JavaScript is disabled in your browser. Please enable JavaScript to view this website.
AB317270

Anti-Total OXPHOS Antibody Cocktail antibody [RM1134]

  • BOND RX™ Validated
  • 20ul selling size
  • Recombinant
  • RabMAb
  • What is this?

Be the first to review this product! Submit a review

|

(1 Publication)

Rabbit Recombinant Multiclonal NDUFB8 antibody. Suitable for ICC/IF, Flow Cyt (Intra), WB, IHC-P and reacts with Human samples. Cited in 1 publication.

View Alternative Names

Complex I-ASHI, NADH-ubiquinone oxidoreductase ASHI subunit, CI-ASHI, NDUFB8

7 Images
Flow Cytometry (Intracellular) - Anti-Total OXPHOS Antibody Cocktail antibody [RM1134] (AB317270)
  • Flow Cyt (Intra)

Supplier Data

Flow Cytometry (Intracellular) - Anti-Total OXPHOS Antibody Cocktail antibody [RM1134] (AB317270)

Flow cytometric analysis of 4% paraformaldehyde fixed 90% methanol permeabilized HepG2 (human hepatocellular carcinoma epithelial cell) cells labelling Total OXPHOS Antibody Cocktail with ab317270 at 1/500 dilution (0.1ug)/Red (Red) compared with a Rabbit monoclonal IgG (ab172730) (Black) isotype control and an unlabelled control (cells without incubation with primary antibody and secondary antibody) (Blue).

Goat Anti-Rabbit IgG (Alexa Fluor® 488, ab150081) at 1/5000 dilution was used as the secondary antibody.

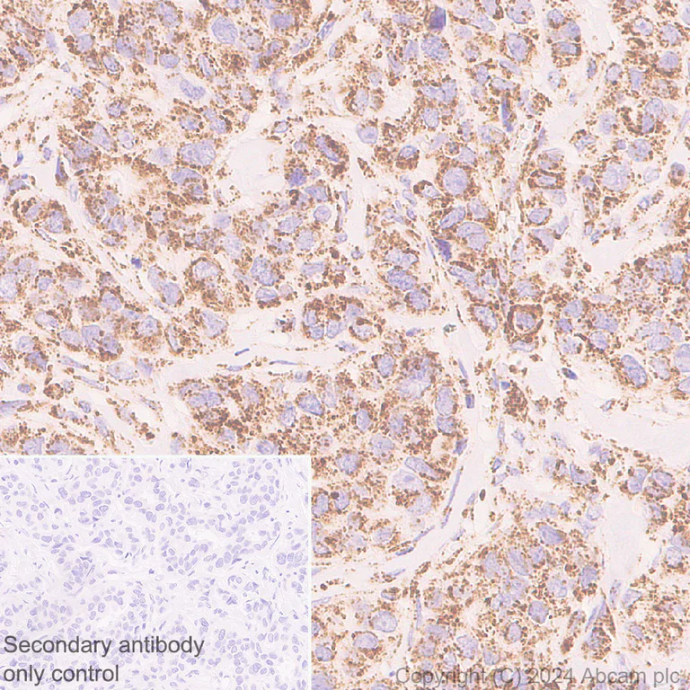
Immunohistochemistry (Formalin/PFA-fixed paraffin-embedded sections) - Anti-Total OXPHOS Antibody Cocktail antibody [RM1134] (AB317270)
  • IHC-P

Supplier Data

Immunohistochemistry (Formalin/PFA-fixed paraffin-embedded sections) - Anti-Total OXPHOS Antibody Cocktail antibody [RM1134] (AB317270)

Immunohistochemical analysis of paraffin-embedded Human breast carcinoma tissue labeling Total OXPHOS Antibody Cocktail with ab317270 at 1/2000 (0.246 ug/ml) dilution, followed by a ready to use LeicaDS9800 (Bond™ Polymer Refine Detection).

Positive staining on human breast carcinoma. The section was incubated with ab317270 for 30 mins at room temperature.
The immunostaining was performed on a Leica Biosystems BOND® RX instrument

Counterstained with Hematoxylin.

Secondary antibody only control : Secondary antibody is a ready to use LeicaDS9800 (Bond™ Polymer Refine Detection).

Heat mediated antigen retrieval was performed with Tris-EDTA buffer (pH 9.0, Epitope Retrieval Solution2) for 20 mins

Immunocytochemistry/ Immunofluorescence - Anti-Total OXPHOS Antibody Cocktail antibody [RM1134] (AB317270)
  • ICC/IF

Supplier Data

Immunocytochemistry/ Immunofluorescence - Anti-Total OXPHOS Antibody Cocktail antibody [RM1134] (AB317270)

Immunofluorescent analysis of 4% Paraformaldehyde-fixed, 0.1% TritonX-100 permeabilized HepG2 (human hepatocellular carcinoma epithelial cell) cells labelling Total OXPHOS Antibody Cocktail with ab317270 at 1/500 (0.984 ug/ml) dilution, followed by ab150081 Goat Anti-Rabbit IgG H&L (Alexa Fluor® 488) preadsorbed antibody at 1/1000 2 ug/mL dilution (Green).

