JavaScript is disabled in your browser. Please enable JavaScript to view this website.
AB219735

Anti-Topoisomerase I antibody [EPR5375] - BSA and Azide free

5

(1 Review)

|

(7 Publications)

Rabbit Recombinant Monoclonal Topoisomerase I antibody. Carrier free. Suitable for IHC-P, WB, ICC/IF, Flow Cyt (Intra) and reacts with Mouse, Human, Rat samples. Cited in 7 publications.

View Alternative Names

DNA topoisomerase 1, DNA topoisomerase I, TOP1

9 Images
Immunohistochemistry (Formalin/PFA-fixed paraffin-embedded sections) - Anti-Topoisomerase I antibody [EPR5375] - BSA and Azide free (AB219735)
  • IHC-P

Unknown

Immunohistochemistry (Formalin/PFA-fixed paraffin-embedded sections) - Anti-Topoisomerase I antibody [EPR5375] - BSA and Azide free (AB219735)

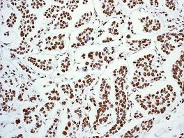
Immunohistochemical analysis of paraffin-embedded Human breast carcinoma tissue using ab109374 at a dilution of 1/100.

This data was developed using the same antibody clone in a different buffer formulation containing PBS, BSA, glycerol, and sodium azide (ab109374).

Heat mediated antigen retrieval was performed before commencing with IHC staining protocol.

Immunohistochemistry (Formalin/PFA-fixed paraffin-embedded sections) - Anti-Topoisomerase I antibody [EPR5375] - BSA and Azide free (AB219735)
  • IHC-P

Unknown

Immunohistochemistry (Formalin/PFA-fixed paraffin-embedded sections) - Anti-Topoisomerase I antibody [EPR5375] - BSA and Azide free (AB219735)

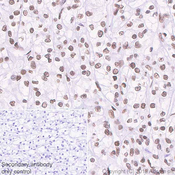
Immunohistochemistry (Formalin/PFA-fixed paraffin-embedded sections) analysis of Human clear cell carcinoma of kidney tissue sections labeling Topoisomerase I with Purified ab109374 at 1 : 100 dilution (1.29 μg/ml). Heat mediated antigen retrieval was performed using ab93684 (Tris/EDTA buffer, pH 9.0). ImmunoHistoProbe one step HRP Polymer (ready to use)was used as the secondary antibody. Negative control : PBS instead of the primary antibody. Hematoxylin was used as a counterstain.
This data was developed using the same antibody clone in a different buffer formulation containing PBS, BSA, glycerol, and sodium azide (ab109374)

Flow Cytometry (Intracellular) - Anti-Topoisomerase I antibody [EPR5375] - BSA and Azide free (AB219735)
  • Flow Cyt (Intra)

Unknown

Flow Cytometry (Intracellular) - Anti-Topoisomerase I antibody [EPR5375] - BSA and Azide free (AB219735)

Overlay histogram showing HepG2 cells stained with ab109374 (red line). The cells were fixed with 80% methanol (5 min) and then permeabilized with 0.1% PBS-Tween for 20 min. The cells were then incubated in 1x PBS / 10% normal goat serum / 0.3M glycine to block non-specific protein-protein interactions followed by the antibody (ab109374, 1/100 dilution) for 30 min at 22°C. The secondary antibody used was Alexa Fluor® 488 goat anti-rabbit IgG (H&L) (ab150077) at 1/2000 dilution for 30 min at 22°C. Isotype control antibody (black line) was rabbit IgG (monoclonal) (1μg/1x106 cells) used under the same conditions. Unlabelled sample (blue line) was also used as a control. Acquisition of >5,000 events were collected using a 20mW Argon ion laser (488nm) and 525/30 bandpass filter.

This data was developed using the same antibody clone in a different buffer formulation containing PBS, BSA, glycerol, and sodium azide (ab109374).

