondary antibody Anti-Rabbit IgG (HRP), specific to the non-reduced form of IgG at a1/1000 dilution.

All lanes:

Immunoprecipitation - Anti-TOMM40 antibody [EPR6932(2)] (ab185543)

Predicted band size: 38 kDa

false

Western blot - Anti-TOMM40 antibody [EPR6932(2)] (AB185543)
  • WB

CiteAb

Western blot - Anti-TOMM40 antibody [EPR6932(2)] (AB185543)

TOMM40 western blot using anti-TOMM40 antibody [EPR6932(2)] ab185543. Publication image and figure legend from Yuan, Q., Yang, W., et al., 2021, Mol Med, PubMed 33509092.

ab185543 was used in this publication in western blot. This may not be the same as the application(s) guaranteed by Abcam. For a full list of applications guaranteed by Abcam for ab185543 please see the product overview.

High expression of MTCH2 in glioma cells may increase mitochondrial OXPHOs. a, b Western blots and quantifications showing the enriched expression of MTCH2 in glioma cells compared to primary neurons and astrocytes. c qPCR results showing the decreased mRNA level of MTCH2 in A172 cells by siRNA-mediated knockdown (N = 3). d, e Western blots and quantifications showing the decreased protein level of MTCH2 in A172 cells by siRNA-mediated knockdown. Noted that other mitochondrial outer membrane proteins Tom20 and Tom40 were not affected by MTCH2 knockdown. f Immunostaining images showing the mitochondrial localization of MTCH2 in A172 cells. Noted that MTCH2 signals were dramatically decreased by siRNA-mediated knockdown. Scale bar, 10 μm. g Western blots showing the increased mitochondrial respiratory proteins and 4-HNE levels by MTCH2 knockdown in A172 cells

false

  • Carrier free

    Anti-TOMM40 antibody [EPR6932(2)] - BSA and Azide free

  • 578 PE

    PE Anti-TOMM40 antibody [EPR6932(2)]

  • HRP

    HRP Anti-TOMM40 antibody [EPR6932(2)]

  • 665 Alexa Fluor® 647

    Alexa Fluor® 647 Anti-TOMM40 antibody [EPR6932(2)]

  • 565 Alexa Fluor® 555

    Alexa Fluor® 555 Anti-TOMM40 antibody [EPR6932(2)]

  • 603 Alexa Fluor® 568

    Alexa Fluor® 568 Anti-TOMM40 antibody [EPR6932(2)]

  • 660 APC

    APC Anti-TOMM40 antibody [EPR6932(2)]

  • 617 Alexa Fluor® 594

    Alexa Fluor® 594 Anti-TOMM40 antibody [EPR6932(2)]

  • 775 Alexa Fluor® 750

    Alexa Fluor® 750 Anti-TOMM40 antibody [EPR6932(2)]

Key facts

Host species

Rabbit

Clonality

Monoclonal

Clone number

EPR6932(2)

Isotype

IgG

Carrier free

No

Reacts with

Human

Applications

Flow Cyt (Intra), ICC/IF, WB, IHC-P, IP

applications

Immunogen

The exact immunogen used to generate this antibody is proprietary information.