Confocal image showing mitochondrial staining in HepG2 cell line (shown in green). The counter stain was observed in magenta. Nuclear DNA was labeled with DAPI (shown in blue).
Image was taken with a confocal microscope(Leica-Microsystems, TCS SP8).

anti-COX IV mouse monoclonal antibody - Mitochondrial Marker was used to counterstain tubulin at 1/1000 1ug/ml dilution (Magenta). The Nuclear counterstain was DAPI (Blue).

Secondary antibody only control : Secondary antibody is ab150081 Goat Anti-Rabbit IgG H&L (Alexa Fluor® 488) preadsorbed at 1/1000 2 ug/mL dilution.

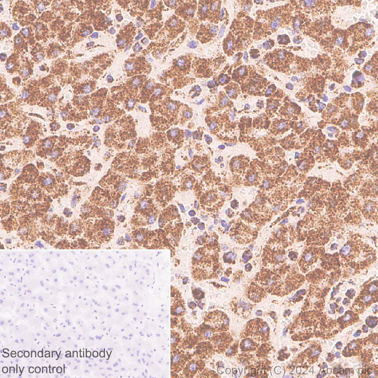
Immunohistochemistry (Formalin/PFA-fixed paraffin-embedded sections) - Anti-Total OXPHOS Antibody Cocktail antibody [RM1134] (AB317270)
  • IHC-P

Supplier Data

Immunohistochemistry (Formalin/PFA-fixed paraffin-embedded sections) - Anti-Total OXPHOS Antibody Cocktail antibody [RM1134] (AB317270)

Immunohistochemical analysis of paraffin-embedded Human liver tissue labeling Total OXPHOS Antibody Cocktail with ab317270 at 1/2000 (0.246 ug/ml) dilution, followed by a ready to use LeicaDS9800 (Bond™ Polymer Refine Detection).

Positive staining on human liver. The section was incubated with ab317270 for 30 mins at room temperature.
The immunostaining was performed on a Leica Biosystems BOND® RX instrument

Counterstained with Hematoxylin.

Secondary antibody only control : Secondary antibody is a ready to use LeicaDS9800 (Bond™ Polymer Refine Detection).

Heat mediated antigen retrieval was performed with Tris-EDTA buffer (pH 9.0, Epitope Retrieval Solution2) for 20 mins

Western blot - Anti-Total OXPHOS Antibody Cocktail antibody [RM1134] (AB317270)
  • WB

Supplier Data

Western blot - Anti-Total OXPHOS Antibody Cocktail antibody [RM1134] (AB317270)

All lanes:

Western blot - Anti-Total OXPHOS Antibody Cocktail antibody [RM1134] (ab317270) at 1/1000 dilution

Lane 1:

Human cerebellum tissue lysate at 20 µg

Lane 2:

Human kidney tissue lysate at 20 µg

Secondary

All lanes:

Goat Anti-Rabbit IgG (HRP) with minimal cross-reactivity with human IgG at 1/2000 dilution

Observed band size: 18 kDa,22 kDa,29 kDa,48 kDa,54 kDa

false

Exposure time: 1s

Western blot - Anti-Total OXPHOS Antibody Cocktail antibody [RM1134] (AB317270)
  • WB

Supplier Data

Western blot - Anti-Total OXPHOS Antibody Cocktail antibody [RM1134] (AB317270)

Exposure time : Lanes 1-3 : 15 seconds; Lanes 4-5 : 37 seconds

All lanes:

Western blot - Anti-Total OXPHOS Antibody Cocktail antibody [RM1134] (ab317270) at 1/1000 dilution

Lane 1:

HeLa (human cervical adenocarcinoma epithelial cell) whole cell lysate at 20 µg

Lane 2:

HepG2 (human hepatocellar carcinoma epithelial cell) whole cell lysate at 20 µg

Lane 3:

HEK-293 (human embryonic kidney epithelial cell) whole cell lysate at 20 µg

Lane 4:

K-562 (human chronic myelogenous leukemia lymphoblast) whole cell lysate at 20 µg

Lane 5:

MCF7 (human breast adenocarcinoma epithelial cell) whole cell lysate at 20 µg

Secondary

All lanes:

Western blot - Goat Anti-Rabbit IgG H&L (HRP) (<a href='/en-us/products/secondary-antibodies/goat-rabbit-igg-h-l-hrp-ab97051'>ab97051</a>) at 1/100000 dilution

Observed band size: 18 kDa,22 kDa,29 kDa,48 kDa,54 kDa

false

Western blot - Anti-Total OXPHOS Antibody Cocktail antibody [RM1134] (AB317270)
  • WB

Supplier Data

Western blot - Anti-Total OXPHOS Antibody Cocktail antibody [RM1134] (AB317270)

In Western blot, Anti-Alpha-synuclein antibody [EPR20535] (ab212184) staining at 1/1000 dilution.

