JavaScript is disabled in your browser. Please enable JavaScript to view this website.
AB317702

Anti-TOR1AIP1 antibody [EPR29003-34] - BSA and Azide free

Be the first to review this product! Submit a review

|

(0 Publication)

Rabbit Recombinant Monoclonal TOR1AIP1 antibody. Carrier free. Suitable for Dot, Flow Cyt (Intra), ICC/IF, IHC-P, WB and reacts with Recombinant fragment - Human, Human samples.

View Alternative Names

LAP1, TOR1AIP1, Torsin-1A-interacting protein 1, Lamin-associated protein 1B, LAP1B

7 Images
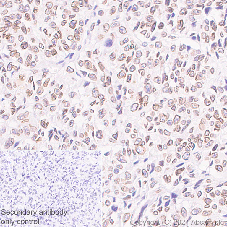
Immunohistochemistry (Formalin/PFA-fixed paraffin-embedded sections) - Anti-TOR1AIP1 antibody [EPR29003-34] - BSA and Azide free (AB317702)
  • IHC-P

Supplier Data

Immunohistochemistry (Formalin/PFA-fixed paraffin-embedded sections) - Anti-TOR1AIP1 antibody [EPR29003-34] - BSA and Azide free (AB317702)

This data was developed using ab317701, the same antibody clone in a different buffer formulation.

Immunohistochemical analysis of paraffin-embedded Human melanoma tissue labeling TOR1AIP1 with ab317701 at 1/2000 (0.249 ug/ml) dilution, followed by a ready to use LeicaDS9800 (Bond™ Polymer Refine Detection).

Nucleus envelope staining on human melanoma (PMID : 36624187).
The section was incubated with ab317701 for 30 mins at room temperature.
The immunostaining was performed on a Leica Biosystems BOND® RX instrument

Counterstained with Hematoxylin.

Secondary antibody only control : Secondary antibody is a ready to use LeicaDS9800 (Bond™ Polymer Refine Detection).

Heat mediated antigen retrieval was performed with Tris-EDTA buffer (pH 9.0, Epitope Retrieval Solution2) for 20 mins

Flow Cytometry (Intracellular) - Anti-TOR1AIP1 antibody [EPR29003-34] - BSA and Azide free (AB317702)
  • Flow Cyt (Intra)

Supplier Data

Flow Cytometry (Intracellular) - Anti-TOR1AIP1 antibody [EPR29003-34] - BSA and Azide free (AB317702)

This data was developed using ab317701, the same antibody clone in a different buffer formulation.

Flow cytometric analysis of 4% paraformaldehyde fixed 90% methanol permeabilized SH-SY5Y (human neuroblastoma epithelial cell) cells labelling TOR1AIP1 with ab317701 at 1/500 dilution (0.1 ug)/Red (Red) compared with a Rabbit monoclonal IgG (ab172730) (Black) isotype control and an unlabelled control (cells without incubation with primary antibody and secondary antibody) (Blue).

Goat Anti-Rabbit IgG (Alexa Fluor® 488, ab150081) at 1/5000 dilution was used as the secondary antibody.

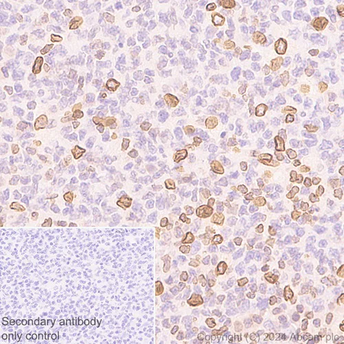
Immunohistochemistry (Formalin/PFA-fixed paraffin-embedded sections) - Anti-TOR1AIP1 antibody [EPR29003-34] - BSA and Azide free (AB317702)
  • IHC-P

Supplier Data

Immunohistochemistry (Formalin/PFA-fixed paraffin-embedded sections) - Anti-TOR1AIP1 antibody [EPR29003-34] - BSA and Azide free (AB317702)

This data was developed using ab317701, the same antibody clone in a different buffer formulation.

Immunohistochemical analysis of paraffin-embedded Human tonsil tissue labeling TOR1AIP1 with ab317701 at 1/2000 (0.249 ug/ml) dilution, followed by a ready to use LeicaDS9800 (Bond™ Polymer Refine Detection).