Immunocytochemistry/ Immunofluorescence - Anti-Topoisomerase I antibody [EPR5375] - BSA and Azide free (AB219735)
  • ICC/IF

Unknown

Immunocytochemistry/ Immunofluorescence - Anti-Topoisomerase I antibody [EPR5375] - BSA and Azide free (AB219735)

Immunocytochemistry/ Immunofluorescence analysis of MCF7 (Human breast adenocarcinoma epithelial cell) cells labeling Topoisomerase I with Purified ab109374 at 1 : 500 dilution (0.3 μg/ml). Cells were fixed in 4% Paraformaldehyde and permeabilized with 0.1% tritonX-100. Cells were counterstained with ab195889 Anti-alpha Tubulin antibody [DM1A] - Microtubule Marker (Alexa Fluor® 594) 1 : 200 (2.5 μg/ml). Goat anti rabbit IgG (Alexa Fluor® 488, ab150077) was used as the secondary antibody at 1 : 1000 (2 μg/ml) dilution. DAPI nuclear counterstain. PBS instead of the primary antibody was used as the secondary antibody only control.
This data was developed using the same antibody clone in a different buffer formulation containing PBS, BSA, glycerol, and sodium azide (ab109374)

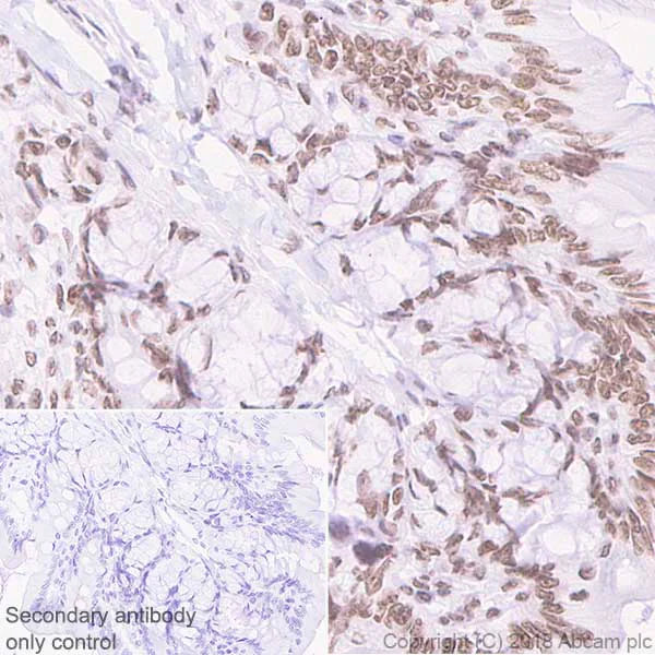
Immunohistochemistry (Formalin/PFA-fixed paraffin-embedded sections) - Anti-Topoisomerase I antibody [EPR5375] - BSA and Azide free (AB219735)
  • IHC-P

Unknown

Immunohistochemistry (Formalin/PFA-fixed paraffin-embedded sections) - Anti-Topoisomerase I antibody [EPR5375] - BSA and Azide free (AB219735)

Immunohistochemical analysis of paraffin-embedded Human colonic carcinoma tissue using ab109374 at a dilution of 1/100.

This data was developed using the same antibody clone in a different buffer formulation containing PBS, BSA, glycerol, and sodium azide (ab109374).

Heat mediated antigen retrieval was performed before commencing with IHC staining protocol.

Immunocytochemistry/ Immunofluorescence - Anti-Topoisomerase I antibody [EPR5375] - BSA and Azide free (AB219735)
  • ICC/IF

Unknown

Immunocytochemistry/ Immunofluorescence - Anti-Topoisomerase I antibody [EPR5375] - BSA and Azide free (AB219735)

Immunofluorescent staining of MCF7 cells using ab109374 at a dilution of 1/100.This data was developed using the same antibody clone in a different buffer formulation containing PBS, BSA, glycerol, and sodium azide (ab109374).

