JavaScript is disabled in your browser. Please enable JavaScript to view this website.
AB168968

Anti-TOSO antibody

Be the first to review this product! Submit a review

|

(1 Publication)

Mouse Polyclonal TOSO antibody. Suitable for WB, IHC-P and reacts with Human samples. Cited in 1 publication. Immunogen corresponding to Recombinant Full Length Protein corresponding to Human FCMR.

View Alternative Names

FAIM3, TOSO, FCMR, Immunoglobulin mu Fc receptor, IgM FcR, Fas apoptotic inhibitory molecule 3, Regulator of Fas-induced apoptosis Toso

2 Images
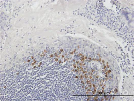
Immunohistochemistry (Formalin/PFA-fixed paraffin-embedded sections) - Anti-TOSO antibody (AB168968)
  • IHC-P

Unknown

Immunohistochemistry (Formalin/PFA-fixed paraffin-embedded sections) - Anti-TOSO antibody (AB168968)

Immunohistochemical analysis of formalin-fixed, paraffin-embedded Human tonsil tissue labeling TOSO with ab168968 at 3 μg/ml.

Western blot - Anti-TOSO antibody (AB168968)
  • WB

Unknown

Western blot - Anti-TOSO antibody (AB168968)

All lanes:

Western blot - Anti-TOSO antibody (ab168968) at 1 µg/mL

Lane 1:

TOSO transfected 293T cell lysate at 15 µL

Lane 2:

Non-transfected 293T cell lysate at 15 µL

Secondary

All lanes:

Goat Anti-Mouse IgG (H&L)-HRP at 1/2500 dilution

Predicted band size: 43 kDa

false

Key facts

Host species

Mouse

Clonality

Polyclonal

Isotype

IgG

Carrier free

No

Reacts with

Human

Applications

IHC-P, WB

applications

Immunogen

Recombinant Full Length Protein corresponding to Human FCMR.

O60667

Reactivity data

{ "title": "Reactivity Data", "filters": { "stats": ["", "Species", "Dilution Info", "Notes"], "tabs": { "all-applications": {"fullname" : "All Applications", "shortname": "All Applications"}, "WB" : {"fullname" : "Western blot", "shortname":"WB"}, "IHCP" : {"fullname" : "Immunohistochemistry (Formalin/PFA-fixed paraffin-embedded sections)", "shortname":"IHC-P"} }, "product-promise": { "all": "all", "testedAndGuaranteed": "tested", "guaranteed": "expected", "predicted": "predicted", "notRecommended": "not-recommended" } }, "values": { "Human": { "WB-species-checked": "testedAndGuaranteed", "WB-species-dilution-info": "1 µg/mL", "WB-species-notes": "<p></p>", "IHCP-species-checked": "testedAndGuaranteed", "IHCP-species-dilution-info": "3 µg/mL", "IHCP-species-notes": "<p></p>" } } }

Properties and storage information

Form
Liquid
Purification technique
Affinity purification Protein A
Storage buffer
pH: 7.4 Constituents: PBS
Shipped at conditions
Blue Ice
Appropriate short-term storage duration
1-2 weeks
Appropriate short-term storage conditions
+4°C
Appropriate long-term storage conditions
-20°C
Aliquoting information
Upon delivery aliquot
Storage information
Avoid freeze / thaw cycle

Supplementary information

This supplementary information is collated from multiple sources and compiled automatically.

TOSO also known as FAIM3 or IGFRI acts as a receptor critically involved in the regulation of apoptosis and immune responses. This protein has an approximate molecular mass of 32 kDa. It is heavily expressed on the surface of various immune cells including T and B lymphocytes which are key components in the immune system. TOSO participates in the inhibition of apoptosis by blocking the apoptotic signaling pathway thereby ensuring the survival of immune cells under both normal and stressful conditions.
Biological function summary

TOSO functions by modulating the immune response and ensuring cell survival. It operates as part of a receptor complex that includes Fas Ligand (FasL) and influences the cellular response to apoptotic signals. TOSO's role in this complex helps control cell death which is essential for immune regulation and homeostasis. This control is necessary to prevent excessive immune responses that can damage healthy tissues while ensuring the elimination of infected or cancerous cells.

Pathways

TOSO participates in the apoptotic and immune signaling pathways. Within the apoptotic pathway TOSO interacts with the Fas/FasL system to modulate the susceptibility of cells to programmed cell death. In the immune signaling pathway it is connected with proteins like FLIP and Caspase-8 which are vital in regulating apoptosis and immune cell proliferation. These interactions ensure that cells can withstand apoptotic signals under physiological conditions.

Dysregulation of TOSO expression or function has been linked to autoimmune diseases and certain cancers. In autoimmune diseases such as rheumatoid arthritis altered TOSO levels can contribute to pathological immune cell survival exacerbating tissue damage. In cancers like lymphomas TOSO may help tumor cells escape apoptosis aiding in unchecked cell survival and tumor progression. The relationship between TOSO and disease highlights its potential as a therapeutic target alongside proteins like Bcl-2 which are also involved in cell survival and apoptosis regulation.

Product protocols

For this product, it's our understanding that no specific protocols are required. You can visit:

Target data

High-affinity Fc receptor for immunoglobulin M (IgM), both secreted and membrane-bound IgM (PubMed : 19858324, PubMed : 22675200, PubMed : 36949194, PubMed : 37095205). Primarily regulates IgM transport and homeostasis. In lymphoid cells, enables exocytosis of membrane-bound IgM on the plasma membrane as well as endocytosis of IgM-antigen complexes toward lysosomes for degradation. In mucosal epithelium, mediates retrotranscytosis of antigen-IgM complexes across mucosal M cells toward antigen-presenting cells in mucosal lymphoid tissues (PubMed : 21908732, PubMed : 28230186). Triggers costimulatory signaling and mediates most of IgM effector functions involved in B cell development and primary immune response to infection. Likely limits tonic IgM BCR signaling to self-antigens for proper negative selection of autoreactive B cells in the bone marrow and for the maintenance of regulatory B cell pool in peripheral lymphoid organs. Mediates antibody responses to T cell-dependent and T cell-independent antigens and promotes induction of an efficient neutralizing IgG response. Engages in cross-talk with antigen-receptor signaling via the non-canonical NF-kappa-B, MAP kinases and calcium signaling pathways (PubMed : 19858324, PubMed : 22675200, PubMed : 25601920, PubMed : 30840890).
See full target information FCMR

Publications (1)

Recent publications for all applications. Explore the full list and refine your search

Journal of cell science 134: PubMed34152390

2021

Rab11FIP1 maintains Rab35 at the intercellular bridge to promote actin removal and abscission.

Applications

Unspecified application

Species

Unspecified reactive species

Nicholas V G Iannantuono,Gregory Emery
View all publications

Product promise

We are committed to supporting your work with high-quality reagents, and we're here for you every step of the way. In the unlikely event that one of our products does not perform as expected, you're protected by our Product Promise.
For full details, please see our Terms & Conditions

Please note: All products are 'FOR RESEARCH USE ONLY. NOT FOR USE IN DIAGNOSTIC OR THERAPEUTIC PROCEDURES'.

For licensing inquiries, please contact partnerships@abcam.com