JavaScript is disabled in your browser. Please enable JavaScript to view this website.
AB264144

Anti-TORC1 antibody

Be the first to review this product! Submit a review

|

(1 Publication)

Rabbit Polyclonal TORC1 antibody. Suitable for IHC-P, IP, WB and reacts with Human, Mouse samples. Cited in 1 publication. Immunogen corresponding to Synthetic Peptide within Human CRTC1 aa 600 to C-terminus.

View Alternative Names

KIAA0616, MECT1, TORC1, WAMTP1, CRTC1, CREB-regulated transcription coactivator 1, Mucoepidermoid carcinoma translocated protein 1, Transducer of regulated cAMP response element-binding protein 1, TORC-1, Transducer of CREB protein 1

4 Images
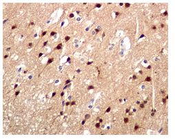
Immunohistochemistry (Formalin/PFA-fixed paraffin-embedded sections) - Anti-TORC1 antibody (AB264144)
  • IHC-P

Unknown

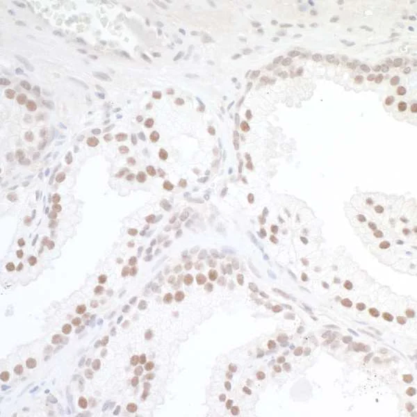
Immunohistochemistry (Formalin/PFA-fixed paraffin-embedded sections) - Anti-TORC1 antibody (AB264144)

Immunohistochemical analysis of formalin-fixed, paraffin-embedded human prostate carcinoma tissue labeling TORC1 with ab264144 at 1/200 dilution. Detection : DAB.

Immunoprecipitation - Anti-TORC1 antibody (AB264144)
  • IP

Supplier Data

Immunoprecipitation - Anti-TORC1 antibody (AB264144)

TORC1 was immunoprecipitated from 1mg of HeLa (Human epithelial cell line from cervix adenocarcinoma) whole cell lysate with ab264144 at 3 μg per reaction. Western blot was performed from the immunoprecipitate using ab264144 at 1 μg/ml.

Lane 1 : ab264144 IP in HeLa whole cell lysate.
Lane 2 : Control IgG.

Exposure time : 3 min.

All lanes:

Immunoprecipitation - Anti-TORC1 antibody (ab264144)

Predicted band size: 67 kDa

false

Western blot - Anti-TORC1 antibody (AB264144)
  • WB

Supplier Data

Western blot - Anti-TORC1 antibody (AB264144)

4-8% SDS-PAGE.

Cells prepared using NETN lysis buffer.

All lanes:

Western blot - Anti-TORC1 antibody (ab264144) at 0.1 µg/mL

Lane 1:

HeLa (Human epithelial cell line from cervix adenocarcinoma) whole cell lysate at 50 µg

Lane 2:

HEK-293T (Human epithelial cell line from embryonic kidney transformed with large T antigen) whole cell lysate at 50 µg

Predicted band size: 67 kDa

false

Exposure time: 30s

Western blot - Anti-TORC1 antibody (AB264144)
  • WB

Supplier Data

Western blot - Anti-TORC1 antibody (AB264144)

4-8% SDS-PAGE.

Cells prepared using NETN lysis buffer.

All lanes:

Western blot - Anti-TORC1 antibody (ab264144) at 0.1 µg/mL

Lane 1:

TCMK (Mouse kidney epithelial cell line) whole cell lysate at 50 µg

Lane 2:

NIH/3T3 (Mouse embryo fibroblast cell line) whole cell lysate at 50 µg

Predicted band size: 67 kDa

false

Exposure time: 3min

Key facts

Host species

Rabbit

Clonality

Polyclonal

Isotype

IgG

Carrier free

No

Reacts with

Human, Mouse

Applications

IP, IHC-P, WB

applications

Immunogen

Synthetic Peptide within Human CRTC1 aa 600 to C-terminus. The exact immunogen used to generate this antibody is proprietary information.

Q6UUV9

Reactivity data

{ "title": "Reactivity Data", "filters": { "stats": ["", "Species", "Dilution Info", "Notes"], "tabs": { "all-applications": {"fullname" : "All Applications", "shortname": "All Applications"}, "IHCP" : {"fullname" : "Immunohistochemistry (Formalin/PFA-fixed paraffin-embedded sections)", "shortname":"IHC-P"}, "IP" : {"fullname" : "Immunoprecipitation", "shortname":"IP"}, "WB" : {"fullname" : "Western blot", "shortname":"WB"} }, "product-promise": { "all": "all", "testedAndGuaranteed": "tested", "guaranteed": "expected", "predicted": "predicted", "notRecommended": "not-recommended" } }, "values": { "Human": { "IHCP-species-checked": "testedAndGuaranteed", "IHCP-species-dilution-info": "1/100 - 1/500", "IHCP-species-notes": "<p></p> Perform heat-mediated antigen retrieval with citrate buffer pH 6 before commencing with IHC staining protocol.", "IP-species-checked": "testedAndGuaranteed", "IP-species-dilution-info": "2-5 µg/mg of lysate", "IP-species-notes": "<p></p>", "WB-species-checked": "testedAndGuaranteed", "WB-species-dilution-info": "1/2000 - 1/10000", "WB-species-notes": "<p></p>" }, "Mouse": { "IHCP-species-checked": "guaranteed", "IHCP-species-dilution-info": "", "IHCP-species-notes": "", "IP-species-checked": "guaranteed", "IP-species-dilution-info": "", "IP-species-notes": "", "WB-species-checked": "testedAndGuaranteed", "WB-species-dilution-info": "1/2000 - 1/10000", "WB-species-notes": "<p></p>" }, "Rat": { "IHCP-species-checked": "predicted", "IHCP-species-dilution-info": "", "IHCP-species-notes": "", "IP-species-checked": "predicted", "IP-species-dilution-info": "", "IP-species-notes": "", "WB-species-checked": "predicted", "WB-species-dilution-info": "", "WB-species-notes": "" } } }

