JavaScript is disabled in your browser. Please enable JavaScript to view this website.
AB264158

Anti-Topoisomerase II beta/TOP2B antibody

Be the first to review this product! Submit a review

|

(1 Publication)

Rabbit Polyclonal Topoisomerase II beta/TOP2B antibody. Suitable for IHC-P, IP, WB and reacts with Human, Mouse samples. Cited in 1 publication. Immunogen corresponding to Synthetic Peptide within Human DNA topoisomerase 2-beta aa 1550 to C-terminus.

View Alternative Names

DNA topoisomerase 2-beta, TOP2B

4 Images
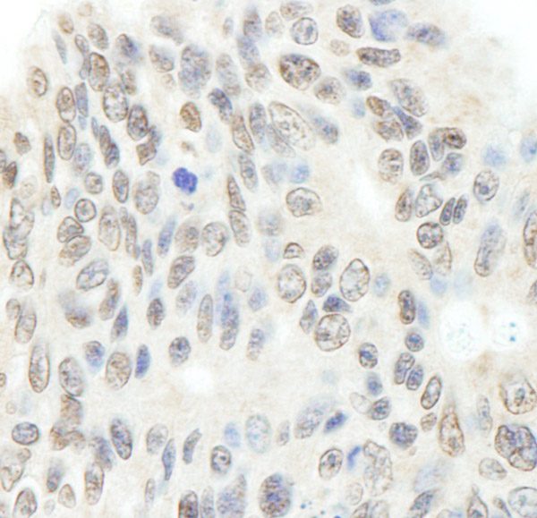
Immunohistochemistry (Formalin/PFA-fixed paraffin-embedded sections) - Anti-Topoisomerase II beta/TOP2B antibody (AB264158)
  • IHC-P

Supplier Data

Immunohistochemistry (Formalin/PFA-fixed paraffin-embedded sections) - Anti-Topoisomerase II beta/TOP2B antibody (AB264158)

Immunohistochemical analysis of formalin-fixed, paraffin-embedded human cell ovarian cancer tissue. labeling Topoisomerase II beta/TOP2B with ab264158 at 0.2 μg/ml. Detection : DAB.

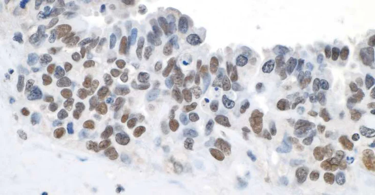
Immunohistochemistry (Formalin/PFA-fixed paraffin-embedded sections) - Anti-Topoisomerase II beta/TOP2B antibody (AB264158)
  • IHC-P

Supplier Data

Immunohistochemistry (Formalin/PFA-fixed paraffin-embedded sections) - Anti-Topoisomerase II beta/TOP2B antibody (AB264158)

Immunohistochemical analysis of formalin-fixed, paraffin-embedded human small cell lung cancer tissue. labeling Topoisomerase II beta/TOP2B with ab264158 at 0.2 μg/ml. Detection : DAB.

Immunoprecipitation - Anti-Topoisomerase II beta/TOP2B antibody (AB264158)
  • IP

Supplier Data

Immunoprecipitation - Anti-Topoisomerase II beta/TOP2B antibody (AB264158)

Topoisomerase II beta/TOP2B was immunoprecipitated from 1mg of HEK293T whole cell lysate with ab264158 at 6 μg/mg lysate. Western blot was performed from the immunoprecipitate using ab264158 at 0.04 μg/ml.

Lane 1 : ab264158 IP in HEK293T whole cell lysate.
Lane 2 : Control IgG.

Detection : Chemiluminescence.

All lanes:

Immunoprecipitation - Anti-Topoisomerase II beta/TOP2B antibody (ab264158)

Predicted band size: 183 kDa

false

Exposure time: 1s

Western blot - Anti-Topoisomerase II beta/TOP2B antibody (AB264158)
  • WB

Supplier Data

Western blot - Anti-Topoisomerase II beta/TOP2B antibody (AB264158)

Detection : Chemiluminescence.

All lanes:

Western blot - Anti-Topoisomerase II beta/TOP2B antibody (ab264158) at 0.04 µg/mL

Lane 1:

HEK293T whole cell lysate at 50 µg

Lane 2:

HeLa whole cell lysate at 50 µg

Lane 3:

Jurkat whole cell lysate at 50 µg

Lane 4:

TCMK-1 whole cell lysate at 50 µg

Lane 5:

NIH3T3 whole cell lysate at 50 µg

Predicted band size: 183 kDa

false

Exposure time: 30s

Key facts

Host species

Rabbit

Clonality

Polyclonal

Isotype

IgG

Carrier free

No

Reacts with

Mouse, Human

Applications

IHC-P, IP, WB

applications

Immunogen

Synthetic Peptide within Human DNA topoisomerase 2-beta aa 1550 to C-terminus. The exact immunogen used to generate this antibody is proprietary information.