Flow Cytometry (Intracellular) - Anti-Topoisomerase I antibody [EPR5375] - BSA and Azide free (AB219735)
  • Flow Cyt (Intra)

Unknown

Flow Cytometry (Intracellular) - Anti-Topoisomerase I antibody [EPR5375] - BSA and Azide free (AB219735)

Intracellular Flow Cytometry analysis of HepG2 (Human hepatocellular carcinoma epithelial cell) cells labeling Topoisomerase I with Purified ab109374 at 1/20 dilution (10 μg/ml) (red). Cells were fixed with 80% Methanol. A Goat anti rabbit IgG (Alexa Fluor® 488, ab150077) secondary antibody was used at 1/2000. Isotype control - Rabbit monoclonal IgG (Black). Unlabeled control - Cell without incubation with primary antibody and secondary antibody (Blue). This data was developed using the same antibody clone in a different buffer formulation containing PBS, BSA, glycerol, and sodium azide (ab109374)

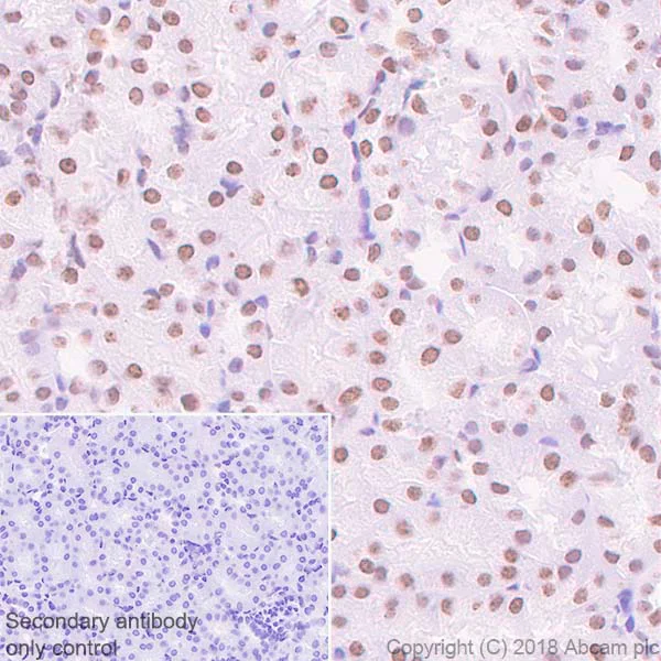
Immunohistochemistry (Formalin/PFA-fixed paraffin-embedded sections) - Anti-Topoisomerase I antibody [EPR5375] - BSA and Azide free (AB219735)
  • IHC-P

Unknown

Immunohistochemistry (Formalin/PFA-fixed paraffin-embedded sections) - Anti-Topoisomerase I antibody [EPR5375] - BSA and Azide free (AB219735)

Immunohistochemistry (Formalin/PFA-fixed paraffin-embedded sections) analysis of Rat colon tissue sections labeling Topoisomerase I with Purified ab109374 at 1 : 100 dilution (1.29 μg/ml). Heat mediated antigen retrieval was performed using ab93684 (Tris/EDTA buffer, pH 9.0). ImmunoHistoProbe one step HRP Polymer (ready to use)was used as the secondary antibody. Negative control : PBS instead of the primary antibody. Hematoxylin was used as a counterstain.
This data was developed using the same antibody clone in a different buffer formulation containing PBS, BSA, glycerol, and sodium azide (ab109374)

Immunohistochemistry (Formalin/PFA-fixed paraffin-embedded sections) - Anti-Topoisomerase I antibody [EPR5375] - BSA and Azide free (AB219735)
  • IHC-P

Unknown

Immunohistochemistry (Formalin/PFA-fixed paraffin-embedded sections) - Anti-Topoisomerase I antibody [EPR5375] - BSA and Azide free (AB219735)

Immunohistochemistry (Formalin/PFA-fixed paraffin-embedded sections) analysis of Mouse kidney tissue sections labeling Topoisomerase I with Purified ab109374 at 1 : 100 dilution (1.29 μg/ml). Heat mediated antigen retrieval was performed using ab93684 (Tris/EDTA buffer, pH 9.0). ImmunoHistoProbe one step HRP Polymer (ready to use)was used as the secondary antibody. Negative control : PBS instead of the primary antibody. Hematoxylin was used as a counterstain.
This data was developed using the same antibody clone in a different buffer formulation containing PBS, BSA, glycerol, and sodium azide (ab109374)

  • Unconjugated

    Anti-Topoisomerase I antibody [EPR5375]