Nucleus envelope staining on human tonsil.
The section was incubated with ab317701 for 30 mins at room temperature.
The immunostaining was performed on a Leica Biosystems BOND® RX instrument

Counterstained with Hematoxylin.

Secondary antibody only control : Secondary antibody is a ready to use LeicaDS9800 (Bond™ Polymer Refine Detection).

Heat mediated antigen retrieval was performed with Tris-EDTA buffer (pH 9.0, Epitope Retrieval Solution2) for 20 mins

Immunohistochemistry (Formalin/PFA-fixed paraffin-embedded sections) - Anti-TOR1AIP1 antibody [EPR29003-34] - BSA and Azide free (AB317702)
  • IHC-P

Supplier Data

Immunohistochemistry (Formalin/PFA-fixed paraffin-embedded sections) - Anti-TOR1AIP1 antibody [EPR29003-34] - BSA and Azide free (AB317702)

This data was developed using ab317701, the same antibody clone in a different buffer formulation.

Immunohistochemical analysis of paraffin-embedded Human testis tissue labeling TOR1AIP1 with ab317701 at 1/2000 (0.249 ug/ml) dilution, followed by a ready to use LeicaDS9800 (Bond™ Polymer Refine Detection).

Nucleus envelope staining on human testis (PMID : 28387711).
The section was incubated with ab317701 for 30 mins at room temperature.
The immunostaining was performed on a Leica Biosystems BOND® RX instrument

Counterstained with Hematoxylin.

Secondary antibody only control : Secondary antibody is a ready to use LeicaDS9800 (Bond™ Polymer Refine Detection).

Heat mediated antigen retrieval was performed with Tris-EDTA buffer (pH 9.0, Epitope Retrieval Solution2) for 20 mins

Immunocytochemistry/ Immunofluorescence - Anti-TOR1AIP1 antibody [EPR29003-34] - BSA and Azide free (AB317702)
  • ICC/IF

Supplier Data

Immunocytochemistry/ Immunofluorescence - Anti-TOR1AIP1 antibody [EPR29003-34] - BSA and Azide free (AB317702)

This data was developed using ab317701, the same antibody clone in a different buffer formulation.

Immunofluorescent analysis of 4% Paraformaldehyde-fixed, 0.1% TritonX-100 permeabilized SH-SY5Y (human neuroblastoma epithelial cell) cells labelling TOR1AIP1 with ab317701 at 1/500 (0.994 ug/ml) dilution, followed by ab150081 Goat Anti-Rabbit IgG H&L (Alexa Fluor® 488) preadsorbed antibody at 1/1000 2 ug/ml dilution (Green).

Confocal image showing nuclear envelope staining in SH-SY5Y cell line (shown in green). The counterstain was observed in magenta. Nuclear DNA was labeled with DAPI (shown in blue). Image was taken with a confocal microscope (Leica-Microsystems, TCS SP8).

ab195889 Anti-alpha Tubulin mouse monoclonal antibody - Microtubule Marker (Alexa Fluor® 594) was used to counterstain tubulin at 1/200 2.5ug/ml dilution (Magenta). The Nuclear counterstain was DAPI (Blue).

Secondary antibody only control : Secondary antibody is ab150081 Goat Anti-Rabbit IgG H&L (Alexa Fluor® 488) preadsorbed at 1/1000 2 ug/ml dilution.

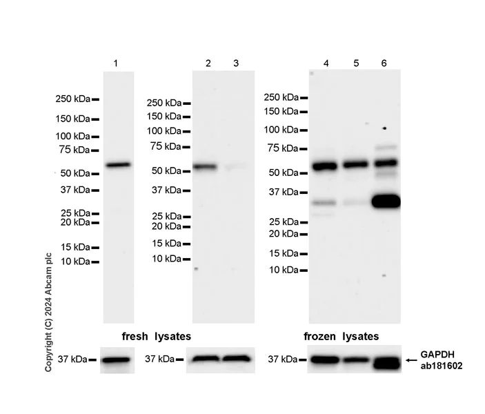
Western blot - Anti-TOR1AIP1 antibody [EPR29003-34] - BSA and Azide free (AB317702)
  • WB

Supplier Data

Western blot - Anti-TOR1AIP1 antibody [EPR29003-34] - BSA and Azide free (AB317702)

This data was developed using ab317701, the same antibody clone in a different buffer formulation.

