JavaScript is disabled in your browser. Please enable JavaScript to view this website.
AB2737

Anti-TOR1AIP1 antibody [RL13]

Be the first to review this product! Submit a review

|

(6 Publications)

Mouse Monoclonal TOR1AIP1 antibody. Suitable for IHC-P, ICC/IF and reacts with Rat, Mouse samples. Cited in 6 publications. Immunogen corresponding to Full Length Protein corresponding to Rat Lrrc7.

View Alternative Names

Torsin-1A-interacting protein 1, Lamina-associated polypeptide 1B, LAP1B, Tor1aip1

4 Images
Immunohistochemistry (Formalin/PFA-fixed paraffin-embedded sections) - Anti-TOR1AIP1 antibody [RL13] (AB2737)
  • IHC-P

Supplier Data

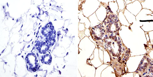
Immunohistochemistry (Formalin/PFA-fixed paraffin-embedded sections) - Anti-TOR1AIP1 antibody [RL13] (AB2737)

Immunohistochemical analysis (Formalin/PFA-fixed paraffin-embedded sections) rat breast tissue labeling TOR1AIP1. Antigen retreived was performed using 10mM sodium citrate followed by microwave treatment for 8-15 minutes. Endogenous peroxidases were blocked in 3% H202-methanol for 15 minutes and tissues were blocked in 3% BSA-PBS for 30 minutes at room temperature. Cells were incubated with ab2737 1/50 dilution overnight in a humidified chamber. Tissues were washed in PBST and detection was performed using a secondary antibody conjugated to HRP. DAB staining buffer was applied and tissues were counterstained with hematoxylin and prepped for mounting. Images were taken at 40X magnification.

Immunocytochemistry/ Immunofluorescence - Anti-TOR1AIP1 antibody [RL13] (AB2737)
  • ICC/IF

Supplier Data

Immunocytochemistry/ Immunofluorescence - Anti-TOR1AIP1 antibody [RL13] (AB2737)

Immunocytochemical analysis of NS-1 (Mouse myeloma cell line) cells labeling TOR1AIP1 with ab2737 at 1/100 dilution.

Immunohistochemistry (Formalin/PFA-fixed paraffin-embedded sections) - Anti-TOR1AIP1 antibody [RL13] (AB2737)
  • IHC-P

Supplier Data

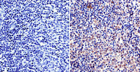
Immunohistochemistry (Formalin/PFA-fixed paraffin-embedded sections) - Anti-TOR1AIP1 antibody [RL13] (AB2737)

Immunohistochemical analysis (Formalin/PFA-fixed paraffin-embedded sections) of rat lymph node tissue labeling TOR1AIP1. Antigen retreived was performed using 10mM sodium citrate followed by microwave treatment for 8-15 minutes. Endogenous peroxidases were blocked in 3% H202-methanol for 15 minutes and tissues were blocked in 3% BSA-PBS for 30 minutes at room temperature. Cells were incubated with ab2737 at 1/50 dilution overnight in a humidified chamber. Tissues were washed in PBST and detection was performed using a secondary antibody conjugated to HRP. DAB staining buffer was applied and tissues were counterstained with hematoxylin and prepped for mounting. Images were taken at 40X magnification.

Immunohistochemistry (Formalin/PFA-fixed paraffin-embedded sections) - Anti-TOR1AIP1 antibody [RL13] (AB2737)
  • IHC-P

Supplier Data

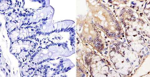
Immunohistochemistry (Formalin/PFA-fixed paraffin-embedded sections) - Anti-TOR1AIP1 antibody [RL13] (AB2737)

Immunohistochemical analysis of (Formalin/PFA-fixed paraffin-embedded sections) rat colon tissue labeling TOR1AIP1. Antigen retreived was performed using 10mM sodium citrate followed by microwave treatment for 8-15 minutes. Endogenous peroxidases were blocked in 3% H202-methanol for 15 minutes and tissues were blocked in 3% BSA-PBS for 30 minutes at room temperature. Cells were incubated with ab2737 at 1/50 dilution overnight in a humidified chamber. Tissues were washed in PBST and detection was performed using a secondary antibody conjugated to HRP. DAB staining buffer was applied and tissues were counterstained with hematoxylin and prepped for mounting. Images were taken at 40X magnification.

Key facts

Host species

Mouse

Clonality

Monoclonal

Clone number

RL13

Isotype

IgG1

Carrier free

No

Reacts with

Mouse, Rat

Applications

IHC-P, ICC/IF

applications

Immunogen

Full Length Protein corresponding to Rat Lrrc7. The exact immunogen used to generate this antibody is proprietary information.

