JavaScript is disabled in your browser. Please enable JavaScript to view this website.
AB232244

Anti-TORC2 antibody [EPR3384(2)] - BSA and Azide free

Be the first to review this product! Submit a review

|

(1 Publication)

Rabbit Recombinant Monoclonal TORC2 antibody. Carrier free. Suitable for IHC-P, WB and reacts with Human samples. Cited in 1 publication.

View Alternative Names

TORC2, CRTC2, CREB-regulated transcription coactivator 2, Transducer of regulated cAMP response element-binding protein 2, TORC-2, Transducer of CREB protein 2

1 Images
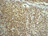
Immunohistochemistry (Formalin/PFA-fixed paraffin-embedded sections) - Anti-TORC2 antibody [EPR3384(2)] - BSA and Azide free (AB232244)
  • IHC-P

Supplier Data

Immunohistochemistry (Formalin/PFA-fixed paraffin-embedded sections) - Anti-TORC2 antibody [EPR3384(2)] - BSA and Azide free (AB232244)

ab109081 at 1/100 dilution staining Torc2 in Human tonsil by Immunohistochemistry, Paraffin-embedded tissue.

This data was developed using the same antibody clone in a different buffer formulation containing PBS, BSA, glycerol, and sodium azide (ab109081).

Perform heat mediated antigen retrieval with citrate buffer pH 6 before commencing with IHC staining protocol.

Key facts

Host species

Rabbit

Clonality

Monoclonal

Clone number

EPR3384(2)

Isotype

IgG

Carrier free

Yes

Reacts with

Human

Applications

WB, IHC-P

applications

Immunogen

The exact immunogen used to generate this antibody is proprietary information.

Reactivity data

{ "title": "Reactivity Data", "filters": { "stats": ["", "Species", "Dilution Info", "Notes"], "tabs": { "all-applications": {"fullname" : "All Applications", "shortname": "All Applications"}, "IHCP" : {"fullname" : "Immunohistochemistry (Formalin/PFA-fixed paraffin-embedded sections)", "shortname":"IHC-P"}, "WB" : {"fullname" : "Western blot", "shortname":"WB"} }, "product-promise": { "all": "all", "testedAndGuaranteed": "tested", "guaranteed": "expected", "predicted": "predicted", "notRecommended": "not-recommended" } }, "values": { "Human": { "IHCP-species-checked": "testedAndGuaranteed", "IHCP-species-dilution-info": "", "IHCP-species-notes": "<p>Antigen retrieval is recommended.</p>", "WB-species-checked": "guaranteed", "WB-species-dilution-info": "", "WB-species-notes": "<p></p>" } } }

Product details

ab232244 is the carrier-free version of ab109081.

Patented technology
Our RabMAb® technology is a patented hybridoma-based technology for making rabbit monoclonal antibodies. For details on our patents, please refer to RabMAb® patents.

What are the advantages of a recombinant monoclonal antibody?
This product is a recombinant monoclonal antibody, which offers several advantages including:

  • - High batch-to-batch consistency and reproducibility
  • - Improved sensitivity and specificity
  • - Long-term security of supply
  • - Animal-free batch production

For more information, read more on recombinant antibodies.

Conjugation ready
Our carrier-free antibodies are typically supplied in a PBS-only formulation, purified and free of BSA, sodium azide and glycerol. This conjugation-ready format is designed for use with fluorochromes, metal isotopes, oligonucleotides, and enzymes, which makes them ideal for antibody labelling, functional and cell-based assays, flow-based assays (e.g. mass cytometry) and Multiplex Imaging applications.

Use our conjugation kits for antibody conjugates that are ready-to-use in as little as 20 minutes with 1 minute hands-on-time and 100% antibody recovery: available for fluorescent dyes, HRP, biotin and gold.

Compatibility
This product is compatible with the Maxpar® Antibody Labeling Kit from Fluidigm, without the need for antibody preparation. Maxpar® is a trademark of Fluidigm Canada Inc.