All lanes:

Western blot - Anti-Total OXPHOS Antibody Cocktail antibody [RM1134] (ab317270) at 1/1000 dilution

Lane 1:

MCF7 non-mitochondrial fraction at 20 µg

Lane 2:

MCF7 mitochondria fraction at 20 µg

Secondary

All lanes:

Western blot - Goat Anti-Rabbit IgG H&L (HRP) (<a href='/en-us/products/secondary-antibodies/goat-rabbit-igg-h-l-hrp-ab97051'>ab97051</a>) at 1/100000 dilution

Observed band size: 18 kDa,22 kDa,29 kDa,48 kDa,54 kDa,36 kDa,17 kDa

false

Exposure time: 8s

  • Carrier free

    Anti-Total OXPHOS Antibody Cocktail antibody [RM1134] - BSA and Azide free

Key facts

Host species

Rabbit

Clonality

Multiclonal

Clone number

RM1134

Isotype

IgG

Carrier free

No

Reacts with

Human

Applications

Flow Cyt (Intra), ICC/IF, IHC-P, WB

applications

Immunogen

This product was produced with the following immunogens:

The exact immunogen used to generate this antibody is proprietary information.

The exact immunogen used to generate this antibody is proprietary information.

The exact immunogen used to generate this antibody is proprietary information.

The exact immunogen used to generate this antibody is proprietary information.

Specificity

This antibody cocktail does cross-react with NDUFB8, SDHB, UQCRC2 and ATP5A from mouse and rat samples.

Reactivity data

{ "title": "Reactivity Data", "filters": { "stats": ["", "Species", "Dilution Info", "Notes"], "tabs": { "all-applications": {"fullname" : "All Applications", "shortname": "All Applications"}, "ICCIF" : {"fullname" : "Immunocytochemistry/ Immunofluorescence", "shortname":"ICC/IF"}, "FlowCytIntra" : {"fullname" : "Flow Cytometry (Intracellular)", "shortname":"Flow Cyt (Intra)"}, "WB" : {"fullname" : "Western blot", "shortname":"WB"}, "IP" : {"fullname" : "Immunoprecipitation", "shortname":"IP"}, "IHCP" : {"fullname" : "Immunohistochemistry (Formalin/PFA-fixed paraffin-embedded sections)", "shortname":"IHC-P"} }, "product-promise": { "all": "all", "testedAndGuaranteed": "tested", "guaranteed": "expected", "predicted": "predicted", "notRecommended": "not-recommended" } }, "values": { "Human": { "ICCIF-species-checked": "testedAndGuaranteed", "ICCIF-species-dilution-info": "1/500", "ICCIF-species-notes": "<p></p>", "FlowCytIntra-species-checked": "testedAndGuaranteed", "FlowCytIntra-species-dilution-info": "1/500", "FlowCytIntra-species-notes": "<p></p>", "WB-species-checked": "testedAndGuaranteed", "WB-species-dilution-info": "1/1000", "WB-species-notes": "<p></p>", "IP-species-checked": "notRecommended", "IP-species-dilution-info": "", "IP-species-notes": "<p></p>", "IHCP-species-checked": "testedAndGuaranteed", "IHCP-species-dilution-info": "1/2000", "IHCP-species-notes": "<p></p> Perform heat-mediated antigen retrieval with Tris/EDTA buffer pH 9.0 before commencing with IHC staining protocol." }, "Mouse": { "ICCIF-species-checked": "notRecommended", "ICCIF-species-dilution-info": "", "ICCIF-species-notes": "", "FlowCytIntra-species-checked": "notRecommended", "FlowCytIntra-species-dilution-info": "", "FlowCytIntra-species-notes": "", "WB-species-checked": "notRecommended", "WB-species-dilution-info": "", "WB-species-notes": "", "IP-species-checked": "notRecommended", "IP-species-dilution-info": "", "IP-species-notes": "<p></p>", "IHCP-species-checked": "notRecommended", "IHCP-species-dilution-info": "", "IHCP-species-notes": "" }, "Rat": { "ICCIF-species-checked": "notRecommended", "ICCIF-species-dilution-info": "", "ICCIF-species-notes": "", "FlowCytIntra-species-checked": "notRecommended", "FlowCytIntra-species-dilution-info": "", "FlowCytIntra-species-notes": "", "WB-species-checked": "notRecommended", "WB-species-dilution-info": "", "WB-species-notes": "", "IP-species-checked": "notRecommended", "IP-species-dilution-info": "", "IP-species-notes": "<p></p>", "IHCP-species-checked": "notRecommended", "IHCP-species-dilution-info": "", "IHCP-species-notes": "" } } }