Lanes 1-3 were freshly made and used for Western Blotting immediately to minimize protein degradation.

Lanes 1-3 are applied with Goat Anti-Rabbit IgG, (H+L), Peroxidase conjugated (ab97051) at 1/100000 and lanes 4-5 are applied with Goat Anti-Rabbit IgG (HRP) with minimal cross-reactivity with human IgG (Merck DC03L) at 1/5000.

The identity of the band at ~30KDa is unknown.

In Western blot, Anti-GAPDH antibody [EPR16891] - Loading Control (ab181602) staining at 1/200000 dilution.

All lanes:

Western blot - Anti-TOR1AIP1 antibody [EPR29003-34] (<a href='/en-us/products/primary-antibodies/tor1aip1-antibody-epr29003-34-ab317701'>ab317701</a>) at 1/1000 dilution

Lane 1:

SH-SY5Y (human neuroblastoma epithelial cell) whole cell lysate at 20 µg with NFDM/TBST

Lane 2:

HeLa (human cervical adenocarcinoma epithelial cell) transfected with scrambled siRNA control whole cell lysate at 20 µg with NFDM/TBST

Lane 3:

HeLa transfected with siRNA specifically targeti TOR1AIP1 whole cell lysate at 20 µg with NFDM/TBST

Lane 4:

HeLa whole cell lysate at 20 µg with NFDM/TBST

Lane 5:

293T (human embryonic kidney epithelial cell) whole cell lysate at 20 µg with NFDM/TBST

Lane 6:

SK-MEL-28 (human malignant melanoma cell) whole cell lysate at 20 µg with NFDM/TBST

Secondary

Lanes 1 - 3:

Western blot - Goat Anti-Rabbit IgG H&L (HRP) (<a href='/en-us/products/secondary-antibodies/goat-rabbit-igg-h-l-hrp-ab97051'>ab97051</a>) at 1/100000 dilution

Lanes 4 - 5:

Goat Anti-Rabbit IgG (HRP) with minimal cross-reactivity with human IgG (Merck DC03L) at 1/5000 dilution

Observed band size: 66 kDa,36 kDa

false

Exposure time: 48s

Dot Blot - Anti-TOR1AIP1 antibody [EPR29003-34] - BSA and Azide free (AB317702)
  • Dot

Supplier Data

Dot Blot - Anti-TOR1AIP1 antibody [EPR29003-34] - BSA and Azide free (AB317702)

This data was developed using ab317701, the same antibody clone in a different buffer formulation.

Dot blot analysis of TOR1AIP1 using ab317701 at 1 : 1000 (0.497 ug/ml) followed by a Goat Anti-Rabbit IgG, (H+L), Peroxidase conjugated (ab97051) at 1 : 100,000 dilution.

Blocking and diluting buffer and concentration : 5% NFDM/TBST.

This antibody does not cross-react with human TOR1AIP2.

All lanes:

Dot Blot - Anti-TOR1AIP1 antibody [EPR29003-34] (<a href='/en-us/products/primary-antibodies/tor1aip1-antibody-epr29003-34-ab317701'>ab317701</a>) at 1/1000 dilution

Lane 1:

His-tagged human TOR1AIP1 fragment

Lane 2:

His-tagged human TOR1AIP2 fragment

Secondary

All lanes:

Dot Blot - Goat Anti-Rabbit IgG H&L (HRP) (<a href='/en-us/products/secondary-antibodies/goat-rabbit-igg-h-l-hrp-ab97051'>ab97051</a>) at 1/100000 dilution

false

Exposure time: 180s

Key facts

Host species

Rabbit

Clonality

Monoclonal

Clone number

EPR29003-34

Isotype

IgG

Carrier free

Yes

Reacts with

Human

Applications

WB, Dot, IHC-P, Flow Cyt (Intra), ICC/IF

applications

Immunogen

The exact immunogen used to generate this antibody is proprietary information.