Properties and storage information

Form
Liquid
Purification technique
Affinity purification Protein A
Storage buffer
pH: 7.2 - 7.4 Constituents: PBS
Shipped at conditions
Blue Ice
Appropriate short-term storage conditions
+4°C
Appropriate long-term storage conditions
+4°C
Storage information
Do Not Freeze

Supplementary information

This supplementary information is collated from multiple sources and compiled automatically.

TORC2 also known as Target of Rapamycin Complex 2 is a multi-protein complex involved in regulating cell growth and survival. It consists of several subunits including mTOR RICTOR and mLST8 and has a molecular mass of 1-1.5 MDa. TORC2 acts as a serine/threonine kinase primarily phosphorylating Akt (Protein Kinase B) and other AGC family kinases. This complex is expressed in various tissues including liver muscle and brain where it influences multiple cellular functions.
Biological function summary

The actions of TORC2 play important roles in the regulation of lipid metabolism cytoskeletal organization and stress response. This complex contributes to cell survival and proliferation by phosphorylating specific substrates that control these processes. TORC2 specifically phosphorylates the hydrophobic motif on actor proteins like Akt which is necessary for their full activation. This activity establishes TORC2 as an important regulator within numerous cellular systems that contribute to maintaining cellular integrity and homeostasis.

Pathways

The activities of TORC2 are integral to the PI3K/Akt signaling and insulin signaling pathways. Within these pathways TORC2's phosphorylation of Akt impacts glucose metabolism protein synthesis and cell survival. It operates in parallel with TORC1 (Target of Rapamycin Complex 1) yet TORC2 responds to distinct extracellular cues highlighting its unique role. Key proteins associated with TORC2 in these pathways include PI3K upstream and Akt downstream which are essential for transmitting signals that affect cell growth and metabolic regulation.

Disruptions in TORC2 function have been associated with cancer and diabetes. The aberrant activation of TORC2 leads to unchecked cell growth and survival contributing to tumor progression in various cancer types. Additionally alterations in TORC2 activity can affect insulin signaling linking it to insulin resistance and type 2 diabetes. Proteins such as mTOR and Akt are central to these diseases with TORC2 playing a pivotal regulatory role in their pathways.

Product protocols

For this product, it's our understanding that no specific protocols are required. You can visit:

Target data

Transcriptional coactivator for CREB1 which activates transcription through both consensus and variant cAMP response element (CRE) sites. Acts as a coactivator, in the SIK/TORC signaling pathway, being active when dephosphorylated and acts independently of CREB1 'Ser-133' phosphorylation. Enhances the interaction of CREB1 with TAF4. Regulates gluconeogenesis as a component of the LKB1/AMPK/TORC2 signaling pathway. Regulates the expression of specific genes such as the steroidogenic gene, StAR. Potent coactivator of PPARGC1A and inducer of mitochondrial biogenesis in muscle cells. Also coactivator for TAX activation of the human T-cell leukemia virus type 1 (HTLV-1) long terminal repeats (LTR).
See full target information CRTC2

Publications (1)

Recent publications for all applications. Explore the full list and refine your search

Translational lung cancer research 10:2523-2538 PubMed34295659

2021

One carbon metabolism in human lung cancer.

Applications

Unspecified application

Species

Unspecified reactive species

Sha Yao,Luogen Peng,Omar Elakad,Stefan Küffer,Marc Hinterthaner,Bernhard C Danner,Alexander von Hammerstein-Equord,Philipp Ströbel,Hanibal Bohnenberger
View all publications

Product promise

We are committed to supporting your work with high-quality reagents, and we're here for you every step of the way. In the unlikely event that one of our products does not perform as expected, you're protected by our Product Promise.
For full details, please see our Terms & Conditions

Please note: All products are 'FOR RESEARCH USE ONLY. NOT FOR USE IN DIAGNOSTIC OR THERAPEUTIC PROCEDURES'.

For licensing inquiries, please contact partnerships@abcam.com