P70587

Reactivity data

{ "title": "Reactivity Data", "filters": { "stats": ["", "Species", "Dilution Info", "Notes"], "tabs": { "all-applications": {"fullname" : "All Applications", "shortname": "All Applications"}, "IHCP" : {"fullname" : "Immunohistochemistry (Formalin/PFA-fixed paraffin-embedded sections)", "shortname":"IHC-P"}, "ICCIF" : {"fullname" : "Immunocytochemistry/ Immunofluorescence", "shortname":"ICC/IF"} }, "product-promise": { "all": "all", "testedAndGuaranteed": "tested", "guaranteed": "expected", "predicted": "predicted", "notRecommended": "not-recommended" } }, "values": { "Mouse": { "IHCP-species-checked": "guaranteed", "IHCP-species-dilution-info": "", "IHCP-species-notes": "", "ICCIF-species-checked": "testedAndGuaranteed", "ICCIF-species-dilution-info": "1/100", "ICCIF-species-notes": "<p></p>" }, "Rat": { "IHCP-species-checked": "testedAndGuaranteed", "IHCP-species-dilution-info": "1/20 - 1/50", "IHCP-species-notes": "<p></p>", "ICCIF-species-checked": "guaranteed", "ICCIF-species-dilution-info": "", "ICCIF-species-notes": "" } } }

Properties and storage information

Form
Liquid
Purity
IgG fraction
Storage buffer
Preservative: 0.05% Sodium azide Constituents: PBS
Shipped at conditions
Blue Ice
Appropriate short-term storage duration
1-2 weeks
Appropriate short-term storage conditions
+4°C
Appropriate long-term storage conditions
-20°C
Aliquoting information
Upon delivery aliquot
Storage information
Avoid freeze / thaw cycle

Supplementary information

This supplementary information is collated from multiple sources and compiled automatically.

TOR1AIP1 also known as lamina-associated polypeptide 1 (LAP1) is a mechanical protein involved in nuclear envelope structural integrity. This protein has an approximate mass of 75 kDa and is mainly found in the inner nuclear membrane. It interacts closely with components of the nuclear lamina particularly lamin A/C to contribute to the nuclear envelope architecture and maintain cellular functions.
Biological function summary

The protein known as LAP1 plays a role in modulating nuclear-cytoplasmic transport and chromatin dynamics. It is associated with the inner nuclear membrane complex and works in tandem with other nuclear lamins. This interaction is essential for processes like gene expression regulation and nuclear structure maintenance facilitating cellular response to mechanical stress.

Pathways

TOR1AIP1 participates in pathways involving nuclear envelope assembly and disassembly during cell division. It is integrated within the mitotic nuclear envelope reassembly pathway and interacts with proteins like emerin and torsinA. These proteins are essential for regulated nuclear envelope dynamics as well as maintaining proper chromatin organization during mitotic events.

Mutations in TOR1AIP1 have been linked to congenital muscular dystrophies and torsion dystonia. These conditions often arise from disrupted nuclear envelope integrity and abnormal cellular responses to mechanical stress. The close interaction with proteins such as emerin and torsinA underlines the connection between nuclear envelope dysfunction and the pathogenesis of these muscular and movement disorders.

Product protocols

For this product, it's our understanding that no specific protocols are required. You can visit:

Target data

Required for nuclear membrane integrity. Induces TOR1A and TOR1B ATPase activity and is required for their location on the nuclear membrane. Binds to A- and B-type lamins. Possible role in membrane attachment and assembly of the nuclear lamina.
See full target information Tor1aip1

Publications (6)

Recent publications for all applications. Explore the full list and refine your search

The Journal of biological chemistry 282:1964-72 PubMed17121832

2006

Distinctive T cell-suppressive signals from nuclearized type 1 sphingosine 1-phosphate G protein-coupled receptors.

Applications

WB

Species

Unspecified reactive species

Jia-Jun Liao,Mei-Chuan Huang,Markus Graler,Yong Huang,Hong Qiu,Edward J Goetzl

The Journal of cell biology 139:1077-87 PubMed9382857

1998

Lamin-binding fragment of LAP2 inhibits increase in nuclear volume during the cell cycle and progression into S phase.

Applications

Unspecified application

Species

Unspecified reactive species

L Yang,T Guan,L Gerace

Molecular biology of the cell 6:1591-603 PubMed8589458

1995

Structural analysis of the p62 complex, an assembly of O-linked glycoproteins that localizes near the central gated channel of the nuclear pore complex.

Applications

Unspecified application

Species

Unspecified reactive species

T Guan,S Müller,G Klier,N Panté,J M Blevitt,M Haner,B Paschal,U Aebi,L Gerace

The Journal of biological chemistry 270:8822-8 PubMed7721789

1995

cDNA cloning and characterization of lamina-associated polypeptide 1C (LAP1C), an integral protein of the inner nuclear membrane.

Applications

Unspecified application

Species

Unspecified reactive species

L Martin,C Crimaudo,L Gerace

Cell 73:1267-79 PubMed8324822

1993

Integral membrane proteins of the nuclear envelope interact with lamins and chromosomes, and binding is modulated by mitotic phosphorylation.

Applications

Unspecified application

Species

Unspecified reactive species

R Foisner,L Gerace

The Journal of cell biology 107:2029-36 PubMed3058715

1988

Integral membrane proteins specific to the inner nuclear membrane and associated with the nuclear lamina.

Applications

Unspecified application

Species

Unspecified reactive species

A Senior,L Gerace
View all publications

Product promise

We are committed to supporting your work with high-quality reagents, and we're here for you every step of the way. In the unlikely event that one of our products does not perform as expected, you're protected by our Product Promise.
For full details, please see our Terms & Conditions

Please note: All products are 'FOR RESEARCH USE ONLY. NOT FOR USE IN DIAGNOSTIC OR THERAPEUTIC PROCEDURES'.

For licensing inquiries, please contact partnerships@abcam.com