Specificity

The immunogen has been designed to the carboxyl terminus of LAP1. The region shares 100% sequence identity with LAP1B (long) and LAP1C (short) isoforms. In western blot, we were unable to detect the long isoform LAP1B (~85KDa) in the cell lines tested. We welcome any feedback from customers who have used this antibody in western blot.

Reactivity data

{ "title": "Reactivity Data", "filters": { "stats": ["", "Species", "Dilution Info", "Notes"], "tabs": { "all-applications": {"fullname" : "All Applications", "shortname": "All Applications"}, "Dot" : {"fullname" : "Dot Blot", "shortname":"Dot"}, "FlowCytIntra" : {"fullname" : "Flow Cytometry (Intracellular)", "shortname":"Flow Cyt (Intra)"}, "ICCIF" : {"fullname" : "Immunocytochemistry/ Immunofluorescence", "shortname":"ICC/IF"}, "IHCP" : {"fullname" : "Immunohistochemistry (Formalin/PFA-fixed paraffin-embedded sections)", "shortname":"IHC-P"}, "WB" : {"fullname" : "Western blot", "shortname":"WB"}, "IP" : {"fullname" : "Immunoprecipitation", "shortname":"IP"} }, "product-promise": { "all": "all", "testedAndGuaranteed": "tested", "guaranteed": "expected", "predicted": "predicted", "notRecommended": "not-recommended" } }, "values": { "Human": { "Dot-species-checked": "guaranteed", "Dot-species-dilution-info": "", "Dot-species-notes": "", "FlowCytIntra-species-checked": "testedAndGuaranteed", "FlowCytIntra-species-dilution-info": "", "FlowCytIntra-species-notes": "<p></p>", "ICCIF-species-checked": "testedAndGuaranteed", "ICCIF-species-dilution-info": "", "ICCIF-species-notes": "<p></p>", "IHCP-species-checked": "testedAndGuaranteed", "IHCP-species-dilution-info": "", "IHCP-species-notes": "<p></p>", "WB-species-checked": "testedAndGuaranteed", "WB-species-dilution-info": "", "WB-species-notes": "<p></p>", "IP-species-checked": "notRecommended", "IP-species-dilution-info": "", "IP-species-notes": "<p></p>" }, "Mouse": { "Dot-species-checked": "notRecommended", "Dot-species-dilution-info": "", "Dot-species-notes": "", "FlowCytIntra-species-checked": "notRecommended", "FlowCytIntra-species-dilution-info": "", "FlowCytIntra-species-notes": "", "ICCIF-species-checked": "notRecommended", "ICCIF-species-dilution-info": "", "ICCIF-species-notes": "", "IHCP-species-checked": "notRecommended", "IHCP-species-dilution-info": "", "IHCP-species-notes": "<p></p>", "WB-species-checked": "notRecommended", "WB-species-dilution-info": "", "WB-species-notes": "<p></p>", "IP-species-checked": "notRecommended", "IP-species-dilution-info": "", "IP-species-notes": "" }, "Rat": { "Dot-species-checked": "notRecommended", "Dot-species-dilution-info": "", "Dot-species-notes": "", "FlowCytIntra-species-checked": "notRecommended", "FlowCytIntra-species-dilution-info": "", "FlowCytIntra-species-notes": "", "ICCIF-species-checked": "notRecommended", "ICCIF-species-dilution-info": "", "ICCIF-species-notes": "", "IHCP-species-checked": "notRecommended", "IHCP-species-dilution-info": "", "IHCP-species-notes": "<p></p>", "WB-species-checked": "notRecommended", "WB-species-dilution-info": "", "WB-species-notes": "<p></p>", "IP-species-checked": "notRecommended", "IP-species-dilution-info": "", "IP-species-notes": "" }, "Recombinant fragment - Human": { "Dot-species-checked": "testedAndGuaranteed", "Dot-species-dilution-info": "", "Dot-species-notes": "<p></p>", "FlowCytIntra-species-checked": "notRecommended", "FlowCytIntra-species-dilution-info": "", "FlowCytIntra-species-notes": "", "ICCIF-species-checked": "notRecommended", "ICCIF-species-dilution-info": "", "ICCIF-species-notes": "", "IHCP-species-checked": "notRecommended", "IHCP-species-dilution-info": "", "IHCP-species-notes": "", "WB-species-checked": "notRecommended", "WB-species-dilution-info": "", "WB-species-notes": "", "IP-species-checked": "notRecommended", "IP-species-dilution-info": "", "IP-species-notes": "" } } }

Product details

ab317702 is the carrier-free version of ab317701.