Properties and storage information

Form
Liquid
Purification technique
Affinity purification Immunogen
Storage buffer
pH: 6.8 - 7.4 Preservative: 0.09% Sodium azide Constituents: Tris buffered saline, 0.1% BSA
Shipped at conditions
Blue Ice
Appropriate short-term storage duration
1-2 weeks
Appropriate short-term storage conditions
+4°C
Appropriate long-term storage conditions
+4°C
Aliquoting information
Upon delivery aliquot
Storage information
Avoid freeze / thaw cycle

Supplementary information

This supplementary information is collated from multiple sources and compiled automatically.

TORC1 also known as Target of Rapamycin Complex 1 is a protein complex that regulates cell growth and metabolism in response to nutrients and growth factors. This complex contains proteins such as mTOR Raptor and mLST8. The mass of mTOR the catalytic subunit is approximately 289 kDa. TORC1 is mostly expressed in tissues with high metabolic activity including the liver muscle and adipose tissue. It functions as a serine/threonine kinase playing a significant role in protein synthesis autophagy and energy metabolism.
Biological function summary

TORC1 holds a central role in cellular responses to nutrients and energy status. It is a part of the larger mechanistic target of rapamycin (mTOR) signaling pathway. This pathway influences essential cellular processes such as growth proliferation and survival. TORC1 activity increases in the presence of nutrients such as amino acids and is necessary for ribosomal biogenesis and translation initiation. It also acts as an important regulator of autophagy where its inhibition promotes autophagic degradation of cellular components balancing energy and resource availability.

Pathways

TORC1 integrates signals from related pathways such as PI3K-AKT and AMPK. These pathways facilitate the balance between anabolic and catabolic processes. The PI3K-AKT pathway stimulates TORC1 activity promoting cell growth and proliferation while the AMPK pathway inhibits TORC1 during low energy states conserving cellular resources. Proteins like TSC1/TSC2 complex and Rheb interact with TORC1 modulating its kinase activity based on cellular and environmental conditions.

TORC1 dysregulation links to conditions like cancer and type 2 diabetes. Overactivation of TORC1 contributes to unchecked cell proliferation in various cancers. Agents that inhibit TORC1 activity such as rapamycin show potential in cancer treatment to curb tumor growth. In type 2 diabetes TORC1 is connected through insulin signaling pathways as excess TORC1 activity may lead to insulin resistance. Proteins like IRS-1 which interacts with TORC1 play a role in these metabolic and proliferative disorders.

Product protocols

For this product, it's our understanding that no specific protocols are required. You can visit:

Target data

Transcriptional coactivator for CREB1 which activates transcription through both consensus and variant cAMP response element (CRE) sites. Acts as a coactivator, in the SIK/TORC signaling pathway, being active when dephosphorylated and acts independently of CREB1 'Ser-133' phosphorylation. Enhances the interaction of CREB1 with TAF4. Regulates the expression of specific CREB-activated genes such as the steroidogenic gene, StAR. Potent coactivator of PGC1alpha and inducer of mitochondrial biogenesis in muscle cells. In the hippocampus, involved in late-phase long-term potentiation (L-LTP) maintenance at the Schaffer collateral-CA1 synapses. May be required for dendritic growth of developing cortical neurons (By similarity). In concert with SIK1, regulates the light-induced entrainment of the circadian clock. In response to light stimulus, coactivates the CREB-mediated transcription of PER1 which plays an important role in the photic entrainment of the circadian clock.. (Microbial infection) Plays a role of coactivator for TAX activation of the human T-cell leukemia virus type 1 (HTLV-1) long terminal repeats (LTR).
See full target information CRTC1

Publications (1)

Recent publications for all applications. Explore the full list and refine your search

Scientific reports 11:21766 PubMed34741086

2021

PER2 mediates CREB-dependent light induction of the clock gene Per1.

Applications

Unspecified application

Species

Unspecified reactive species

Andrea Brenna,Jürgen A Ripperger,Gabriella Saro,Dominique A Glauser,Zhihong Yang,Urs Albrecht
View all publications

Product promise

We are committed to supporting your work with high-quality reagents, and we're here for you every step of the way. In the unlikely event that one of our products does not perform as expected, you're protected by our Product Promise.
For full details, please see our Terms & Conditions

Please note: All products are 'FOR RESEARCH USE ONLY. NOT FOR USE IN DIAGNOSTIC OR THERAPEUTIC PROCEDURES'.

For licensing inquiries, please contact partnerships@abcam.com