  • HRP

    HRP Anti-Topoisomerase I antibody [EPR5375]

  • 665 Alexa Fluor® 647

    Alexa Fluor® 647 Anti-Topoisomerase I antibody [EPR5375]

  • 519 Alexa Fluor® 488

    Alexa Fluor® 488 Anti-Topoisomerase I antibody [EPR5375]

Key facts

Host species

Rabbit

Clonality

Monoclonal

Clone number

EPR5375

Isotype

IgG

Carrier free

Yes

Reacts with

Human, Mouse, Rat

Applications

Flow Cyt (Intra), IHC-P, ICC/IF, WB

applications

Immunogen

The exact immunogen used to generate this antibody is proprietary information.

Reactivity data

{ "title": "Reactivity Data", "filters": { "stats": ["", "Species", "Dilution Info", "Notes"], "tabs": { "all-applications": {"fullname" : "All Applications", "shortname": "All Applications"}, "IHCP" : {"fullname" : "Immunohistochemistry (Formalin/PFA-fixed paraffin-embedded sections)", "shortname":"IHC-P"}, "IP" : {"fullname" : "Immunoprecipitation", "shortname":"IP"}, "WB" : {"fullname" : "Western blot", "shortname":"WB"}, "ICCIF" : {"fullname" : "Immunocytochemistry/ Immunofluorescence", "shortname":"ICC/IF"}, "FlowCytIntra" : {"fullname" : "Flow Cytometry (Intracellular)", "shortname":"Flow Cyt (Intra)"} }, "product-promise": { "all": "all", "testedAndGuaranteed": "tested", "guaranteed": "expected", "predicted": "predicted", "notRecommended": "not-recommended" } }, "values": { "Human": { "IHCP-species-checked": "guaranteed", "IHCP-species-dilution-info": "", "IHCP-species-notes": "", "IP-species-checked": "notRecommended", "IP-species-dilution-info": "", "IP-species-notes": "<p></p>", "WB-species-checked": "guaranteed", "WB-species-dilution-info": "", "WB-species-notes": "<p></p>", "ICCIF-species-checked": "testedAndGuaranteed", "ICCIF-species-dilution-info": "", "ICCIF-species-notes": "<p></p>", "FlowCytIntra-species-checked": "testedAndGuaranteed", "FlowCytIntra-species-dilution-info": "", "FlowCytIntra-species-notes": "<p><a href='/en-us/products/primary-antibodies/rabbit-igg-monoclonal-epr25a-isotype-control-low-endotoxin-azide-free-ab199376'>ab199376</a> - Rabbit monoclonal IgG, is suitable for use as an isotype control with this antibody.</p>" }, "Mouse": { "IHCP-species-checked": "testedAndGuaranteed", "IHCP-species-dilution-info": "", "IHCP-species-notes": "<p></p>", "IP-species-checked": "notRecommended", "IP-species-dilution-info": "", "IP-species-notes": "<p></p>", "WB-species-checked": "guaranteed", "WB-species-dilution-info": "", "WB-species-notes": "<p></p>", "ICCIF-species-checked": "guaranteed", "ICCIF-species-dilution-info": "", "ICCIF-species-notes": "", "FlowCytIntra-species-checked": "guaranteed", "FlowCytIntra-species-dilution-info": "", "FlowCytIntra-species-notes": "" }, "Rat": { "IHCP-species-checked": "predicted", "IHCP-species-dilution-info": "", "IHCP-species-notes": "", "IP-species-checked": "notRecommended", "IP-species-dilution-info": "", "IP-species-notes": "<p></p>", "WB-species-checked": "guaranteed", "WB-species-dilution-info": "", "WB-species-notes": "<p></p>", "ICCIF-species-checked": "predicted", "ICCIF-species-dilution-info": "", "ICCIF-species-notes": "", "FlowCytIntra-species-checked": "predicted", "FlowCytIntra-species-dilution-info": "", "FlowCytIntra-species-notes": "" } } }

Product details

ab219735 is the carrier-free version of ab109374.

Patented technology
Our RabMAb® technology is a patented hybridoma-based technology for making rabbit monoclonal antibodies. For details on our patents, please refer to RabMAb® patents.