Patented technology
Our RabMAb® technology is a patented hybridoma-based technology for making rabbit monoclonal antibodies. For details on our patents, please refer to RabMAb® patents.

What are the advantages of a recombinant monoclonal antibody?
This product is a recombinant monoclonal antibody, which offers several advantages including:

  • - High batch-to-batch consistency and reproducibility
  • - Improved sensitivity and specificity
  • - Long-term security of supply
  • - Animal-free batch production

For more information, read more on recombinant antibodies.

Conjugation ready
Our carrier-free antibodies are typically supplied in a PBS-only formulation, purified and free of BSA, sodium azide and glycerol. This conjugation-ready format is designed for use with fluorochromes, metal isotopes, oligonucleotides, and enzymes, which makes them ideal for antibody labelling, functional and cell-based assays, flow-based assays (e.g. mass cytometry) and Multiplex Imaging applications.

Use our conjugation kits for antibody conjugates that are ready-to-use in as little as 20 minutes with 1 minute hands-on-time and 100% antibody recovery: available for fluorescent dyes, HRP, biotin and gold.

Compatibility
This product is compatible with the Maxpar® Antibody Labeling Kit from Fluidigm, without the need for antibody preparation. Maxpar® is a trademark of Fluidigm Canada Inc.

Properties and storage information

Form
Liquid
Purification technique
Affinity purification Protein A
Storage buffer
pH: 7.2 - 7.4 Constituents: PBS
Shipped at conditions
Blue Ice
Appropriate short-term storage conditions
+4°C
Appropriate long-term storage conditions
+4°C

Supplementary information

This supplementary information is collated from multiple sources and compiled automatically.

TOR1AIP1 also known as lamina-associated polypeptide 1 (LAP1) is a mechanical protein involved in nuclear envelope structural integrity. This protein has an approximate mass of 75 kDa and is mainly found in the inner nuclear membrane. It interacts closely with components of the nuclear lamina particularly lamin A/C to contribute to the nuclear envelope architecture and maintain cellular functions.
Biological function summary

The protein known as LAP1 plays a role in modulating nuclear-cytoplasmic transport and chromatin dynamics. It is associated with the inner nuclear membrane complex and works in tandem with other nuclear lamins. This interaction is essential for processes like gene expression regulation and nuclear structure maintenance facilitating cellular response to mechanical stress.

Pathways

TOR1AIP1 participates in pathways involving nuclear envelope assembly and disassembly during cell division. It is integrated within the mitotic nuclear envelope reassembly pathway and interacts with proteins like emerin and torsinA. These proteins are essential for regulated nuclear envelope dynamics as well as maintaining proper chromatin organization during mitotic events.

Mutations in TOR1AIP1 have been linked to congenital muscular dystrophies and torsion dystonia. These conditions often arise from disrupted nuclear envelope integrity and abnormal cellular responses to mechanical stress. The close interaction with proteins such as emerin and torsinA underlines the connection between nuclear envelope dysfunction and the pathogenesis of these muscular and movement disorders.

Product protocols

For this product, it's our understanding that no specific protocols are required. You can visit:

Target data

Required for nuclear membrane integrity. Induces TOR1A and TOR1B ATPase activity and is required for their location on the nuclear membrane. Binds to A- and B-type lamins. Possible role in membrane attachment and assembly of the nuclear lamina.
See full target information TOR1AIP1

Product promise

We are committed to supporting your work with high-quality reagents, and we're here for you every step of the way. In the unlikely event that one of our products does not perform as expected, you're protected by our Product Promise.
For full details, please see our Terms & Conditions

Please note: All products are 'FOR RESEARCH USE ONLY. NOT FOR USE IN DIAGNOSTIC OR THERAPEUTIC PROCEDURES'.

For licensing inquiries, please contact partnerships@abcam.com