JavaScript is disabled in your browser. Please enable JavaScript to view this website.
AB240964

Anti-TOMM40 antibody [EPR6932(2)] - BSA and Azide free

Be the first to review this product! Submit a review

|

(0 Publication)

Rabbit Recombinant Monoclonal TOMM40 antibody. Carrier free. Suitable for IP, WB, ICC/IF, Flow Cyt (Intra), IHC-P and reacts with Human samples.

View Alternative Names

C19orf1, PEREC1, TOM40, TOMM40, Mitochondrial import receptor subunit TOM40 homolog, Protein Haymaker, Translocase of outer membrane 40 kDa subunit homolog, p38.5

4 Images
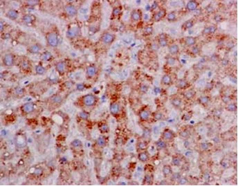
Immunohistochemistry (Formalin/PFA-fixed paraffin-embedded sections) - Anti-TOMM40 antibody [EPR6932(2)] - BSA and Azide free (AB240964)
  • IHC-P

Supplier Data

Immunohistochemistry (Formalin/PFA-fixed paraffin-embedded sections) - Anti-TOMM40 antibody [EPR6932(2)] - BSA and Azide free (AB240964)

Immunohistochemical analysis of paraffin-embedded Human liver tissue labeling TOMM40 with ab185543 at 1/500 dilution. Counter stain Hematoxylin.

This data was developed using the same antibody clone in a different buffer formulation containing PBS, BSA, glycerol, and sodium azide (ab185543).

Perform heat mediated antigen retrieval with EDTA buffer pH 9 before commencing with IHC staining protocol.

Immunocytochemistry/ Immunofluorescence - Anti-TOMM40 antibody [EPR6932(2)] - BSA and Azide free (AB240964)
  • ICC/IF

Supplier Data

Immunocytochemistry/ Immunofluorescence - Anti-TOMM40 antibody [EPR6932(2)] - BSA and Azide free (AB240964)

Immunofluorescent analysis of 4% paraformaldehyde fixed 293T cells labeling TOMM40 with ab185543 at 1/100 dilution. Secondary antibody Goat anti rabbit IgG (Alexa Fluor®555) at a 1/200 dilution. Counterstained with Dapi blue.

This data was developed using the same antibody clone in a different buffer formulation containing PBS, BSA, glycerol, and sodium azide (ab185543).

Flow Cytometry (Intracellular) - Anti-TOMM40 antibody [EPR6932(2)] - BSA and Azide free (AB240964)
  • Flow Cyt (Intra)

Supplier Data

Flow Cytometry (Intracellular) - Anti-TOMM40 antibody [EPR6932(2)] - BSA and Azide free (AB240964)

Intracellular Flow Cytometry analysis of 2% paraformaldehyde fixed HeLa cells labeling TOMM40 with ab185543 at 1/300 dilution (pink) or a rabbit IgG isotype control (green), followed by secondary Goat anti rabbit IgG (FITC) at 1/150 dilution.

This data was developed using the same antibody clone in a different buffer formulation containing PBS, BSA, glycerol, and sodium azide (ab185543).

Immunoprecipitation - Anti-TOMM40 antibody [EPR6932(2)] - BSA and Azide free (AB240964)
  • IP

Supplier Data

Immunoprecipitation - Anti-TOMM40 antibody [EPR6932(2)] - BSA and Azide free (AB240964)

Western blot analysis of TOMM40 in immunoprecipitation pellets from HeLa lysate. ab185543 used at 1/50 dilution (Lane 1) or PBS (Lane 2). Secondary antibody Anti-Rabbit IgG (HRP), specific to the non-reduced form of IgG at a1/1000 dilution.

This data was developed using the same antibody clone in a different buffer formulation containing PBS, BSA, glycerol, and sodium azide (ab185543).