What are the advantages of a recombinant monoclonal antibody?
This product is a recombinant monoclonal antibody, which offers several advantages including:

  • - High batch-to-batch consistency and reproducibility
  • - Improved sensitivity and specificity
  • - Long-term security of supply
  • - Animal-free batch production

For more information, read more on recombinant antibodies.

Conjugation ready
Our carrier-free antibodies are typically supplied in a PBS-only formulation, purified and free of BSA, sodium azide and glycerol. This conjugation-ready format is designed for use with fluorochromes, metal isotopes, oligonucleotides, and enzymes, which makes them ideal for antibody labelling, functional and cell-based assays, flow-based assays (e.g. mass cytometry) and Multiplex Imaging applications.

Use our conjugation kits for antibody conjugates that are ready-to-use in as little as 20 minutes with 1 minute hands-on-time and 100% antibody recovery: available for fluorescent dyes, HRP, biotin and gold.

Compatibility
This product is compatible with the Maxpar® Antibody Labeling Kit from Fluidigm, without the need for antibody preparation. Maxpar® is a trademark of Fluidigm Canada Inc.

Properties and storage information

Form
Liquid
Purification technique
Affinity purification Protein A
Storage buffer
pH: 7.2 - 7.4 Constituents: PBS
Shipped at conditions
Blue Ice
Appropriate short-term storage conditions
+4°C
Appropriate long-term storage conditions
+4°C
Storage information
Do Not Freeze

Supplementary information

This supplementary information is collated from multiple sources and compiled automatically.

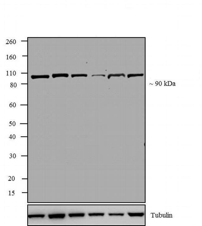
Topoisomerase I also known as DNA topoisomerase I or Topo I is an important enzyme in the unwinding of the DNA double helix during processes such as replication and transcription. This enzyme has a molecular mass of approximately 91 kDa and functions by creating transient single-strand breaks in the DNA allowing relaxation of supercoils. Topoisomerase I is widely expressed in both proliferating and non-proliferating cells with higher levels seen in tissues with rapid cell division like the gastrointestinal tract and some immune cells.
Biological function summary

Topoisomerase I plays a significant role in the modulation of DNA topology ensuring proper chromosomal functions during cellular proliferation. It serves as a single polypeptide and does not require a companion for its activity unlike other topoisomerases that may function in complexes. The enzyme’s ability to relieve torsional stress in DNA is essential for maintaining genomic stability and facilitating the smooth progression of the replication fork.

Pathways

Topoisomerase I is vital for DNA replication and transcription processes. It works in concert with other proteins such as helicases and ligases to ensure efficient unwinding and rewinding of DNA strands. The enzyme participates in the DNA damage response pathway where it interacts with proteins like PARP1 to coordinate repair processes. Its action is important in both the S phase of the cell cycle where DNA synthesis occurs and in the G0 phase where cells are in a quiescent state.

Topoisomerase I is heavily implicated in oncogenesis with significant associations to colorectal and ovarian cancers. Its heightened activity can lead to genomic instability a hallmark of cancer development. The enzyme also relates to chemotherapeutic resistance where mutations in topoisomerase I lead to reduced drug efficacy. Furthermore inhibitors targeting topoisomerase I such as camptothecin-based drugs exploit its role in cancer aiming to induce DNA damage selectively in rapidly dividing cells. Connections to other proteins like BRCA1 are apparent in these pathways as they both contribute to the DNA repair processes in cells.