Reactivity data

{ "title": "Reactivity Data", "filters": { "stats": ["", "Species", "Dilution Info", "Notes"], "tabs": { "all-applications": {"fullname" : "All Applications", "shortname": "All Applications"}, "IP" : {"fullname" : "Immunoprecipitation", "shortname":"IP"}, "WB" : {"fullname" : "Western blot", "shortname":"WB"}, "ICCIF" : {"fullname" : "Immunocytochemistry/ Immunofluorescence", "shortname":"ICC/IF"}, "FlowCytIntra" : {"fullname" : "Flow Cytometry (Intracellular)", "shortname":"Flow Cyt (Intra)"}, "IHCP" : {"fullname" : "Immunohistochemistry (Formalin/PFA-fixed paraffin-embedded sections)", "shortname":"IHC-P"} }, "product-promise": { "all": "all", "testedAndGuaranteed": "tested", "guaranteed": "expected", "predicted": "predicted", "notRecommended": "not-recommended" } }, "values": { "Human": { "IP-species-checked": "testedAndGuaranteed", "IP-species-dilution-info": "1/30 - 1/50", "IP-species-notes": "<p></p>", "WB-species-checked": "testedAndGuaranteed", "WB-species-dilution-info": "1/1000 - 1/10000", "WB-species-notes": "<p></p>", "ICCIF-species-checked": "testedAndGuaranteed", "ICCIF-species-dilution-info": "1/100", "ICCIF-species-notes": "<p></p>", "FlowCytIntra-species-checked": "testedAndGuaranteed", "FlowCytIntra-species-dilution-info": "1/300", "FlowCytIntra-species-notes": "<p><a href='/en-us/products/primary-antibodies/rabbit-igg-monoclonal-epr25a-isotype-control-ab172730'>ab172730</a> - Rabbit monoclonal IgG, is suitable for use as an isotype control with this antibody.</p>", "IHCP-species-checked": "testedAndGuaranteed", "IHCP-species-dilution-info": "1/500", "IHCP-species-notes": "<p></p>" } } }

You may be interested in:

AB113852

TMRE-Mitochondrial Membrane Potential Assay Kit

5

4 Reviews

View product

We recommend this product because it’s often used in the same experiment or related research.

We advise that you always check the datasheet to ensure it fits your experiments, or contact ourtechnical teamfor help.

Product details

Patented technology
Our RabMAb® technology is a patented hybridoma-based technology for making rabbit monoclonal antibodies. For details on our patents, please refer to RabMAb® patents.

What are the advantages of a recombinant monoclonal antibody?
This product is a recombinant monoclonal antibody, which offers several advantages including:

  • - High batch-to-batch consistency and reproducibility
  • - Improved sensitivity and specificity
  • - Long-term security of supply
  • - Animal-free batch production

For more information, read more on recombinant antibodies.

Properties and storage information

Form
Liquid
Purification technique
Affinity purification Protein A
Storage buffer
pH: 7.2 - 7.4 Preservative: 0.01% Sodium azide Constituents: 59% PBS, 40% Glycerol (glycerin, glycerine), 0.05% BSA
Shipped at conditions
Blue Ice
Appropriate short-term storage duration
1-2 weeks
Appropriate short-term storage conditions
+4°C
Appropriate long-term storage conditions
-20°C
Aliquoting information
Upon delivery aliquot
Storage information
Avoid freeze / thaw cycle

Product protocols

For this product, it's our understanding that no specific protocols are required. You can visit:

Target data

Channel-forming protein essential for import of protein precursors into mitochondria (PubMed : 15644312, PubMed : 31206022). Plays a role in the assembly of the mitochondrial membrane respiratory chain NADH dehydrogenase (Complex I) by forming a complex with BCAP31 and mediating the translocation of Complex I components from the cytosol to the mitochondria (PubMed : 31206022).
See full target information TOMM40

Publications (8)

Recent publications for all applications. Explore the full list and refine your search

eLife 12: PubMed37129366

2023

Mitochondrial protein import clogging as a mechanism of disease.

Applications

Unspecified application

Species

Unspecified reactive species

Liam P Coyne,Xiaowen Wang,Jiyao Song,Ebbing de Jong,Karin Schneider,Paul T Massa,Frank A Middleton,Thomas Becker,Xin Jie Chen

Nature communications 14:870 PubMed36797266

2023

Spatial proteomics reveals secretory pathway disturbances caused by neuropathy-associated TECPR2.