Product details

What are recombinant multiclonals?
Recombinant multiclonals are a mixture of recombinant antibodies co-expressed from a library of heavy and light chains. They offer several advantages including:

  • - The sensitivity of polyclonal antibodies by recognising multiple epitopes
  • - High batch-to-batch consistency and reproducibility
  • - Improved sensitivity and specificity
  • - Long-term security of supply
  • - Animal-free batch production

View our range of recombinant multiclonal antibodies.

Patented technology
Our RabMAb® technology is a patented hybridoma-based technology for making rabbit monoclonal antibodies. For details on our patents, please refer to RabMAb® patents.

Properties and storage information

Form
Liquid
Purification technique
Affinity purification Protein A
Storage buffer
pH: 7.2 - 7.4 Preservative: 0.01% Sodium azide Constituents: PBS, 40% Glycerol (glycerin, glycerine), 0.05% BSA
Shipped at conditions
Blue Ice
Appropriate short-term storage duration
1-2 weeks
Appropriate short-term storage conditions
+4°C
Appropriate long-term storage conditions
-20°C
Aliquoting information
Upon delivery aliquot
Storage information
Avoid freeze / thaw cycle

Supplementary information

This supplementary information is collated from multiple sources and compiled automatically.

The Total OXPHOS Antibody Cocktail targets key proteins involved in oxidative phosphorylation (OXPHOS) a critical process for ATP production in mitochondria. It includes antibodies against five complexes of the electron transport chain often known as complexes I-V. These complexes are expressed in mitochondria within almost all eukaryotic cells especially high-energy demanding tissues like muscle and brain. The molecular weight of these complex components varies but each plays an important role in transferring electrons during ATP synthesis.
Biological function summary

These complexes form the core of the electron transport chain an assembly of protein complexes embedded in the mitochondrial inner membrane. OXPHOS as part of this chain is important for cellular respiration and metabolic energy production. Proteins within these complexes work together to generate a proton gradient that drives ATP synthase activity. The efficient function of this system supports high demands of cellular energy and is essential for maintaining metabolic homeostasis.

Pathways

The Total OXPHOS Antibody Cocktail components integrate into the oxidative phosphorylation and citric acid cycle pathways. Energy transduction from NADH and FADH2 through the electron transport chain connects OXPHOS with these pathways. Cytochrome c an important protein acts as an electron shuttle between complex III and complex IV within this process highlighting its importance for proper function and energy production.

Irregularities in OXPHOS function link to disorders such as mitochondrial myopathy and Leber's hereditary optic neuropathy. These conditions often result from mutations impacting the electron transport chain proteins disrupting ATP production and leading to energy deficits in cells. For instance mutations in NADH:ubiquinone oxidoreductase (complex I) contribute to disease development emphasizing the need for understanding these targets to develop potential therapeutic strategies.

Product protocols

For this product, it's our understanding that no specific protocols are required. You can visit:

Target data

Accessory subunit of the mitochondrial membrane respiratory chain NADH dehydrogenase (Complex I), that is believed not to be involved in catalysis. Complex I functions in the transfer of electrons from NADH to the respiratory chain. The immediate electron acceptor for the enzyme is believed to be ubiquinone.
See full target information NDUFB8

Additional targets

MT-CO2,UQCRC2,SDHB,ATP5F1A

Publications (1)

Recent publications for all applications. Explore the full list and refine your search

Bioactive materials 52:845-856 PubMed40677758

2025

Mitochondrial uptake and translocation by macrophages promotes vascular regeneration in peripheral ischemia.

Applications

Unspecified application

Species

Unspecified reactive species

Xiaolei Sun,Kanghui Chen,Peng Wang,Yawei Jin,Sanli Qian,Bingyu Li,Jianguo Jia,Zhenzhong Zhang,Chunjie Yang,Junbo Ge,Aijun Sun
View all publications

Product promise

We are committed to supporting your work with high-quality reagents, and we're here for you every step of the way. In the unlikely event that one of our products does not perform as expected, you're protected by our Product Promise.
For full details, please see our Terms & Conditions

Please note: All products are 'FOR RESEARCH USE ONLY. NOT FOR USE IN DIAGNOSTIC OR THERAPEUTIC PROCEDURES'.

For licensing inquiries, please contact partnerships@abcam.com