Q02880

Reactivity data

{ "title": "Reactivity Data", "filters": { "stats": ["", "Species", "Dilution Info", "Notes"], "tabs": { "all-applications": {"fullname" : "All Applications", "shortname": "All Applications"}, "IHCP" : {"fullname" : "Immunohistochemistry (Formalin/PFA-fixed paraffin-embedded sections)", "shortname":"IHC-P"}, "IP" : {"fullname" : "Immunoprecipitation", "shortname":"IP"}, "WB" : {"fullname" : "Western blot", "shortname":"WB"} }, "product-promise": { "all": "all", "testedAndGuaranteed": "tested", "guaranteed": "expected", "predicted": "predicted", "notRecommended": "not-recommended" } }, "values": { "Human": { "IHCP-species-checked": "testedAndGuaranteed", "IHCP-species-dilution-info": "1/100 - 1/500", "IHCP-species-notes": "<p></p> Perform heat-mediated antigen retrieval with citrate buffer pH 6 before commencing with IHC staining protocol.", "IP-species-checked": "testedAndGuaranteed", "IP-species-dilution-info": "2-5 µg/mg of lysate", "IP-species-notes": "<p></p>", "WB-species-checked": "testedAndGuaranteed", "WB-species-dilution-info": "1/2000 - 1/10000", "WB-species-notes": "<p></p>" }, "Mouse": { "IHCP-species-checked": "guaranteed", "IHCP-species-dilution-info": "", "IHCP-species-notes": "", "IP-species-checked": "guaranteed", "IP-species-dilution-info": "", "IP-species-notes": "", "WB-species-checked": "testedAndGuaranteed", "WB-species-dilution-info": "1/2000 - 1/10000", "WB-species-notes": "<p></p>" } } }

Properties and storage information

Form
Liquid
Purification technique
Affinity purification Immunogen
Storage buffer
pH: 6.8 - 7.4 Preservative: 0.09% Sodium azide Constituents: Tris buffered saline, 0.1% BSA
Shipped at conditions
Blue Ice
Appropriate short-term storage duration
1-2 weeks
Appropriate short-term storage conditions
+4°C
Appropriate long-term storage conditions
+4°C
Aliquoting information
Upon delivery aliquot
Storage information
Avoid freeze / thaw cycle

Supplementary information

This supplementary information is collated from multiple sources and compiled automatically.

Topoisomerase II beta (TOP2B) is an essential enzyme that alters the topological states of DNA during transcription replication and chromatin remodeling. It accomplishes this by inducing transient double-strand breaks in the DNA helix to facilitate the passage of another DNA segment through this break before the enzyme reseals the break. TOP2B is also known as DNA topoisomerase (ATP-hydrolyzing) and has a molecular mass of approximately 180 kDa. The enzyme is widely expressed across various tissues but the highest levels are found in the brain and testis reflecting its vital role in these organs.
Biological function summary

Topoisomerase II beta contributes to the regulation of genetic processes such as transcription chromosome segregation and DNA repair. It is not a lone player; TOP2B often functions within a complex involving other proteins that assist in stabilizing the DNA topology changes it mediates. The enzyme's activity ensures proper chromatin dynamics particularly in neurons where it influences long-range transcription regulation essential for neural development and function.

Pathways

Topoisomerase II beta plays a significant role in DNA damage response and repair pathways interacting with intricate network proteins like RPA (Replication Protein A) and BRCA1. In addition TOP2B is involved in the transcriptional regulation pathway where it facilitates changes in chromatin structure necessary for the transcription machinery to access gene sequences. Its interactions with these proteins highlight its integration in cellular mechanisms maintaining genomic stability and regulating gene expression.

Topoisomerase II beta has associations with cancer and neurodegenerative diseases. Aberrations in TOP2B activity can lead to genomic instability contributing to oncogenesis particularly in types of leukemia and solid tumors. Elevated or dysfunctional activity of TOP2B is often observed alongside proteins like the tumor suppressor p53 an important regulator of cell cycle and apoptosis linking their combined malfunction to cancer progression. Additionally irregular TOP2B function is connected to Alzheimer's disease with evidence suggesting its involvement in neuronal death often alongside proteins like Tau further implicating its role in neurodegenerative pathologies.

Product protocols

For this product, it's our understanding that no specific protocols are required. You can visit:

Target data

Key decatenating enzyme that alters DNA topology by binding to two double-stranded DNA molecules, generating a double-stranded break in one of the strands, passing the intact strand through the broken strand, and religating the broken strand. Plays a role in B-cell differentiation.
See full target information DNA topoisomerase 2-beta

Publications (1)

Recent publications for all applications. Explore the full list and refine your search

Epigenetics & chromatin 18:58 PubMed40855509

2025

The isoflavone genistein selectively stimulates major satellite repeat transcription in mouse heterochromatin.

Applications

Unspecified application

Species

Unspecified reactive species

Thomas Fuhrmann,Nicholas Shukeir,Reagan W Ching,Galina Erikson,Yuan Dou,Zoe Sawitzki,Megumi Onishi-Seebacher,Carmen Galan,Thomas Jenuwein
View all publications

Product promise

We are committed to supporting your work with high-quality reagents, and we're here for you every step of the way. In the unlikely event that one of our products does not perform as expected, you're protected by our Product Promise.
For full details, please see our Terms & Conditions

Please note: All products are 'FOR RESEARCH USE ONLY. NOT FOR USE IN DIAGNOSTIC OR THERAPEUTIC PROCEDURES'.

For licensing inquiries, please contact partnerships@abcam.com