Product protocols

For this product, it's our understanding that no specific protocols are required. You can visit:

Target data

Releases the supercoiling and torsional tension of DNA introduced during the DNA replication and transcription by transiently cleaving and rejoining one strand of the DNA duplex. Introduces a single-strand break via transesterification at a target site in duplex DNA. The scissile phosphodiester is attacked by the catalytic tyrosine of the enzyme, resulting in the formation of a DNA-(3'-phosphotyrosyl)-enzyme intermediate and the expulsion of a 5'-OH DNA strand. The free DNA strand then rotates around the intact phosphodiester bond on the opposing strand, thus removing DNA supercoils. Finally, in the religation step, the DNA 5'-OH attacks the covalent intermediate to expel the active-site tyrosine and restore the DNA phosphodiester backbone (By similarity). Regulates the alternative splicing of tissue factor (F3) pre-mRNA in endothelial cells. Involved in the circadian transcription of the core circadian clock component BMAL1 by altering the chromatin structure around the ROR response elements (ROREs) on the BMAL1 promoter.
See full target information TOP1

Publications (7)

Recent publications for all applications. Explore the full list and refine your search

Molecular cell 84:3192-3208.e11 PubMed39173639

2024

RNA interacts with topoisomerase I to adjust DNA topology.

Applications

Unspecified application

Species

Unspecified reactive species

Mannan Bhola,Kouki Abe,Paola Orozco,Homa Rahnamoun,Pedro Avila-Lopez,Elijah Taylor,Nefertiti Muhammad,Bei Liu,Prachi Patel,John F Marko,Anne C Starner,Chuan He,Eric L Van Nostrand,Alfonso Mondragón,Shannon M Lauberth

Science advances 10:eadh9613 PubMed38959318

2024

Downstream-of-gene (DoG) transcripts contribute to an imbalance in the cancer cell transcriptome.

Applications

Unspecified application

Species

Unspecified reactive species

Kouki Abe,Brian Maunze,Pedro-Avila Lopez,Jessica Xu,Nefertiti Muhammad,Guang-Yu Yang,David Katz,Yaping Liu,Shannon M Lauberth

Molecular and cellular biology 34:3144-55 PubMed24912678

2014

RhoB promotes γH2AX dephosphorylation and DNA double-strand break repair.

Applications

Unspecified application

Species

Unspecified reactive species

Kenza Mamouni,Agnese Cristini,Josée Guirouilh-Barbat,Sylvie Monferran,Anthony Lemarié,Jean-Charles Faye,Bernard S Lopez,Gilles Favre,Olivier Sordet

PLoS genetics 10:e1004318 PubMed24787137

2014

R-loops associated with triplet repeat expansions promote gene silencing in Friedreich ataxia and fragile X syndrome.

Applications

WB

Species

Unspecified reactive species

Matthias Groh,Michele M P Lufino,Richard Wade-Martins,Natalia Gromak

Proceedings of the National Academy of Sciences of 110:15127-32 PubMed23980155

2013

Correlating preclinical animal studies and human clinical trials of a multifunctional, polymeric nanoparticle.

Applications

WB

Species

Human

Scott Eliasof,Douglas Lazarus,Christian G Peters,Roy I Case,Roderic O Cole,Jungyeon Hwang,Thomas Schluep,Joseph Chao,James Lin,Yun Yen,Han Han,Devin T Wiley,Jonathan E Zuckerman,Mark E Davis

Nature structural & molecular biology 20:396-403 PubMed23416947

2013

Transcription-dependent dynamic supercoiling is a short-range genomic force.

Applications

ChIP

Species

Human

Fedor Kouzine,Ashutosh Gupta,Laura Baranello,Damian Wojtowicz,Khadija Ben-Aissa,Juhong Liu,Teresa M Przytycka,David Levens

Human molecular genetics 21:4270-85 PubMed22763239

2012

Rescue of the genetically engineered Cul4b mutant mouse as a potential model for human X-linked mental retardation.

Applications

Unspecified application

Species

Mouse

Chun-Yu Chen,Ming-Shian Tsai,Chien-Yu Lin,I-Shing Yu,You-Tzung Chen,Shu-Rung Lin,Liang-Wen Juan,Yuh-Tarng Chen,Hua-Man Hsu,Li-Jen Lee,Shu-Wha Lin
View all publications

Product promise

We are committed to supporting your work with high-quality reagents, and we're here for you every step of the way. In the unlikely event that one of our products does not perform as expected, you're protected by our Product Promise.
For full details, please see our Terms & Conditions

Please note: All products are 'FOR RESEARCH USE ONLY. NOT FOR USE IN DIAGNOSTIC OR THERAPEUTIC PROCEDURES'.

For licensing inquiries, please contact partnerships@abcam.com