JavaScript is disabled in your browser. Please enable JavaScript to view this website.
AB247333

Anti-Topoisomerase II alpha (phospho T1343) antibody [EP1054Y] - BSA and Azide free

Be the first to review this product! Submit a review

|

(1 Publication)

Rabbit Recombinant Monoclonal Topoisomerase II alpha phospho T1343 antibody. Carrier free. Suitable for IHC-P, ICC/IF, WB and reacts with Human samples. Cited in 1 publication.

View Alternative Names

TOP2, TOP2A, DNA topoisomerase 2-alpha

3 Images
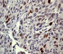
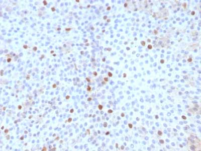
Immunohistochemistry (Formalin/PFA-fixed paraffin-embedded sections) - Anti-Topoisomerase II alpha (phospho T1343) antibody [EP1054Y] - BSA and Azide free (AB247333)
  • IHC-P

Unknown

Immunohistochemistry (Formalin/PFA-fixed paraffin-embedded sections) - Anti-Topoisomerase II alpha (phospho T1343) antibody [EP1054Y] - BSA and Azide free (AB247333)

This data was developed using ab52853, the same antibody clone in a different buffer formulation.

ab52853 at 1/100 dilution staining Topoisomerase II alpha in paraffin embedded human cervical carcinoma tissue by Immunohistochemistry.

Perform heat mediated antigen retrieval with citrate buffer pH 6 before commencing with IHC staining protocol.

Immunocytochemistry/ Immunofluorescence - Anti-Topoisomerase II alpha (phospho T1343) antibody [EP1054Y] - BSA and Azide free (AB247333)
  • ICC/IF

Unknown

Immunocytochemistry/ Immunofluorescence - Anti-Topoisomerase II alpha (phospho T1343) antibody [EP1054Y] - BSA and Azide free (AB247333)

This data was developed using the same antibody clone in a different buffer formulation (ab52853).
Immunocytochemistry analysis of HeLa (human cervix adenocarcinoma epithelial cell) labeling Topoisomerase II alpha with purified ab52853 at 1/50 dilution (4 µg/ml). Cells were fixed with 4% Paraformaldehyde and permeabilised with 0.1% tritonX-100. Goat anti rabbit IgG (Alexa Fluor® 488, ab150077) at 1/1000 (2 µg/ml) was used as the secondary antibody. ab195889 Anti-alpha Tubulin antibody [DM1A] - Microtubule Marker (Alexa Fluor® 594) 1/200 (2.14 µg/ml) was used as counterstain. Nuclei were stained blue with DAPI.
Negative control : PBS instead of the primary antibody.

Western blot - Anti-Topoisomerase II alpha (phospho T1343) antibody [EP1054Y] - BSA and Azide free (AB247333)
  • WB

Unknown

Western blot - Anti-Topoisomerase II alpha (phospho T1343) antibody [EP1054Y] - BSA and Azide free (AB247333)

This data was developed using ab52853, the same antibody clone in a different buffer formulation.

All lanes:

Western blot - Anti-Topoisomerase II alpha (phospho T1343) antibody [EP1054Y] - BSA and Azide free (ab247333) at 1/1000 dilution

Lane 1:

HeLa cell lysate treated with AP at 10 µg

Lane 2:

HeLa cell lysate untreated at 10 µg

Secondary

All lanes:

goat anti-rabbit HRP at 1/2000 dilution

Predicted band size: 174 kDa

Observed band size: 174 kDa

false

Key facts

Host species

Rabbit

Clonality

Monoclonal

Clone number

EP1054Y

Isotype

IgG

Carrier free

Yes

Reacts with

Human

Applications

ICC/IF, WB, IHC-P

applications

Immunogen

The exact immunogen used to generate this antibody is proprietary information.

Reactivity data

{ "title": "Reactivity Data", "filters": { "stats": ["", "Species", "Dilution Info", "Notes"], "tabs": { "all-applications": {"fullname" : "All Applications", "shortname": "All Applications"}, "IHCP" : {"fullname" : "Immunohistochemistry (Formalin/PFA-fixed paraffin-embedded sections)", "shortname":"IHC-P"}, "ICCIF" : {"fullname" : "Immunocytochemistry/ Immunofluorescence", "shortname":"ICC/IF"}, "IP" : {"fullname" : "Immunoprecipitation", "shortname":"IP"}, "FlowCyt" : {"fullname" : "Flow Cytometry", "shortname":"Flow Cyt"}, "WB" : {"fullname" : "Western blot", "shortname":"WB"} }, "product-promise": { "all": "all", "testedAndGuaranteed": "tested", "guaranteed": "expected", "predicted": "predicted", "notRecommended": "not-recommended" } }, "values": { "Human": { "IHCP-species-checked": "testedAndGuaranteed", "IHCP-species-dilution-info": "", "IHCP-species-notes": "<p></p>", "ICCIF-species-checked": "testedAndGuaranteed", "ICCIF-species-dilution-info": "", "ICCIF-species-notes": "<p></p>", "IP-species-checked": "notRecommended", "IP-species-dilution-info": "", "IP-species-notes": "<p></p>", "FlowCyt-species-checked": "notRecommended", "FlowCyt-species-dilution-info": "", "FlowCyt-species-notes": "<p></p>", "WB-species-checked": "testedAndGuaranteed", "WB-species-dilution-info": "", "WB-species-notes": "<p></p>" } } }

Product details

ab247333 is the carrier-free version of ab52853.