Applications

Unspecified application

Species

Unspecified reactive species

Karsten Nalbach,Martina Schifferer,Debjani Bhattacharya,Hung Ho-Xuan,Wei Chou Tseng,Luis A Williams,Alexandra Stolz,Stefan F Lichtenthaler,Zvulun Elazar,Christian Behrends

Molecular medicine (Cambridge, Mass.) 27:7 PubMed33509092

2021

Inhibition of mitochondrial carrier homolog 2 (MTCH2) suppresses tumor invasion and enhances sensitivity to temozolomide in malignant glioma.

Applications

Unspecified application

Species

Unspecified reactive species

Qiuyun Yuan,Wanchun Yang,Shuxin Zhang,Tengfei Li,Mingrong Zuo,Xingwang Zhou,Junhong Li,Mao Li,Xiaoqiang Xia,Mina Chen,Yanhui Liu

Nature communications 11:4589 PubMed32917887

2020

Loss of MTX2 causes mandibuloacral dysplasia and links mitochondrial dysfunction to altered nuclear morphology.

Applications

Unspecified application

Species

Unspecified reactive species

Sahar Elouej,Karim Harhouri,Morgane Le Mao,Genevieve Baujat,Sheela Nampoothiri,Hϋlya Kayserili,Nihal Al Menabawy,Laila Selim,Arianne Llamos Paneque,Christian Kubisch,Davor Lessel,Robert Rubinsztajn,Chayki Charar,Catherine Bartoli,Coraline Airault,Jean-François Deleuze,Agnes Rötig,Peter Bauer,Catarina Pereira,Abigail Loh,Nathalie Escande-Beillard,Antoine Muchir,Lisa Martino,Yosef Gruenbaum,Song-Hua Lee,Philippe Manivet,Guy Lenaers,Bruno Reversade,Nicolas Lévy,Annachiara De Sandre-Giovannoli

Nature communications 10:1832 PubMed31015432

2019

Ceramides bind VDAC2 to trigger mitochondrial apoptosis.

Applications

Unspecified application

Species

Unspecified reactive species

Shashank Dadsena,Svenja Bockelmann,John G M Mina,Dina G Hassan,Sergei Korneev,Guilherme Razzera,Helene Jahn,Patrick Niekamp,Dagmar Müller,Markus Schneider,Fikadu G Tafesse,Siewert J Marrink,Manuel N Melo,Joost C M Holthuis

Redox biology 25:101109 PubMed30686776

2019

HIF-1α protects against oxidative stress by directly targeting mitochondria.

Applications

Unspecified application

Species

Unspecified reactive species

Hong-Sheng Li,Yan-Ni Zhou,Lu Li,Sheng-Fu Li,Dan Long,Xue-Lu Chen,Jia-Bi Zhang,Li Feng,You-Ping Li

Free radical biology & medicine : PubMed29704620

2018

WITHDRAWN:Mitochondrial targeting of HIF-1α inhibits hypoxia-induced apoptosis independently of its transcriptional activity.

Applications

Unspecified application

Species

Unspecified reactive species

Hong-Sheng Li,Yan-Ni Zhou,Lu Li,Sheng-Fu Li,Dan Long,Xue-Lu Chen,Jia-Bi Zhang,You-Ping Li,Li Feng

Nature communications 9:312 PubMed29358748

2018

Stress-dependent miR-980 regulation of Rbfox1/A2bp1 promotes ribonucleoprotein granule formation and cell survival.

Applications

Unspecified application

Species

Drosophila melanogaster

Mariya M Kucherenko,Halyna R Shcherbata
View all publications

Product promise

We are committed to supporting your work with high-quality reagents, and we're here for you every step of the way. In the unlikely event that one of our products does not perform as expected, you're protected by our Product Promise.
For full details, please see our Terms & Conditions

Please note: All products are 'FOR RESEARCH USE ONLY. NOT FOR USE IN DIAGNOSTIC OR THERAPEUTIC PROCEDURES'.

For licensing inquiries, please contact partnerships@abcam.com