All lanes:

Immunoprecipitation - Anti-TOMM40 antibody [EPR6932(2)] (<a href='/en-us/products/primary-antibodies/tomm40-antibody-epr69322-ab185543'>ab185543</a>)

Predicted band size: 38 kDa

false

  • Unconjugated

    Anti-TOMM40 antibody [EPR6932(2)]

  • 775 Alexa Fluor® 750

    Alexa Fluor® 750 Anti-TOMM40 antibody [EPR6932(2)]

  • 578 PE

    PE Anti-TOMM40 antibody [EPR6932(2)]

  • HRP

    HRP Anti-TOMM40 antibody [EPR6932(2)]

  • 665 Alexa Fluor® 647

    Alexa Fluor® 647 Anti-TOMM40 antibody [EPR6932(2)]

  • 565 Alexa Fluor® 555

    Alexa Fluor® 555 Anti-TOMM40 antibody [EPR6932(2)]

  • 603 Alexa Fluor® 568

    Alexa Fluor® 568 Anti-TOMM40 antibody [EPR6932(2)]

  • 660 APC

    APC Anti-TOMM40 antibody [EPR6932(2)]

  • 617 Alexa Fluor® 594

    Alexa Fluor® 594 Anti-TOMM40 antibody [EPR6932(2)]

Key facts

Host species

Rabbit

Clonality

Monoclonal

Clone number

EPR6932(2)

Isotype

IgG

Carrier free

Yes

Reacts with

Human

Applications

ICC/IF, IHC-P, Flow Cyt (Intra), WB, IP

applications

Immunogen

The exact immunogen used to generate this antibody is proprietary information.

Reactivity data

{ "title": "Reactivity Data", "filters": { "stats": ["", "Species", "Dilution Info", "Notes"], "tabs": { "all-applications": {"fullname" : "All Applications", "shortname": "All Applications"}, "IP" : {"fullname" : "Immunoprecipitation", "shortname":"IP"}, "WB" : {"fullname" : "Western blot", "shortname":"WB"}, "ICCIF" : {"fullname" : "Immunocytochemistry/ Immunofluorescence", "shortname":"ICC/IF"}, "FlowCytIntra" : {"fullname" : "Flow Cytometry (Intracellular)", "shortname":"Flow Cyt (Intra)"}, "IHCP" : {"fullname" : "Immunohistochemistry (Formalin/PFA-fixed paraffin-embedded sections)", "shortname":"IHC-P"} }, "product-promise": { "all": "all", "testedAndGuaranteed": "tested", "guaranteed": "expected", "predicted": "predicted", "notRecommended": "not-recommended" } }, "values": { "Human": { "IP-species-checked": "testedAndGuaranteed", "IP-species-dilution-info": "", "IP-species-notes": "<p></p>", "WB-species-checked": "guaranteed", "WB-species-dilution-info": "", "WB-species-notes": "<p></p>", "ICCIF-species-checked": "testedAndGuaranteed", "ICCIF-species-dilution-info": "", "ICCIF-species-notes": "<p></p>", "FlowCytIntra-species-checked": "testedAndGuaranteed", "FlowCytIntra-species-dilution-info": "", "FlowCytIntra-species-notes": "<p><a href='/en-us/products/primary-antibodies/rabbit-igg-monoclonal-epr25a-isotype-control-low-endotoxin-azide-free-ab199376'>ab199376</a> - Rabbit monoclonal IgG, is suitable for use as an isotype control with this antibody.</p>", "IHCP-species-checked": "testedAndGuaranteed", "IHCP-species-dilution-info": "", "IHCP-species-notes": "<p></p>" } } }

You may be interested in:

AB113852

TMRE-Mitochondrial Membrane Potential Assay Kit

5

4 Reviews

View product

We recommend this product because it’s often used in the same experiment or related research.

We advise that you always check the datasheet to ensure it fits your experiments, or contact ourtechnical teamfor help.

Product details

ab240964 is the carrier-free version of ab185543.

Patented technology
Our RabMAb® technology is a patented hybridoma-based technology for making rabbit monoclonal antibodies. For details on our patents, please refer to RabMAb® patents.