Species reactivity
Mouse, Rat: We have preliminary internal testing data to indicate this antibody may not react with these species.
Please contact us for more information.

Patented technology
Our RabMAb® technology is a patented hybridoma-based technology for making rabbit monoclonal antibodies. For details on our patents, please refer to RabMAb® patents.

What are the advantages of a recombinant monoclonal antibody?
This product is a recombinant monoclonal antibody, which offers several advantages including:

  • - High batch-to-batch consistency and reproducibility
  • - Improved sensitivity and specificity
  • - Long-term security of supply
  • - Animal-free batch production

For more information, read more on recombinant antibodies.

Conjugation ready
Our carrier-free antibodies are typically supplied in a PBS-only formulation, purified and free of BSA, sodium azide and glycerol. This conjugation-ready format is designed for use with fluorochromes, metal isotopes, oligonucleotides, and enzymes, which makes them ideal for antibody labelling, functional and cell-based assays, flow-based assays (e.g. mass cytometry) and Multiplex Imaging applications.

Use our conjugation kits for antibody conjugates that are ready-to-use in as little as 20 minutes with 1 minute hands-on-time and 100% antibody recovery: available for fluorescent dyes, HRP, biotin and gold.

Compatibility
This product is compatible with the Maxpar® Antibody Labeling Kit from Fluidigm, without the need for antibody preparation. Maxpar® is a trademark of Fluidigm Canada Inc.

Properties and storage information

Form
Liquid
Purification technique
Affinity purification Protein A
Storage buffer
pH: 7.2 - 7.4 Constituents: PBS
Shipped at conditions
Blue Ice
Appropriate short-term storage conditions
+4°C
Appropriate long-term storage conditions
+4°C
Storage information
Do Not Freeze

Supplementary information

This supplementary information is collated from multiple sources and compiled automatically.

Topoisomerase II alpha also known as TOP2A is an enzyme that plays a critical role in DNA replication and cell division. It is a homodimeric protein with a mass of around 170 kDa and primarily localizes in the nucleus. TOP2A catalyzes the transient breaking and rejoining of double-stranded DNA necessary for resolving DNA tangles and supercoils during the replication process. TOP2A is highly expressed in proliferating cells due to its role in cell cycle progression making it a significant target in cancer research.
Biological function summary

TOP2A is essential for chromosome condensation segregation and relief of DNA torsional stress during mitosis. It does not function in isolation but interacts with other proteins as part of the larger DNA topoisomerase complex. This complex maintains DNA integrity during cellular processes such as transcription and replication. TOP2A's activity ensures that cells can duplicate their genetic material accurately facilitating proper cell division and maintaining genomic stability.

Pathways

TOP2A plays a significant role in the DNA replication and cell cycle regulation pathways. It interacts closely with proteins like CDC2 (cyclin-dependent kinase 1) and is regulated by cyclins which control the timing of cell cycle progression. Additionally TOP2A is involved in the DNA damage response pathway where it collaborates with proteins such as ATM (ataxia-telangiectasia mutated) emphasizing its importance in maintaining DNA structure during replication stress.

Overexpression of TOP2A is frequently associated with various cancers including breast and prostate cancer. The enzyme's increased activity promotes uncontrolled cell proliferation a hallmark of cancer development. Antitopoisomerase drugs which target this pathway are used in cancer treatments to inhibit TOP2A activity. Additionally mutations or dysregulation of TOP2A-related pathways may also contribute to chemoresistance. Understanding TOP2A interactions and regulation provides insight into its role in cancer and opens avenues for targeted therapeutic interventions.

Product protocols

For this product, it's our understanding that no specific protocols are required. You can visit:

Target data

Key decatenating enzyme that alters DNA topology by binding to two double-stranded DNA molecules, generating a double-stranded break in one of the strands, passing the intact strand through the broken strand, and religating the broken strand (PubMed : 17567603, PubMed : 18790802, PubMed : 22013166, PubMed : 22323612). May play a role in regulating the period length of BMAL1 transcriptional oscillation (By similarity).
See full target information TOP2A phospho T1343

Publications (1)

Recent publications for all applications. Explore the full list and refine your search

Journal of orthopaedic surgery and research 18:477 PubMed37393232

2023

CircTBX5 knockdown modulates the miR-558/MyD88 axis to alleviate IL-1β-induced inflammation, apoptosis and extracellular matrix degradation in chondrocytes via inactivating the NF-κB signaling.

Applications

Unspecified application

Species

Unspecified reactive species

Wei Wei,Hongjie Mu,Qiaoyi Cui,Peng Yu,Tong Liu,Tao Wang,Lin Sheng
View all publications

Product promise

We are committed to supporting your work with high-quality reagents, and we're here for you every step of the way. In the unlikely event that one of our products does not perform as expected, you're protected by our Product Promise.
For full details, please see our Terms & Conditions

Please note: All products are 'FOR RESEARCH USE ONLY. NOT FOR USE IN DIAGNOSTIC OR THERAPEUTIC PROCEDURES'.

For licensing inquiries, please contact partnerships@abcam.com