What are the advantages of a recombinant monoclonal antibody?
This product is a recombinant monoclonal antibody, which offers several advantages including:

  • - High batch-to-batch consistency and reproducibility
  • - Improved sensitivity and specificity
  • - Long-term security of supply
  • - Animal-free batch production

For more information, read more on recombinant antibodies.

Conjugation ready
Our carrier-free antibodies are typically supplied in a PBS-only formulation, purified and free of BSA, sodium azide and glycerol. This conjugation-ready format is designed for use with fluorochromes, metal isotopes, oligonucleotides, and enzymes, which makes them ideal for antibody labelling, functional and cell-based assays, flow-based assays (e.g. mass cytometry) and Multiplex Imaging applications.

Use our conjugation kits for antibody conjugates that are ready-to-use in as little as 20 minutes with 1 minute hands-on-time and 100% antibody recovery: available for fluorescent dyes, HRP, biotin and gold.

Compatibility
This product is compatible with the Maxpar® Antibody Labeling Kit from Fluidigm, without the need for antibody preparation. Maxpar® is a trademark of Fluidigm Canada Inc.

Properties and storage information

Form
Liquid
Purification technique
Affinity purification Protein A
Storage buffer
pH: 7.2 - 7.4 Constituents: PBS
Shipped at conditions
Blue Ice
Appropriate short-term storage conditions
+4°C
Appropriate long-term storage conditions
+4°C
Storage information
Do Not Freeze

Product protocols

For this product, it's our understanding that no specific protocols are required. You can visit:

Target data

Channel-forming protein essential for import of protein precursors into mitochondria (PubMed : 15644312, PubMed : 31206022). Plays a role in the assembly of the mitochondrial membrane respiratory chain NADH dehydrogenase (Complex I) by forming a complex with BCAP31 and mediating the translocation of Complex I components from the cytosol to the mitochondria (PubMed : 31206022).
See full target information TOMM40

Product promise

We are committed to supporting your work with high-quality reagents, and we're here for you every step of the way. In the unlikely event that one of our products does not perform as expected, you're protected by our Product Promise.
For full details, please see our Terms & Conditions

Associated Products

Select an associated product type
Alternative Version
Primary Antibodies

AB302981

PE Anti-TOMM40 antibody [EPR6932(2)]

primary-antibodies

pe-tomm40-antibody-epr69322-ab302981

0

(0 reviews)

Alternative Version
Primary Antibodies

AB302983

HRP Anti-TOMM40 antibody [EPR6932(2)]

primary-antibodies

hrp-tomm40-antibody-epr69322-ab302983

0

(0 reviews)

Alternative Version
Primary Antibodies

AB310053

Alexa Fluor® 647 Anti-TOMM40 antibody [EPR6932(2)]

primary-antibodies

alexa-fluor-647-tomm40-antibody-epr69322-ab310053

0

(0 reviews)

Alternative Version
Primary Antibodies

AB311971

Alexa Fluor® 555 Anti-TOMM40 antibody [EPR6932(2)]

primary-antibodies

alexa-fluor-555-tomm40-antibody-epr69322-ab311971

0

(0 reviews)

Alternative Version
Primary Antibodies

AB312444

Alexa Fluor® 568 Anti-TOMM40 antibody [EPR6932(2)]

primary-antibodies

alexa-fluor-568-tomm40-antibody-epr69322-ab312444

0

(0 reviews)

Alternative Version
Primary Antibodies

AB302982

APC Anti-TOMM40 antibody [EPR6932(2)]

primary-antibodies

apc-tomm40-antibody-epr69322-ab302982

0

(0 reviews)

Alternative Version
Primary Antibodies

AB310443

Alexa Fluor® 594 Anti-TOMM40 antibody [EPR6932(2)]

primary-antibodies

alexa-fluor-594-tomm40-antibody-epr69322-ab310443

0

(0 reviews)

Please note: All products are 'FOR RESEARCH USE ONLY. NOT FOR USE IN DIAGNOSTIC OR THERAPEUTIC PROCEDURES'.

For licensing inquiries, please contact partnerships@abcam.com